Phân tích các hình ảnh X quang của bệnh lý nội nha là một phần không thể thiếu trong chẩn đoán và tiên lượng điều trị. Cho đến khoảng 10 năm trước đây thì X quang thường quy được sử dụng là hình ảnh hai chiều. Những giới hạn của loại X quang truyền thống này đưa đến nhu cầu sử dụng hình ảnh ba chiều – còn được gọi là Cone-beam volumetric tomography (CBVT) hoặc cone-beam computerized tomography (CBCT). Mặc dù kỹ thuật này xuất hiện từ năm 1980 nhưng nó được ứng dụng trong nha khoa từ năm 1998. Hầu hết những máy này tương tự như thiết bị chụp panorex, trong đó bệnh nhân có thể đứng hoặc ngồi trong khi một tia X quang hình nón chiếu đến vùng cần chụp và một sensor nhận ảnh phía đối diện. Thông tin thu nhận được được phân tích và tái tạo lại thành một giao diện mà bác sĩ có thể xem thành những “lát cắt” cấu trúc mô của bệnh nhân ở vô số mặt phẳng. Việc khảo sát có thể thực hiện ngay lập tức sau khi chụp phim. Các ứng dụng phần mềm khác nhau được sử dụng để hình ảnh được gởi tới cho bác sĩ như dưới dạng ảnh được in ra hoặc phần mềm xách tay và truyền tải.

Hình 3. Máy Cone-beam Volumetric Tomography
Nhìn chung, nha sĩ có nhu cầu về một thiết bị với phạm vi giới hạn ở hàm trên và hàm dưới. Tuy nhiên, nhiều thiết bị có khả năng cung cấp một phạm vi quan sát rộng với nhiều vùng cấu trúc hơn. Bác sĩ nên tìm hiểu kỹ về vấn đề đạo đức cũng như tính hợp pháp y tế của việc chụp cắt lớp vi tính toàn bộ. Một bệnh lý không liên quan đến nha khoa có thể được phát hiện ngẫu nhiên, chẳng hạn như phình động mạch nội sọ (một bệnh lý có thể đe doạ đến tính mạng nếu không được phát hiện).

Hình 4. Máy CTCB với khả năng chụp, lưu trữ và trình diễn hình ảnh theo mặt phẳng dọc và ngang.
Nguồn phóng xạ của CBCT khác với hình ảnh nha khoa hai chiều, tia phóng xạ của CBCT có hình nón. Ngoài ra, X quang nha khoa truyền thống được chụp và phân tích dưới dạng “phần tử ảnh” (“pixels”), một chuỗi các tập hợp “điểm” (“dots”) tạo nên hình ảnh của cấu trúc được quét. Đối với CBCT, hình ảnh thay vào đó được chụp dưới dạng một chuỗi phần tử ảnh ba chiều, được gọi là “voxels”. Kết hợp các voxel này lại sẽ được hình ảnh ba chiều, có thể cắt hình ảnh này thành những mặt phẳng khác nhau cho phép đánh giá cụ thể cấu trúc mà trước đây chưa bao giờ làm được (ngoại trừ việc mổ tử thi). Một lợi thế của việc dùng thiết bị chụp bán phần (giới hạn vùng quan sát được) là kích cỡ voxel ít hơn một nửa so với thiết bị chụp toàn phần, do đó làm tăng độ phân giải của hình ảnh kết quả, tái tạo được hình ảnh cấu trúc chính xác hơn. Sự phát triển của thiết bị chụp bán phần cũng góp phần làm giảm chị phí máy, do đó các phòng nha dễ có điều kiện sở hữu những chiếc máy này hơn.

Hình 5. Nguồn phóng xạ của CBCT có dạng hình nón. Hình ảnh được chụp dưới dạng một chuỗi phần tử ảnh ba chiều, được gọi là “voxels”.
X quang nha khoa hai chiều có hai nhược điểm cơ bản: chưa phát hiện sớm được bệnh lý ở vùng xương xốp vì mật độ của các tấm xương vỏ, và chịu ảnh hưởng của việc các cấu trúc giải phẫu chồng lên nhau. Vào năm 1961, Bender và Seltzer cho thấy rằng các tổn thương nhân tạo ở vùng xương xốp không phát hiện được trên X quang ngoại trừ khi xương mất mở rộng đến đường nối giữa xương vỏ và xương xốp. Do đó, một nhiễm trùng chỉ hiện diện ở vùng xương xốp thì thông thường sẽ không thấy được trên X quang thông thường. Cũng tương ứng với phát hiện này, nếu chân răng của một răng nhiễm trùng có tuỷ chết gần với xương vỏ (chẳng hạn như chân gần của răng cối lớn thứ nhất hàm dưới) thì bệnh lý sẽ được phát hiện sớm hơn so với trường hợp chân răng nhiễm trùng nằm ở trung tâm vùng xương xốp (chẳng hạn như chân xa của răng cối lớn thứ nhất hàm dưới). Bởi vì CBCT có thể cho thấy được hình ảnh bên trong xương xốp mà không có hiện tượng chồng lên xương vỏ, vì vậy những khuyết trong xương xốp sẽ được phát hiện dễ dàng hơn. Vào năm 2007, Lofth-Hansen và cộng sự đã nghiên cứu 48 răng mắc bệnh lý nội nha, kiểm tra các răng này bằng phim X quang truyền thống và CBCT. Việc chụp phim được thực hiện bởi ba bác sĩ X quang răng miệng khác nhau. Người ta nhận thấy rằng nếu dùng phim X quang thông thường thì phát hiện được 32 răng mắc bệnh lý, nếu dùng CBCT thì phát hiện được 42 răng mắc bệnh lý. Thêm vào đó, nếu dùng X quang thông thường thì phát hiện được 58 chân răng có tổn thương bệnh lý, nếu dùng CBCT thì phát hiện 86 chân răng có tổn thương bệnh lý. Nakata và cộng sự cho thấy rằng tổn thương tiêu xương liên quan đến chân trong có thể phát hiện được trên CBCT nhưng không thấy được trên phim X quang truyền thống. Các cấu trúc giải phẫu chồng lên nhau có thể che dấu đi những khiếm khuyết trong xương. Cụ thể như xoang hàm trên, xương gò má, ống tuỷ và lỗ chóp, xương mũi, ổ mắt, đường chéo trong và ngoài của xương hàm dưới, lỗ cằm, bản ngoài xương hàm dưới, tuyến nước bọt dưới lưỡi, lồi xương và sự chồng các chân răng cạnh nhau có thể che đi vùng mất xương hoặc bắt chước hình ảnh mất xương, làm cho việc phân tích phim X quang khó khăn hoặc đôi khi không thực hiện được.

Hình 6. Phim CBCT với khả năng phát hiện bệnh lý trong xương hoặc bệnh lý liên quan đến răng mà không bị các cấu trúc giải phẫu khác cản trở. Có thể quan sát hình ảnh theo chiều đứng dọc, đứng ngang và chiều ngang.
Cotton và đồng nghiệp đã trình bày bảy trường hợp lâm sàng trong đó việc dùng CTCB là vô cùng giá trị nhằm chẩn đoán bệnh lý của xương ổ răng. Hình ảnh quét được có thể bộc lộ ống tuỷ không hoàn toàn, một lỗ chóp lớn nghi ngờ liên quan đến tổn thương có nguồn gốc nội nha, gãy chân răng, nội tiêu, tiêu cổ răng, xi măng ống tuỷ với những triệu chứng liên quan đến dây thần kinh cằm và một tổn thương liên quan đến việc cấy ghép thất bại mà nguyên nhân thiết nghĩ là do tổn thương có nguồn gốc nội nha của răng gần đó. Vào năm 2001, Velvart và cộng sự nhận thấy quét CBCT chính xác 100% khi tiên đoán 78 tổn thương quanh chóp mà sau đó được xác nhận lại bằng phẫu thuật sinh thiết. Tuy nhiên, khi ứng dụng X quang truyền thống vào cùng những trường hợp như vậy thì chỉ phát hiện được 78% trường hợp.

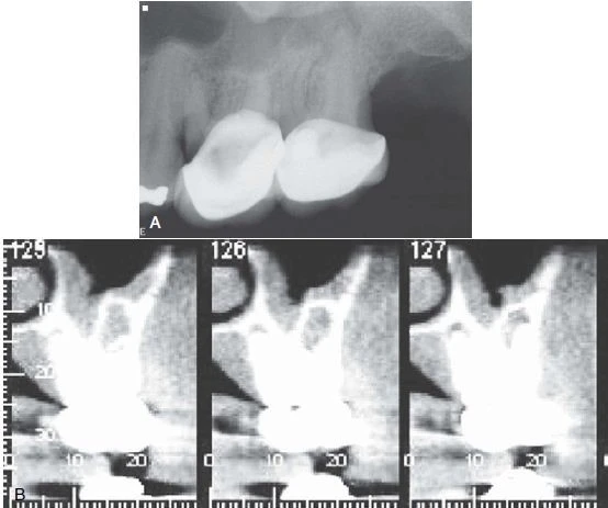
Hình 7. A. Phim X quang hai chiều cho thấy sâu tái phát dưới bờ gần của răng cối lớn thứ nhất hàm trên. Tuy nhiên, bệnh nhân đau khu trú khi nhai ở răng cối lớn thứ hai hàm trên. B. Phim CBCT cho thấy áp xe quanh chóp liên quan đến răng cối lớn thứ hai hàm trên. Hình ảnh mất xương bị hình ảnh xoang hàm trên, xương gò má và xương vỏ chồng lên.
Không nên thay thế CBCT cho X quang truyền thống mà nên xem nó nhưng là một công cụ hỗ trợ cho chẩn đoán. Ưu điểm của X quang truyền thống là có thể biểu thị hình ảnh hầu hết các cấu trúc chỉ trong một phim. Mặc dù CBCT có thể biểu hiện rất chi tiết hình ảnh trong nhiều mặt phẳng nhưng cũng có thể bỏ qua những chi tiết quan trọng nếu như “lát cắt” không nằm trong vùng hiện diện của bệnh lý . Việc ứng dụng CBCT để chẩn đoán trong nội nha có một tương lai đầy hứa hẹn. Nó đã được chứng minh là một công cụ vô giá để phát hiện những bệnh lý có nguồn gốc do răng và không do răng.
