Duy trì và tái phát trong chỉnh nha bất cứ điều trị nào đều thất bại trừ khi kết quả điều trị có thể được giữ lại. Trong những năm qua, khái niệm về duy trì đã trải qua nhiều sửa đổi ngày càng tiến bộ hơn khiến bác sĩ chỉnh nha có trách nhiệm hơn với việc duy trì kết quả cuối cùng đạt được trong điều trị.
Khoảng thời gian mà kết qủa có thể được duy trì hoặc thời gian lưu giữ có thể thay đổi theo thời gian. Ban đầu, bác sĩ chỉnh nha chỉ chịu trách nhiệm cho việc đạt được kết quả như mong đợi, họ không có trách nhiệm duy trì kết quả giống như vậy sau khi ngưng cuộc điều trị. Hiện nay, người ta nhấn mạnh đến việc duy trì kết quả đạt được không chỉ trong một vài năm sau khi ngưng điều trị chỉnh nha mà còn duy trì kết quả trong suốt cuộc đời của bệnh nhân.
Thuật ngữ “duy trì” được định nghĩa là: “giữ răng ở vị trí lý tưởng và chức năng”
Nguyên nhân của Duy trì và tái phát trong chỉnh nha
Các nguyên nhân khác nhau đã được đề xuất gây nên sự tái phát (bảng 1). Nguyên nhân cơ bản nhất trong số đó là bệnh nguyên vẫn còn tồn tại. Nếu nguyên nhân cơ bản không được loại bỏ thì điều trị sẽ bị tái phát. Một điều bắt buộc đối với tất cả các bác sĩ lâm sàng đầu tiên đó là chẩn đoán đúng, và lên kế hoạch điều trị và duy trì ban đầu, luôn nhớ đến nguyên nhân ở trong đầu. Việc loại bỏ nhân tố bệnh nguyên trước khi hoàn tất là điều bắt buộc.

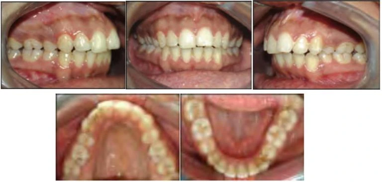
Hình 1. Tái phát sau điều trị bằng khí cụ cố định có nhổ răng cối nhỏ thứ nhất vì không giải quyết được thói quen đẩy lưỡi
Trong suốt quá trình răng di chuyển, các bè xương bị tiêu và tái tạo theo hướng nhìn chung song song với lực đặt lên răng. Sự tái định hướng này cần khoảng 6 tháng để hoàn tất. Sau khi hoàn tất việc di chuyển răng, bè xương được định hướng lại theo hướng trục chính của chân răng. Điều này lần nữa cần 6 tháng để hoàn thành. Xương trong suốt thời gian này thường đáp ứng hơn với những ảnh hưởng của áp lực và tái phát có thể xảy a nếu vị trí mới không ổn định.
Bảng 1. Nguyên nhân tái phát
1. Thất bại trong việc loại bỏ nguyên nhân sai khớp cắn
2. Chẩn đoán sai và thất bại trong việc lên kế hoạch điều trị
3. Thiếu sự lồng múi bình thường khi cắn lại
4. Nong rộng cung hàm, phía bên hoặc phía trước
5. Kích thước và sự hài hoà của cung răng không đúng
6. Độ nghiêng trục răng không đúng
7. Tiếp xúc không đúng cách
8. Bất hài hoà kích thước răng
Mô mềm xung quanh cổ răng bị kéo căng.
Vì tính linh hoạt và đàn hồi, chúng truyền lực đến xương kích thích ít đáp ứng từ xương hơn. Các sợi transseptal của dây chằng nha chu mất nhiều thời gian để định hướng lại nhất do xoay lại răng và là nguyên nhân chính của tái phát khi sửa chữa răng bị xoay. Sự định hướng của các sợi nướu và các sợi nha chu khác cũng bị xáo trộn trong suốt quá trình răng di chuyển.
Chúng có khuynh hướng chồng chất lại trên đường răng di chuyển, đặc biệt nếu di chuyển nhanh. Mô mềm quanh miệng cần thời gian dài hơn để thích nghi với vị trí mới của răng hơn là của xương. Sự tăng trưởng khác biệt ở những cá nhân trẻ tuổi đang tăng trưởng cũng chiếm một lượng lớn những trường hợp tái phát, đặc biệt là với mô hình xương hạng III.
Xem thêm: ,Giải phẫu xương hàm dưới
Xem thêm: ,VTO nha khoa: phân tích sự di chuyển răng trong chỉnh nha
Nhìn chung, các sợi nha chu và sợi nướu có khả năng tạo ra những bất thường nội hàm (xoay răng, thưa răng, chen chúc răng, v.v…). Hệ thống cơ quanh miệng (bao gồm lưỡi, môi, má) có hả năng tạo ra những bất thường cả trong và giữa các hàm. Sự tiếp nối của tăng trưởng hà bất thường có thể gián tiếp ảnh hưởng đến mô mềm quanh miệng như cơ nâng môi cũng như tạo ra những tái phát giữa hai hàm.
NHU CẦU DUY TRÌ
Việc duy trì được lên kế hoạch để “chống lại sự di chuyển của răng theo khuynh hướng của chúng, và cho phép răng di chuyển tự do theo mọi hướng ngoại trừ khuynh hướng quay về lại vị trí cũ”.
Về cơ bản, việc duy trì ngăn ngừa sự tái phát xảy ra hoặc nói cách khác ngăn ngừa răng quay lại vị trí khớp cắn ban đầu. Trước đó, “duy trì được mô tả như là khoảng thời gian sau khi điều trị chủ động khi khí cụ thụ động/ tháo lắp được mang khoảng hai năm để ổn định khớp cắn được tạo ra”. Bây giờ với sự gia tăng về kiến thức liên quan đến cơ chế sinh học tái phát, khái niệm “duy trì suốt đời” đã phát triển.
TRƯỜNG TƯ TƯỞNG/ TRIẾT LÝ
Các khái niệm hiện tại về duy trì căn bản được dựa trên bốn trường tư tưởng sau đây:
TRƯỜNG KHỚP CẮN
Vào năm 1880, Norman Kingsley kiến nghị rằng – “khớp cắn răng là nhân tố quan trọng nhất quyết định sự ổn định ở vị trí mới”. Phát biểu này trải qua sự thử nghiệm của thời gian và đã có nhiều nghiên cứu khác nhau. Lồng múi tốt luôn hỗ trợ sự ổn định của kết quả điều trị.
TRƯỜNG NỀN CHÓP RĂNG
Vào giữa những năm 1920, Axel Lundstrom đã nhấn mạnh tầm quan trọng của nền chóp trong việc duy trì kết quả điều trị. Hay’s Nance vào năm 1947 tiếp tục ghiên cứu chủ đề này và kết luận rằng:
- Nếu một kết quả ổn định vĩnh viễn đạt được sau điều trị chỉnh nha, răng hàm dưới phải nằm đúng tương quan với nền xương.
- Chiều dài cung răng có thể được tăng lên vĩnh viễn chỉ ở một mức giới hạn.
- Phải tránh việc nghiêng răng vào trong hoặc ra ngoài quá nhiều.
Nói tóm lại, các răng hàm dưới thẳng hàng phải nằm trên nền xương mà không quá nhô hoặc cụp nếu muốn duy trì sự ổn định của chúng.
TRƯỜNG RĂNG CỬA HÀM DƯỚI
Trường răng cửa hàm dưới được Grieve và Tweed đề xuất. Chúng được duy trì vì lý do ổn định, các răng cửa hàm dưới phải có trục thẳng đứng hoặc hơi cụp nhẹ so với nền xương.
TRƯỜNG CƠ
Paul Roger đã giới thiệu trường tư tưởng liên quan đến sự cần thiết của việc thiết lập sự cân bằng cơ thích hợp.
Tất cả các triết lý trên đều có liên quan với nhau, chẳng hạn việc duy trì tuỳ thuộc vào khớp cắn được thiết lập và khớp cắn được thiết lập phải nằm trong giới hạn cân bằng cơ bình thường, ngoài ra khớp cắn và sự cân bằng cơ được thiết lập phụ thuộc vào số lượng nền chóp có sẵn và tương quan giữa các nền chóp răng với nhau.
Nguồn: Gurkeerat Singh (2007), “Textbook of Orthodontics“, 2nd edition, Jaypee Brothers Medical Publishers (P) Ltd
Biên dịch: BS Lương Thị Quỳnh Tâm
