Hình 1: Hàm dưới trước khi phục hình
Đây là tình huống lâm sàng khách hàng muốn làm răng sứ thẩm mỹ cho 20 răng hàm trên và hàm dưới. Mọi chuyện có vẻ đơn giản khi các răng sắp xếp khá đều đặn, khớp cắn không thuộc dạng khó. Tuy nhiên, chỉ có 2 “kẻ phá bĩnh” đó chính là răng 35, 45 có hướng không thuận lợi cho phục hình. Răng 45 nghiêng trong 30 độ, và 35 nghiêng trong 45 độ. Việc này cũng thường gặp trên lâm sàng, khi yêu cầu của khách hàng thì cao (làm đều răng, dựng trục răng, không điều trị tủy) mà tình hình răng miệng thực tế lại không lý tưởng. Vậy bạn chọn làm hay từ chối?
Tôi nhận làm ca này!

Hình 2: Mẫu hàm sơ khởi. Sử dụng mẫu hàm sơ khởi để chẩn đoán và lên kế hoạch phục hình.
Nhìn trên mẫu hàm sơ khởi, chúng ta có thể thấy điểm khó khăn trong mài chụp răng 35, 45 ở đây là do nhiều yếu tố. Răng nghiêng trong, nếu muốn mài tới cổ răng thì sẽ phải lấy rất nhiều mô men ở phía trên, và đồng nghĩa với việc phải điều trị tủy. Khoảng phục hình ở vị trí răng 5 chỉ tương đương với ⅔ kích thước của chính nó nếu dựng trục lên. Phía xa răng 4 phải mài nhiều hơn để có khoảng để phân bổ đắp sứ cho răng 4 và răng 5, tạo thuận lợi cho việc với sứ răng 5 ra phía ngoài. Mài đường hoàn tất phía gần răng 5 có nguy cơ phạm phải đường hoàn tất phía xa răng 4. Tiêu mòn cổ răng 4 và răng 5 ảnh hưởng độ dày và tính liên tục của đường hoàn tất). Điểm thuận lợi duy nhất ở đây chính là khớp cắn. Răng trên không chiếm khoảng phục hình răng 5 và các răng trên đều sẽ làm chụp, nên hoàn toàn có thể có khoảng không gian mặt nhai mong muốn. Có lẽ là thiếu sót nếu không kể tới một điểm thuận lợi mang tính chiến lược, đó là khách hàng đòi hỏi nhiều nhưng lại tin tưởng vào tay nghề của tôi!

Hình 3: Hướng lắp phục hình được thể hiện bằng đường kẻ màu xanh. Hướng thành trục của cùi cần mài được thể hiện bằng đường kẻ màu vàng.
Trước hết, tôi hoàn thiện việc mài nhóm răng cửa tới răng số 4 với đường hoàn tất bờ vai, ngang lợi mặt ngoài với nhóm răng cửa – nanh, trên lợi với răng số 4. Chú ý vách đứng của cùi răng số 4. Từ đây tôi tiếp tục mài răng số 5 theo hướng lắp song song với hướng lắp của răng số 4. Để kiểm tra xem mài hai hướng lắp của răng đã song song chưa, bạn có thể sử dụng gương có các vạch hướng dẫn (Osung para mirror) hoặc lấy dấu alginate đổ mẫu nhanh để kiểm tra ngoài miệng. Tốn thêm 1 chút thời gian và chi phí, nhưng bạn sẽ tiết kiệm được rất nhiều thời giờ của kỹ thuật viên labo, của bệnh nhân và của chính mình tránh phải chỉnh sửa sau đó.

Hình 4: Osung Para mirror.
Với cách mài này, tôi chỉ cần mài phía bên trong tương đương với ½ thân răng phía rìa cắn của răng số 4, mài loại bỏ múi bên trong để khi kỹ thuật viên labo làm việc, vị trí đó tương ứng với phần múi trong tương lai sẽ đủ khoảng không để đắp sứ. Không nhất thiết phải mài hết xuống tới tận cổ răng mặt trong răng 5 trong trường hợp này. Trong trường hợp điều chỉnh trục, chắc chắn hãy để răng hở khớp nhẹ tránh lực nhai tác động quá mức lên chụp sứ.

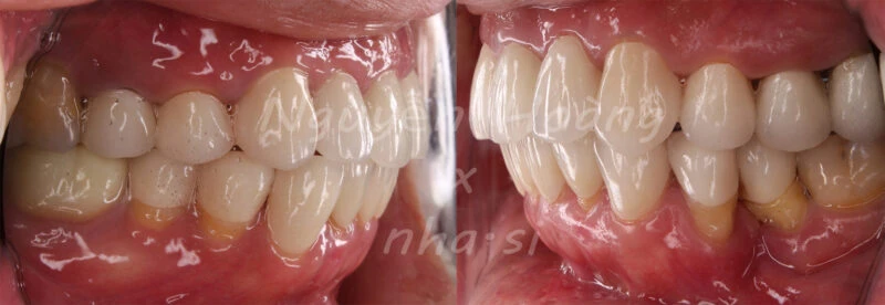
Hình 5: Sau gắn. Khách hàng hài lòng với bộ răng sứ thẩm mỹ.Nhìn từ phía ngoài, vị trí răng 5 được chụp sứ “làm đầy” hơn so với vị trí răng cũ.

Nhận làm hay từ chối 1 ca răng sứ thẩm mỹ có nhiều đòi hỏi khắt khe trên nền hướng răng không thuận lợi, lựa chọn nào cũng đúng đối với bạn. Hãy lựa đúng khả năng của mình để làm sao cho chuẩn. Nếu thấy 1 tình huống quá khó, hãy trao đổi với các bậc tiền bối giàu kinh nghiệm hơn để cùng xử trí cho thỏa đáng!
Theo Nguyễn Hoàng – Nha.si
