Nhiều công ty sản xuất máy chụp phim toàn cảnh kỹ thuật số với chất lượng nền hình ảnh cao. Các hãng Morita Veraview IC5 HD( @J. Morita Mfg Corporation), Othoralix 8500 (KaVo Dental Corp.,Gendex Dental Systems, Lake Zurich, Ill. [ Fig. 11-9 ] ), the Proline XC (Planmeca Oy, Helsinki, Finland [ Fig. 11-10 ] ), và Orthophos XG-Plus (Sirona Dental Systems GmbH, Bensheim, Germany [ Fig.11-11 ] ) đều rất linh hoạt. Ngoài việc tạo hình ảnh toàn cảnh tiêu chuẩn của hai hàm chúng còn có khả năng điều chỉnh bệnh nhân với những kích thước khác nhau và chụp phim mặt thẳng, mặt bên của khớp thái dương hàm.
Những máy này cũng có khả năng chụp cắt lớp qua các xoang và chụp cắt ngang xương hàm trên và xương hàm dưới. Những hình ảnh này có được bằng đầu chụp đặc biệt và chương trình di chuyển phim trong máy. Mỗi máy cũng có khả năng thêm vào những chỗ gắn cephalometric để cho phép xem hình ảnh tiêu chuẩn của sọ. Một số máy cũng có khả năng tự động kiểm soát mức độ phơi nhiễm. Điều này được thực hiện bằng cách đo lường lượng phóng xạ đi qua xương hàm dưới của bệnh nhân trong phần đầu của quá trình phơi nhiễm và điều chỉnh những nhân tố hình ảnh (đỉnh kilovoltage [kVp ] , milliamperage [ mA ], và tốc độ ảnh di chuyển) để đạt được sự phơi sáng một hình ảnh chính xác. Cuối cùng, tất cả những máy đều có sẵn cấu hình CCD kỹ thuật số.




Bây giờ có những máy đa chức năng điều khiển bằng máy tính trong đó hướng và tốc độ di chuyển của đầu ống và phim khác nhau nhiều, trong một số trường hợp bao gồm cắt lớp đa chiều. Điều này cho phép máy được lập trình hóa để hình ảnh cắt lớp qua nhiều vùng của đầu. Chẳng hạn, chúng có thể được lập hình ảnh trên mặt phẳng trán hoặc mặt bên của khớp thái dương hàm, phần thân hoặc đứng dọc qua các xoang hàm trên, và cắt ngang qua một phần được quyết định trước của hàm trên và hàm dưới. Những máy này có tính linh hoạt hơn máy chụp phim toàn cảnh truyền thống và chúng đắt tiền hơn. Hầu hết những kiểm tra đặc biệt được thực hiện trên những máy này sử dụng cắt lớp tròn hoặc hipoxicloit. Sử dụng những dụng cụ này đã giảm đáng kể trong những năm gần đây với việc sử dụng ngày càng nhiều của cone-beam computed tomography (CBCT). Một số máy chụp phim toàn cảnh mới cũng có khả năng hoàn thành một số mức độ hình ảnh của CBCT.
Vị trí bệnh nhân và vị trí đầu
Để đạt được một phim toàn cảnh có giá trị chẩn đoán thì cần chuẩn bị bệnh nhan đúng và đặt vị trí đầu bệnh nhân cẩn thận trong lớp ảnh. Những khí cụ nha khoa, bông tai, dây chuyền, hoặc bất cứ vật gì bằng kim loại ở vùng đầu và cổ nên được tháo bỏ. Giải thích hoạt động của máy và yêu cầu bệnh nhân đứng yên trong suốt quá trình chụp. Điều này đặc biệt cần thiết đối với trẻ con vì các em thường hay lo lắng. Trẻ con nên được hướng dẫn nhìn về phía trước và không nhìn theo đầu ống chụp
Vị trí theo chiều trước sau của bệnh nhân khi chụp phim thường đạt được nhờ bệnh nhân đặt rìa cắn răng cửa hàm trên và hàm dưới vào một khía hình V trên tấm cắn (thiết bị định vị). Bệnh nhân không nên trượt hàm dưới vào một bên khi định vị hàm dưới ra trước. Mặt phẳng đứng dọc giữa phải nằm ngay giữa lớp ảnh của máy chụp X quang cụ thể.
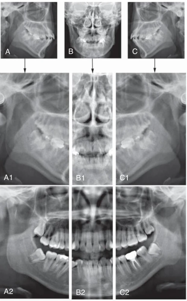
Vị trí bệnh nhân quá xa về phía trước hoặc phía sau đều dẫn đến sai lệch về kích thước hình ảnh nghiêm trọng. Quá xa về phía sau dẫn đến phóng đại kích thước gần xa ở đoạn phía trước và dẫn đến làm răng bị “mập”. Quá xa về phía trước dẫn đến giảm kích thước gần xa ở phân đoạn răng trước dẫn đến răng “gầy”. Đặt vị trí mặt phẳng dọc giữa sai so với đường giữa của máy X quang dẫn đến hình ảnh bên phải và bên trái có độ phóng đại không bằng nhau theo chiều ngang. Chọn vị trí đường giữa sai là một lỗi phổ biến, dẫn đến biến dạng hình ảnh theo chiều ngang ở vùng răng sau, chồng hình ảnh răng ở vùng răng cối nhỏ và đôi khi không thể chẩn đoán được, trên lâm sàng đây là một hình ảnh không thể chấp nhận được. Một phương pháp đơn giản để đánh giá mức độ biến dạng theo chiều ngang của hình ảnh là so sánh độ rộng của răng cối lớn thứ nhất hàm dưới ở hai bên. Bên nhỏ hơn là quá gần với receptor và bên lớn hơn quá gần với nguồn tia X. Cằm của bệnh nhân và mặt phẳng nhai phải nằm ở vị trí đúng để tránh biến dạng hình. Mặt phẳng nhai được sắp sao cho nó thấp hơn về phía trước, tạo góc từ 20 đến 30 độ dưới đường nằm ngang. Một hướng dẫn chung đối với vị trí của cằm là đặt bệnh nhân sao cho một đường từ vành tai đến khóe ngoài của mắt song song với sàn nhà. Nếu cằm nghiêng quá cao, mặt phẳng nhai trên phim sẽ phẳng hoặc cong ngược, và hình ảnh xương hàm dưới bị biến dạng. Ngoài ra, một bóng cản quang của khẩu cái cứng chồng lên các chân răng hàm trên. Nếu cằm nghiêng quá thấp, răng bị chồng lên nhau nghiêm trọng, khu vực xương hàm dưới có thể bị mất ở trên phim, và cả lồi cầu xương hàm dưới có thể nằm ra ngoài cạnh trên của phim. Bệnh nhân có vị trí sao cho lưng của họ và xương sống càng thẳng với cổ càng tốt. Hướng dẫn bệnh nhân đứng trên tấm lót chân và sử dụng nệm để hỗ trợ phần lưng có thể giúp định vị vị trí lưng đúng một cách dễ dàng trong trường hợp ngồi chụp. Những thiết bị này giúp làm thẳng đốt sống, giảm tối thiểu hình ảnh giả do bóng của cột sống.


Vị trí cổ đúng cách được thực hiện tốt nhất bằng cách đặt một lực dựng nhẹ lên phần nhô của xương chẩm khi điều chỉnh vị trí đầu. Để bệnh nhân cúi đầu và hướng cổ về phía trước tạo nên một hình ảnh mờ đục lớn trên đường giữa do hiện tượng chồng cấu trúc của khối cột sống cổ. Bóng này che đi toàn bộ vùng giữa của xương hàm dưới và có thể cần chụp phim lại. Cuối cùng, sau khi bệnh nhân được điều chỉnh vị trí chụp, nên hướng dẫn bệnh nhân nuốt và giữ lưỡi tại trần miệng. Điều này nâng phần lưng lưỡi lên khẩu cái cứng, loại bỏ phần không gian trống và cho hình ảnh tối ưu vùng chóp chân răng hàm trên.
Thụ thể nhận ảnh
Màn hình làm nổi thêm thường được sử dụng thường quy trong chụp phim toàn cảnh vì chúng giảm đáng kể lượng phóng xạ cần thiết cho việc chụp một phim X quang đúng. Phim nhanh kết hợp với màn hình tốc độ cao được chỉ định cho hầu hết những trường hợp chụp phim kiểm tra. Trong hầu hết các trường hợp, nhà sản xuất cung cấp máy chụp phim toàn cảnh với màn tình làm nổi nét. Loại màn hình (nhà sản xuất hoặc mô hình) được in bằng chữ đen trên mỗi màn hình và được chiếu rõ trên phim X quang. Với màn hình tốc độ cao và phim nhanh, sự phơi nhiễm của da bệnh nhân khi chụp phim toàn cảnh gần như tương đương với chụp phim cánh cắn bằng phim F-speed.
Hầu hết các nhà sản xuất đã phát triển máy chụp him toàn cảnh kỹ thuật số. Thụ thể trên loại máy này là một anten CCDs hoặc một đĩa PSP kích cỡ phim thay vì phim. Anten CCD truyền tín hiệu điện tử đến máy tính điều khiển, hiển thị hình ảnh lên màn hình khi yêu cầu. Phần mềm của máy giúp điều chỉnh bên trong dữ liệu thu thập để hiển thị hình ảnh diễn giải lên màn hình. Đĩa PSP được xử lý theo cách tương tự như PSP trong miệng, và một hình ảnh điều chỉnh tương tự được thực hiện tự động bởi gói phần mềm. Cả hai phương thức thay đổi kỹ thuật số này cho phép người dùng thực hiện xử lý hình ảnh sau khi chụp, bao gồm điều chỉnh độ tương phản, mật độ, đảo ngược đen/trắng, phóng đại vùng quan tâm, nhấn mạnh bờ viền, và hiển thị màu. Hầu hết những máy có được và lưu trữ dữ liệu điện tử ở định dạng DICOM (hình ảnh kỹ thuật số và thông tin y khoa); điều này cho phép lưu thông hình ảnh nhanh chóng trên toàn thế giới đến tất cả các trám máy tương thích của DICOM. DICOM là ngôn ngữ chuẩn quốc tế cho việc giao tiếp điện tử hình ảnh kỹ thuật số, có thể là chụp phim, chụp ảnh, lát cắt mô bệnh hoặc hoặc bất cứ loại “hình ảnh” nào khác. Hiệp hội Nha khoa Mỹ khuyến nghị rằng tất cả các máy X quang kỹ thuật số sản xuất sau năm 2004 tuân thủ theo DICOM. Những đơn vị này đang trở thành loại được sử dụng rộng rãi khi ngành nha sử dụng hình ảnh kỹ thuật số trực tiếp và lưu trữ hồ sơ bệnh nhân điện tử.
Tất cả các hình ảnh phim toàn cảnh nên có một số cơ chế tự động đánh dấu phía bên trái hoặc bên phải trên ảnh. Ngoài ra, tên bệnh nhân, tuổi và ngày chụp phim cũng cần được đánh dấu bằng bút, in ảnh, hoặc dán nhãn. Tên nha sĩ phải nằm trên ảnh. Không có cấu trúc giải phẫu quan trọng nào bị che khuất bởi bút hoặc nhãn dán. Ngoài ra không có phần nào của hình ảnh bị cắt để làm cho phim phù hợp với biểu đồ dữ liệu của bệnh nhân.
Kỹ thuật xử lý phim toàn cảnh trong phòng tối
Thủ thuật phòng tối đặc biệt cần khi xử lý phim toàn cảnh. Những phim này nhạy sáng hơn nhiều so với phim trong miệng, đặc biệt là sau khi chụp. Giảm ánh sáng trong phòng tối được sử dụng trong phim trong miệng là cần thiết. Một thiết bị lọc Kodak GBX-2 có thể dược cài đặt với một bóng đèn 15-watt ít nhất là 4 feet từ bề mặt làm việc. Không nên dùng một thiết bị lọc ML-2 vì nó làm mờ phim toàn cảnh. Phim toàn cảnh nên được xử lý bằng tay hoặc trong bộ xử lý phim tự động theo khuyến nghị của nhà sản xuất. Đặt kết quả tối ưu hay không tùy thuộc vào mức độ cẩn thận khi xử lý, rửa, chỉnh sửa và rửa sạch phim toàn cảnh như khi thực hiện với phim trong miệng.
Phân tích phim toàn cảnh
Như khi phân tích tất các các phim, điểm bắt đầu là phân tích hệ thống hình ảnh và sự hiểu biết toàn diện về hình ảnh các cấu trúc giải phẫu hình thường và những biến thể hình ảnh của chúng. Hình ảnh phim toàn cảnh khá khác với phim trong miệng và đòi hỏi một phương pháp tiếp cận có kỹ luật và trọng tâm khi phân tích. Nhận diện những cấu trúc giải phẫu bình thường trên phim toàn cảnh là một thách thức vì phức hợp giải phẫu phức tạp ở tầng mặt giữa, sự chồng lên nhau của các cấu trúc giải phẫu khác nhau và thay đổi hướng chụp phim. Nhiều hình ảnh ảo có khẳ năng tạo ra do sự dịch chuyển của máy và bệnh nhân, và giải phẫu bất thường của bệnh nhân phải được nhận diện và am hiểu. Sự vắng mặt của một cấu trúc giải phẫu bình thường có thể là phát hiện quan trọng nhất của hình ảnh. Vì vậy, điều cần thiết là nhận diện sự hiện diện và tính nguyên vẹn của tất cả các cấu trúc giải phẫu chính.
Hầu hết hình ảnh trong nha khoa là hình ảnh hai chiều biểu hiện cho những cấu trúc ba chiều. Vì vậy, trên phim sọ theo chiều trước sau, ổ mắt, xoăn mũi, răng, đốt sống cổ và xương đá đều có đậm độ sắc nét cùng vị trí trên ảnh, mặc dù chúng có thể cách xa nhau. Mặc dù điều này ít gây ra vấn đề trong phân tích phim toàn cảnh – vốn là hình ảnh uống cong các lát cắt của mô xương hàm mặt, nhưng vẫn cần cân nhắc độ dày của hình chụp, và nhà lâm sàng phải liên hệ đến cấu trúc trên hình ảnh với vị trí tương ứng trên cấu trúc xương. Một dẫn chứng về hình ảnh ba chiều là vị trí tương đối của đường chéo ngoài và gờ hàm móng (chỗ bám cơ hàm móng) trên xương hàm dưới: trên phim toàn cảnh, chúng thường sắc nét, trong khi đó trên thực tế thì gờ chéo ngoài nằm ở mặt ngoài và gờ hàm móng nằm ở mặt trong xương hàm dưới, hai vị trí này cách nhau vài millimet. Khi quan sát trên phim toàn cảnh, điều quan trọng mà nhà lâm sàng cần phải nhớ đó là nguyên tắc này và cố gắng hình dung những cấu trúc theo ba chiều không gian trong đầu.
Nhà lâm sàng nên quan sát hình ảnh như thể nhìn vào bệnh nhân, với những cấu trúc bên phải của bệnh nhân sẽ nằm phía bên trái của người xem ảnh. Vì vậy hình ảnh được hiển thị cùng chiều như với hình ảnh trên phim quanh chóp và phim cánh cắn, giúp việc phân tích phim dễ dàng hơn. Điều cực kỳ quan trọng là nhận ra các mặt phẳng của bệnh nhân thể hiện trên những phần khác nhau của phim toàn cảnh. Hình ảnh trên phim toàn cảnh thật ra gồm ba hình ảnh: hình ảnh bên phải và bên trái phía sau răng nanh và một hình ảnh theo chiều trước sau từ phía trước cho đến vị trí răng nanh. Phần phía trước cũng bị biến dạng nhiều nhất và bị chồng với những cấu trúc từ đốt sống cổ. Vì vậy, phương pháp tiếp cận bằng cách hình dung phim toàn cảnh gồm hai phần hình ảnh chụp phía bên quanh một phần ảnh chụp theo chiều trước sau ở giữa, một loại hình chiếu Mercator của mặt giữa và mặt dưới. Phương pháp hình dung này cho phim toàn cảnh được mình hoạ ở hình bên dưới.



Khi quan sát tất cả các hình ảnh, bạn nên che đi phần ánh sáng bên ngoài xung quanh ảnh, làm giảm ánh sáng trong phòng, và khi có thể, ngồi làm việc trong một căn phòng yên tĩnh. Điều này áp dụng tương tự đối với xem những hình ảnh kỹ thuật số trên màn hình máy tính và phim X quang truyền thống trên hộp đèn.
—
Nguồn: STUART C. WHITE, MICHAEL J. PHAROAH. “Oral Radiology: Principles and Interpretation”
Biên dịch: BS Lương Thị Quỳnh Tâm
