Trám bít ống tủy 3D vĩnh viễn: bước tiến mới với vật liệu sinh học trộn sẵn
Trong lĩnh vực nội nha hiện đại, mục tiêu cuối cùng của mọi ca điều trị không chỉ dừng lại ở việc loại bỏ mô tủy nhiễm trùng mà còn là việc thiết lập một hàng rào ngăn chặn vi khuẩn xâm nhập trở lại. Trám bít ống tủy đóng vai trò then chốt, quyết định đến 60% sự thành công lâu dài của một ca lâm sàng. Tuy nhiên, thách thức lớn nhất mà các bác sĩ nha khoa thường gặp phải chính là cấu trúc giải phẫu phức tạp của hệ thống ống tủy với các ống tủy phụ, eo nối và vùng chóp đa dạng. Sự ra đời của khái niệm trám bít ống tủy 3D vĩnh viễn kết hợp cùng các loại vật liệu sinh học trộn sẵn (premixed bioactive sealer) đã mở ra một kỷ nguyên mới, giúp tối ưu hóa độ kín khít và thúc đẩy quá trình lành thương quanh chóp một cách tự nhiên. Bài viết này sẽ phân tích sâu về xu hướng sử dụng vật liệu nha khoa sinh học và lý do vì sao đây là lựa chọn hàng đầu cho các phòng khám chuyên nghiệp hiện nay.

Tầm quan trọng của trám bít ống tủy 3D vĩnh viễn trong điều trị nội nha
Khái niệm trám bít ống tủy 3D vĩnh viễn không chỉ đơn thuần là việc lấp đầy ống tủy chính bằng Gutta-percha. Nó đòi hỏi một sự thâm nhập toàn diện của vật liệu trám bít vào mọi ngóc ngách vi thể, bao gồm cả các ống tủy phụ và các ống ngà. Theo các nghiên cứu lâm sàng năm 2023, hơn 30% các ca thất bại nội nha có nguyên nhân từ việc không kiểm soát được vi rò rỉ ống tủy ở vùng chóp hoặc các nhánh phụ. Việc đạt được độ kín khít 3D giúp cô lập hoàn toàn các vi khuẩn còn sót lại bên trong hệ thống ống tủy, ngăn chặn nguồn dinh dưỡng của chúng và tạo điều kiện cho các mô quanh chóp phục hồi.
Để đạt được độ kín khít 3D, bác sĩ cần một loại sealer có độ chảy lỏng (flowability) cực tốt nhưng vẫn phải đảm bảo tính ổn định về mặt thể tích. Các phương pháp truyền thống thường gặp khó khăn trong việc đưa vật liệu vào các eo nối hẹp. Ngược lại, với sự hỗ trợ của các thiết bị hiện đại như máy nội nha J.Morita và các dòng sealer sinh học thế hệ mới, việc kiểm soát không gian ba chiều trở nên khả thi và dự đoán được kết quả. Điều này đặc biệt quan trọng trong các ca viêm quanh chóp mãn tính, nơi mà sự kín khít tuyệt đối là điều kiện tiên quyết để xương ổ răng có thể tái tạo.
Thách thức từ cấu trúc giải phẫu và hiện tượng vi rò rỉ
Hệ thống ống tủy của con người là một mạng lưới phức tạp chứ không phải là một đường ống thẳng tắp. Sự hiện diện của các ống tủy phụ và vùng delta chóp khiến việc trám bít bằng kỹ thuật lèn ngang hay lèn dọc truyền thống đôi khi gặp hạn chế. Vi rò rỉ ống tủy xảy ra khi có sự co ngót của vật liệu hoặc khi sealer bị hòa tan bởi dịch mô theo thời gian. Khi đó, các khoảng trống siêu nhỏ sẽ trở thành nơi trú ngụ cho vi khuẩn, dẫn đến tình trạng đau nhức dai dẳng hoặc tái phát tổn thương quanh chóp sau vài năm điều trị.
Hạn chế của sealer truyền thống và sự ưu việt của vật liệu sinh học
Các loại sealer truyền thống dựa trên nền nhựa (resin-based) hoặc Zinc Oxide Eugenol đã được sử dụng rộng rãi trong nhiều thập kỷ. Tuy nhiên, chúng bộc lộ những nhược điểm cố hữu như độ co ngót vật liệu sau khi đông cứng và tính tương thích sinh học không cao. Một số loại sealer cũ thậm chí còn gây ra phản ứng viêm mô kéo dài nếu bị đẩy quá chóp. Ngoài ra, việc phải trộn tay thủ công thường dẫn đến sai số về tỉ lệ, làm thay đổi đặc tính lý hóa của vật liệu, gây ảnh hưởng trực tiếp đến cách trám bít ống tủy kín khít 3D mà bác sĩ mong muốn đạt được.
Sự chuyển dịch sang vật liệu sinh học trộn sẵn trong nội nha là một bước ngoặt lớn. Các dòng premixed bioactive sealer như sealer sinh học trộn sẵn BG Multi không yêu cầu thao tác trộn, giúp loại bỏ hoàn toàn bọt khí và đảm bảo tính đồng nhất tuyệt đối. Đặc tính quan trọng nhất của vật liệu này là khả năng tương thích sinh học cực cao, không gây kích ứng mô và có khả năng đông cứng ngay cả trong môi trường ẩm của ống tủy. Đây là yếu tố then chốt giúp nâng cao tỷ lệ thành công cho các ca nội nha bảo tồn, đặc biệt là trên những bệnh nhân có cơ địa nhạy cảm.
Cơ chế tương tác sinh học và hình thành hydroxyapatite
Khác với các vật liệu thụ động, vật liệu sinh học (bioceramics) có khả năng tương tác chủ động với mô răng. Khi tiếp xúc với dịch mô, chúng thực hiện quá trình giải phóng ion canxi, tạo ra môi trường kiềm (pH cao lên đến 12) có tác dụng kháng khuẩn mạnh mẽ. Quan trọng hơn, quá trình này thúc đẩy sự hình thành lớp hydroxyapatite tại bề mặt tiếp xúc giữa vật liệu và thành ngà răng. Lớp khoáng hóa này không chỉ giúp bịt kín các ống ngà mà còn tạo ra một liên kết hóa học bền vững, giúp hệ thống trám bít trở nên “vĩnh viễn” theo đúng nghĩa đen.
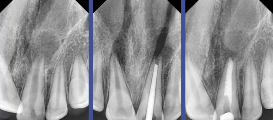
Kỹ thuật trám bít ống tủy single-cone với sealer sinh học BG Multi
Trong những năm gần đây, kỹ thuật trám bít ống tủy single-cone (một côn) đang dần thay thế các kỹ thuật lèn ép phức tạp nhờ vào sự hỗ trợ của sealer sinh học. Trước đây, kỹ thuật một côn thường bị nghi ngờ về độ kín khít do lớp sealer quá dày dễ bị co ngót. Tuy nhiên, với vật liệu sinh học trộn sẵn BG Multi, hiện tượng co ngót gần như bằng không (thậm chí có sự giãn nở nhẹ khoảng 0.1% để tăng độ khít). Điều này cho phép bác sĩ thực hiện quy trình trám bít nhanh chóng, giảm thiểu áp lực lên thành ống tủy, từ đó hạn chế nguy cơ nứt gãy chân răng – một biến chứng nguy hiểm trong nội nha.
Sealer sinh học trộn sẵn BG Multi được đánh giá là một trong những vật liệu trám bít ống tủy tốt nhất hiện nay nhờ thành phần chứa thủy tinh sinh học (bioglass). Độ chảy lỏng tối ưu của BG Multi cho phép vật liệu tự len lỏi vào các ống tủy phụ mà không cần lực lèn mạnh. Khi kết hợp với côn Gutta-percha có độ thuôn tương ứng với trâm tạo hình (như hệ thống trâm của J.Morita), quy trình trám bít trở nên đơn giản, hiệu quả và đạt được độ kín khít 3D vượt trội. Đây là giải pháp tối ưu cho các nha sĩ muốn nâng cao hiệu suất làm việc mà vẫn đảm bảo chất lượng điều trị cao nhất.

Ưu điểm của vật liệu sinh học trộn sẵn BG Multi tại Anh và Em
Sản phẩm BG Multi do ANE phân phối mang lại nhiều lợi thế lâm sàng rõ rệt. Thứ nhất là tính tiện dụng với dạng ống tiêm trộn sẵn, giúp bác sĩ tiết kiệm thời gian sửa soạn. Thứ hai là khả năng cản quang cao, giúp dễ dàng kiểm soát kết quả trên phim X-quang sau khi trám. Thứ ba, và cũng là quan trọng nhất, chính là khả năng hỗ trợ lành thương quanh chóp nhanh chóng nhờ cơ chế sinh học đặc thù. Việc sử dụng BG Multi giúp giảm thiểu đáng kể tình trạng đau sau điều trị (post-operative pain), mang lại trải nghiệm nhẹ nhàng hơn cho bệnh nhân.

Vai trò của công nghệ và thiết bị trong việc tối ưu hóa kết quả nội nha
Để vật liệu sinh học phát huy tối đa hiệu quả, việc sửa soạn ống tủy đúng tiêu chuẩn là điều bắt buộc. Một ống tủy được làm sạch cơ học và hóa học tốt sẽ tạo điều kiện cho sealer bám dính và tương tác với thành ngà. Các thiết bị như máy định vị chóp và máy mô tơ nội nha của J.Morita (Nhật Bản) giúp bác sĩ xác định chính xác chiều dài làm việc và tạo hình ống tủy một cách an toàn. Khi ống tủy được tạo hình với độ thuôn phù hợp, việc đưa sealer sinh học trộn sẵn vào vùng chóp sẽ trở nên chính xác hơn, tránh tình trạng thiếu hoặc dư vật liệu quá mức.
Bên cạnh đó, việc sử dụng các thiết bị rung siêu âm như Mectron trong quá trình bơm rửa giúp loại bỏ hoàn toàn mùn ngà và vi khuẩn trong các ống tủy phụ. Chỉ khi bề mặt ngà răng sạch sẽ, các ion canxi từ premixed bioactive sealer mới có thể thẩm thấu và tạo nên lớp liên kết sinh học vững chắc. Sự kết hợp giữa thiết bị đỉnh cao và vật liệu tiên tiến chính là công thức tạo nên sự thành công bền vững cho các ca trám bít ống tủy 3D vĩnh viễn. Tại Việt Nam, ANE tự hào là đơn vị cung cấp trọn gói các giải pháp này cho các phòng khám nha khoa chuyên nghiệp.
Tiêu chuẩn quy định và xu hướng nội nha bảo tồn tại Việt Nam
Theo xu hướng nha khoa thế giới và các hội thảo nội nha tại Việt Nam năm 2024, nội nha bảo tồn đang trở thành kim chỉ nam. Việc hạn chế lấy đi quá nhiều mô răng và sử dụng các vật liệu có tính tương thích sinh học cao được ưu tiên hàng đầu. Các quy định về kiểm soát nhiễm khuẩn và tiêu chuẩn vật liệu của Bộ Y tế cũng ngày càng khắt khe hơn, thúc đẩy các bác sĩ tìm kiếm những sản phẩm có nguồn gốc rõ ràng, đạt chứng nhận quốc tế như BG Multi. Điều này không chỉ bảo vệ sức khỏe bệnh nhân mà còn nâng cao uy tín cho phòng khám.
Câu hỏi thường gặp về trám bít ống tủy và vật liệu sinh học
1. Vật liệu sinh học trộn sẵn có dễ bị hòa tan trong dịch mô theo thời gian không?
Không. Ngược lại với các loại sealer truyền thống, vật liệu sinh học trộn sẵn như BG Multi có tính ổn định rất cao và không bị hòa tan sau khi đã đông cứng hoàn toàn. Thậm chí, khả năng hình thành hydroxyapatite còn giúp tăng cường độ kín khít theo thời gian, ngăn chặn hiệu quả hiện tượng vi rò rỉ ống tủy.
2. Kỹ thuật single-cone có thực sự đảm bảo kín khít bằng kỹ thuật lèn nóng không?
Với các loại sealer truyền thống, kỹ thuật lèn nóng thường được ưu tiên để giảm độ dày của sealer. Tuy nhiên, với sealer sinh học, kỹ thuật single-cone hoàn toàn đảm bảo độ kín khít 3D vì vật liệu này không co ngót và có khả năng bám dính hóa học vào thành ngà. Nhiều nghiên cứu đã chứng minh tỷ lệ thành công của hai kỹ thuật này là tương đương khi sử dụng đúng loại vật liệu sinh học phù hợp.
3. Nếu sealer sinh học bị đẩy quá chóp thì có gây nguy hiểm không?
Nhờ tính tương thích sinh học cực cao, nếu một lượng nhỏ sealer sinh học vô tình bị đẩy quá chóp, nó thường không gây ra phản ứng viêm cấp tính hay đau nhức dữ dội như sealer nền nhựa. Trong nhiều trường hợp, nó còn đóng vai trò như một khung dẫn xương, hỗ trợ quá trình tái tạo mô tại vùng tổn thương quanh chóp.
4. Thời gian đông cứng của sealer sinh học trộn sẵn là bao lâu?
Thời gian đông cứng của premixed bioactive sealer phụ thuộc vào độ ẩm trong ống tủy. Thông thường, vật liệu sẽ bắt đầu đông cứng sau khoảng 2-4 giờ và đạt độ ổn định hoàn toàn sau 24 giờ. Bác sĩ không cần phải làm khô ống tủy quá mức (bone dry), chỉ cần thấm khô bằng côn giấy là đủ để vật liệu hoạt hóa tốt nhất.
Kết luận và giải pháp nội nha toàn diện từ Anh và Em
Việc ứng dụng trám bít ống tủy 3D vĩnh viễn với các dòng vật liệu sinh học trộn sẵn không chỉ là một xu hướng mà đã trở thành tiêu chuẩn mới trong nội nha hiện đại. Sự kết hợp giữa kỹ thuật chính xác, thiết bị tiên tiến và vật liệu thông minh giúp bác sĩ tối ưu hóa kết quả điều trị, mang lại sự an tâm tuyệt đối cho bệnh nhân. Với những ưu điểm vượt trội về tính tương thích, khả năng kháng khuẩn và độ kín khít, sealer sinh học chính là chìa khóa để nâng tầm chất lượng dịch vụ nha khoa của bạn.
Nếu quý bác sĩ đang tìm kiếm giải pháp vật liệu nha khoa chính hãng hoặc cần tư vấn sâu hơn về dòng sealer sinh học trộn sẵn BG Multi cũng như các thiết bị nội nha từ J.Morita, hãy liên hệ ngay với ANE. Chúng tôi cam kết mang đến những sản phẩm công nghệ hàng đầu cùng dịch vụ hỗ trợ kỹ thuật chuyên nghiệp nhất. Hãy liên hệ với Anh và Em ngay hôm nay để nhận tư vấn miễn phí và trải nghiệm giải pháp nội nha toàn diện!


