4. Cong ở phần giữa
Trong điều trị nội nha, quá trình chuyển tiếp từ phần thân đến phần chóp thường ít khi gặp tai biến nhưng đôi khi xuất hiện một số khó khăn, đáng quan tâm nhất là nguy cơ thủng chân răng. Nếu mở rộng quá nhiều bằng mũi Gates Glidden hoặc Hedström file có thể tạo ra lỗ thủng dọc về phía chẽ chân răng và rất khó để sửa chữa. Quan trọng nhất là bạn phải tạo và duy trì được đường trượt, để cho phép các dụng cụ tiến sâu một cách an toàn về phía chóp (xem bài Chiến lược vươn tới chóp răng). Tập trung và chú ý đến các chi tiết là bắt buộc nếu bạn muốn tránh các tai biến thủ thuật do dụng cụ cầm tay hoặc dụng cụ quay lớn.
Uốn cong trước các file nhỏ một cách chính xác để sửa soạn vùng chóp
Khi bắt đầu nong rộng các ống tủy cong, một trong các dụng cụ quan trọng nhất để nong rộng và làm tăng cảm giác tay của nha sĩ đó là file thăm dò thép không gỉ được uốn cong phù hợp. Uốn cong trước file một cách chính xác trước khi sử dụng sẽ hiệu quả hơn nhiều một file thẳng khi nong rộng phần chóp răng có giải phẫu phức tạp. Khả năng uốn cong một file thép không gỉ loại nhỏ là một kỹ năng cần thiết mà nha sĩ phải có để xử lý tốt phần chóp ở các mm cuối cùng. Đầu tận cùng của file có vai trò thăm dò vùng chóp phải được uốn cong một cách đều đặn, không được quá gập. File được sử là các file dẻo cỡ nhỏ như số 6, 8 và 10; thậm chí có thể uốn cong hình chữ C ở 2 đến 3mm phần cuối của file. Trong trường hợp giải phẫu ống tủy thẳng hơn độ cong của file, file sẽ linh hoạt thích nghi với ống tủy mà không làm thay đổi hình dạng của ống tủy. Trường hợp giải phẫu vùng chóp rất phức tạp với nhiều đoạn cong, file sẽ có được sự thích ứng cần thiết để có thể nong rộng phần ống tủy dị dạng đó.
5. Cong ở phần chóp
Các điểm cong mạnh dấu kín ở phần chóp của ống tủy dễ dẫn nha sĩ đến các sai sót khi sửa soạn. Nguy cơ bị tắc và tạo khấc có thể xảy ra nếu nha sĩ cố tình đưa file cứng một cách bừa bãi vào phần chóp của ống tủy. Hậu quả là mất sự thông suốt của ống tủy, sửa soạn thiếu, hàn thiếu. Củng cố và duy trì sự thông suốt của ống tủy là rất quan trọng để tạo hình thành công trong các hệ thống ống tủy phức tạp. Dưới đây là một số chiến lược thao tác ở vùng chóp đã được chứng minh là có hiệu quả:
5.1 Thao tác một cách thụ động
Trong điều trị nội nha, bằng mọi giá nha sĩ phải tránh sửa soạn vùng chóp răng một cách thô bạo. Đây là một quan điểm lâm sàng tối quan trọng để tránh tạo khấc và làm dịch chuyển khỏi vị trí ban đầu của ống tủy.
Khi ống tủy bị tắc, bạn sẽ mất kiểm soát, và case bệnh ngay lập tức sẽ trở nên khó khăn. Nếu nha sĩ có thể nghiêm khắc với bản thân, không ấn mạnh và không thao tác quá nhanh, họ sẽ tránh được các sai sót phổ biến của việc sửa soạn thô bạo. Đây không phải là một việc dễ thực hiện hay một thói quen dễ bỏ. Một sai lầm phổ biến là mong muốn tự nhiên muốn đưa dụng cụ vào vị trí nhanh nhất có thể. Hậu quả là, luôn luôn tồn tại một sự xúi giục ấn dụng cụ vào, ngay cả khi có sự cản trở thao tác thụ động. Bạn cần sự khéo léo, không phải là cần lực (finesse not force).
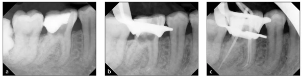
May mắn là chỉ cần những thao tác nhẹ nhàng nhất cũng dễ dàng làm sạch vùng chóp. Việc uốn cong đầu file với cả file thép không gỉ và file NiTi đều làm giảm nguy cơ tạo khấc, nhưng cũng không thể loại bỏ hoàn toàn rủi ro đó nếu thao tác không đúng cách và trên thực tế file có thể gãy một cách bất ngờ (Hình 21-3).

Hình 21-3: Sửa soạn ống tủy một cách thô bạo bằng trâm quay cứng có thể gây tai biến, nhưng quan trọng hơn, có thể dẫn đến gãy file ở phần chóp. (a) Hình ảnh sau khi mở tủy. (b) Hình ảnh cho thấy đoạn file gãy ở ống tủy gần trong nằm dưới chỗ cong. (c) Đoạn file gãy không thể lấy ra được và nha sĩ đã cố gắng hàn ống tủy xung quanh đoạn file đó.
5.2 Tạo ra sự thông suốt
Những mô liên kết bên trong ống tủy giống với các mô cấu trúc nên bám dính quanh răng, chúng đi vào lỗ chóp và trở thành mô tủy. Các mô này có cùng nguồn gốc và tạo ra một thể liên tục từ bám dính quanh răng tới buồng tủy.
Lấy tủy là một thủ thuật ngoại khoa thực hiện ngang mức bám dính quanh răng, và là nguyên nhân của cảm giác đau xuất hiện sau khi lấy tủy.Giữ thông suốt là thao tác sử dụng một file thép không gỉ nhỏ (Số 6, 8 hoặc 10) vượt quá chóp răng một chút trong khi đánh giá chiều dài để củng cố sự thông suốt qua điểm tận cùng trong khi tạo hình. Việc này vô cùng quan trọng đối với cảm giác tay để cảm nhận được điểm thắt chóp nơi mà nha sĩ sẽ tạo ra điểm kết thúc sửa soạn. Theo định nghĩa, file phải nhỏ, dẻo, và không làm rộng điểm thắt chóp.Làm sạch và tạo hình tới điểm thắt chóp, loại bỏ một cách có dự đoán các chất bẩn bên trong ống tủy. Thông thường, điểm tận cùng này được cảm nhận bởi nha sĩ, nó có thể được xác nhận bằng máy định vị chóp và hỗ trợ bởi X-quang và côn giấy.Điểm thắt chóp trở thành điểm có đường kính hẹp nhất bên trong ống tủy và là điểm tốt nhất để bít kín ống tủy. Do hình dạng phía sau thắt chóp được tạo và làm sạch bằng dung dịch bơm rửa, nên việc cảm nhận điểm thắt chóp và vượt qua nó bằng file thông suốt uốn cong trước sẽ dễ dàng hơn. Nhắc lại, thông suốt không được nhầm lẫn với sửa soạn quá chóp, nghĩa là các dụng cụ lớn bị đưa qua lỗ chóp có thể phá hủy thắt chóp và gây ra hậu quả là đau và viêm.
Lưu ý: Sự thông suốt sẽ mang lại cho nha sĩ các lợi ích rõ ràng trong việc đạt được cơ sở sinh học của điều trị.
Phần chóp của ống tủy sẽ sạch hơn khi dung dịch bơm rửa được đi tới vùng chóp nhờ duy trì sự thông suốt.Xác nhận thông suốt nên đi trước khi bơm rửa, nhờ vậy dung dịch bơm rửa mới có thể thay thế dung dịch cũ khi file thông suốt được rút ra.Hiệu quả bơm rửa sẽ cải thiện nếu sự thông suốt được duy trì.Thực hiện thông suốt liên tục sẽ giúp báo trước cho nha sĩ khi khấc hoặc mất trung tâm bên trong ống tủy xảy ra. Khi đó, điều quan trọng nhất là phải ngừng sửa soạn và lấy lại sự thông suốt để tránh các sai sót tạo hình có thể làm tắc ống tủy và góp phần làm kéo dài phản ứng viêm.
5.3 Tranh luận
Quan điểm thông suốt chóp răng và đưa dụng cụ thông suốt qua lỗ chóp của ống tủy vẫn đang bị tranh cãi bởi một số ít nha sĩ điều trị nội nha. Họ chỉ ra mối lo lắng về việc đẩy chất bẩn ra khỏi chóp có thể gây viêm, và đau sau điều trị. Tuy nhiên, qua nhiều năm các nghiên cứu đã cho thấy rằng tất cả những phương pháp sửa soạn đều đẩy chất bẩn ra khỏi chóp ngay cả khi trám bít ngắn hơn lỗ chóp tối thiểu là 1mm. Do đó, việc thực hiện thông suốt không có mối liên quan trực tiếp hay gián tiếp nào với việc làm tăng nặng tình trạng bệnh hay sưng đau giữa các buổi hẹn.
6. Kết luận
Những khó khăn về giải phẫu của các ống tủy cong đòi hỏi nha sĩ phải có sự thay đổi chiến lược khi sửa soạn (Hình 21-4). Nha sĩ cần phải thận trọng:
Đánh giá hình dạng ống tủy.Mở rộng phần thân của ống tủy trước tiên.Một khi đường trượt đã được thiết lập, tiếp theo là sửa soạn với các file dẻo, lý tưởng là dụng cụ quay NiTi.Thực hiện chu kỳ file để tạo ra khoảng trống khi cần.Sử dụng K-file nhỏ uốn cong trước để kiểm tra sự thông suốt.Bôi trơn bằng natri hypochlorite hoặc gel chứa ethylenediamine -tetraacetic acid (EDTA).Thiết lập một hình dạng sao cho thuận lợi nhất với mục tiêu tạo hình và ít gây tai biến thủ thuật nhất.
Lưu ý: Trong khi điều trị, nếu thường xuyên xuất hiện các biến đổi giải phẫu không đoán trước được và các vấn đề khác có thể làm phức tạp quá tình điều trị, các chiến lược tạo hình đặc biệt sau đây sẽ cho phép nha sĩ điều trị thành công phần lớn các ca khó (Hình 21-5 và 21-6).

Hình 21-4: Các bước tiến hành sửa soạn ống tủy cong theo phương pháp crown-down. (a) Trước tiên thăm dò ống tủy bằng một file nhỏ (số 10 hoặc đôi khi nhỏ hơn). (b) Sử dụng trâm quay để mở rộng phía thân răng. (c) Bơm rửa đầy đủ sẽ làm tăng khả năng loại bỏ chất bẩn và tránh tắc. Sau đó, kiểm tra sự thông suốt và chiều dài làm việc được xác định. (d) Sau khi đã tạo một đường trượt với K-file số 20, các bước crown-down tiếp theo với các trâm quay vươn tới và sửa soạn phần chóp của ống tủy. (e) Hình dạng cuối cùng của ống tủy là một hình thuôn nhẵn liên tục.

Hình 21-5: Răng cối lớn thứ nhất hàm trên với bốn ống tủy chính và một ống tủy hàm ếch bị chia đôi. Phim X-quang chẩn đoán (a) và sau điều trị (b). (c) Hình ảnh lâm sàng cho thấy hai lỗ ống tủy gần ngoài.

Hình 21-6: Răng cối lớn hàm dưới với bốn ống tủy, trong đó ống tủy xa thứ hai không phát hiện được ở lần đánh giá ban đầu. Phim chẩn đoán (a) và sau điều trị (b). Hình ảnh lâm sàng cho phép khẳng định sự hiện diện của ống tủy xa thứ hai (c).
Nguồn: Nha.si
