PHẦN 1 – NỀN TẢNG CỦA ĐIỀU TRỊ ỐNG TUỶ CHÂN RĂNG
Nội nha lâm sàng chứa đựng nhiều loại điều trị, nhưng có lẽ quan trọng nhất chính là điều trị tuỷ và hệ thống ống tuỷ chân răng (có hoặc không các bệnh lý cận chóp nguồn gốc tuỷ răng) để bệnh nhân có thể giữ răng tự nhiên – đáp ứng chức năng và thẩm mỹ. Loại khác là điều trị các chấn thương răng và điều trị dự phòng của tuỷ răng sống nhằm giữ sự sống của tuỷ, nó khác hẳn với phương pháp lấy bỏ tuỷ hoàn toàn đòi hỏi tạo hình ống tuỷ chân răng. Tuy nhiên, điều trị nội nha hướng tới mục tiêu: chữa hoặc phòng ngừa viêm nha tình trạng chu cận chóp. Quy trình lý tưởng để điều trị chân răng là từ trên xuống, nó có khả năng thành công cao, dù đó là ống tuỷ thẳng (Hình 9-1) hay các ca khó hơn (Hình 9.2 và 9.3). Trong báo cáo và các nghiên cứu gần đây, tỉ lệ điều trị thành công viêm tuỷ không hồi phục lên tới 95%,85% trong trường hợp tuỷ hoại tử.
Đến nay, có rất nhiều phương thức điều trị, bao gồm cả các dụng cụ quay nickel-titanium, nhưng lại không cho thấy kết quả lý tưởng điều trị như mong đợi. Đây quả là một vấn đề lớn vì các kỹ thuật điều trị mới phải có kết quả tốt hơn các quy trình điều trị chuẩn cơ bản. Chỉ một số lượng ít kết quả nghiên cứu lâm sàng được chứng minh bằng các thí nghiệm in vitro.
1. Cơ chế sinh học của các bệnh lý tuỷ răng.
Rất nhiều các yếu tố trước và sau khi điều trị được cho là có liên quan tới kết quả điều trị nội nha. Những yếu tố này bao gồm tuổi và giới tính của bệnh nhân, vị trí của răng trên cùng hàm, độ rộng của ống tuỷ, các vật liệu băng ống tuỷ giữa các lần hẹn. Ví dụ như canxi hidroxit [Ca(OH)2]. Sự có mặt của các tổn thương xương cận chóp (ví dụ bệnh viêm nha chu chóp răng) được coi là một yếu tố tiên lượng làm giảm kết quả khả quan của điều trị tuỷ răng. Tuy nhiên, kích thước của tổn thương không phải là chỉ định để quyết định phẫu thuật nội nha. Hình 9-4 cho thấy hai trường hợp có tổn thương xương lớn được điều trị bằng phương pháp nội nha thông thường (từ trên xuống hay hướng thuận). Đối với những lần hẹn tiếp theo, răng đã không có triệu chứng, và kích thước tổn thương giảm hẳn cho cả hai ca.
Một số câu hỏi được đặt ra liên quan tới tổn thương như trường hợp trong hình 9-4 chính là về nang. Nhiều nghiên cứu đã chứng minh rằng, kích thước của tổn thương cho thấy ít có sự liên quan với tỉ lệ có nang chân răng. Chỉ có xét nghiệm mô học mới có thể chứng minh vùng thấu quang xuất hiện trên phim X-quang có phải là nang hay không. Các nang thật sự sẽ được lấy bỏ bằng nạo phẫu thuật, trong khi đó, phần lớn các tổn thương không phải nang ở chóp răng sẽ liền thương sau điều trị nội nha thông thường mà không cần phẫu thuật. Do đó cách tiếp cận nội nha theo hướng thuận được sử dụng rộng rãi cho các trường hợp lâm sàng không có triệu chứng và cần hẹn tái khám với các khoảng thời gian phù hợp.
Nếu các triệu chứng lâm sàng kéo dài hoặc bắt đầu sau khi điều trị chỉnh nha, phẫu thuật có thể diễn ra bên cạnh điều trị ống tuỷ theo hướng thuận.Trong trường hợp ở hình 9-5, một tổn thương lan rộng tới xoang hàm trên và hốc mũi đã được điều trị bằng phẫu thuật 1 tuần sau khi điều trị ống tuỷ bình thường răng #7 và #8, cùng với việc lấy bỏ hai dụng cụ gãy. Tổn thương được nạo sạch hoàn toàn trong khi phẫu thuật, và mẫu mô được gửi đi sinh thiết để khẳng định mô bệnh học, tổn thương được chẩn đoán là nang chân răng. Đúng như dự đoán, bệnh nhân cảm thấy khá khó chịu sau phẫu thuật. Điều này cho thấy, tốt nhất nên tiếp cận bằng nội nha thông thường không phẫu thuật nếu có thể.
Khi điều trị ống tuỷ là một phần của kế hoạch điều trị chuyên sâu, kết quả thuận lợi của phần ống tuỷ chân răng là điều kiện chủ yếu cho thành công của toàn bộ kế hoạch. Việc sử dụng cầu răng dài hoặc hàm giả tháo lắp phụ thuộc vào mô xung quanh răng có đủ khoẻ mạnh. Hình 9.6 cho thấy một trường hợp, mà trong đó ngay từ lần khám đầu tiên, chỉ định sử dụng hàm giả tháo lắp là không thể tránh được. Sau khi quá trình nhổ răng và điều trị tuỷ được thực hiện, một hàm giả bán phần cố định, ít đơn vị được đặt vào vị trí. Các phục hồi này giúp bảo đảm chức năng và cho phép bệnh nhân tận dụng được hàm răng tự nhiên.
Kết luận, phương pháp điều trị tuỷ tiêu chuẩn đáp ứng ở mức cao cho các ca bình thường và các ca phức tạp. Một số hạn chế còn tồn tại nhưng kết quả thu được khá thuận lợi. Khi chỉ định điều trị tuỷ được đưa ra,việc làm sạch và tạo hình ống tuỷ phải được thực hiện ngay lập tức để chống lại các loại vi sinh trong hệ thống ống tuỷ.

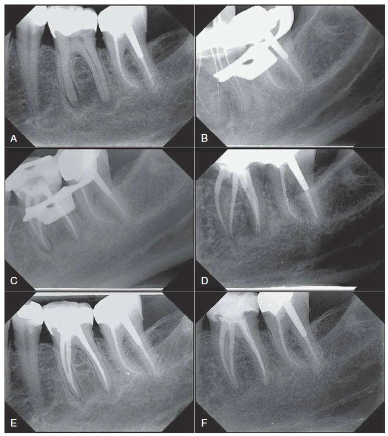
Hình 9.1 Tác động của điều trị tuỷ trên răng hàm – hàm dưới. A – Hình ảnh phim chụp trước khi điều trị của răng #19 cho thấy tổn thương thấu quang ở phía xa và phía gần của phần chóp răng. B – Hình ảnh phim chụp kiểm soát chiều dài làm việc cho thấy hai ống tuỷ phân biệt ở chân gần và hai ống tuỷ gần như nhập vào nhau ở chân xa. C – Hình ảnh phim chụp sau tạo hình hệ thống ống tuỷ với file nickel- titanium và trám bít bằng gutta-percha hơ nóng. D – Hình ảnh phim chụp tái khám sau 6 tháng răng #19 với phục hồilà chụp sứ; tái tạo xương gần chóp có thể quan sát thấy. E – Hình ảnh phim chụp tái khám sau 1 năm cho thấy sự liền thương tiếp tục ở vùng cận chóp. F – Hình ảnh phim chụp tái khám sau 5 năm, răng không chỉ hồi phục ở vùng cận chóp mà còn đáp ứng đủ chức năng và không có triệu chứng trên lâm sàng.


Hình 9.2. Điều trị tuỷ trong trường hợp bệnh lý chẽ răng và chóp răng. A – Hình ảnh phimchụp trước điều trị của răng #19 cho thấy tổn thương chẽ. B,C – Hình ảnh phim chụp sau sửa soạn và trám bít ống tuỷ. Chú ý ống tuỷ phụ trên 1/3 cổ của ống tuỷ. D,E – Hình ảnh phim chụp tái khám sau 2 tháng cho thấy sự liền vết thương nhanh (Courtesy Dr. H. Walsch.)
Các vi sinh vật có thể phá vỡ rào chắn mô cứng của răng bằng nhiều con đường, điển hình là sâu răng.
2. Giải phẫu răng
Phản ứng tuỷ có thể giúp quan sát thấy một khi vi sinh vật hoặc chất độc của chúng vượt qua rào chắn mô cứng (độ dày ngà răng còn lại) tác động lên tuỷ răng. Dưới các điều kiện thí nghiệm, viêm tuỷ răng có thể diễn ra chỉ ít giờ sau khi đắp các thành phần vi khuẩn lên ngà răng sẽ lộ ra. Với mỗi tổn thương đã hình thành, hệ sinh thái của vi khuẩn thiết lập với hệ hộ trợ và đối đầu tuỳ thuộc từng loại vi sinh vật. Các phản ứng này có vai trò quan trọng trong hình thành bệnh lý khi màng sinh học nội chân răng phát triển và vi khuẩn thâm nhập vào các ống ngà. Hai yếu tố chìa khoá khởi đầu và biến đổi các phản ứng viêm nhiễm như sự phát triển của các vi áp xe ở các vùng dưới tế bào tạo răng, sự xâm nhập của vi khuẩn và sự lan truyền các chất trung gian viêm nhiễm.
Phản ứng bảo vệ điển hình của tuỷ là tăng bồi đắp mô cứng bởi các tế bào tạo răng sơ cấp và thứ cấp. Mô cứng được đặt dưới như là một đáp ứng của kích thích (phản ứng hoá hay sự sinh ngà sửa chữa) và do đó diễn ra trong mối quan hệ không gian xác định với kích thích đó,khiến tổn thương hướng nhẹ về phía chóp.
Sự bồi đắp mô cứng là một quá trình tự nhiên và sẽ tăng dần theo tuổi tác (sinh ngà thứ phát), điều này khiến điều trị răng ở người già trở nên khó khăn hơn. Các nhà lâm sàng cho thấy, trên phim chụp ở các bệnh nhân này có sự giảm kích cỡ của không gian tuỷ ở vùng thân răng và nhiều hơn nữa ở vùng chóp răng. Điều này không hẳn là một chống chỉ định của điều trị tuỷ hướng thuận nhưng cần sự chú ý cao độ của quy trình lâm sàng. Ví dụ như sử dụng dụng cụ bằng tay để thăm dò và nong rộng ống tuỷ trước.

Hình 9.3 Điều trị tuỷ răng trong một ca có giải phẫu phức tạp và không thường gặp. A – Hình ảnh phim chụp trước điều trị của răng #7 bệnh nhân nam 12 tuổi cho thấy tổn thương cận chóp và phần giải phẫu chóp răng biến đổi (ví dụ,răng trong răng loại II, theo phân loại Oehlers). B – Hình ảnh phim chụp chiều dài làm việc cho thấy ba ống tuỷ phân biệt. C – Hình ảnh phim chụp sau điều trị 2+1/2 tháng sau khi tạo hình hệ thống ống tuỷ với hệ thống file nickel-titanium và máy siêu âm, băng ống tuỷ bằng calci hydroxit 4 lần cách nhau 2 tuần. Ta thấy có sự bù đắp xương cận chóp. D – Hình ảnh phim chụp tái khám sau một năm cho thấy liền thương cận chóp. E – Hình ảnh phim chụp tái khám sau hai năm cho thấy mô cận chóp đã dày đặc.
Quá trình biến hoá tạo vôi là một phản ứng của chấn thương. Điều này được đặc trưng bởi sự giảm kích cỡ của khoảng tuỷ răng ở phần cổ và cả chóp răng. Ngược lại, răng với các dấu hiệu bồi đắp mô cứng do sự tấn công của vi khuẩn cho thấy sự giảm khoảng tuỷ ở phần cổ bao gồm buồng tuỷ và các lỗ tuỷ. Tình trạng này khiến Bác sĩ phải sửa soạn kỹ càng đường vào ống tuỷ và nong rộng trước các lỗ tuỷ bằng các dụng cụ không cắt. Phụ thuộc vào thời gian tiêm nhiễm và số lượng vi khuẩn mà sự bồi đắp mô cứng có thể xảy ra về phía chóp nhiều hơn. Ngà răng sửa chữa có thể tạo ra một rào chắn rộng đủ để bao phủ tuỷ, tuy nhiên điều này phụ thuộc vào sự nhiễm khuẩn nặng hay không và khả năng của cơ chế bảo vệ. Tiếc rằng không có sự tiếp nối nào của phương pháp điều trị tuỷ cho phép quá trình này diễn ra. Theo sự phát triển bệnh lý và nếu tổn thương sâu răng còn kéo dài, vi khuẩn có thể đủ độ cần thiết để gây ra viêm tuỷ. Điều này được kích hoạt bởi các phân tử báo hiệu (ví dụ, cytokin) từ các tế bào như đại thực bào và tế bào trung tính trước khi vi khuẩn hoàn toàn có mặt trong tuỷ răng. Trong ca này, khi chẩn đoán là viêm tuỷ hồi phục,điều trị nội nha có thể tránh được, chỉ cần loại bỏ các kích thích.
Để có ca điều trị nội nha lý tưởng, nhà lâm sàng phải hiểu rằng viêm nha chu chóp răng là điểm cuối cùng của bệnh lý, mà trong hầu hết các trường hợp bệnh bắt nguồn từ phần thân, do tổn thương sâu răng hoặc chấn thương tuỷ. Một vài loại vi khuẩn có thể thâm nhập vào mô cứng răng và các sản phẩm của chúng có thể tiết vào khoảng tuỷ. Các yếu tố đáp ứng của vật chủ như các tế bào hạt trung tính có tác dụng chống lại sự xâm chiếm của vi khuẩn, tuy nhiên đường bảo vệ này có thể sụp đổ nếu tổn thương sâu răng không được điều trị kịp thời. Sau khi hình thành các vi áp xe, các biến đổi tuần hoàn xảy ra, phần thân tuỷ và sau đó tới phần chân tuỷ không được tưới máu và dẫn đến hoại tử.
Ở nhiều điểm trong quá trình này, các yếu tố vi khuẩn như lipopolisaccarit và peptidoglican có thể tác động lên mô cận chóp thông qua lỗ chóp và các lỗ ống tuỷ phụ. Vùng tiêu xương (là vùng thấu quang trên phim X-quang) có thể phát triển, phụ thuộc vào sự cân bằng giữa yếu tố vi khuẩn và sự bảo vệ của vi khuẩn. Sự phát triển viêm nha chu cận chóp kết hợp tiên lượng kém sau điều trị nội nha thông thường.
Nhiều ý kiến nhấn mạnh, việc để điều trị nội nha thành công, điều quan trọng chính là phải làm sạch và trám bít các ống tuỷ bên và tuỷ phụ. Phim chụp lâm sàng của một ca điều trị thành công cho thấy vị trí chính xác, và nhiều tổn thương thường xảy ra ở vị trí các ống tuỷ phụ (Hình 9-2). Tuy nhiên, bệnh sinh học còn phụ thuộc vào thể tích các ống tuỷ phụ và số lượng vi khuẩn xâm chiếm chúng. Bên cạnh đó, cần quan tâm đến mức độ nặng nhẹ trên lâm sàng và cơ chế nhiễm khuẩn các ống ngà bởi vi khuẩn và nấm.
Trong hầu hết các trường hợp, tổn thương thường kết hợp với hệ thống ống tuỷ chính (Hình 9-1 và 9-3 tới 9-5) và tạo hình chung quanh lỗ chóp chính. Ở ống tuỷ chính thường có mức độ vi khuẩn cao nhất và nhiều nghiên cứu cho thấy nếu có sự giảm cường độ vị khuẩn trong ống tuỷ sẽ tăng sự thuận lợi cho điều trị nội nha. Mục tiêu đầu tiên của toàn bộ các quy trình nội nha và đặc biệt ở việc làm sạch và tạo hình chính là loại bỏ các vật chất trong lòng ống tủy, đặc biệt các vi sinh vật và mô bị hoại tử.

Hình 9-4. Điều trị tuỷ trong trường hợp phá huỷ đáng kể cận chóp. A – Hình ảnh phim chụp trước điều trị của răng#8 và #9 cho thấy tổn thương lan rộng, răng không đáp ứng với thử lạnh. B – Hình ảnh phim chụp tái khám sau 2 năm cho thấy có tái tạo xương. Các ống tuỷ được tạo hình với dụng cụ cầm tay và các file máy và trám bít lèn bên bằng gutta-percha với chất AH Plus. C – Hình ảnh phim chụp trước điều trị của răng #4, cho thấy ống tuỷ trám bít, tổn thương cận chóp rộng và quan sát thấy trám bít chưa hoàn thiện. D – Hình ảnh phim chụp tái khám sau 2 năm cho thấy sự liền thương xương mà không điều trị phẫu thuật(A-B Courtsy Dr.M.Zehnder; C-D Courtesy Dr.E.Paque)
3. Mục tiêu lâm sàng
Có rất nhiều chiến lược để đạt được mục tiêu loại bỏ vật chất trong ống tuỷ và viêm nhiễm. Các nhà phát minh đã cho ra đời phương pháp “Kỹ thuật không dụng cụ” giúp xâm lấn tối thiểu để loại bỏ vật chất ống tuỷ và trung hoà sự viêm nhiễm mà không cần sử dụng file. Hệ thống này gồm một bơm, một ống vòi và một van thiết kế đặc biệt được dán ở đường vào để tạo ra sự dao động của dung dịch tẩy rửa (1% tới 3% natri hypoclorit) với áp lực giảm. Mặc dù nhiều nghiên cứu in vitro cho thấy các ống tuỷ có thể làm sạch và trám bít hiệu quả khi sử dụng hệ thống này, tuy nhiên các kết quả lâm sàng thu được vẫn chưa đủ thuyết phục
Ngược lại, phương pháp điều trị cuối cùng để loại bỏ các viêm nhiễm trong lòng ống tuỷ là nhổ răng nghi ngờ . Các tổn thương cận chóp liền thương hay không sau khi nhổ răng còn tuỳ theo mỗi người.
Điều trị nội nha lâm sàng diễn ra cũng tương tự như hình ảnh trên, nghĩa là cần biết được việc sửa soạn rộng như thế nào, đâu là đường kính đúng, chiều dài đúng và độ thuôn đúng.
Kế hoạch điều trị nội nha cốt lõi dựa vào quá trình chẩn đoán phù hợp, trong đó bao gồm có nhiều phim chụp chẩn đoán ở các góc độ khác nhau. Bên cạnh đó, khả năng phục hồi và tình trạng nha chu của răng điều trị cũng được xác định. Ở một số trường hợp, trám phục hồi hoặc chụp răng là cần thiết trước khi điều trị để có thể cách ly tốt, tạo buồng tuỷ để giữ các chất bơm rửa, và giúp việc trám tạm thời dễ dàng hơn giữa các lần hẹn. Trong nhiều ca, phục hồi có sẵn lại cần phải loại bỏ, cho nên chẩn đoán tốt để biết được nguyên nhân điều trị nội nha là rất quan trọng.
Một khi quyết định điều trị nội nha, Bác sĩ cần phải sử dụng hiểu biết về giải phẫu răng, miễn dịch và sinh học kết hợp với thông tin lâm sàng. Nội dung của chương này chính là hỗ trợ cho các Bác sĩ có được những nền tảng cơ bản về giải phẫu chân răng, bệnh sinh học tuỷ và luyện kim nickel-titanium.
Điều trị nội nha còn được gọi là một dây chuyền mà trong đó có sự liên hệ chặt chẽ giữa các thành phần với nhau. Với mục đích của chương này, việc tạo hình và nong rửa ống tuỷ chân răng chính là một mắt xích quan trọng, vì tạo hình là mấu chốt để các quy trình tiếp theo đó được thực hiện hiệu quả. Nó bao gồm việc loại bỏ cặn bẩn một cách cơ học, tạo khoảng để dẫn các thuốc băng tuỷ và tạo hình ống tuỷ giúp trám bít lý tưởng hơn. Những vấn đề đã đạt được nhờ nền tảng giải phẫu phức tạp được Walter Hess công bố và đầu thế kỷ 20.
Nhưng tiếc rằng kết quả sửa soạn ống tuỷ bị ảnh hưởng rất nhiều bởi sự đa dạng của hệ thống giải phẫu ống tuỷ. Điều này rất đúng với các dụng cụ bằng tay thường dùng và ít ảnh hưởng hơn với các dụng cụ quay máy nickel- titanium. Vì vậy, giải phẫu chân răng được tóm tắt lại vì nó góp phần quan trọng trong nong rửa và tạo hình.
Ống tuỷ cong có thể được nhận biết trên lâm sàng thông qua phim X-quang, khi chụp ở nhiều góc độ. Tuy nhiên, thông thường đường cong này hay ở mặt phẳng gần xa hơn là ngoài trong. In vitro, số lượng giải phẫu ống tuỷ theo ba chiều được tái tạo hoàn chỉnh nhờ phim chụp cắt lớp vi tính.
Các Bác sĩ cần hiểu 5 dạng ống tuỷ thường gặp như sau: Ống tuỷ nhập vào nhau, ống tuỷ cong, ống tuỷ cong ngược, ống tuỷ giãn và phân chia. Năm trường hợp này là các trường hợp nguy hiểm dẫn tới gãy file và cần phải được đánh giá kỹ lưỡng. Bên cạnh đoán chiều dài ống tuỷ, vị trí điểm cong đầu tiên, đường kính ống tuỷ và vị trí lỗ chóp.
Các nghiên cứu giải phẫu sớm đánh giá vị trí và dạng lỗ chóp cũng như vị trí eo thắt chóp. Các nghiên cứu cho thấy rằng, lỗ chóp sinh lý hay canal terminus thường ở cách 1mm về phía trên chóp răng giải phẫu, hoặc chóp chân răng. Nhận xét này cũng được xác nhận qua các nghiên cứu sau.
Trên lâm sàng, các điểm thu được trên phim chụp không trùng với lỗ chóp giải phẫu vì những hình ảnh ma. Theo các nhà quan sát, nếu tạo hình theo hình ảnh trên phim X-quang dễ dẫn tới quá chóp. Đường kính lỗ chóp chính là đối tượng được nghiên cứu sớm và lâu dài nhất. Đường kính ống tuỷ nhỏ nhất được gọi là điểm thắt ống tuỷ, đường kính rộng nhất ở nơi đây khoảng từ 0.2 tới 1mm, khái niệm chỉ có một eo thắt tuỷ cũng đang còn tranh cãi. Hơn nữa, nghiên cứu cho thấy rằng các Bác sĩ thường đánh giá kích thước chóp răng ít hơn thật sự. Để biết được giải phẫu chóp răng có chính xác, đó là một thử thách lớn, như các ống tuỷ chia ở chóp, có nhiều vùng giao cắt không thông nhau, dạng delta. Bên cạn thường khó sửa soạn với kỹ thuật sử dụng máy.
Bác sĩ cần lựa chọn chiến lược, dụng cụ và thiết bị để đối đầu với các thử thách này và kiểm soát sự tạo hình, chiều dài, độ rộng một cách chính xác. Điều này cho phép Bác sĩ sử dụng điều trị lâm sàng đối với dạng bệnh lý cấp và mãn tính. Các phim chụp tái khám sau các khoảng thời gian cho thấy kết quả lâu dài và thuận lợi nếu các mục tiêu được duy trì.

Hình 9.5 Khả năng và hạn chế của điều trị nội nha hướng thuận. Trong ca này, tổn thương rộng hàm trên bên phải được nạo bỏ và chẩn đoán mô học là nang chân răng. A – Hình ảnh phim cánh cắn trước điều trị cho thấy tổn thương rộng cận chóp ở hàm trên bên phải, cũng như hai dụng cụ phân biệt trên răng #7(Mũi tên). B – Hình ảnh phim chụp cận chóp sau điều trị của răng #7 và răng tuỷ hoại tử#8, được trám bít sau khi sử dụng thuốc canxi hyđroxit 2 tuần. Trám bít bằng lèn ngang với gutta percha và sealer 801 của Roth. C – Hai mảnh lentulo được lấy bỏ khỏi răng #7 (thước đo 0.5mm). D – Lát cắt mô học cho thấy biểu mô hô hấp và biểu mô vảy cũng như tế bào viêm, khẳng định chẩn đoán (C Courtesy Dr. I. Hegyi)

Hình 9.6 Điều trị tuỷ răng là một phần quan trọng của kế hoạch điều trị chuyên sâu. Bệnh nhân đang trong quá trình truyền thuốc tĩnh mạch và yêu cầu điều trị phục hồi răng. Do sâu răng lan rộng, chỉ định nhiều răng cần nhổ, và 9 răng đã được điều trị nội nha. Điều trị nội nha được trợ giúp với các dụng cụ quay máy bằng nickel-titanium,và trám bít bằng phương pháp lèn ngang với gutta-percha và AH26. Điều trị nội nha ngược bằng phẫu thuật được thực hiện trên răng #8, và cắt chân ngoài xa của răng #14. Phục hồi không kim loại được thực hiện và các răng thiếu được thay bằng implant.A – Tình trạng trong miệng trước điều trị. B – Tình trạng trong miệng sau 4 năm sau khi hoàn thành điều trị, cho thấy các phục hồi màu sắc giống răng, không kim loại và đủ chức năng. C – Phim chụp toàn cảnh trong lần tái khám sau 4 năm cho thấy mô cận chóp đặc tương quan với điều trị nội nha các răng liên quan. (Restorations done by Dr.Till N.Gohring).
Theo OVE A. PETERS và CHRISTINE I. PETERS – nha.si
