Răng cửa giữa hàm trên
Bắt đầu mở xoang tủy như sau: đặt mũi khoan trong khoảng từ rìa cắn đến cingulum (hình 11.23), hầu hết nên đặt vuông góc với mặt trong (hình 11.24).

Hình 11.23. Mặt trong răng cửa giữa trên.

Hình 11.24. Mũi khoan kim cương tròn đặt tại vị trí từ mặt nhai cho đến cingulum với một góc 900 so với mặt trong ở giai đoạn xuyên qua.
Cingulum được chọn là điểm bắt đầu bởi vì vị trí đường viền nướu có thể bị co lại, còn vị trí rìa cắn thì có thể bị mòn nhưng gờ cingulum thì ngược lại tồn tại cố định như vậy mãi trong suốt đời sống của bệnh nhân.
Khi đã thực hiện xong giai đoạn xuyên qua (hình 11.25), xoang tủy vẫn chưa hoàn thành vì cần phải loại bỏ 2 gờ thường được gọi là “tam giác # 1” và “tam giác # 2” trong pha mở rộng. Hai gờ này cản trở sự đi vào của dụng cụ nội nha rất nhiều (hình 11.26).

Hình 11.25. A. X-quang theo chiều gần xa hình ảnh răng cửa giữa trên. B. Sơ đồ biểu thị hình ảnh răng trước đó. C. Mũi khoan kim cương tròn sau khi hoàn thành pha xuyên qua. D. Sơ đồ của răng lúc này.

Hình 11.26. A. Một trâm nhỏ đưa vào sau giai đoạn xuyên qua bị cản trở ở phần thân răng, không bị cản hoàn toàn, dụng cụ vẫn đưa vào được trong ống tủy. B. Sơ đồ thể hiện trở ngại mà dụng cụ gặp phải: phần tam giác gần thân răng hơn là “tam giác # 1”, phần tam giác gần chóp răng hơn là “tam giác # 2”.
“Tam giác # 1”, được cấu tạo bởi men, được lấy bỏ bởi mũi khoan dùng trong giai đoạn xuyên qua nhưng góc và cách dùng của nó thì khác. Mũi khoan phải được giữ song song hơn với trục của răng (hình 11.27). Hơn nữa khi đi ra, mũi khoan phải đi tương ứng với gờ men này và mài nó dần dần (hình 11.28).

Hình 11.27. Loại bỏ phần tam giác # 1 với mũi khoan kim cương tròn, dài, theo hướng song song với trục răng.

Hình 11.28. Đặt mũi khoan vào gờ men, mài mòn nó trên đường đưa mũi khoan ra.
Cần kết hợp di chuyển nhẹ mũi khoan theo chiều gần xa, để loại bỏ tất cả phần trần tủy có liên quan đến sừng tủy (hình 11.29).

Hình 11.29. Mũi khoan cũngđược dịch chuyển theo chiều gần xa để lấy hết phần sừng tủy
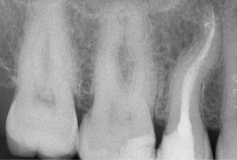
“Tam giác # 2”, phần lớn được cấu tạo bở ngà, được mài bởi một mũi khoan tròn dài với tay khoan chậm (hình 11.30). Mũi khoan phải được đưa vào miệng ống tủy đã được mở trước đó, đặt tương ứng với phần “tam giác ngà” ở mặt trong của thành ống tủy. Chạy mũi khoan trên đường đưa mũi khoan đi ra để mài dần dần từng ít một phần “tam giác #2” này (hình 11.31).

Hình 11.30. Mũi khoan tròn dài, thuôn với tay khoan chậm đặt vào vùng “tam giác #2”. Chạy mũi khoan trên đường đưa dụngcụ ra cho đến khi phần tam giác này bị loại bỏ hoàn toàn.

Hình 11.31. Hình ảnh xoang tủy sau khi loại bỏ hai “tam giác”
Để hoàn thành xoang có thể dùng mũi khoan tự hướng dẫn. Nó phải dài, nhỏ và đảm bảo nước ở tay khoan làm mát được đỉnh mũi khoan.
Xoang tủy sẽ có hình tam giác với cách mở xoang tủy như trên, thể hiện hình ảnh giải phẫu của buồng tủy: một sừng tủy ở phía gần và một ở phía xa (hình 11.32).

Hình 11.32. Hình dạng xoang tủy. Tủy thuộc vào 2 sừng tủy mà xoang tủy có hình tam giác hay không.
Nhìn chung, ta có thể mở được một xoang tủy thẳng đến 1/3 chóp mà không liên quan gì đến rìa cắn (hình 11.33). Ngoại trừ ở những răng đòi hỏi phải làm răng giả, thì nên mở rộng xoang tủy đến rìa cắn. Điều này không chỉ giúp cho công việc của nhà nội nha dễ dàng hơn mà đối với nhà phục hình cũng vậy nếu như cần phải đặt chốt. Nghiên cứu trên 198 răng trước đó đã nhổ, La Turno et al nhận thấy rằng 6% răng cửa giữa có một ống tủy và phần tủy thân răng hoàn toàn hướng về phía trong, như vậy có thể mở xoang từ mặt trong. Trong 22% trường hợp thì hướng về rìa cắn; 30% một phần hướng về phía trong, một phần hướng về phía ngoài; 32% liên quan rìa cắn nhưng chuyển hướng ra ngoài và 10% hướng ngoài rõ. Nói cách khác có 6% trường hợp có thể mở xoang tủy mà không liên quan đến rìa cắn.
Có 2 tình huống buộc phải liên quan đến rìa cắn là: mòn răng và vỡ răng. Răng càng mòn chừng nào thì rìa cắn càng liên quan đến xoang tủy chừng đó. Đối với răng mòn hoặc răng gãy ở 1/3 giữa thân răng thì việc mở xoang tủy hoàn toàn trên rìa cắn (hình 11.34 và 10.25).

Hình 11.33. Xoang tủy khi hoàn thành: dụng cụ có thể đi đến 1/3 chóp mà không gặp phải trở ngại nào. Chú ý rằng xoang không liên quan đến rìa cắn.

Hình 11.34. A. Răng #21 chấn thương gãy ở 1/3 giữa thân răng, ảnh hưởng tới tủy. B. Trong trường hợp này, xoang tủy được mở từ mặt nhai.

Hình 10.25. A. Răng bị gãy cần điều trị nội nha, tuy nhiên răng vẫn chưa mọc lên hoàn toàn. Để đặt móc giữ đê, cần tạo hai nút composite ở mặt trong và ngoài của răng. B. Xoang tủy được tạo trên bờ gãy của răng.
Rất hiếm trường hợp có hai ống tủy trong một chân răng. Tuy nhiên ống tủy đôi khi chia ra ở đoạn gần chóp tạo hai ống tủy nhỏ (Weine’s type IV) (hình 11.35). Ống tủy phụ được tìm thấy ở nhiều vị trí khác nhau trên chân răng và tỉ lệ có ống tủy phụ là rất cao(hình 11.36 A, B). Thông thường, có một ống tủy phụ lớn phân nhánh về phía gần và tạo một góc 900 với hướng của ống tủy chính (hình 11.36 C, D).
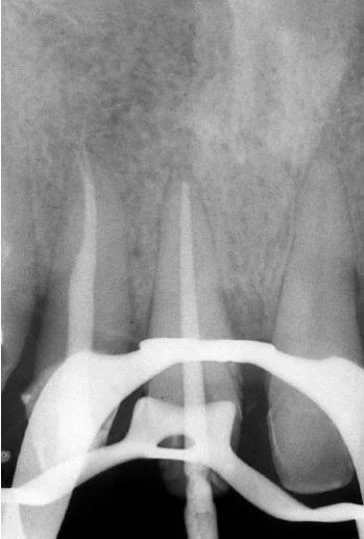
Trên X-quang có thể thấy chân răng hơi cong nhẹ theo chiều gần xa hoặc ngoài trong (hình 5.41).

Hình 11.35. A. Sơ đồ bốn hình dạng ống tủy có thể gặp trong một chân răng, được mô tả bởi Weine. B. Răng #21 với một ống tủy được chia làm ba ống tủy nhỏ hơn ở phía chóp (Weine’s type IV).

Hình 11.36. A. Phim trong lúc điều trị ở răng #21. B. 12 tháng sau.Chú ý hình ảnh sự lành thương, ba ống tủy phụ đã được trám, 1 ở gần chóp và 2 cái còn lại ở 1/3 giữa và đều ở phía gần. C. Răng #21 với một ống tủy phụ lớn ở 1/3 chóp. Ống tủy phụ ở phía gần và tạo một góc 900 với ống tủy chính. D. Răng #11 với ống tủy phụ nằm gần lỗ chóp và 1 cái lớn hơn ở 1/3 giữa phía gần và tạo góc 900 với ống tủy chính.

Hình 5.41. A. Phim X-quang trước điều trị của răng cửa giữa hàm trên bên phải. Lỗ chóp nằm trên cùng một mặt phẳng trên đường đi của tia X: nó có thể đối diện với mặt trong hoặc mặt ngoài. B. Phim X-quang thứ hai chụp theo hướng gần-xa cho thấy đoạn cong đối diện với mặt ngoài. Việc điều trị tủy được hoàn tất, giữ nguyên góc chụp cho phép nhìn thấy được điểm cuối cùng trên X-quang của ống tủy. C. Phim sau điều trị. Lưu ý rằng chỉ với góc chụp này mới thấy được hình ảnh tổn thương nhỏ tại chóp chân răng. D. Phim sau điều trị được chụp theo tiêu chuẩn hình chiếu. Lưu ý rằng vật liệu trám ống tủy dường như bị ngắn đi chừng 2mm và tổn thương cũng đã lành.
Răng cửa bên hàm trên
Ở răng này, xoang tủy giống như răng cửa giữa. Điểm khác duy nhất là hình dạng cuối cùng của xoang tủy là hình trứng vì răng có 2 sừng tủy gần nhau hoặc chỉ có một sừng tủy ở trung tâm (hình 11.37).

Hình 11.37. Hình dạng của xoang tủy của răng cửa bên trên có hình trứng
Hiếm khi thấy một ống tủy chia đôi ở 1/3 chóp thành hai ống tủy nhỏ hơn với những lỗ chóp riêng biệt (Weine’s type IV) (hình 11.38). Thông thường có một đoạn cong ở phía trong hoặc phía xa ở 1/3 chóp chân răng (hình 11.39). Sự hiện diện của đoạn cong vào trong của răng cửa bên giải thích tại sao những tổn thương có nguồn gốc nội nha của răng cửa bên thường biểu hiện ở vùng khẩu cái (hình 8.21, 8.27).

Hình 11.38. Phim trong lúc điều trị của răng cửa giữa cho thấy hình ảnh giải phẫu của răng cửa bên gần đó đã được điều trị nội nha. Hình ảnh X-quang cho thấy ống tủy chính chia làm hai ống tủy nhỏ hơn ở đoạn gần chóp, mỗi ống tủy có một lỗ chóp riêng. Việc trám bít hai ống tủy này xảy ra tự nhiên trong khi trám ống tủy chính.

Hình 11.39. Phim sau điều trị của 1 răng cửa bên trên với 1 đoạn cong về phía xa ở 1/3 chóp.

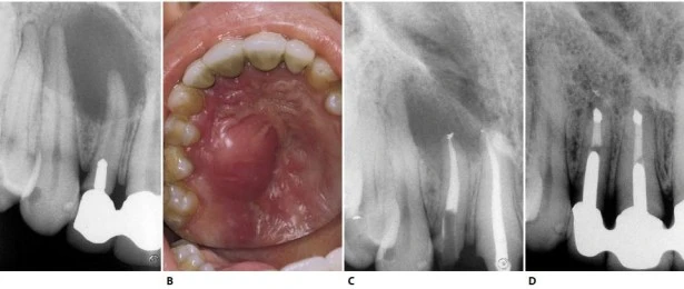
Hình 8.21. A.Phim sau điều trị của răng cửa bên hàm trên bên trái. Hình dạng và góc đọ của thấu quang, đường viền rõ và với kích cỡ của một nang. B. Sưng ở vùng khẩu cái. C. Hình ảnh mô học của tổn thương (×2,5). D. Phóng đại lớn, tổn thương mang những đặc trưng của u hạt (×250). E. Phim sau điều trị. Việc trám ngược được thực hiện ở răng cửa giữa bên phải. F. Một năm sau. Lưu ý rằng “sẹo quanh chóp” lớn vài mm phía trên chân răng cửa bên.

Hình 8.27. Phim Xquang trước điều trị của răng của bên hàm trên bên phải cho thấy hình ảnh tổn thương dạng nang lớn. Răng nanh và răng cối nhỏ đáp ứng dương tính với test thử tủy sống, trong khi đó răng cửa giữa cho kết quả âm tính. B. Một áp xe cấp tính lớn ở vùng xương ổ răng đã phát triển do một tổn thương mạn tính và nó thấy được ở vùng khẩu cái. C. Phim sau điều trị. D. Tám năm sau phẫu thuật cắt chóp. Do các triệu chứng sưng cấp tính tái diễn (có lẽ liên quan đến việc trám bít vùng chóp không đủ do gặp khó khăn khi làm khô ống tủy), cắt chóp và trám ngược bằng amalgam được thực hiện ở răng cửa giữa và răng cửa bên.
Đối với việc liên quan giữa xoang tủy và rìa cắn, Zillich và Jerome cũng đã xây dựng một nghiên cứu tương tự La Turno. Theo nghiên cứu của họ trên 131 răng cửa bên đã nhổ thì chỉ có 0.8% có một ống tủy mà phần tủy thân răng hướng hoàn toàn vào phía trong, nên xoang tủy mở hoàn toàn ở mặt trong mà không liên quan gì đến rìa cắn. Trong 6.9 % phần ống tủy ở thân răng vừa hướng vào trong vừa hướng ra ngoài; trong 43.5% nó hướng thẳng lên rìa cắn buộc xoang mởt ủy phải mở rộng ra phía trong và ngoài là như nhau; trong 32.9% có liên quan đến rìa cắn nhưng lại đổi hướng ra ngoài; và trong 16% nó hoàn toàn hướng ra ngoài.
Điều này giải thích tại sao 1 xoang tủy không thẳng đến 1/3 chóp thì tỉ lệ điều trị thất bại cao. Theo La Turno, luôn đòi hỏi xoang tủy phải liên quan đến rìa cắn sau đó nhà phục hình sẽ tái tạo lại răng.
Răng nanh hàm trên
Là răng dài nhất trên cung răng, răng nanh trên cực kỳ quan trọng theo quan niệm của khớp cắn học. Xoang tủy bắt đầu ở mặt trong răng ở ½ trên của thân răng với những nguyên tắc tương tự ở răng cửa giữa.
Với 1 buồng tủy hình trứng và 1 sừng tủy, xoang tủy cũng có hình trứng và đường kính lớn theo chiều chóp chân răng –thân răng (hình 11.40). Ở răng này cũng vậy, nếu răng bị mòn hoặc gãy, xoang tủy sẽ liên quan đến mặt nhai (hình 11.41).
Chân răng thẳng và dài, cần dùng dụng cụ có đủ chiều dài khoảng 30mm. Hầu hết ở phần chóp, chân răng – do đó kể cả ống tủy – có thể cong theo bất kỳ hướng nào. Răng nanh cũng có thể có ống tủy phụ nhưng không thường xuyên như răng cửa trên. Việc tìm thấy hai ống tuỷ là rất hiếm (hình 11.42).

Hình 11.40. Xoang tủy có hình trứng ở răng nanh trên

Hình 11.41. A. Múi răng nanh trên bị mòn. B. Xoang tủy được mở hoàn toàn ở mặt nhai

Hình 11.42. Răng nanh trên với hai ống tủy. Hai miệng ống tủy cùng nằm trong xoang tủy cho hình ảnh nòng súng đặc trưng
Răng cối nhỏ thứ nhất hàm trên
Buồng tủy của răng cối nhỏ thứ nhất hàm trên được định hướng theo chiều ngoài trong. Trong đa số các trường hợp chúng có hai sừng tủy -tương ứng cũng có hai ống tủy – bên dưới các múi răng (hình 11.43). Hướng của xoang tủy vì vậy cũng theo chiều ngoài trong, không phải là gần xa như trong tạo xoang trám.
Hai sừng tủy nằm trong đỉnh của múi tương ứng. Miệng của hai ống tủy cũng gần như nằm tương ứng với sừng tủy. Vì vậy, nhìn chung ta có thể sửa soạn một xoang tủy tốt mà không phạm đến múi răng. Điểm đi vào của mũi khoan là phần giữa rãnh trung tâm (hình 11.44 A), và khoan theo hướng song song với trục của răng (hình 10.44 B, C).

Hình 11.43. Răng cối nhỏ thứ nhất hàm trên cắt theo chiều dọc, thấy hình ảnh sừng tủy và miệng ống tủy.

Hình 11.44. A. Mặt nhai của răng cối nhỏ thứ nhất trên. B. Mũi khoan kim cương tròn xuyên qua phần giữa rãnh trung tâm, phá vỡ trần buồng tủy. C. Hình ảnh X-quang. D. Đưa mũi khoan đã dùng trước đó vào lỗ đã được mở ở giai đoạn xuyên qua, trên đường đi ra, chạy mũi khoan để lấy đi những phầncòn lại của trần buồng tủy. E. Hình ảnh X-quang (còn tiếp).
Khi xuyên qua với một mũi khoan kim cương tròn và tay khoan siêu tốc, cần kết hợp chuyển động mũi khoan theo chiều ngoài trong để phát họa đường viền mặt nhai của xoang tủy. Cần ghi nhớ rằng: trong giai đoạn xuyên qua, mũi khoan không nên tạo một xoang tủy dạng ống với các thành song song, mà nên kết hợp với chuyển động xoắn ốc để tạo hình dạng phễu khi khoan xuống lớp ngà. Khi đã xuyên vào đến buồng tủy, sử dụng tay khoan chậm để lấy phần ngà còn lại sau giai đoạn xuyên qua (hình 11.44 D, E).
Dùng mũi khoan đầu trơn với tay khoan siêu tốc tạo hình dáng của xoang mở tủy ở giai đoạn hoàn thành và làm loe (hình 11.44 F,G). Hình dạng của xoang mở tủy khi hoàn thành có hình trứng với đường kính lớn hơn theo chiều ngoài trong và nó thường không liên quan đến đỉnh múi (hình 11.44 H, I). Việc nó có liên quan đến đỉnh múi hay không tùy thuộc vào góc phân kỳ giữa hai chân răng và của hai ống tủy: nếu càng phân kỳ thì xoang tủy càng nhỏ, nếu càng song song thì xoang tủy càng có khả năng phạm đến múi răng. Hai ống tủy thường giao nhau tại một rãnh cạn, ta có thể xác định được rãnh này nếu kiểm tra kỹ sàn buồng tủy (hình 11.45).

. Hình 11.44. (tiếp theo) F. Dùng mũi khoan kim cương ở giai đoạn hoàn thành và làm loe. G. Hình ảnh X-quang của giai đoạn hoàn thành và làm loe. H. Xoang tủy đã hoàn thành. I. Hình ảnh X-quang: múi vẫn còn nguyên.

Hình 11.45. Miệng của hai ống tủy của răng cối nhỏ thứ nhất trên thường giao nhau bởi một rãnh trên sàn tủy.
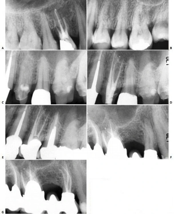
Về mặt giải phẫu học, răng cối nhỏ thứ nhất trên có thể có hình dạng hoàn toàn khác. Ống tủy cong hình lưỡi lê ở 1/3 chóp chân răng là một dạng điển hình. Hiếm khi tìm thấy một ống tủy đơn, hình elip trong một chân răng; thường gặp hai ống tủy giao nhau ở 1/3 giữa với hai lỗ chóp trong một chân răng (38%) hoặc hai ống tủy (thường cùng chiều dài) ở trong hai chân răng riêng biệt (60%). Hiếm hơn nữa có thể thấy ba chân răng với ba ống tủy và những lỗ chóp riêng biệt, chiếm 6% theo Carns và Skidmore , và 5% theo những tác giả khác. Trong những trường hợp này, RCN có hình dạng như răng cối lớn. Một ống tủy rộng hơn ở phía trong và hai ống nhỏ hơn ở phía ngoài, một ở phía gần và một ở phía xa (hình 11.46). Điều trị nội nha tốt hay không phụ thuộc vào việc tạo xoang tủy có đúng hay không: răng cối nhỏ trên với ba ống tủy thì cần tạo một xoang tủy có hình dạng chữ “T” với sự mở rộng theo chiều gần xa ở phần ngoài của xoang truyền thống. Sự thay đổi này cho phép tạo một đường vào tốt cho cả hai ống tủy ngoài. Nếu ba chân răng phân kỳ, ta có thể thấy được trên phim X-quang trước điều trị. Nếu ba chân răng chụm hoặc chồng lên nhau (hình 11.47A), ta có thể biết được trong lúc điều trị. Nha sĩ có thể nghi ngờ có hai ống tủy ngoài không chỉ nhờ vào sự hiện diện của 2 miệng ống tủy (thường không nhận ra hai miệng ống tủy riêng biệt), mà còn nhờ vào hướng của cây trâm thăm dò khi nó đi vào một trong hai ống tủy, hoặc hình dung trên phim X-quang thấy hình ảnh dị dạng nhưng những đường nét chung của chân răng vẫn bình thường [ví dụ: hoàn toàn nằm về phía gần (hình11.47 B)], ta có thể nghi ngờ còn một ống tủy ngoài thứ hai nữa mà hướng của nó nằm về phía xa hơn so với ống thứ nhất (hình 11.47 C, D).

Hình 11.46. A. Phim sau điều trị của răng #14 với ba ống tủy ở ba chân răng khác nhau. B. Trên cùng một bệnh nhân,hình ảnh X-quang răng #24. C. Hình ảnh X-quang trước điều trị của răng #24 với hình ảnh chân răng chồng lên nhau. D. Một góc chụp khác sau điều trị cho thấy hình ảnh ba ống tủy trong ba chân riêng biệt. E. Sau hai năm. F. Phim sau điểu trị của răng #14. Răng có ba chân: chân trong thẳng, hai chân ngoài nghiêng xa. G. Sau 3,5 năm.

Hình 11.47. A. Phim trước điều trị răng #14: Chân răng chồng lên nhau, không dễ nhận ra ba ống tủy. B. Dụng cụ đầu tiên được đừa vào miệng ống tủy (dường như là ống ngoài), hình ảnh dụng cụ đi theo một hướng bất thường so với hình ảnh chân răng. Nhìn kỹ thấy nó chuyển hướng về phía gần: dụng cụ đã đi vào ống gần ngoài. C. Uốn cong dụng cụ về phía xa rồi đưa vào cùng miệng ống tủy này, nó tự động đi vào ống xa ngoài. D. 34 tháng sau, phim X-quang cho thấy sự hiện diện của ba ống tủy.
Nếu có sự chia chân phía mặt ngoài- do đó hiển nhiên là có sự hiện diện của hai ống tuỷ mà nhà lâm sàng không chẩn đoán được- thì có thể dẫn đến làm thủng chân răng khi sửa soạn chân răng để đặt chốt hay khi quay cement để gắn chốt (mà nhà lâm sàng cứ nghĩ rằng chỉ có một ống ngoài mà thôi!) (hình 11.48). Vì những lý do trên, nên luôn có quyết định tối ưu số lượng ống tủy cần điều trị, thậm chí nếu chỉ để tự trù thời gian cần cho việc điều trị.

Hình 11.48. Không chẩn đoán thấy sự chia chân và kết quả là làm thủng thành. A. Phim trước điều trị. B. Lật vạt và nhận thấy sự thủng thành. C. Chuẩn bị xoang để hàn chỗ thủng. D. Trám xoang bằng Super EBA. E. Phim sau điều trị. F. Sau hai năm. G. Hình ảnh lâm sàng sau hai năm.
Trong phục hình răng cối nhỏ, có thể gặp khó khăn trong quyết định ống tủy tìm được là ống trong hay ống ngoài. Tìm ống tủy còn lại sai hướng rất nguy hiểm và có thể dẫn đến thủng thành. Trong những trường hợp này, việc chẩn đoán rất dễ nếu dựa trên X-quang chụp theo một hướng khác và ứng dụng qui tắc “phía ngoài” (buccal object rule).
Việc điều trị những răng này, hầu hết các nhà nội nha đồng ý rằng nên làm múi răng giả bảo vệ để ngăn gãy dọc thân – chân răng.
Răng cối nhỏ thứ hai hàm trên
Cách tạo xoang tủy tương tự như ở răng cối nhỏ một trên. Wein phát biểu rằng trường hợp răng cối nhỏ hai trên có một chân răng với một ống tủy ở trung tâm, hình trứng chiếm 60%. Ống tủy đôi khi ở trung tâm nhưng có dạng như một rãnh, trong những trường hợp này, ống tủy được sửa soạn như có hai ống tủy vậy, trừ phi là rõ ràng chỉ có một ống tủy. Việc tìm ra một miệng ống tủy, ở vị trí bất thường (ví dụ: ở phía trong chẳng hạn), gợi ý rằng còn một ống nữa ở vị trí đối diện (phía ngoài chẳng hạn).
Với một ống tủy hình trứng như thông lệ, răng cối nhỏ hai có thể có hai ống tủy phân biệt với chung một lỗ chóp hoặc hai lỗ chóp nhưng các ống tủy này nối thông nhau.
Một trường hợp khác có thể có là một ống tủy chia làm hai nhánh ở 1/3 chóp, một nhánh hướng ra ngoài và một nhánh hướng vào trong (Weine classification type IV) (hình 11.49). Nếu một trong hai nhánh không phát hiện được (thường là nhánh gần ngoài vì nó hay gập góc) dẫn đến điều trị có thể thất bại.

Hình 11.49. A. Phim trước điều trị của răng #15. Chân răng dường như chỉ có một ống tủy. B. Phim trong lúc điều trị, dụng cụ đã đi đến chóp. C. Một dụng cụ khác vào cùng ống tủy, đã được uốn cong về phía xa, nó đi vào nhánh xa ở phía chóp. D. Đặt côn vừa khít ống tủy. E. X-quang sau điều trị. Chú ý rằng một ống tủy phụ ở phía xa cũng được bít kín như là ống gần trong của răng cối lớn thứ hai.
Nếu như chụp X-quang theo những hướng khác nhau, thấy nghi ngờ về trường hợp trên, sau khi sửa soạn xong một ống tủy, ta có thể tìm ống còn lại ở thành đối diện bằng một trâm nhỏ uốn cong trước. Ví dụ, sau khi sửa soạn mặt trong của ống tủy, ta tìm bằng một trâm nhỏ uốn cong về phía ngoài. Nếu có cảm giác chặt tay, tức trâm này như bị giữ lại, có nghĩa là nó đã đi vào nhánh ngoài của ống tủy.
Sự hiện diện của ống tủy phụ khá cao.
Trường hợp có ba ống tủy trong ba chân răng riêng biệt như ở răng cối lớn thì lại hiếm (hình 11.50). Weine phát biểu rằng trường hợp này hiếm hơn với răng cối lớn thứ nhất. Vertucci et al cho rằng chỉ có 1% răng cối nhỏ thứ hai có ba ống tủy. Theo kinh nghiệm của những tác giả khác, ở răng cối nhỏ thứ hai thường tìm ra ba chân răng hơn là ở răng cối nhỏ thứ nhất. Rõ ràng rằng ta thấy có sự đối xứng, trên cùng một bệnh nhân thì hình thái ống tủy răng cối nhỏ bên này với răng cối nhỏ bên kia tương tự nhau (hình 11.51).
Răng cối nhỏ thứ hai cũng có thể có ống tủy cong hình lưỡi lê (hình 11.52).

Hình 11.50. A. Kiểm tra kỹ sàn buồng tủy răng #15 thấy có một miệng ống tủy ở trong và hai ở ngoài. B. Phim sau điều trị cho thấy có ba ống tủy trong ba chân riêng biệt

Hình 11.51. A. Phim sau điều trị của răng #15. Chân răng chồng lên nhau nhưng ba ống tủy thì không. B.Trên cùng bệnh nhân, giải phẫu răng #25 cũng tương tự. Chân răng hơi phân kỳ nhẹ, dễ dàng nhận ra ba ống tủy. C. Một ví dụ khác của răng cối nhỏ thứ hai trên có ba ống tủy.

Hình 11.52. Phim sau điều trị của răng cối nhỏ thứ hai trên, chân răng cong hình lưỡi lê. Trong điều trị nội nha, việc bảo vệ múi răng cũng cần thiết.
Răng cối lớn thứ nhất hàm trên
Cũng như răng cối lớn một dưới, răng này cũng thường cần điều trị nội nha. Nó cũng thường che đậy nhiều cạm bẫy và dẫn đến thất bại. Trong đa số các trường hợp, răng có ba chân với ba ống tủy độc lập nhau. Hiếm khi có hai chân với hai ống tủy (hình 11.53). Chân trong dài nhất và tròn theo mặt phẳng cắt ngang. Chân ngoài xa ngắn hơn một chút nhưng cũng hơi tròn theo mặt phẳng cắt ngang. Chân ngoài gần có thể dài hơn hoặc ngắn hơn nhưng dẹt hơn theo chiều gần xa.

Hình 11.53. A. Sàn tủy của răng #16 với hai miệng ống tủy, một ở trong và một ở ngoài. B. Phim sau điều trị: ống trong dài hơn và một ống ngoài, ống ngoài chia làm hai ống nhỏ hơn ở 1/3 chóp.
Chân trong thường cong ngoài và đoạn cong này không dễ đánh giá được trên phim X-quang (hình 11.54 A). Càng về phía chóp, đôi khi nó còn có một đoạn cong thứ hai ngược lại. Pineda và Kuttler nghiên cứu thấy rằng 81% chân trong của răng cối lớn thứ nhất trên cong, theo kinh nghiệm lâm sàng hai ông đồng ý rằng nên luôn nghĩ rằng chân này cong cho đến khi có bằng chứng chứng tỏ rằng không phải vậy (hình 11.54 B). Miệng ống tủy của chân trong nằm dưới múi trong gần. Chân răng thường có ống tủy phụ, đặc biệt là ở 1/3 chóp (hình 11.54 C, 11.55). Hiếm gặp trường hợp chân trong có hai ống tủy (hình 11.56), loại này chiếm tỉ lệ <2%, nhưng việc nhận thức được khả năng này cũng quan trọng. Kiểm tra cẩn thận sàn tủy có thể nhận thấy hình ảnh giải phẫu bất thường. Những trường hợp răng cối lớn thứ nhất trên với hai ống tủy trong hai chân trong (hình 11.57), hai ống tủy trong một chân răng giao nhau tại một lỗ chóp, và hai ống tủy trong cùng một chân răng với những lỗ chóp riêng biệt cũng đã được mô tả.

Hình 11.54. A. Hình ảnh răng #16 nhìn từ phía gần. Chú ý rằng đoạn cong ở chân trong, cong ra phía ngoài. B. Phim sau điều trị của răng #16. Chú ý chân trong có liên quan với xoang hàm trên. C. Ống trong của răng cối lớn thứ nhất hàm trên có một ống tủy phụ lớn ở phía xa.

Hình 11.55. Chú ý có nhiều ống tủy phụ ở chân trong cũng như chân ngoài gần (Courtesy of Dr. C. J. Ruddle)

Hình 11.56. A. Xoang tủy của răng #16 với hai ống trong. B. Phim trong lúc điều trị cho thấy hình ảnh hai dụng cụ trong hai ống trong. C. Phim trong lúc điều trị: hai ống trong và ống gần ngoài được trám bít lại. D. Phim sau điều trị.

Hình 11.57. A. Xoang tủy của răng #26 với hai ống trong ở hai chân răng. Lưu ý P: palatal canal (ống trong); MB: mesiobuccal canal (ống ngoài gần); DB: distobuccal canal (ống ngoài xa); DP: distopalatal canal (ống xa trong). B. Phim sau điều trị trên cùng răng này.
Chân ngoài xa thường thẳng nhưng nó có thể hơi cong nhẹ về phía gần hoặc xa. Trong đa số trường hợp nó có một ống tủy, miệng ống tủy không liên quan trực tiếp đến múi tương ứng mà thường nằm về phía trong hơn. Tuy nhiên có những trường hợp răng cối lớn trên có chân ngoài xa có hai ống tủy, ống xa trong ở phía trong so với ống tủy chính (hình 11.58).

Hình 11.58. A. Phim trước điều trị của răng #16 với năm ống tủy. B. Xoang tủy bộc lộ năm miệng ống tủy sau khi năm ống này đã được làm sạch và tạo hình. C. Đưa năm cây dụng cụ vào năm ống tủy (đưa năm dụng cụ vào chỉ để lấy ảnh làm tư liệu chứ không phải là đo chiều dài năm ống cùng lúc). D. Phim trong lúc điều trị. E. Hình ảnh các ống tủy chụm lại ở vùng chóp. Các ống tủy dường như không có những lỗ chóp riêng biệt. F. Phim sau điều trị.
Trong ba chân, chân ngoài gần có nhiều hình dạng giải phẫu nhất. Nó hoàn toàn dẹt theo chiều gần xa. Vì vậy ống tủy chân răng có hình dạng như dải băng, hoặc thường có hai ống tủy phân biệt. Tỉ lệ % có hai ống tủy theo mỗi tác giả khác nhau cũng khác nhau, nhưng tất cả đều nhất trí rằng: tỉ lệ này >50% [ 53% theo Hess, 60.7% theo Pineda và Kuttler, 64% theo Smith và Nosonowitz và Brenner, 69.4% theo Acosta Vigouroux và Trugeda Bosaans, 84% theo Aydosand Milano, 93% theo Stropko và 96,1% theo Kulid (Bảng I)]

Từ bảng này chúng ta để ý thấy rằng, đặc biệt là ở những nghiên cứu cũ, có sự không nhất quán về số lượng ống tủy giữa những nghiên cứu “in vitro” và “in vivo”. Điều này có thể xảy ra vì các nhà lâm sàng gặp khó khăn trong việc đánh giá một vài ống tủy và vì vậy chúng không được tính chỉ vì chúng không được điều trị. Với việc sử dụng những kỹ thuật mới, một vài tác giả gần đây đã báo cáo một tỷ lệ thành công cao hơn trong việc nhận biết và điều trị những ống tủy này. Kính hiển vi phẫu thuật với độ phóng đại và sự chiếu sáng đồng trục, đầu siêu âm và xanh methylene là một vài nhân tố góp phần làm tăng tỉ lệ % này. Tỉ lệ này cho thấy rằng nhà lâm sàng nên luôn xem là có hai ống tủy ở chân gần ngoài răng cối lớn thứ nhất hàm trên, hoặc ít nhất phải có sự kiểm tra cẩn thận chứng minh rằng điều ngược lại đúng. Các nhà lâm sàng phải được thuyết phục rằng MB2 ( Mesio-buccal canal 2: ống tủy ngoài gần thứ hai) hiện diện ở chân ngoài gần của răng cối lớn trên trong 100% trường hợp và vì vậy những răng này phải được xem như có bốn ống tủy chân răng.
Nghiên cứu gần đây của John Stropko rất thú vị, ông cho rằng ống tủy thứ hai của chân ngoài gần tồn tại ở nghiên cứu “in vivo” trong 93% trường hợp và có thể đánh giá được lỗ chóp của nó trong 90% trường hợp. Stropko, trong một bài báo của ông, có viết rằng tỉ lệ % ông tìm thấy cao như vậy là nhờ ứng dụng kính hiển vi phẫu thuật và trong một vài trường hợp rất khó, có thể nói rằng không thể quan sát được miệng MB2 nếu không dùng kính hiển vi phẫu thuật. Một điều thú vị rằng là sử dụng kính hiển vi phẫu thuật nghiên cứu thì tỉ lệ % hiện diện MB2 cao hơn khi nghiên cứu mà sử dụng những phương tiện khác. Miệng của ống MB2 – nên gọi tên là ống tủy gần trong – nằm trong rãnh nối giữa ống trong và ống gần ngoài (hình 11.59 A, B). Để tìm MB2 ta có thể tìm một chỗ lõm nhỏ trên rãnh nói trên, tại điểm này cây thám trâm nội nha bị giữ lại. Tuy nhiên đôi lúc thám trâm không đi vào được vì thành gần của buồng tủy tạo một góc rất nhọn với sàn tủy và cản trở tầm nhìn, cũng như là thám trâm không chạm được vào miệng ống tủy (hình 11.59 C). Thành gần của buồng tuỷ có một gờ ngà che đi miệng của MB2 nằm bên dưới nó (hình 60A). Vì góc này, MB2 rất khó đánh giá. Trong 1-3mm đầu, ống tủy nghiêng 1 góc nhọn về phía gần, đây là lý do vì sao đầu trâm không thể tiến về phía chóp hơn một vài mm và nó bị dừng lại tại thành gần. Vì vậy trước khi tiến hành đánh giá ống tủy này cần mở góc này đi để loại bỏ gờ ngà trên thành gần xoang tủy, tạo một đường vào thẳng đến ống tủy. Điều này có thể thực hiện được dễ dàng, an toàn và hiều quả bằng máy siêu âm, chẳng hạn với đầu CPR và ProUltra (hình 11.60B). Nếu nhà lâm sàng loại bỏ gờ này bằng trâm thay vì dùng máy siêu âm thì hình dạng miệng MB2 sẽ như trong hình 11.59D.

Hình 11.59. A. Xoang tủy của răng cối lớn thứ nhất hàm trên. Chú ý rãnh chạy bắt đầu từ miệng ống gần ngoài hướng về ống trong. B. Rãnh này sau khi làm sạch và tạo hình ống gần trong. Chỗ lõm phía xa cũng được mở bởi một mũi khoan tròn nhỏ vì nghi ngờ có ống xa trong. C, D. Hình vẽ cho thấy góc giữa sàn tủy và gờ ngà ở thành gần xoang tủy (Courtesy of Dr. S. Buchanan). E. Hình dạng miệng ống tủy gần trong nếu gờ ngà không được loại bỏ bằng máy siêu âm.

Hình 11.60. A. Ảnh chụp với độ phóng đại 12 lần bộc lộ miệng của ống gần ngoài và rãnh liên quan. Một gờ ngà che đi miệng ống tủy bên dưới. B. Sau khi mở một đường vào thẳng, dùng đầu siêu âm thích hợp loại trừ gờ ngà một cách dễ dàng và an toàn, bộc lộ miệng ống tủy gần trong (Courtesy of Dr. C.J. Ruddle)
Có nhiều chiến thuật khác nhau, khi sử dụng kết hợp lại sẽ tăng đáng kể khả năng nhận biết miệng ống MB2 và hệ thống ống tủy. Những quan niệm và kỹ thuật hữu ích nhất là:
a/ Luôn tin rằng MB2 tồn tại
b/ Phóng đại hình ảnh, bắt đầu bằng kính lúp, đến kính phóng đại 2.5-4 lần, cho đến kính hiển vi phẫu thuật.
c/ Bắt đầu tìm MB2 chỉ khi nào đã hoàn thành việc làm sạch và tạo hình MB1, sẵn sàng cho việc trám bít nữa thôi.
d/ Dùng một máy siêu âm piezo-electric với đầu được thiết kế riêng (CPR và ProUltra) để loại bỏ gờ ngà che phủ miệng ống tủy bên dưới.
e/ Dùng dung dịch xanh methylene 1% để thấy rõ hình ảnh giải phẫu và đường vào các miệng ống tủy.
f/ Làm ngập buồng tủy bằng dung dịch NaOCl 5% ấm để tiến hành test “champagne” hoặc test “bọt khí”. Nhà lâm sàng có thể thấy hình ảnh bọt khí phát ra từ phần mô do nước chảy vào các ống tủy chưa được phát hiện, những bọt khí này nổi lên trên bảng nhai.
g/ Rửa lại bằng EDTA 17% để lấy đi những lớp chất bẩn, rồi bằng cồn và sau đó thổi khô bằng đầu kim bơm rửa Stropko 27-gaugenotched.
h/ Chụp X-quang chếch theo nhiều hướng (đặc biệt là hướng gần xa) trước điều trị và trong lúc điều trị: chân răng càng rộng, khả năng tìm thấy ống tủy thứ hai càng lớn.
i/ Biết về cấu trúc giải phẫu.
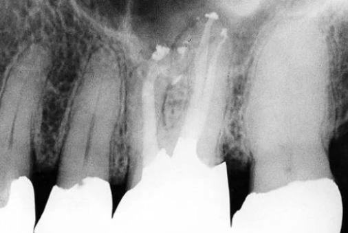
Hai ống tủy không phải lúc nào cũng có hai lỗ chóp (hình 11.61); thường chúng đổ ra cùng một lỗ chóp (hình 11.62).
Hiểu biết về sự giao nhau này của hai ống tủy quan trọng trong việc quyết định mức độ sửa soạn MB2. Nếu hai ống tủy giao nhau tại chung một lỗ chóp (hình 11.63) thì nên giảm việc sửa soạn bằng dụng cụ ở ống tủy này. Một cây côn gutta-percha sau đó được đặt vào ống gần ngoài, bít kín lỗ chóp chung. Vây côn gutta-percha thứ hai sẽ được đặt vào ống tủy MB2, đỉnh cây côn dừng lại tại chỗ giao nhau với cây côn thứ nhất. Chân răng hầu hết mỏng và cong theo chiều gần xa, lại lõm và mỏng hơn theo chiều ngoài trong (hình 11.64), thực hiện việc làm này nhằm tránh nguy cơ thủng chân răng hay gãy chân răng sau này. Như sẽ được thảo luận chi tiết hơn ở chương tiếp theo, khi đưa các trâm vào đoạn ống tủy chung, trâm đi từ ống MB2 có thể làm loe lỗ chóp, gãy trâm, đặc biết nếu hai ống tủy tạo nhau một góc 90 độ như hình vẽ 11.63.
Những trường hợp với ba ống tủy trong chân ngoài gần cũng đã được mô tả (hình 11.65 – 11.67).

Hình 11.60. A. Ảnh chụp với độ phóng đại 12 lần bộc lộ miệng của ống gần ngoài và rãnh liên quan. Một gờ ngà che đi miệng ống tủy bên dưới. B. Sau khi mở một đường vào thẳng, dùng đầu siêu âm thích hợp loại trừ gờ ngà một cách dễ dàng và an toàn, bộc lộ miệng ống tủy gần trong (Courtesy of Dr. C.J. Ruddle)
Có nhiều chiến thuật khác nhau, khi sử dụng kết hợp lại sẽ tăng đáng kể khả năng nhận biết miệng ống MB2 và hệ thống ống tủy. Những quan niệm và kỹ thuật hữu ích nhất là:
a/ Luôn tin rằng MB2 tồn tại
b/ Phóng đại hình ảnh, bắt đầu bằng kính lúp, đến kính phóng đại 2.5-4 lần, cho đến kính hiển vi phẫu thuật.
c/ Bắt đầu tìm MB2 chỉ khi nào đã hoàn thành việc làm sạch và tạo hình MB1, sẵn sàng cho việc trám bít nữa thôi.
d/ Dùng một máy siêu âm piezo-electric với đầu được thiết kế riêng (CPR và ProUltra) để loại bỏ gờ ngà che phủ miệng ống tủy bên dưới.
e/ Dùng dung dịch xanh methylene 1% để thấy rõ hình ảnh giải phẫu và đường vào các miệng ống tủy.
f/ Làm ngập buồng tủy bằng dung dịch NaOCl 5% ấm để tiến hành test “champagne” hoặc test “bọt khí”. Nhà lâm sàng có thể thấy hình ảnh bọt khí phát ra từ phần mô do nước chảy vào các ống tủy chưa được phát hiện, những bọt khí này nổi lên trên bảng nhai.
g/ Rửa lại bằng EDTA 17% để lấy đi những lớp chất bẩn, rồi bằng cồn và sau đó thổi khô bằng đầu kim bơm rửa Stropko 27-gaugenotched.
h/ Chụp X-quang chếch theo nhiều hướng (đặc biệt là hướng gần xa) trước điều trị và trong lúc điều trị: chân răng càng rộng, khả năng tìm thấy ống tủy thứ hai càng lớn.
i/ Biết về cấu trúc giải phẫu.
Hai ống tủy không phải lúc nào cũng có hai lỗ chóp (hình 11.61); thường chúng đổ ra cùng một lỗ chóp (hình 11.62).
Hiểu biết về sự giao nhau này của hai ống tủy quan trọng trong việc quyết định mức độ sửa soạn MB2. Nếu hai ống tủy giao nhau tại chung một lỗ chóp (hình 11.63) thì nên giảm việc sửa soạn bằng dụng cụ ở ống tủy này. Một cây côn gutta-percha sau đó được đặt vào ống gần ngoài, bít kín lỗ chóp chung. Vây côn gutta-percha thứ hai sẽ được đặt vào ống tủy MB2, đỉnh cây côn dừng lại tại chỗ giao nhau với cây côn thứ nhất. Chân răng hầu hết mỏng và cong theo chiều gần xa, lại lõm và mỏng hơn theo chiều ngoài trong (hình 11.64), thực hiện việc làm này nhằm tránh nguy cơ thủng chân răng hay gãy chân răng sau này. Như sẽ được thảo luận chi tiết hơn ở chương tiếp theo, khi đưa các trâm vào đoạn ống tủy chung, trâm đi từ ống MB2 có thể làm loe lỗ chóp, gãy trâm, đặc biết nếu hai ống tủy tạo nhau một góc 90 độ như hình vẽ 11.63.
Những trường hợp với ba ống tủy trong chân ngoài gần cũng đã được mô tả (hình 11.65 – 11.67).

Hình 11.62. Phim sau điều trị của răng #16 với ống gần ngoài và gần trong đổ ra cùng một lỗ chóp.

Hình 11.63. Ống gần trong và gần ngoài tạo nhau một góc 90 độ. Trong trường hợp này, dùng cùng một chiều dài làm việc ở ống gần trong rất nguy hiểm.

Hình 11.64. Cắt ngang chân gần ngoài của răng cối lớn thứ nhất trên. Chân răng lõm ở mặt xa, hai ống nằm khá gần vùng chẽ và chân răng mỏng hơn ở phía trong

Hình 11.65. A. Xoang tủy của răng cối lớn có ba ống tủy ở chân ngoài gần. B. Kiểm tra cẩn thận xoang tủy của răng cối lớn trên cho thấy miệng ống tủy thứ ba gần miệng ống gần trong. C. Ba ống tủy được làm sạch và tạo hình. D. Phim sau điều trị : MB2 và MB3 giao nhau.

Hình 11.67. A. Kính hiển vi phẫu thuật với độ phóng đại 15 lần cho thấy hình ảnh ba miệng ống tủy ở chân gần ngoài của răng cối lớn trên. B. Hình ảnh ba ống gần ngoài cong ở 1/3 chóp, ống trong chẽ đôi ở 1/3 chóp, ống tủy phụ ở lớn ở chân xa ngoài. C. Răng trụ phía sau cùng có một chân trong đã được cắt chóp và các chân ngoài được điều trị nội nha. Chú ý chân gần ngoài có ba ống tủy, một ống bắt đầu từ chỗ thắt giữa hai ống khác (Courtesy of Dr. C. J. Ruddle).
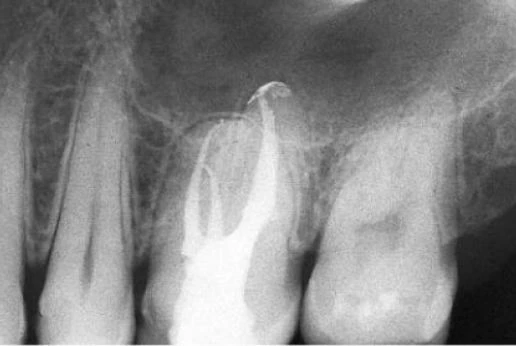
Chân gần ngoài thường cong về phía xa, tùy trường hợp mà góc cong này khác nhau. Cần lưu ý rằng trong quá trình làm sạch và tạo hình, nếu cần thiết thì thay đổi chiều dài làm việc của dụng cụ và dùng phương pháp sử dụng trâm “kháng độ cong” của Abou-Rass et al (hình 11.68) . Theo quan điểm điều trị phẫu thuật trong nội nha, sự hiện diện của hai ống tủy ở chân gần ngoài cũng rất quan trọng.

Hình 11.68. A. Phim kiểm tra chiều dài làm việc của ống gần ngoài. Chú ý góc cong đáng kể của ống tủy. B. Sau hai năm.
Khi chân răng bị nghiêng, ta phải tìm miệng ống tủy thứ hai nằm bên trong rồi mới tìm cái thứ nhất. Nói chung ta phải luôn nghi ngờ có ống gần ngoài cũng như luôn nghi ngờ có ống gần trong trong điều trị nội nha. Mặc dù hai ống tủy thường giao nhau tại chung một lỗ chóp, nhưng khi tiến hành phẫu thuật thì lại thấy có hai lỗ chóp vì phần chung của hai ống tủy đã bị cắt đi. Vì vậy khi trám ngược bằng phương pháp phẫu thuật, chất trám thường nối nhau tạo nên hình ảnh số 8 (hình 11.69), bởi vì giữa hai ống tủy luôn có một chỗ eo lại (sẽ được mô tả kỹ trong chương phẫu thuật). Mặt khác, thành chân răng mỏng ở phía trong hơn phía ngoài, do đó vị trí cắt xiêng chân răng phải thấp hơn đáng kể để có thể bộc lộ được phần ngà xung quanh ống gần trong nhằm tạo xoang cho việc trám ngược.
Cắt ngang tại cổ răng cối lớn thứ nhất hàm trên (hình 11.70) thấy buồng tủy có dạng một tứ giác với các cạnh không cân xứng.
Hầu hết các tác giả mô tả xoang tủy của răng cối lớn hàm trên và dưới có dạng tam giác với điểm đi vào nằm về phía gần hơn (hình 11.71 A-D). Tuy nhiên, vì sàn tủy răng cối lớn có hình tứ giác nên rõ ràng rằng xoang tủy cũng nên có hình dạng tương tự.
Như đã phát biểu ở trên, xoang tủy có thể được xem là hình chiếu của sàn tủy lên mặt nhai. Vì vậy nó phải có hình tứ giác với các góc tròn (hình 11.71 E-G). Cạnh ngắn nhất của tứ giác thường là cạnh trong; cạnh tiếp theo dài hơn là cạnh ngoài, cạnh này hơi nghiêng vào trong vì ống xa hơi nằm về phía trong; tiếp nữa là cạnh xa và dài nhất là cạnh gần. Vì sàn tủy nằm giữa các thành bên, Acosta Vigouroux và Trugeda Bosaans nhận thấy trong 134 răng đã nhổ thì sàn tủy nằm chính xác giữa thân răng. Ta phải luôn lưu ý đến điều này để sửa soạn một xoang tủy đúng.

Hình 11.69. Phim sau hai năm cắt chóp và trám ngược hai ống tủy chân gần ngoài. Chất trám hòa vào nhau tại chỗ hẹp nơi hai ống tủy giao nhau.

Hình 11.70. Cắt ngang răng cối lớn thứ nhất trên tại cổ răng. Hình dạng sàn tủy là một tứ giác với bốn cạnh không cân xứng.

Hình 11.71. A. Mặt nhai răng cối lớn một trên. B. Tạo xoang tủy hình tam giác với vị trí mở vào nằm về phía gần. C. Xoang tủy dạng tam giác đã hoàn thành. D. Đưa dụng cụ vào ống trong, nó không đi thẳng được đến 1/3 chóp mà bị cản lại bởi gờ ngà. E. Hình dáng xoang tủy nên là hình chiếu của sàn tủy lên mặt nhai. F. Xoang tủy đúng khi hoàn thành có hình tứ giác với các góc tròn. G. Xoang tủy răng cối lớn thứ nhất có hình một tứ giác không cân xứng. Các ống tủy đã được làm sạch và tạo hình.
Bắt đầu tạo xoang tủy với các một mũi khoan kim cương tròn, tay khoan siêu tốc, đặt tại rãnh giữa. Nghiêng mũi khoan hướng về phía sừng tủy mà trên X-quang thấy là rộng nhất, thường là sừng tủy phía trong (hìnhs 11.72 A-C). Dùng mũi khoan tròn, dài, thuôn và tay khoan chậm lấy đi phần ngà còn dính lại, chạy mũi khoan trên đường đi ra của mũi khoan. (hìnhs 11.72 D-E). Cuối cùng, dùng mũi khoan tự hướng dẫn và tay khoan siêu tốc trong giai đoạn hoàn thành và làm loe (hìnhs 11.72 F-I).

Hình 11.72. A. Điểm vào của mũi khoan. B. Hoàn thành giai đoạn xuyên qua. C. Để tránh tối đa việc phạm vào sàn tủy, mũi khoan nên hướng về nơi buồng tủy cao nhất. D, E. Dùng mũi khoan loại bỏ phần còn lại của trần tủy. F. Dùng mũi khoan tự hướng dẫn trong giai đoạn hoàn thành và làm loe. G. Xoang tủy khi hoàn thành. H. Hình ảnh X-quang xoang tủy. I. Xoang tủy nhìn từ mặt nhai
Nếu gặp phải khó khăn khi tìm ống tủy thì nên bắt đầu sửa soạn ống trong trước (ống này rộng và thẳng nhất nên làm dễ nhất). Bơm rửa bằng NaOCl sẽ giúp định hướng và tìm miệng các ống tủy khác dễ dàng hơn.
Trong điều trị nội nha, việc bảo vệ múi răng là cần thiết, tránh làm vỡ múi răng hay gãy dọc thân-chân răng.
Răng cối lớn thứ hai hàm trên
Giải phẫu răng cối lớn hai hàm trên rất giống răng cối lớn thứ nhất hàm trên.
So sánh với răng cối lớn thứ nhất hàm trên, nó hơi nhỏ hơn, kích thước gần xa hẹp hơn, và tỉ lệ có ống gần trong ít hơn (hình 11.73). Kulid và Peters nhận thấy 96.1% răng cối lớn thứ nhất hàm trên có ống gần trong và 93.7% ở răng cối lớn thứ hai hàm trên. Đôi khi nó có ba chân chụm vào nhau. Nó có thể chỉ có hai ống tủy, một ống ngoài và một ống trong trong một chân, hoặc hai ống tủy trong hai chân (hình 11.74); nó có thể có một ống tủy đơn rộng và hướng thẳng từ sàn tủy đến chóp (hình 11.75). Hiếm khi răng cối lớn trên có hình dáng giải phẫu phức tạp hơn, với hai ống trong trong một chân răng (hình 11.76) hoặc trong hai chân răng riêng biệt (hình 11.77).

Hình 11.73. A. Phim trước điều trị của răng #17. B. Phim sau điều trị. Ống gần trong có hình ảnh thấu quang chồng lên ống ngần ngoài.

Hình 11.74. A. Phim trước điều trị của răng #17 với hai chân răng. B. Phim sau điều trị. Thấy được hai ống tủy trong hai chân răng.

Hình 11.75. A. Phim trước điều trị của răng #27 với một ống tủy trong một chân răng. B. Sau một năm điều trị nội nha.

Hình 11.75. A. Phim trước điều trị của răng #27 với một ống tủy trong một chân răng. B. Sau một năm điều trị nội nha.

Hình 11.77. Răng cối lớn thứ hai hàm trên với hai ống trong ở hai chân răng. A. Phim trước điều trị. B. Xoang tủy. C. Phim trong lúc điều trị. D. Phim sau điều trị
Xoang tủy được mở với những bước tiến hành như ở răng cối lớn thứ nhất hàm trên. So sánh với răng cối lớn thứ nhất hàm trên, sàn tủy của răng cối lớn hai trên hẹp hơn theo chiều gần xa và ống xa ngoài hoàn toàn nằm về phía trong. Thậm chí nó có thể nằm ở giữa ống trong và ống gần ngoài (hình 11.78). Nếu như ta nối miệng các ống tủy bởi các đoạn thẳng thì ta sẽ được một tam giác không phải là tam giác cân với đỉnh góc tù nằm tương ứng với ống xa ngoài. Tam giác này có thể trở nên dẹt hơn nếu miệng ba ống tủy nằm trên cùng một đường thẳng theo hướng ngoài trong.

Hình 11.78. Vị trí miệng ống tủy có liên quan đến mặt nhai của răng
Răng cối lớn thứ ba hàm trên
Mất răng cối lớn thứ nhất và thứ hai thường là lý do để xem xét việc dùng răng cối lớn ba làm răng trụ. Vì nhiều răng cối lớn ba có chân phát triển tốt nên không có lý do gì mà không điều trị nội nha để duy trì răng này thêm một thời gian dài nữa. Trước khi bắt đầu điều trị và bảo đảm với bệnh nhân rằng sẽ chữa thành công, nên kiểm tra hình thái của chân răng, đôi khi nó có thể có hình dạng rất kỳ dị và không thể nào tiên lượng được.
Trong một số trường hợp, răng cối lớn ba có duy nhất một ống tủy. Những trường hợp khác, nó có hai ống tủy, nhưng hầu hết là ba ống, và đôi lúc là bốn ống (hình 11.79).
Xoang tủy nên mở theo những quy tắc như ở các răng cối lớn khác.

Hình 11.78. Vị trí miệng ống tủy có liên quan đến mặt nhai của răng
Răng cối lớn thứ ba hàm trên
Mất răng cối lớn thứ nhất và thứ hai thường là lý do để xem xét việc dùng răng cối lớn ba làm răng trụ. Vì nhiều răng cối lớn ba có chân phát triển tốt nên không có lý do gì mà không điều trị nội nha để duy trì răng này thêm một thời gian dài nữa. Trước khi bắt đầu điều trị và bảo đảm với bệnh nhân rằng sẽ chữa thành công, nên kiểm tra hình thái của chân răng, đôi khi nó có thể có hình dạng rất kỳ dị và không thể nào tiên lượng được.
Trong một số trường hợp, răng cối lớn ba có duy nhất một ống tủy. Những trường hợp khác, nó có hai ống tủy, nhưng hầu hết là ba ống, và đôi lúc là bốn ống (hình 11.79).
Xoang tủy nên mở theo những quy tắc như ở các răng cối lớn khác.
—-
Nguồn: Arnaldo Castellucci (2004). “Endodontics Vol 1″. Il Tridente Publisher
Biên dịch: Lương Thị Quỳnh Tâm
Xem tiếp: Mở xoang tủy và cấu trúc giải phẫu trong nội nha (Phần 3)
