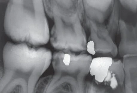
Phim bitewing (Hình 1) cho thấy không có tổn thương sâu răng tiến triển và đường viền xương mặt bên bình thường. Chỉ có một mối hàn amalgam nhỏ ở mặt nhai răng 46.

Hình 1: Phim cánh cắn ban đầu.
Phim X quang cận chóp (Hình 2) cho thấy khoảng dây chằng nha chu ở chóp chân gần răng 46 có hiện tượng dầy lên. Khám ngách hành lang tương ứng với chân răng cho kết quả âm tính, nhưng gõ dọc và gõ ngang đau ở răng 46. Thử tủy đáp ứng bình thường với nóng và lạnh ở tất cả các răng trừ 46. Răng này không phản với bất kỳ thử nghiệm tủy nào. Có thể kết luận răng 46 đã chết tủy và phải tiến hành điều trị nội nha. Nhưng nguyên nhân gì khiến chết tủy?

Hình 2: Phim cận chóp ban đầu.
Khám kĩ càng hơn trên răng thấy một điểm gợi ý ở mặt nhai phía xa của răng. Dưới kính lúp và chiếu đèn có thể thấy một đường nứt nhỏ ở gờ viền phía xa (Hình 3). Thử giấy cắn cho thấy vị trí này chạm nhiều.

Hình 3: Đường nứt nhỏ ở gờ viền phía xa.
Bác sĩ đưa ra quyết định lấy bỏ mối hàn amalgam mà không gây tê (Hình 4) nhằm 2 mục đích: (1) Xác nhận tủy chết bằng thử nghiệm đáng tin tưởng nhất: thử nghiệm khoan vào lớp men ngà. (2) Lấy bỏ mối hàn amalgam cũng cho phép chúng ta đánh giá độ sâu của đường gãy để xác định nó có lan tới tủy răng hay không.

Hình 4: Gỡ mối hàn Amalgam không gây tê. Tìm thấy đường nứt ở phía xa.
Đúng như những gì nghi vấn, tủy răng đã hoại tử. Đường gãy mở rộng xuống dưới phía xa của răng chạy tới ống tủy phía xa (Hình 5 và 6).

Hình 5 (trái) Đường nứt phía xa mở rộng.

Hình 6 (phải) Đường nứt phía xa lan tới miệng ống xa gây nên hoại tử tủy.
Sau khi quyết định có thể vẫn còn phần tủy sống ở vùng chóp của ống tủy phía gần, bác sĩ gỡ đê cao su và thực hiện gây tê (Không thực hiện gây tê ngay lập tức có thể cần làm thêm nhiều việc hơn, nhưng nó sẽ giúp tránh khỏi việc mở tủy một răng sống mà chúng ta lại nghĩ rằng nó đã chết tủy). Thực hiện lấy tủy, làm khô ống tủy và đặt bông hàn tạm. Hạ mặt nhai và nhắc bệnh nhân không sử dụng phía bên phải để ăn nhai. Nếu bệnh nhân không sớm trở lại để tiếp tục điều trị, cần lên lịch hẹn để đặt band quanh răng (tránh đường nứt tiếp tục lan sâu xuống bên dưới). Cần kết thúc điều trị nội nha sớm nhất có thể.
Bác sĩ phục hình cần xem xét kết thúc điều trị răng này trong khoảng thời gian phù hợp để tránh trường hợp răng bị tách đôi theo chiều gần xa.
Kết luận: Tình huống lâm sàng với các triệu chứng cơ bản của nứt răng và sau đó ảnh hưởng gây chết tủy.
Cân nhắc chẩn đoán và điều trị:
1. Không bao giờ kết luận tủy còn sống ở răng hàm chỉ vì không thấy có mối hàn hoặc mối hàn nông. (đặc biệt là răng hàm lớn hàm dưới).
2. Khám kĩ lưỡng các gờ bên của tất cả các răng có biểu hiện của đường nứt gãy. Thử nghiệm chiếu đèn nếu cần thiết. Nhận biết rạn men (xảy ra ở hầu hết các răng) nhưng cũng kiểm tra khớp cắn cho những trường hợp nứt có liên quan tới các bề mặt gồ ghề. Bệnh nhân có nghiến răng hay không?
3. Tổn thương nha chu trên phim X quang đôi khi giả bộ liên quan tới nội nha. Nếu bạn nghi ngờ tủy hoại tử, không bao giờ gây tê cho tới khi xác nhận được tủy buồng hoại tử và xác nhận chẩn đoán. Mở tủy vào một răng sống trong khi nghi ngờ tổn thương có nguồn gốc từ tủy là một dấu hiệu rõ ràng của chẩn đoán thiếu.
4. Khi xác nhận chẩn đoán răng bị nứt ảnh hưởng tới tủy, luôn luôn nhớ hạ khớp cắn, giải thích với bệnh nhân cần thiết phải bảo vệ thân răng sau điều trị nội nha và hướng dẫn bệnh nhân tránh ăn nhai phía răng đó. Một khi các triệu chứng đã đỡ, bệnh nhân có thể quên và ăn nhai khiến răng bị tách ra. Nếu răng không được phục hình ngay lập tức, đặt band xung quanh răng hoặc dán dính các múi là điều cần thiết.
Nguồn: nha.si
#xquang #xquangnhakhoa #nộinha #điềutrịnộinha
