Với kiểu neo chặn trung bình chúng ta có được 50% neo chặn và 50% di gần răng cối. Kiểu neo chặn này còn được gọi là neo thuận nghịch (2 chiều). Theo Nanda kiểu neo chặn này được gọi là Neo chặn B, đóng khoảng tương đối đối xứng với sự chiếm chỗ bằng nhau của các răng trước và răng sau trong suốt quá trình đóng khoảng. Các khí cụ này được làm trên dây tròn SS 0.036” và được hàn vào khâu răng cối hoặc luồn vào những ống gắn trên khâu răng cối, hoặc dính trực tiếp vào răng. Trong các khí cụ neo chặn trung bình ta có thể kể đến nút Nance, Viaro Nance, cung khẩu cái, cung lưỡi,…
Các kiểu neo chặn trung bình:
- Nút Nance.
- Cung khẩu cái (TPA).
- Viaro Nance.
- Cung lưỡi.
1. Nút Nance.
Đây là khí cụ neo chặn hay được sử dụng nhất hiện nay, là kiểu neo chặn được lựa chọn trong những trường hợp có di xa răng cối hàm trên từ trước. Nút Nance gồm có một miếng nhựa nhỏ cỡ đồng xu (đường kính khoảng 1cm), tì lên niêm mạc khẩu cái cứng, ngang mức đỉnh khẩu cái. Nó được làm từ dây SS tròn 0.036”, tựa lên răng cối và trên khẩu cái cứng, xuyên qua miếng nhựa. Khí cụ này có thể dính lên răng cối hoặc hàn vào khâu răng cối (neo chặn cố định) hoặc luồn vào ống gắn bên ngoài răng cối (neo chặn tháo lắp).
a. Ưu điểm
- Kiểu neo chặn này tựa lên khẩu cái cứng, kháng lại sự di gần của răng cối trong suốt giai đoạn kéo lùi các răng trước.
- Rẻ và dễ thực hiện.
- Có thể sử dụng trên bộ răng hỗn hợp trong những trường hợp mất răng sớm để duy trì khoảng leeway, giống như neo chặn để giữ khoảng nhổ răng trên bộ răng vĩnh viễn.
- Duy trì chiều dài cung răng
b. Nhược điểm
- Có thể làm loét khẩu cái cứng vì miếng nhựa có thể bám thức ăn hoặc do lực kéo lùi răng cửa quá mức làm nó tì mạnh lên khẩu cái.
- Nếu là khí cụ tháo lắp nó có thể bị sút ra khỏi khâu răng cối.
- Mất thời gian trên lab.
- Không phải lúc nào bệnh nhân cũng có thể chịu được loại khí cụ này do mắc thức ăn bên dưới miếng nhựa.
- Miếng nhựa càng to thì neo chặn càng tốt, nhưng đồng thời lại làm mắc thức ăn nhiều hơn.
- Trong những trường hợp gắn trực tiếp nút này lên răng cối thì nó có thể bị rơi ra do lực nhai.
c. Lời khuyên
- Nên sử dụng trong thời gian ngắn để tránh làm loét niêm mạc.
- Đánh bóng kỹ cả 2 mặt miếng nhựa khi chế tạo. Việc này sẽ giảm thiểu lưu giữ thức ăn.
- Không nên dùng cho bệnh nhân vệ sinh răng miệng kém. Trong những trường hợp này tốt nhất là nên dùng những khí cụ neo chặn khác.
- Làm tròn đường viền của miếng nhựa hết mức có thể, như vậy nó sẽ không tì lên khẩu cái.
- Nút Nance dán dính giúp duy trì tình trạng nguyên vẹn của mô nha chu, do vậy trên những bệnh nhân có vấn đề về nha chu nên sử dụng nút Nance này.
- Nên tháo nút Nance hàng tháng nếu nó là khí cụ tháo lắp, điều này sẽ giúp tăng cường vệ sinh răng miệng cho bệnh nhân.
- Trong những trường hợp nút Nance được gắn cố định, phải hướng dẫn bệnh nhân sử dụng xi lanh để bơm rửa mạnh bằng dung dịch nước và Clorhexidine Gluconate để tránh làm sưng tấy nướu hoặc hình thành ổ loét.
- Nó có thể được đặt ở vị trí răng cối nhỏ trong khi đang di xa răng cối lớn bằng lò xo đẩy NiTi.
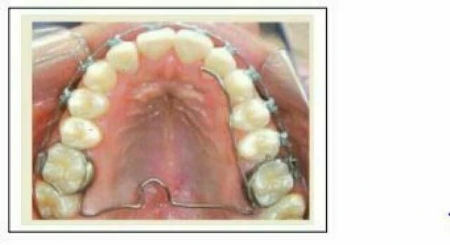
2. Cung ngang khẩu (TPA)
Bác sĩ Robert A.Goshgarian đã giới thiệu cung này vào năm 1972. Nó nằm ngang qua khẩu cái như một đơn vị nối cả 2 răng cối thứ nhất với nhau; nó có tác dụng như một khí cụ neo chặn trung bình tạo thành một đơn vị neo chặn kháng lại sự di gần của răng cối và có xu hướng làm xoay chân hàm ếch về phía gần. Đây là một trong những khí cụ neo chặn trung bình đơn giản nhất và hay được sử dụng nhất trong chỉnh nha.
Ta phải lấy dấu sao cho các răng cối trên đó đã được lắp sẵn các khâu dùng để chế tạo cung này, rồi đổ mẫu đã có khâu đặt trong đó, sau đó ta có thể tiếp tục uốn dây SS 0.036” tạo thành cung TPA, khoảng cách giữa dây và niêm mạc khẩu cái là 1- 2mm.
Cung khẩu cái có thể được gắn chặt, hàn vào khâu răng 6 hoặc dán trực tiếp lên mặt trong của răng cối. Nó cũng có thể là khí cụ tháo lắp, bằng cách luồn vào ống mặt lưỡi hàn trên khâu răng cối.
a. Ưu điểm
- Nó là một khí cụ đa năng được sử dụng như một neo chặn trung bình để duy trì chiều dài cung răng trong những trường hợp có nhổ răng (TPA thụ động), và cũng có thể sử dụng để:
- Xoay gần răng cối. Đôi khi tương quan hạng II răng cối có thể đơn giản là do sự xoay gần răng cối. Khử xoay này sẽ sửa lại tương quan răng cối 1-2mm (TPA chủ động).
- Di xa răng cối một bên (TPA chủ động).
- Giúp duy trì khoảng leeway trong trường hợp mất răng sữa sớm (TPA thụ động).
- Nếu omega bị đóng, kích thước vòm khẩu cái có thể bị giảm.
- Nếu omega mở có thể làm nong rộng khẩu cái.
- Nó có thể tác dụng torque làm nghiêng chân răng cối (chỉ khi TPA được hàn vào khâu) nếu uốn cong cung ở điểm tiếp xúc giữa mối hàn và khâu.
- Nếu ta thêm một tấm khẩu cái, có thể làm lún răng cối do lực tác dụng của lưỡi lên bản đó.
- Cung khẩu cái cố định cứng chắc và dễ chế tạo hơn.
- TPA tháo lắp có thể tháo ra dễ dàng mà không cần loại bỏ cement ở khâu.
- Cung khẩu cái dán dính giúp giảm thời gian trên ghế vì không cần tách kẽ răng cối để đặt khâu.
- Khí cụ neo chặn trung bình này không phải lúc nào cũng được bệnh nhân chấp nhận.
- Mất nhiều thời gian ở labo.
- Nếu cung khẩu cái được hàn cố định thì các hoạt động trong miệng sẽ khá khó khăn.
- Nếu là khí cụ tháo lắp thì nó có thể bị sút ra.
- Nếu cung cách niêm mạc khẩu cái hơn 2mm có thể làm rách lưỡi trong 1 khoảng thời gian ngắn.
- Nếu TPA quá sát với vòm miệng có thể tì vào niêm mạc khẩu cái và cần phải được cắt đi để loại bỏ việc này.
- Kiểu neo chặn này rất hữu ích khi sử dụng chun chuỗi trên dây cung liên tục, nhưng trong những trường hợp cần neo chặn tối đa thì phải kết hợp cung khẩu cái với một khí cụ kéo lùi ngoài mặt.
- Nên sử dụng TPA dán dính vì nó kích thích sự lành mạnh của mô nha chu và dễ làm sạch hơn.
- Nó có thể được sử dụng như neo chặn ở vị trí răng cối nhỏ kết hợp với mắc thun Class II trong khi đang di xa răng cối bằng lò xo đẩy NiTi.
- Là một khí cụ đa năng như vậy, có thể thêm một cánh tay đòn có độ dài tùy ý, trong những trường hợp sập cung răng trên một bên hoặc 2 bên. Cung này được gọi là Cung Porter (cung trợ lực).
- Viaro Nance là một khí cụ neo chặn đa năng kép bởi vì nó vừa có thể được sử dụng như một phương pháp neo chặn trung bình cho răng cối lại vừa có thể làm di xa các răng cối hàm trên.
- Rẻ và dễ thực hiện.
- Là khí cụ neo chặn tháo lắp nên dễ vệ sinh.
- Có xu hướng di xa 1-1,5mm mỗi tháng.
- Có thể gây đau do di xa răng cối.
- Có thể làm mất khí cụ do nó có thể tháo ra lắp vào được.
- Mất nhiều thời gian ở labo.
- Nếu rìa của miếng nhựa quá sắc, khí cụ có thể cọ xát lên niêm mạc khẩu cái.
- Khi đặt trong miệng, kích hoạt các cánh tay của TMA một góc 90° để di xa.
- Mỗi tháng kích hoạt một lần.
- Khi răng cối di xa, để lại khí cụ trong miệng như là neo chặn trong khi kéo lùi khối răng cửa hàm trên.
- Nó là một khí cụ đa chức năng có thể được sử dụng như neo chặn trung bình trong những trường hợp có nhổ răng, và còn có những tác dụng khác nữa:
- Giúp duy trì khoảng leeway trong trường hợp mất răng sữa sớm.
- Kiểm soát khoảng cách giữa các răng cối.
- Xoay răng cối.
- Làm nền cho những bộ phận phụ.
- Làm ngả răng cửa dưới ra trước.
- Di xa răng cối hàm dưới.
- Rẻ và dễ thực hiện.
- Cùng với sự cải tiến của vật liệu dán dính trong chỉnh nha (thế hệ 6 và 7), ngày nay chúng ta có thể dán trực tiếp khí cụ neo chặn lên răng cối. Điều này sẽ giúp giảm thời gian ở labo và trên ghế răng.
- Cung lưỡi có thể cọ xát lên niêm mạc miệng nếu loop omega không cách niêm mạc 1 hoặc 2 mm.
- Tốn thời gian gửi labo.
- Nếu là khí cụ tháo lắp thì nó có thể bị sút ra.
- Đặt loop Omega của cung lưỡi cách khỏi niêm mạc miệng để nó không cọ xát vào niêm mạc. Nếu điều này xảy ra, ta phải tháo bỏ nó ít nhất 1 tuần để niêm mạc lành thương.
- Cung lưỡi phải có cấu tạo thuận tiện nhất, có nghĩa là trong những trường hợp mà chúng ta muốn kéo khối răng sau, cung có thể được làm từ răng cối nhỏ bên này đến răng cối nhỏ bên kia hoặc từ răng cối nhỏ đến răng cối bên đối diện, kết hợp với thun Class II.
- Ta nên sử dụng cung lưỡi dán dính vì dễ làm sạch hơn.
b. Nhược điểm

c. Khuyên dùng


3. Viaro Nance
Kiểu neo chặn trung bình này là một biến thể của Nút Nance, người tạo ra nó là bác sĩ Victor Avalos Rodriguez, bác sĩ chỉnh nha tốt nghiệp Centro de Estudios de Ortodoncia del Bajio (CEOB) ở Irapuato, Guanajuato, Mexico. Nó được làm bằng dây TMA (titanium molybdenum alloy) và có 2 vòng xoắn phải được kích hoạt mỗi tháng 1 lần để di xa răng cối. Dây này phải được luồn vào ống mặt lưỡi hàn trên khâu răng cối hàm trên để tạo thành một neo chặn tháo lắp.

a. Ưu điểm

b. Nhược điểm
c. Lời khuyên
4. Cung lưỡi
Cung lưỡi là một khí cụ neo chặn trung bình được sử dụng rộng rãi để duy trì chiều dài cung răng; nó tương đối cứng chắc và có tác dụng giảm thiểu sự di gần của răng cối trong khi kéo lùi răng nanh, răng cối nhỏ và khối răng cửa.
Khí cụ này có thể ở dạng cố định (hàn lên khâu răng cối hàm dưới hoặc dán trực tiếp lên răng cối) hoặc tháo lắp (được luồn vào ống mặt lưỡi hàn trên khâu răng cối hàm dưới). Cung lưỡi được làm từ dây SS tròn 0.036”, chạy từ răng cối đến răng cối bên này đến răng cối bên kia, gần mặt lưỡi của các răng dưới. Nó được sử dụng như một khí cụ duy trì khoảng leeway, nó phải tựa gần gót các răng dưới; nếu được sử dụng như neo chặn khi kéo lùi khối răng trước, thì nó phải cách gót răng 3-4mm. Nó có 2 loop omega điều chỉnh, cho phép bác sĩ chỉnh nha rút ngắn, kéo dài, nâng hoặc hạ dây cung.
a. Ưu điểm
b. Nhược điểm
c. Khuyên dùng
Nguồn: Tổng hợp Internet
Người Share tài liệu: Nha Tài
🩺
Đã được kiểm duyệt chuyên môn
Bác sĩ Nha khoa Chuyên nghiệp
– Chuyên gia Thiết bị Nha khoa, ANH & EM Dental
Thạc sĩ Y khoa, Hội đồng Nha khoa Việt Nam
Bài viết này cung cấp thông tin kỹ thuật và tham khảo về thiết bị nha khoa.
Không thay thế cho tư vấn y tế chuyên nghiệp. Hãy tham khảo bác sĩ trước khi đưa ra quyết định điều trị.
