X quang ( phần 1): X-quang trong miệng
Phim tia X cũng cung cấp thông tin có giá trị như một vài thử nghiệm nên đôi lúc bác…
Đọc tiếpClinical excellence: Implant, Piezosurgery, Chẩn đoán hình ảnh, Nội nha sinh học
Phim tia X cũng cung cấp thông tin có giá trị như một vài thử nghiệm nên đôi lúc bác…
Đọc tiếpGiới thiệu chỉnh nha các mẫu hàm thường gặp Giới thiệu chỉnh nha Khớp cắn được định nghĩa đúng là…
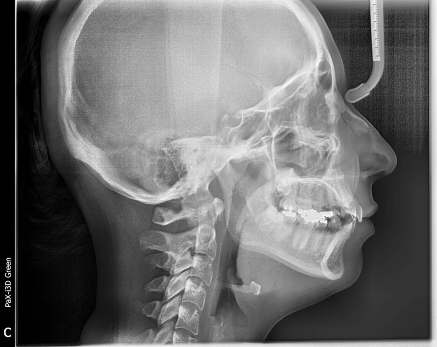
Đọc tiếpA- GIỚI THIỆU Phim Cephalometric là một phương pháp tiêu chuẩn để tái tạo lại hình ảnh sọ mặt, rất…
Đọc tiếpTẦM QUAN TRỌNG CỦA TƯƠNG QUAN TÂM TRONG CHỈNH NHA Chẩn đoán và lên kế hoạch điều trị cần được…
Đọc tiếpNội nha là kỹ thuật khó đòi hỏi sự kiên nhẫn của các bác sĩ. Hiện nay chưa có quy…
Đọc tiếp