Tạo khoảng trong chỉnh nha: Dựng trục răng sau nghiêng
Tạo khoảng trong chỉnh nha, các răng sau bị nghiêng luôn chiếm nhiều khoảng trống hơn. Các răng cối lớn có khuynh hướng nghiêng gần khi răng cối sữa thứ hai bị mất sớm hoặc bị sâu răng ở mặt xa không được phục hồi vào thời điểm thích hợp hoặc có bờ viền miếng trám chưa tốt. Mọc chậm răng cối nhỏ thứ nhất hoặc thứ hai cũng khiến cho răng sau nghiêng gần.
Dựng trục răng cối lớn có thể tăng độ dài cung răng từ 1-1.5mm. Các khí cụ cố định lý tưởng được dùng cho mục đích này. Các khí cụ hoặc vít tạo khoảng khác nhau cũng được dùng thường xuyên. Lip bumper và biến thể của nó cũng có thể mang lại kết quả tốt.

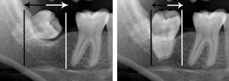
Hình 5. Răng cối lớn nghiêng gần chiếm nhiều khoảng trống hơn, dựng trục răng cối phía sau giúp tạo lại khoảng
Tạo khoảng trong chỉnh nha: XOAY LẠI RĂNG SAU
Các răng sau bị xoay chiếm nhiều khoảng hơn. Xoay lại các răng sau có thể giúp lấy lại khoảng. Khoảng trống được lấy lại khác nhau tùy thuộc vào răng liên quan và mức độ xoay. Với một góc xoay như nhau, răng cối lớn chiếm nhiều khoảng hơn so với răng cối nhỏ; trong khi răng trước chiếm ít khoảng hơn.
Xoay lại các răng bị xoay tốt nhất là dùng một cặp lực (lực bằng nhau về cường độ nhưng ngược hướng) ở mặt ngoài và mặt trong răng. Lò xo chỉnh xoay tường không hiệu quả khi xoay các răng sau. Bất kỳ hệ thống khí cụ cố định nào với hai điểm tiếp xúc đều có hiệu quả kiểm soát xoay tốt hơn.

Hình 6A. Răng sau xoay chiếm nhiều khoảng trống hơn

Hình 6B. Cặp lực được sử dụng để chỉnh xoay

Hình 6C. Hai điểm tiếp xúc ở khí cụ cố định giúp kiểm soát xoay tốt hơn
Tạo khoảng trong chỉnh nha: LÀM NHÔ CÁC RĂNG TRƯỚC
Làm nhô các răng trước có thể được thực hiện ở những trường hợp những răng này lùi hoặc cụp hoặc độ nhô sẽ không ảnh hưởng đến nét mặt nhìn nghiêng của mô mềm cũng như sự ổn định của kết quả đạt được. Bất kỳ lò so làm nhô răng nào (ví dụ lò xo chữ ‘Z’) hoặc ốc vít (trung bình, nhỏ hoặc micro vít) hoặc khí cụ cố định đều có thể dùng thực hiện mục đích này.

Hình 7. Khoảng trống được tạo ra bằng cách làm nhô các răng trước
Xem thêm: Phương pháp tạo khoảng di xa răng cối lớn
Xem thêm: Tạo khoảng trong chỉnh nha, phương pháp nong rộng cung răng phần 1
Tạo khoảng trong chỉnh nha: NHỔ RĂNG
Lấy răng ra khỏi xương ổ răng của nó được gọi là nhổ răng. Nó là một phương pháp phổ biến nhất để tạo khoảng trên cung hàm. Trong chỉnh nha, để thiết lập một khớp cắn chức năng cân bằng với những cấu trúc xung quanh đôi khi đòi hỏi phải nhổ một hoặc nhiều răng.
BỐI CẢNH LỊCH SỬ
Ngay từ những năm 1771, John Hunter đã nhận thấy được vai trò của nhổ răng trong chỉnh nha và thể hiện trong quyển sách của ông “Lịch sử tự nhiên của răng”. Nhổ răng trong chỉnh nha vẫn còn là một chủ đề đang còn tranh cãi trong một thời gian dài. Angle là người đi đầu với xu thế “trường học mới” của chỉnh nha. Ông đã dạy rằng nền tảng cơ bản của sửa chữa sai khớp cắn là duy trì đầy đủ toàn bộ bộ răng.
Theo ông, nếu răng chen chúc được làm thẳng và sửa chữa tương quan đúng với nhau, cải thiện chức năng ăn nhai sẽ dẫn đến sự tăng trưởng của hai hàm, tạo đủ khoảng trống cho bộ răng. Vì vậy, ông ủng hộ việc mở rộng cung răng cho tất cả các bệnh nhân chỉnh nha. Tuy nhiên, một số người cùng thời với ông như Calvin Case (sinh viên cũ của ông) cho rằng đôi khi răng có thể được nhổ để mang lại kết quả lâu dài hơn.
Hộ cho rằng sự tăng trưởng của hàm không phụ thuộc vào chức năng và nếu hàm quá nhỏ so với răng thì nên nhổ răng để giảm sự chen chúc răng. Thẩm mỹ lẫn sự ổn định đều không đạt được tốt về lâu về dài nếu bệnh nhân được nới rộng cung răng để sắp đều răng. Điều này dẫn đến cuộc tranh cái lớn vào năm 1920s giữa hai trường phái tư duy.
Vào cuối những năm 1940, nhổ răng được giới thiệu trở lại trong chỉnh nha bởi Charles Tweed, ông nhận thấy rằng khớp cắn sau điều trị ổn định hơn ở những bệnh nhân được chữa trị bằng phương pháp nhổ răng. Đến đầu những năm 1960, hơn một nửa các bệnh nhân chỉnh nha phải nhổ một vài răng như là một phần của điều trị chỉnh nha.
SỰ CẦN THIẾT CỦA VIỆC NHỔ RĂNG
Nhổ răng như là một phần trong điều trị chỉnh nha có thể được yêu cầu trong những trường hợp sau đây.
Bất hài hòa chiều dài cung răng và kích thước răng
Chiều dài cung răng và kích thước răng lý tưởng nên hài hòa với nhau. Nếu bộ răng quá lớn so với cung răng, để không có sự bất thường nào thì cần giảm kích thước bộ răng bằng cách nhổ răng. Thông thường việc tăng chiều dài cung răng là không thực hiện được do việc tăng chiều dài cung răng sẽ không được hệ thống cơ chấp nhận.
Hướng dẫn nhổ răng trong khớp cắn hạng I có chen chúc/nhô răng:
- Bất hài hòa chiều dài cung răng nhỏ hơn 4mm – hiếm khi chỉ định nhổ răng
- Bất hài hòa chiều dài cung răng từ 5 – 9mm – có thể nhổ răng hoặc không nhổ răng
- Bất hài hòa chiều dài cung răng trên 10 mm hoặc hơn – luôn đòi hỏi việc nhổ răng.
Sửa chữa tương quan theo chiều trước sau giữa hai hàm
Bất thường tương quan theo chiều trước sau giữa hai hàm chẳng hạn như sai khớp cắn hạng II/III có thể đòi hỏi việc nhổ răng để đạt được tương quan bình thường.
Trong sai khớp cắn hạng I (tương quan hai hàm theo chiều trước sau bình thường) thì sẽ thích hợp hơn nếu nhổ răng ở cả hai cung hàm vì không nên khuyến khích sự phát triển của một cung hàm hơn cung hàm khác.
Trong hầu hết các trường hợp hạng II với răng trên nhô bất thường, các răng dưới sắp xếp bình thường với điểm A nằm về phía trước so với điểm B một cách bất thường, người ta khuyến khích chỉ nhổ răng ở cung hàm trên và để kéo lùi các răng cửa và răng nanh hàm trên. Tuy nhiên, khi cung răng dưới chen chúc và các răng cối không phải ở tương quan hạng II một múi thì có thể thích hợp hơn nếu nhổ răng trên cả hai cung răng.
Những trường hợp hạng III thường được điều trị bằng cách chỉ nhổ răng ở cung răng dưới.
Nhổ răng để giải phóng chen chúc
Nhổ răng để giải phóng chen chúc sẽ được cân nhắc bởi:
Tình trạng của răng: nứt răng, thiểu sản, sâu răng nghiêm trọng, răng đã được điều trị tủy, răng với miếng trám lớn được khuyên nhổ hơn so với những răng lành lặn. Việc xem xét chính là tiên lượng lâu dài của răng hơn là hình dạng của chúng.
Vị trí chen chúc: Chen chúc một phần trên cung răng sẽ dễ dàng sửa chữa hơn nếu nhổ răng được thực hiện trên phần đó hơn là việc nhổ răng ở một vị trí xa hơn trên cung răng. Tuy nhiên, chen chúc răng cửa thường được giải phòng bằng cách nhổ răng cối nhỏ vì nó sẽ cho kết quả thẩm mỹ tốt hơn và thăng bằng khớp cắn hơn là việc nhổ răng cửa. Răng cối nhỏ thứ nhất, nằm ở trung tâm của mỗi góc phần tư hàm, thường gần với vùng chen chúc dù cho chen chúc có nằm vị trí phân đoạn phía trước hay phía ngoài. Do đó, răng cối nhỏ thứ nhất là răng thường xuyên được nhổ trong điều trị chỉnh nha.
Vị trí của răng: Răng chen chúc chiều thường khó sắp thẳng có thể là răng được lựa chọn nhổ răng. Vị trí chóp của răng phải được cân nhắc vì việc di chuyển chóp răng khó hơn so với thân răng.
NHỮNG THỦ THUẬT NHỔ RĂNG KHÁC NHAU
- Nhổ răng cân bằng
- Nhổ răng bù trừ
- Nhổ răng từng đoạn
- Nhổ răng bắt buộc
- Nhổ răng Wikinson
- Nhổ răng trị liệu
Tạo khoảng trong chỉnh nha: Nhổ răng cân bằng
Nếu một răng bị nhổ ở trên một phần hàm bị chen chúc, hoặc có tiếp xúc hoàn toàn với các răng còn lại xung quanh thì có khuynh hướng các răng di chuyển hướng về phía khoảng nhổ răng. Đây là dạng di chuyển về phía trước của các răng phía sau khoảng trống nhổ răng, hoặc di chuyển của các răng trước đi qua đường giữa trung tâm cung răng dẫn đến bất đối xứng. Thường nhổ răng cân bằng để tránh tình trạng bất đối xưng này.
Nhổ răng cân bằng có thể được định nghĩa là sự nhổ một răng ở phía đối diện trên cùng cung răng đó (mắc dù không cần thiết là đoạn đối xứng) để bảo tồn tính đối xứng.

Hình 8. Răng cửa bên mọc sớm dẫn đến đường giữa lệch sang một bên được bù trừ bằng việc nhổ răng nanh sữa
Tạo khoảng trong chỉnh nha: Nhổ răng bù trừ
Nhổ răng răng tương ứng phía cung răng đối diện để duy trì khớp cắn mặt ngoài. Trong một số trường hợp hạng I có chen chúc, cần phải nhổ răng trên cả hai cung hàm để duy trì sự đối xứng bên. Nhổ răng bù trừ bảo tồn tương quan nội hàm bằng cách cho phép các răng sau đi về phía trước cùng nhau.
Tạo khoảng trong chỉnh nha: Nhổ răng theo giai đoạn
Có thể ảnh hưởng đến sự thay đổi khớp cắn vùng răng cối do chỉ nhổ răng trên một cung hàm, hoặc nhổ một vài tháng sớm hơn so với phần hàm bên kia. Hiệu ứng này đặc biệt được đánh dấu sau khi mất sớm các răng sữa và nên được lưu ý khi cân nhắc nhổ những răng này.
Tạo khoảng trong chỉnh nha: Nhổ răng bắt buộc
Những răng này phải nhổ vì bắt buộc như vậy do bị sâu răng, tình trạng nha chu kém, răng nứt, răng ngầm, v.v…
Tạo khoảng trong chỉnh nha: Nhổ răng Wilkinson
Wilkinson chủ trương nhổ tấ cả các răng cối lớn vĩnh viễn thứ nhất ở độ tuổi từ 8 tuổi rưỡi đến 9 tuổi. Cơ sở cho việc nhổ răng này là sự thật những răng này có nguy cơ cao bị sâu răng. Thuận lợi khác của việc nhổ các răng cối lớn thứ nhất ở tuổi sớm là:
Tránh ngầm răng cối lớn thứ ba nhờ tạo thêm khoảng cho chúng mọc
Giảm chen chúc trên cung răng
Tuy nhiên, nhổ răng Wilkinson thường không được thực hiện vì những hạn chế khác. Nhổ răng cối lớn thứ nhất cung cấp khoảng trống có giới hạn cho việc sửa chữa chen chúc, răng gần đó nghiêng về khoảng nhổ răng và mất đơn vị neo chặn chính để gắn có khí cụ chỉnh nha. Đây là việc nhổ răng được thực hiện cho mục tiêu điều trị.
LỰA CHỌN RĂNG ĐỂ NHỔ
Lựa chọn răng để nhổ tùy thuộc vào tình trạng tại chỗ bao gồm:
- Hướng và lượng tăng trưởng xương hàm
- Bất cân xứng giữa kích thước cung răng và xương nền hàm
- Tình trạng nguyên vẹn, vị trí và sự mọc răng
- Nét mặt nhìn nghiêng
- Độ nhô của răng xương ổ răng
- Tuổi của bệnh nhân
- Tình trạng tổng thể của hàm răng
RĂNG CỬA
Tạo khoảng trong chỉnh nha: Răng cửa hàm trên
Các răng cửa, đặc biệt là các răng cửa giữa, hiếm khi bị nhổ như là một phần trong liệu pháp chỉnh nha. Chỉ định nhổ răng cửa hàm trên:
i. Răng cửa hàm trên ngầm không thuận lợi
ii. Răng cửa bên kẹt ngoài hoặc trong và tiếp xúc giữa răng cửa giữa và răng nanh tốt.
iii. Nếu một răng cửa bên chen chúc và cắn ngược bên trong với chóp răng thay đổi vị trí nằm về phía khẩu cái và nếu răng nanh mọc ở vị trí nằm về phía trước, có trục thẳng hoặc nghiêng xa, thì có chỉ định nhổ răng cửa bên.
iv. Răng cửa bị sâu lớn và không thể tái tạo lại được
v. Chấn thương hoặc tổn thương không thể sửa chữa được ở các răng cửa do nứt

Hình 9A. Nhổ răng cửa bên hàm trên
Tạo khoảng trong chỉnh nha: Răng cửa hàm dưới
Thường thật dễ bị cám dỗ nếu nhổ một răng cửa dưới để giải phóng chen chúc đặc biệt khi chen chúc giới hạn trong vùng răng trước nhưng việc nhổ răng này nên càng tránh càng tốt vì nó gây ra:
- Các răng trước còn lại xếp chồng lên nhau
- Mặc dù chen chúc có thể được giải phóng trong thời gian ngắn hạn nhưng dịch chuyển về phía trước của các răng ngoài dẫn đến tiếp xúc và vị trí các răng cửa kém lý tưởng hơn.
- Khoảng cách liên răng nanh dưới giảm (Lower intercanine width – ICW) dẫn đến cần giảm thứ phát khoảng cách liên răng nanh ở hàm trên với chen chúc răng ở phân đoạn môi hàm trên.
- Cắn sâu
- Lùi các răng cửa hàm dưới
- Nếu không thể ăn khớp bốn răng cửa hàm trên với ba răng cửa hàm dưới sẽ dẫn đến tăng cắn chìa hoặc chấp nhận răng cửa trên chen chúc.
Tuy nhiên, trong một vài trường hợp được xác định rõ, nhổ răng cửa hàm dưới có thể phù hợp:
- Khi một răng cửa hoàn toàn nằm ngoài cung răng và có tiếp xúc bên lý tưởng giữa các răng cửa khác.
- Tiên lượng kém trong trường hợp chấn thương, sâu răng, mất xương, v.v…
- Răng cửa lệch lạc nghiêm trọng
- Răng nanh dưới nghiêng xa nhiều và răng cửa dưới bị xòe – sẽ rất khó để sửa tình trạng này bằng cách nhổ các răng phía sau trên cung hàm. Răng có trục thẳng đứng nhất được chọn nhổ để các răng khác có thể nghiêng vào vị trí đúng.
- Trong trường hợp tương quan răng cửa hạng III nhẹ với cung răng trên chấp nhận được và răng cửa dưới chen chúc, một răng cửa dưới có thể được nhổ để đạt được cắn phủ, cắn chìa bình thường và giải phóng chen chúc.
Nếu theo chỉ số Bolton’s, các răng cửa hàm dưới có kích thước thừa >4mm.

Hình 9B. Nhổ răng cửa giữa hàm dưới

Hình 9C. Nhổ răng cửa bên hàm dưới
Chống chỉ định nhổ răng cửa hàm dưới
- Những trường hợp cắn sâu với dạng tăng trưởng theo chiều ngang
- Tất cả những trường hợp cần nhổ răng cối nhỏ thứ nhất trong khi răng nanh có tương quan hạng I.
- Những trường hợp chen chúc trên cả hai hàm mà không có sự bất cân xứng về kích thước răng ở vùng răng cửa.
- Những trường hợp có bất cân răng vùng răng trước do răng cửa dưới nhỏ hoặc răng cửa trên lớn.
RĂNG NANH
Răng nanh vĩnh viễn là răng quan trọng và thường không được nhổ như là một phần của điều trị chỉnh nha. Nhổ răng này làm mặt bị phẳng, thay đổi sự cân xứng trên khuôn mặt và thay đổi nét mặt.
Khi răng nanh hàm dưới bị chen chúc, đôi khi chúng ta cũng bị cám dỗ việc nhổ răng này. Tuy nhiên, điều này nên tránh vì tiếp xúc bên giữa răng cửa bên và răng cối nhỏ thứ nhất hiếm khi đạt yêu cầu.
Chỉ định
Răng nanh có thể được nhổ trong những trường hợp sau:
- Răng nanh hàm dưới có thể được nhổ khi khó để làm thẳng răng, chẳng hạn khi nó nằm ngoài cung hàm và chóp răng bị thay đổi vị trí nghiêm trọng hoặc khi nó bị ngầm ở vị trí không thuận lợi.
- Răng nanh trên phát triển xa vị trí cuối cùng của nó và có đường mọc răng dài từ vị trí phát triển đến vị trí cuối cùng của nó trong khoan miệng. Vì vậy, cũng không phải là hiếm gặp răng nanh ngầm hoặc lạc chỗ và sự sắp xếp của nó rất khó, thậm chí là không thể. Nhổ răng có thể cần thực hiện ở những trường hợp này.
- Khi răng nanh hàm trên hoàn toàn nằm ngoài cung răng và tiếp xúc bên giữa răng cửa bên và răng cối nhỏ thứ nhất tốt, có thể cân nhắc việc nhổ răng nanh.

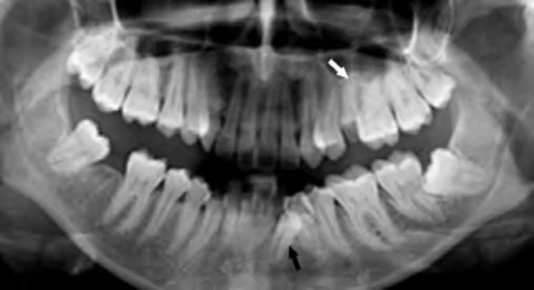
Hình 9D. Mũi tên đen chỉ vào răng nanh hàm dưới hoàn toàn nằm ngoài cung hàm và có thể bị nhổ bỏ như là một phần của kế hoạch điều trị chỉnh nha, mũi tên trắng chỉ vào một răng cối nhỏ thứ hai hàm trên bị sâu răng nghiêm trọng
RĂNG CỐI NHỎ THỨ NHẤT
Đây là răng thường được nhổ nhất như là một phần của điều trị chỉnh nha, đặc biệt là để giải phóng chen chúc vì:
- Nó nằm gần trung tâm của mỗi một phần tư hàm và vì vậy gần vị trí chen chúc, chẳng hạn khoảng trống đạt được bằng nhổ răng này có thể phân bố để sửa chữa vùng răng trước lẫn răng sau.
- Nhổ răng cối nhỏ thứ nhất ít có khả năng làm sai lệch khớp cắn vùng răng cối nhất và là lựa chọn tốt nhất để duy trì kích thước dọc.
- Tiếp xúc giữa răng nanh và răng cối nhỏ thứ hai vẫn thảo đáng.
- Nhổ răng cối nhỏ thứ nhất để lại đoạn phía sau đủ neo chặn cho việc kéo lùi 6 răng trước.
Chỉ định
- Là răng được chọn để nhổ nhằm giải phóng chen chúc trung bình đến nghiêm trọng ở vùng răng trước trên cả hai hàm. Ở cung răng dưới, khi răng nanh nghiêng gần, vùng răng cửa tự động cải thiện sau đó.
- Sửa chữa nhô răng trước từ trung bình đến trầm trọng như trong hạng II chi 1 hoặc hạng I nhô hai hàm.
- Trong những trường hợp neo chặn cao, nhổ răng cối nhỏ thứ nhất được ưu tiên hơn so với răng cối nhỏ thứ hai.
- Là một phần trong nhổ răng tuần tự.
Thời gian nhổ răng
Răng cối nhỏ thứ nhất nên được nhổ khi tất cả các răng cối nhỏ, răng cửa vĩnh viễn và răng nanh đã mọc hoàn toàn đủ để gắn mắc cài lên thân răng, vì sự di gần tăng lên rất nhiều khi nhổ răng. Ngoại lệ duy nhất đối với nguyên tắc này là khi răng cối nhỏ thứ hai không thể mọc lên vì bị ngầm. Bốn răng cối nhỏ thứ nhất không nên được nhổ nhiều hơn 3 tuần trước khi bắc đầu điều trị tích cực để tránh làm di gần các răng sau và vì vậy sẽ không có đủ chỗ cho việc kéo lùi răng.

Hình 9E. Răng cối nhỏ thứ nhất hàm trên được nhổ như một phần của kế hoạch điều trị chỉnh nha để đạt được tương quan hạng II răng cối hoàn toàn
RĂNG CỐI NHỎ THỨ HAI
Chỉ định
- Khi răng cối nhỏ thứ hai nằm hoàn toàn ngoài cung răng do răng cối lớn thứ nhất di gần vì mất răng cối sữa thứ hai sớm.
- Nhổ răng cối nhỏ thứ hai được ưa chuộng hơn trong trường hợp chen chúc nhẹ vùng răng trước vì việc đóng khoảng và kiểm soát kích thước dọc dễ dàng hơn sau khi làm thẳng vùng răng trước. Sự hiện diện của răng cối nhỏ thứ nhất ở vùng nhổ răng làm mạnh neo chặn ở vùng răng trước, vì vậy giúp việc đóng khoảng từ phía sau dễ dàng hơn.
- Nhổ răng cối nhỏ thứ hai được ưa chuộng hơn khi mong muốn duy trì thẩm mỹ và nét mặt nhìn nghiêng mô mềm.
- Răng cối nhỏ thứ hai ngầm bất lợi.
- Sâu lớn hoặc bệnh lý nha chu ở răng cối nhỏ thứ hai
- Trong những trường hợp cắn hở, nhổ răng cối nhỏ thứ hai được ưa chuộng vì nó giúp làm khớp cắn sâu thêm.
RĂNG CỐI LỚN THỨ NHẤT
Răng cối lớn thứ nhất được coi là không được chạm vào ngay từ đầu lịch sử của chỉnh nha. Nó được xem là nền tảng của bộ răng.
Răng cối lớn vĩnh viễn thứ nhất là chủ đề tranh luận vì giá trị của nó trên cung răng đặc biệt vì nó là răng dễ bị tổn thương nhất ở thời thơ ấu. Người ta cho rằng không bao giờ nên nhổ răng này. Nhưng cũng có bên tranh cãi rằng răng cối lớn thứ nhất có thể được nhổ nếu đo lường mang lại lợi ích trên cung răng. Tuy nhiên, không có quy tắc duy nhất nào thực hiện phù hợp cho mọi cá nhân.
Nhổ răng cối lớn thứ nhất được tránh là vì:
- Nó không tạo đủ khoảng để giải phóng chen chúc vùng răng trước
- Làm sâu khớp cắn
- Tiếp xúc kém giữa răng cối lớn thứ hai và răng cối nhỏ thứ hai
- Răng cối nhỏ thứ hai và răng cối lớn thứ hai có thể nghiêng về khoảng trống nhổ răng
- Ảnh hưởng đến việc ăn nhai
Chỉ định
- Giảm tối thiểu khoảng trống nhằm giải phóng chen chúc vùng răng trước hoặc nhô nhẹ
- Răng bị sâu nghiêm trọng hoặc bệnh lý nha chu với tiên lượng kém
- Răng cối lớn ngầm – hiếm khi thấy
Những quy tắc hướng dẫn thời gian tốt nhất để nhổ răng
Khi không có chen chúc ở vùng răng cối nhỏ và không cần khoảng để sắp đều các răng trước thì răng cối lớn thứ nhất được nhổ trước khi răng cối lớn thứ hai mọc, cho phép nó di về phía trước trong quá trình mọc răng và nằm vào vị trí của răng cối lớn thứ nhất. Ngoài ra, răng cối lớn thứ nhất hàm dưới cần được nhổ sớm hơn răng cối lớn thứ nhất hàm trên vì răng cối lớn thứ hai di chuyển về phía gần khó hơn ở hàm dưới.
Khi cần khoảng trống để sắp đều các răng trước, nên chờ cho đến khi răng cối lớn thứ hai mọc trước khi nhổ răng cối lớn thứ nhất để tránh đóng khoảng do di gần răng cối lớn thứ hai.
Nếu khí cụ cố định được sử dụng khéo léo thì hầu hết các vấn đề gây ra do buộc phải nhổ răng cối lớn thứ nhất đều có thể giải quyết được. Tuy nhiên, điều trị đôi khi kéo dài hơn so với nhổ răng cối nhỏ thứ nhất.

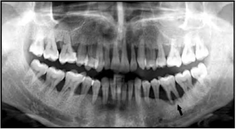
Hình 9F. Mũi tên đen chỉ răng cối lớn thứ nhất hàm dưới được chỉ định nhổ vì tình trạng nha chu

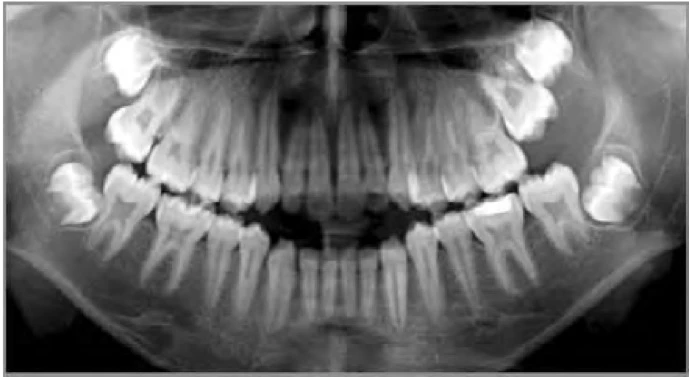
Hình 9G. Răng cối lớn thứ nhất hàm trên bên phải bị sâu nghiêm trọng được chỉ định nhổ
RĂNG CỐI LỚN THỨ HAI
Răng cối lớn thứ hai hàm dưới
Răng cối lớn thứ hai hàm dưới nằm tại vị trí cuối cùng trên cung răng và do đó nằm xa vị trí chen chúc răng. Nhổ răng này không giúp giải phóng chen chúc, tuy nhiên, nhổ răng có thể được chỉ định trong những trường hợp dưới đây:
- Để giải phóng răng ngầm của răng cối nhỏ thứ hai: khi răng cối lớn thứ nhất dạt về phía trước do sự mất sớm răng cối sữa thứ hai gây ra thiếu khoảng cho răng cối nhỏ thứ hai mọc, nhổ răng cối lớn thứ hai cho phép sự di xa của răng cối lớn vĩnh viễn thứ nhất. Điều này giúp tạo khoảng cho răng cối nhỏ mọc.
- Để giải phóng răng cối lớn thứ ba hàm dưới mọc ngầm
Vì vị trí mọc của răng cối lớn thứ ba khác biệt nên việc nhổ răng cối lớn thứ hai thường không được chỉ định để giải phóng răng cối lớn thứ ba ngầm. Tuy nhiên, những tình trạng mà tại đó nhổ răng cối lớn thứ hai có thể dẫn đến vị trí tốt của răng cối lớn thứ ba là:
- Khi răng cối lớn thứ ba thẳng trục hoặc trục chính của nó không nghiêng gần hơn 30 độ so với trục chính của răng cối lớn thứ hai.
- Khi răng cối lớn thứ hai được nhổ chỉ sau khi quá trình canxi hóa của thân răng cối lớn thứ ba hoặc ngay trước khi có sự hình thành chân răng của răng cối lớn thứ ba bắt đầu, thường giữa 12 và 14 tuổi.
- Để giải phóng chen chúc vùng răng cửa hàm dưới: sắp thẳng các răng cửa hàm dưới tối thiểu có thể xảy ra nhưng hiệu ứng này thường thoáng qua.
- Tránh chen chúc vùng răng cửa hàm dưới: bằng chứng cho thấy những bệnh nhân có nhổ răng cối lớn thứ hai hàm dưới có sự thu hẹp cung răng dưới ít hơn.
- Sửa chữa bất cân xứng chiều dài cung răng nhẹ đến trung bình khi nét mặt nhìn nghiêng đẹp.Sâu răng trầm trọng, răng mọc sai chỗ hoặc răng cối lớn thứ hai xoay nhiều.
- Những trường hợp cắn hở, nhổ răng có thể giúp sửa chữa cắn hở vùng răng trước.

Hình 9H. Nhổ răng cối lớn thứ hai có thể được thực hiện trong những trường hợp cắn hở phía trước vì nó có thể giúp tăng độ cắn phủ
RĂNG CỐI LỚN THỨ HAI HÀM TRÊN
Chỉ định
- Trong những trường hợp chen chúc nhẹ, khi thiếu khoảng chừng 3-4mm cho phân đoạn ngoài, kết quả tốt có thể đạt được sau khi kéo lùi phân đoạn phía má.
- Tạo khoảng cho chen chúc vùng răng cối nhỏ thứ hai bằng cách di xa răng cối lớn thứ nhất.
- Khi răng cối lớn thứ hai bị ngầm tác động lên răng cối lớn thứ nhất, chỉ định nhổ răng cối lớn thứ hai được ưu tiên hơn việc nhổ răng cối lớn thứ ba ngầm nghiêm trọng mà không tạo khoảng nào trên đường khớp cắn.
Tiêu chí nhổ răng cối lớn thứ hai hàm trên và thay thế bằng răng cối lớn thứ ba:
- Thời gian và tuổi răng của bệnh nhân nên vượt qua thời gian trung bình răng cối lớn thứ hai mọc
- Kích thước, hình dạng và chân răng vùng răng cối lớn thứ ba nên đủ để thay vào vị trí răng cối lớn thứ hai.
- Lồi cùng xương hàm trên không đủ để chứa cả ba răng cối lớn
- Nếu răng cối lớn thứ hai nằm về phía ngoài so với khớp cắn và răng cối lớn thứ ba nằm ở vùng lồi cùng.
- Răng cối lớn thứ ba hàm trên có góc độ mọc tốt.
- Răng cối lớn thứ hai bị sâu nghiêm trọng có vấn đề về tiên lượng.
Chống chỉ định
- Răng cối lớn thứ ba hàm trên nằm cao trong lồi cùng
- Có góc độ không thuận lợi với răng cối lớn thứ hai
- Thân răng và chân răng nhỏ
- Thiếu mầm răng cối lớn thứ ba
Thời gian nhổ răng
Răng cối lớn thứ hai nên được nhổ ngay khi mọc, răng cối lớn thứ ba có thân răng vừa hình thành xong và chân răng bắt đầu phát triển.
Răng cối lớn thứ hai hàm trên nên được nhổ khi răng cối lớn thứ ba di chuyển đủ trong xương ổ răng để mặt nhai xấp xỉ mức đường dọc giữa chân răng cối lớn thứ hai.
Những ưu điểm của việc nhổ răng cối lớn thứ hai
- Tạo điều kiện thuận lợi cho việc điều trị dùng khí cụ tháo lắp
- Mọc răng cối lớn thứ ba nhanh hơn
- Một số khoảng trống còn lại cuối điều trị
- Dạng cung răng dưới đẹp
- Ít nguy cơ tái phát
- Răng độ cắn phủ trong những trường hợp cắn hở
Nhược điểm
- Quá nhiều mô răng bị lấy đi đối với những trường hợp chen chúc nhẹ.
- Vị trí nhổ răng xa vùng răng chen chúc.
- Không chắc chắn rằng răng cối lớn thứ ba sẽ mọc thậm chí khi đã nhổ răng cối lớn thứ hai.
- Vị trí cuối cùng của răng cối lớn thứ ba có thể không chấp nhận được.
- Tăng độ cắn phủ.
RĂNG CỐI LỚN THỨ BA
Nhổ răng cối lớn thứ ba trong điều trị chỉnh nha không mang lại khoảng để giải phóng chen chúc hoặc giảm độ nhô răng.
Chỉ định
- Răng cối lớn thứ ba ngầm: răng cối lớn thứ ba thường bị ngầm và trừ phi các răng khác bị thiếu hoặc bị nhổ, hiếm khi có chỗ cho răng này mọc trên cung răng. Nhổ răng cối lớn thứ ba thường được thực hiện nhằm giải phóng răng ngầm. Thời gian nhổ thông thường là khi hai phần ba chân răng được hình thành.
Nhổ răng cối lớn thứ ba không nên trì hoãn vì:
- Khó nhổ răng hơn khi chân răng đã hoàn thành việc đóng chóp
- Chân răng cong khiến việc nhổ khó khăn hơn
- Viêm quanh thân răng có thể xảy ra và gây mất xương và hình thành túi nha chu ở phía xa răng cối lớn thứ hai.

Hình 9I. Răng cối lớn thứ ba ngầm được chỉ định nhổ
2. Mọc răng cối lớn thứ ba liên quan đến việc chen chúc vùng răng cửa hàm dưới sau này, mặc dù bằng chứng của chuyện này vẫn chưa được làm rõ. Ở tuổi vị thành niên và giai đoạn sớm tuổi trưởng thành, thường thấy tiến triển chen chúc vùng răng trước. Chen chúc muộn tiến triển trong khoảng thời gian mọc răng cối lớn thứ ba khiến nhiều nha sĩ cảm giác rằng lý do là vì áp lực từ răng cối lớn thứ ba. Tuy nhiên, cũng khó để phát hiện ra lực này. Trên thực tế, chen chúc vùng răng trước muộn thường tiến triển ở cả những cá nhân có răng cối lớn thứ ba thiếu bẩm sinh.
3. Răng cối lớn thứ ba bị dị dạng làm cản trở khớp cắn bình thường cũng nên được nhổ bỏ.
—
Nguồn: Gurkeerat Singh (2007), “Textbook of Orthodontics“, 2nd edition, Jaypee Brothers Medical Publishers (P) Ltd
Biên dịch: BS Lương Thị Quỳnh Tâm
