Chào mừng quý đồng nghiệp đến với chuyên mục “Tự học chỉnh nha” của ane.vn. Với vai trò là một nha sĩ đang bắt đầu hành trình chỉnh nha, việc nắm vững kiến thức chỉnh nha cơ bản và các quy trình chỉnh nha lâm sàng là vô cùng quan trọng. Bài viết này sẽ cung cấp những hướng dẫn chi tiết về các bước đầu tiên trong chỉnh nha cho người mới bắt đầu, từ việc đặt chun tách khe đến gắn khâu chỉnh nha và gắn mắc cài, giúp quý vị tự tin thực hiện trên bệnh nhân tại phòng khám nha khoa của mình. Sau khi đã có chẩn đoán chỉnh nha và lập bệnh án chỉnh nha kỹ lưỡng, đây là lúc chúng ta bắt đầu các bước lâm sàng đầu tiên.
Tự học chỉnh nha: Đặt chun tách khe, gắn khâu, gắn mắc cài, buộc chun, ligature
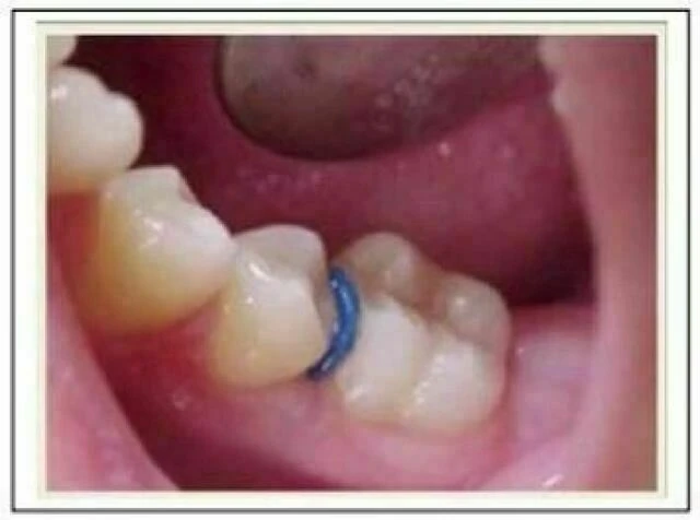
1. Tách khe chỉnh nha
Sau khi hoàn tất chẩn đoán chỉnh nha và bệnh án chỉnh nha, giai đoạn tiếp theo trong quy trình chỉnh nha là đặt các khí cụ gắn chặt. Trong đa số các ca chỉnh nha, việc gắn khâu chỉnh nha lên một số răng cối, đặc biệt là các răng sau cùng của cung hàm, là cần thiết. Sau đó, mắc cài sẽ được gắn mắc cài từ răng số 4 đến số 4 hoặc số 5 đến số 5. Cần lưu ý rằng, việc gắn mắc cài trực tiếp không yêu cầu tách khe chỉnh nha trước, nhưng nếu quyết định gắn khâu chỉnh nha vào răng, thì tách khe chỉnh nha là bước không thể bỏ qua.
Việc kinh nghiệm đặt tách khe chỉnh nha và tầm quan trọng của khí cụ chỉnh nha này không nên bị đánh giá thấp. Đây thường là trải nghiệm đầu tiên của bệnh nhân với chỉnh nha. Nếu trải nghiệm này gây đau khi đặt chun tách khe dữ dội, một số bệnh nhân có thể mất động lực và từ bỏ điều trị ngay từ đầu. Dưới đây là một số lưu ý quan trọng về các phương pháp đặt chun tách khe:
-
Nếu khoảng khe không đủ khi thử khâu, quá trình gắn khâu chỉnh nha sẽ trở nên cực kỳ khó khăn và gây khó chịu cho cả nha sĩ và bệnh nhân. Hậu quả là có thể phải chọn cỡ khâu chỉnh nha quá rộng, dẫn đến sút khâu hoặc tích tụ mảng bám trong suốt quá trình điều trị. Hơn nữa, việc gắn khâu chỉnh nha không sát khít có thể gây ra sai sót khi gắn khâu chỉnh nha tại ống mắc dây, dẫn đến những di chuyển răng không mong muốn và ảnh hưởng đến khớp cắn.
-
Khâu được sử dụng để giảm thiểu các vấn đề như sút khâu hoặc hỏng ống mắc dây trên răng cối trong quá trình điều trị, đặc biệt ở vùng răng sau nơi dây cung kết thúc, thường gây ra các cuộc hẹn cấp cứu. Mặc dù gắn mắc cài là phương pháp phổ biến, nhưng việc mắc cài bị bong tróc có thể khiến cả nha sĩ và bệnh nhân phải đến phòng khám nha khoa để sửa chữa, gây gián đoạn quy trình chỉnh nha. Cần lưu ý rằng trong nhiều trường hợp lâm sàng, việc sử dụng khâu răng 5 dưới chỉnh nha là một lựa chọn hiệu quả. Mặc dù gắn mắc cài hay khâu răng cối ở vị trí này thường được cân nhắc, mắc cài ở răng số 5 dưới có xu hướng bong tróc cao. Để tránh tăng áp lực công việc cho phòng khám nha khoa, nha sĩ có thể ưu tiên sử dụng khâu. Việc gắn khâu chỉnh nha cũng không tốn nhiều thời gian nếu trợ thủ nha khoa được huấn luyện để thử khâu, giúp nha sĩ tập trung vào việc gắn khâu chỉnh nha cuối cùng.
Các hình thức tách khe chỉnh nha bao gồm:
1.1. Chun tách khe chỉnh nha
Chun tách khe là vật liệu chỉnh nha có giá thành rẻ và dễ sử dụng, đặc biệt phù hợp cho trẻ em và thanh thiếu niên. Tuy nhiên, ưu nhược điểm chun tách khe cần được cân nhắc. Ở những điểm tiếp xúc răng chật hoặc có miếng trám amalgam, chun tách khe dễ bị đứt khi đưa qua điểm tiếp xúc. Chúng cũng có thể cản trở khớp cắn, khiến bệnh nhân khó cắn chặt hai hàm. Do sự cản trở khớp cắn và lực mạnh từ Polyurethane (vật liệu của chun) tác động lên răng, nhiều bệnh nhân thường than phiền về đau khi đặt chun tách khe. Vì lý do này, chun tách khe thường ít được sử dụng ở người lớn, những đối tượng nhạy cảm hơn với đau răng và sự cản trở khớp cắn.
Chúng tôi khuyến nghị sử dụng loại chun tách khe cản quang, có thể nhìn thấy rõ trên phim x-quang, giúp nha sĩ dễ dàng kiểm tra vị trí và tình trạng của chun.
a. Bằng kìm đặt chun tách khe: Phương pháp này nhẹ nhàng, nhanh chóng và ít gây khó chịu nhất cho bệnh nhân.
b. Sử dụng chỉ tơ đặt tách khe:
c. Dùng kẹp Mosquito đặt tách khe:
1.2. Lò xo Ni-ti tách khe
Lò xo Ni-ti tách khe là một vật liệu chỉnh nha khác có nhiều ưu điểm. Chúng dễ dàng đặt vào mọi điểm tiếp xúc, giải phóng lực nhẹ nhàng, tự giữ vững vị trí và quan trọng nhất là không cản trở khớp cắn. Mặc dù lò xo Ni-ti tách khe có giá thành cao hơn chun tách khe, nhưng chúng có thể được hấp tiệt trùng và tái sử dụng nhiều lần, giúp giảm đáng kể chi phí cho mỗi lần đặt chun tách khe.
Lò xo Ni-ti tách khe có khả năng mở đủ khoảng tiếp xúc để di chuyển sâu hơn về phía mô lợi. Nha sĩ cần luôn đảm bảo đếm đủ số lò xo khi tháo ra. Nếu không thấy đủ, cần kiểm tra kỹ dưới mô lợi để tránh bỏ sót.
Trong trường hợp mô lợi có thân răng lâm sàng ngắn, chân đứng của lò xo có thể in dấu lên mô lợi. Nha sĩ có thể cắt ngắn chân lò xo Ni-ti tách khe bằng kìm cắt pin hoặc ligature. Luôn kiểm tra để đảm bảo chân lò xo ôm sát cấu trúc răng và không kẹp vào mô lợi, tránh gây khó chịu hoặc tổn thương.
1.3. Hướng dẫn bệnh nhân chỉnh nha và thời gian đặt tách khe chỉnh nha
Mục đích của việc hướng dẫn bệnh nhân chỉnh nha là để giảm thiểu các cuộc hẹn cấp cứu do bệnh nhân không hiểu rõ về quy trình chỉnh nha. Đồng thời, việc thông báo trước giúp bệnh nhân chuẩn bị tinh thần cho những gì sẽ xảy ra. Nếu bệnh nhân không được cảnh báo về khả năng đau răng và cơn đau răng xuất hiện, điều đó có nghĩa là nha sĩ đã bỏ qua một bước quan trọng trong việc quản lý kỳ vọng của bệnh nhân.
Bảng hướng dẫn bệnh nhân chỉnh nha thông thường (do trợ thủ nha khoa hướng dẫn) bao gồm:
-
Không dùng chỉ tơ vào các khe răng đang có chun tách khe để đảm bảo vệ sinh răng miệng đúng cách mà không làm rơi chun.
-
Bệnh nhân có thể cảm thấy đau răng hoặc khó chịu vì răng chưa quen với lực tác động và có thể không cắn chặt được hai hàm.
-
Nếu chun tách khe bị rớt phải làm sao? Nếu chun rơi ra trước lần hẹn gắn khâu chỉnh nha một ngày, không cần quay lại phòng khám nha khoa để đặt lại. Tuy nhiên, nếu chun bị mất sớm hơn một ngày, bệnh nhân cần quay lại để đặt chun tách khe khác.
Thời gian đặt tách khe chỉnh nha thông thường là 2-3 ngày đối với trẻ em và 1 tuần đối với người lớn. Tách khe chỉnh nha có thể được duy trì tại chỗ trong khoảng 2 tuần. Nếu thời gian kéo dài hơn, cần hẹn lại bệnh nhân để đặt chun tách khe mới.
2. Khâu (Band)
2.1. Giới thiệu về khâu chỉnh nha
Nha sĩ cần chọn cỡ khâu chỉnh nha trực tiếp trên bệnh nhân hoặc đo kích thước khâu trên mẫu hàm nghiên cứu. Khâu có thể là khâu trơn hoặc đã được hàn vật dán thêm các phụ kiện mặt lưỡi hoặc mặt má tùy theo lựa chọn của nha sĩ và chỉ định điều trị. Hiện nay, có nhiều loại móc hàn vật dán khác nhau ở cả mặt trong và mặt ngoài, cho phép áp dụng linh hoạt trên từng bệnh nhân và loại bỏ sự cồng kềnh của các hệ thống khâu hàn sẵn và dây cung thẳng trước đây. Khâu hàn sẵn đã được sử dụng ở Mỹ từ năm 1962. Trước đó, nha sĩ thường hàn vật dán từng móc phụ vào khâu trong miệng bằng cách “bấm” khâu và sau đó hàn vật dán thêm. Quá trình này rất mất thời gian nhưng cho phép nha sĩ cá nhân hóa khí cụ chỉnh nha phù hợp cho từng bệnh nhân.
Khi chọn cỡ khâu chỉnh nha, không cần phải ấn khâu vào quá khít với răng. Chỉ cần xác định khâu nào “hơi chật một chút” trên răng khi thử khâu ngang mức đường viền. Mối hàn vật dán ở mặt ngoài có thể làm cho khâu có vẻ nhỏ đi, vì vậy không nên chọn cỡ khâu chỉnh nha chặt nhất ngay từ đầu khi thử khâu. Khi hàn vật dán mặt ngoài và mặt trong, khâu sẽ tăng thêm độ cứng do sự kết hợp của vật liệu chỉnh nha này.
2.2. Khâu răng cối nhỏ chỉnh nha
Khâu răng cối nhỏ chỉnh nha là một lựa chọn quan trọng trong một số trường hợp điều trị. Mặc dù mắc cài thường được ưu tiên cho răng cối nhỏ, việc sử dụng khâu có thể mang lại sự ổn định tốt hơn, đặc biệt khi cần gắn các khí cụ chỉnh nha phụ trợ hoặc trong các trường hợp mắc cài dễ bị bong tróc.

(Hình minh họa: Khâu răng 1.4)







