list Nội dung bài viết

    Sử dụng minivis trong chỉnh nha niềng răng mặt trong

    Kiểm soát neo chặn trong chỉnh nha mặt ngoài và mặt trong luôn là mối quan tâm lớn đối với các bác sỹ chỉnh nha. Việc sử dụng các khí cụ để tăng cường neo chặn phụ thuộc nhiều vào sự hợp tác của bệnh nhân vì việc này gây kém thẩm mỹ đối với đại đa số bệnh nhân lựa chọn niềng răng mặt trong.

    Sự phát triển và ứng dụng minivis trong điều trị chỉnh nha đã cho phép đạt được neo chặn tuyệt đối cho chỉnh nha mặt lưỡi cũng như mặt ngoài.

    Bài viết này trình bày ứng dụng của minivis trong chỉnh nha mặt trong.

    Minivis hàm trên

    Với điều trị niềng răng mặt trong, minivis có thể được cắm giữa các chân răng ở xương ổ răng phía vòm miệng (Hình 1) hoặc vùng giữa khẩu cái (Hình 2). Ở bệnh nhân là trẻ em, đường khớp giữa khẩu cái vẫn đang mở, trong trường hợp này có thể cắm minivis ở vùng cận giữa khẩu cái (Hình 3). Trong một số trường hợp, có thể cắm minivis ở mặt ngoài ngay cả khi niềng răng mặt trong (Hình 4)

    Minivis hàm trên
    Hình 1 Minivis hàm trên cắm ở xương ổ răng phí vòm miệng.

     

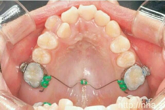
    Minivis cắm ở vùng đường giữa khẩu cái.
    Hình 2 Minivis cắm ở vùng đường giữa khẩu cái.
    Minivis cắm ở vùng cận giữa khẩu cái.
    Hình 3 Minivis cắm ở vùng cận giữa khẩu cái.
    Minivis cắm ở mặt ngoài hàm trên và hàm dưới ở một bệnh nhân niềng răng mặt trong.
    Hình 4 Minivis cắm ở mặt ngoài hàm trên và hàm dưới ở một bệnh nhân niềng răng mặt trong.

    Khi sử dụng minivis tại đầu xa cung răng với mục đích neo chặn, sẽ gây ra khó kiểm soát sự trồi các răng trước hàm trên, hiện tượng này có thể xảy ra trong quá trình kéo khối 6 răng phía trước do hiệu ứng cuộn của dây cung. Trong trường hợp cần đánh lún các răng phía trước, có thể dùng phương pháp cắm minivis tại xương vỏ mặt ngoài phía dưới gai mũi trước và tác dụng lực đánh lún thông qua chun chuỗi. Chun chuỗi được mắc vào các button và dán vào mặt ngoài hai răng cửa giữa (Hình 5).

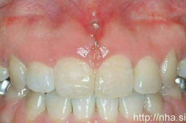
    Minivis cắm ở mặt trước xương hàm trên
    Hình 5 Minivis cắm ở mặt trước xương hàm trên của một bệnh nhân niềng răng mặt trong. Buộc chun chỉ từ minivis tới các button composite trong suốt được dán vào mặt ngoài các răng cửa giữa.

    Minivis có nhiều chiều dài khác nhau, dễ dàng sử dụng trong mọi trường hợp. Theo nguyên tắc chung, đối với minivis hàm trên, phần vít nằm trong xương cần dài tối thiểu 6 mm (Hình 6). Chiều dày niêm mạc thay đổi theo từng bệnh nhân và ở những vị trí khác nhau ở vòm miệng. Có thể đo chiều dày niêm mạc bằng kim tiêm trong hoặc sau khi gây tê.

    Một số khuyến cáo đối với chiều dài minivis:

    – Niêm mạc vòm miệng dày 6 mm, dùng minivis dài 12 mm.

    – Niêm mạc đường giữa vòm miệng mỏng hơn, dùng minivis dài 6-7 mm.

    – Vùng xương ổ răng phía má, lợi dính, dùng minivis dài 7-8 mm.

    – Bệnh nhân người lớn với xương vỏ dày đặc, dùng minivis dài 7 mm.

    – Bệnh nhân trẻ em, xương vỏ ít đặc hơn, dùng minivis dài 8 mm.

    – Mặt ngoài các răng cửa trên, xương có chất lượng tốt và không chịu lực nhai dùng minvis 6 mm.

    Đường kính của thân vít có thể dao động từ 1,2 đến 2,0 mm. Việc lựa chọn đường kính minivis còn phụ thuộc vào vị trí cắm vít. Khuyến cáo khi sử dụng:

    Mặt ngoài xương hàm trên dùng minivis đường kính 1,3-1,5 mm.

    Vùng liên chân răng phía vòm miệng dùng minivis đường kính 1,4-1,6 mm.

    Vùng đường giữa vòm miệng, phụ thuộc vào mật độ xương, dùng minivis đường kính 1,6-2,0 mm.

    chỉnh nha mặt otrng - Minivis cần được cắm vào xương hàm trên.
    Hình 6 Minivis cần được cắm tối thiểu 6 mm vào xương hàm trên.

    Chỏm vít có một số hình dạng bao gồm chỏm phẳng và chỏm trụ. Việc lựa chọn hình dạng chỏm cũng phụ thuộc vào vị trí cắm minivis, khả năng tiếp cận, và hướng tác dụng lực (Hình 7). Nếu chỏm vít có nguy cơ gây kích thích mô mềm thì nên sử dụng chỏm phẳng chứ không nên dùng chỏm dạng trụ. Các yếu tố như dễ tiếp cận cho nha sĩ, sử dụng chỉ thép buộc, lò xo, chun chỉ hay chun chuỗi đều ảnh hưởng tới việc lựa chọn chỏm vít.

    Các minivis Absoanchor với hình dạng chỏm khác nhau.
    Hình 7 Các minivis Absoanchor với hình dạng chỏm khác nhau.

    Minivis hàm dưới

    Trong giới hạn cung hàm dưới, các minivis cắm ở mặt trong thường có xu hướng gây kích thích lưỡi; vì vậy nên lựa chọn thiết kế chỏm vít dạng phẳng hơn là dạng trụ. Cắm minivis hàm dưới ở mặt trong là một thủ thuật khó, khi tiến hành nên cắm minivis ở mặt ngoài, ngay cả cho các trường hợp điều trị niềng răng mặt trong (Hình 4). Ít trường hợp niềng răng mặt trong cần thêm lực để đánh lún các răng cửa dưới; tuy nhiên, nếu cần thiết có thể cắm minivs ở xương vỏ phía dưới các răng cửa dưới. Theo quy tắc chung, thân vít cần nằm ít nhất 5 mm trong xương (Hình 8).

    Ở những bệnh nhân có chất lượng xương vỏ tốt, minivis dài 6 mm là đủ; ở những bệnh nhân trẻ tuổi với xương vỏ ít đặc hơn, nên lựa chọn minivis 7-8 mm. Ở vùng hậu hàm, độ dày niêm mạc có thể thay đổi nhiều; nên đo độ dày này bằng kim tiêm tê. Xương vỏ mặt ngoài ở vùng răng cửa dưới thường tương đối đặc, hơn nữa vùng này không chịu lực nhai nên minivis 5 mm là đủ.

    chỉnh nha mặt trong - Minivis cần được cắm vào xương hàm dưới
    Hình 8 Minivis cần được cắm tối thiểu 5 mm vào xương hàm dưới.

    Đường kính của minivis cho mặt ngoài hàm dưới có thể dao động từ 1,4-1,5 mm; và cho vùng răng cửa dưới nên dùng vít mảnh hơn, dao động từ 1,2-1,3 mm.

    Theo nguyên tắc chung, dù cắm minivis ở hàm trên hay hàm dưới thì cũng phải cố cắm vít sao cho chỏm vít nằm ở lợi dính mà không nằm ở niêm mạc di động. Nếu chỏm vít nằm ở niêm mạc di động, mô mềm sẽ phát triển và phủ lên chỏm vít. Nếu chủ đích cắm minivis ở niêm mạc di động thì nên buộc chỉ thép vào chỏm vít để tạo thành hook, cho phép tác dụng lực kéo xuyên qua niêm mạc di động (Hình 9).

    chỉnh nha mặt trong - Minivis cắm vào lợi di động sẽ bị vùi vào mô mềm trong quá trình điều trị
    Hình 9 Minivis cắm vào lợi di động sẽ bị vùi vào mô mềm trong quá trình điều trị. Cần buộc chỉ thép vào chỏm minivis xuyên qua niêm mạc vào khoang miệng.

    Tác dụng lực chỉnh nha

    Minivis được làm từ hợp kim titan và có một mức độ tích hợp xương giữa vít và xương. Tuy nhiên, tỉ lệ thành công của minivis không phụ thuộc vào tích hợp xương mà nó phụ thuộc vào sự lưu giữ cơ học của vít trong xương. Nghiên cứu đã chỉ ra rằng, có thể tác dụng lực ngay sau khi cắm minivis. Sự lưu giữ cơ học có thể chịu được lực lên tới 300 g tác dụng ngay sau khi cắm minivis.

    Tháo minivis

    Mặc dù có tích hợp xương giữa minivis titan và xương, nhưng việc tháo vít không hề khó khăn. Các vít đường kính 1,4 mm hoặc nhỏ hơn có thể tháo ra dễ dàng bằng mô men xoắn ít hơn 2-3 NCm. Chỉ một thất bại đã được báo cáo khi tháo vít đường kính 1,6 mm. Để dễ tháo vít , nên dùng vít có đường kính nhỏ hơn và xoay cây vặn tay hoặc máy theo hướng ngược với khi cắm vít. Thường không cần gây tê tại chỗ; thỉnh thoảng có thể cần gây tê bề mặt.

    Tổng kết

    Hiện nay, niềng răng mặt trong có thể và đang đạt được những kết quả điều trị tuyệt vời. Đối với nhiều bệnh nhân, vì lý do thẩm mỹ nên niềng răng mặt trong là lựa chọn duy nhất. Một số bác sĩ chỉnh nha có thể vẫn còn do dự hoặc không muốn thử điều trị niềng răng mặt trong; tuy nhiên, với kỹ thuật gắn gián tiếp, sử dụng dây thẳng và neo chặn bằng minivis, thì niềng răng mặt trong đã trở nên đơn giản hơn rất nhiều và đã trở thành lựa chọn điều trị tuyệt vời trong chỉnh nha thế kỷ 21.

    (Nguồn: nha.si)

    Tổng hợp: Công ty Anh & Em

    🩺
    Biên soạn bởi đội ngũ chuyên môn Đội ngũ Tư vấn ANH & EM Dental – Chuyên gia Thiết bị Nha khoa
    Tổng hợp từ tài liệu chuyên ngành và kinh nghiệm phân phối thiết bị nha khoa
    Bài viết này cung cấp thông tin kỹ thuật và tham khảo về thiết bị nha khoa. Không thay thế cho tư vấn y tế chuyên nghiệp. Hãy tham khảo bác sĩ trước khi đưa ra quyết định điều trị.
    Tác giả

    Việt Trần

    Chuyên gia trang thiết bị Nha khoa J. Morita với hơn 10 năm kinh nghiệm trong lĩnh vực tư vấn giải pháp thiết bị lâm sàng toàn diện.