Nối tiếp phần 1, bài viết bệnh lý tủy răng phần 2 sẽ tiếp tục đưa ra các dạng bệnh lý về tủy giúp các bác sĩ nha khoa có cái nhìn tổng quát trong việc điều trị nội nha.
4. Viêm tuỷ không có khả năng hồi phục có triệu chứng
Răng được phân vào tình trạng viêm tuỷ không có khả năng hồi phục có triệu chứng khi răng đã có biểu hiện đau liên tục hoặc đau tự phát. Khi răng bị kích thích bởi nhiệt (đặc biệt là kích thích lạnh) thì cơn đau tăng lên và kéo dài, thậm chí đau vẫn còn sau khi đã loại bỏ thích thích. Đau có thể rầm rộ hoặc âm ỉ, khu trú, lan toả hoặc đau xuất chiếu. Thông thường hình ảnh ,X-quang cho thấy xương quanh chóp không có sự thay đổi nào hoặc thay đổi tối thiểu. Với bệnh lý viêm tuỷ không có khả năng hồi phục tiến triển thì trên X-quang có thể thấy được sự dày lên của dây chằng nha chu, đôi khi tuỷ răng bị kích thích sẽ có hình ảnh canxi hoá trong buồng tuỷ hoặc ống tuỷ. Khi thăm khám lâm sàng hoặc trên X-quang hoặc khai thác bệnh sử có thể thấy được sự hiện diện của xoang trám lớn, sâu răng, lộ tuỷ, hoặc bất kỳ tác nhân trực tiếp hay gián tiếp nào tác động vào mô tuỷ, vừa mới đây hoặc trước đây. Thông thường, khi viêm tuỷ không có khả năng hồi phục có triệu chứng không được điều trị thì tuỷ răng sẽ bị hoại tử.
Viêm tuỷ không có khả năng hồi phục không triệu chứng
Trong trường hợp lỗ sâu lớn nhưng không gây ra bất kỳ triệu chứng nào, thậm chí là trên lâm sàng hoặc X quang cho thấy lỗ sâu có thể đã mở rộng vào tuỷ răng. Nếu không điều trị, răng có thể xuất hiện triệu chứng hoặc tuỷ răng sẽ dần hoại tử. Trong trường hợp viêm tuỷ không có khả năng hồi phục không có triệu chứng thì nên tiến hành điều trị nội nha sớm nhất có thể nhằm để tình trạng này không phát triển lên viêm tuỷ không có khả năng hồi phục có triệu chứng khiến bệnh nhân đau đớn và căng thẳng.
Xem thêm: ,Điều trị nội nha – Tạo hình và làm sạch ống tủy có giải phẫu phức tạp
Xem thêm: ,Quyết định chiều dài làm việc trong điều trị nội nha
5. Tuỷ hoại tử
Khi tuỷ răng bị hoại tử (hoặc tuỷ răng không còn sống), không còn sự cung cấp máu đến tuỷ răng và dây thần kinh tuỷ không thực hiện chức năng. Phân loại lâm sàng này nhằm mô tả tình trạng mô học của tuỷ răng. Tình trạng này theo sau tình trạng viêm tuỷ không có khả năng hồi phục có triệu chứng hoặc không có triệu chứng. Sau khi tuỷ răng hoại tử hoàn toàn, răng sẽ không có biểu hiện gì cho đến khi các triệu chứng xuất hiện trở lại do bệnh lý tiến triển đến vùng mô quanh chóp. Khi tuỷ răng hoại tử, răng sẽ không đáp ứng với thử nghiệm điện hoặc kích thích lạnh. Tuy nhiên, nếu đặt nhiệt vào răng trong một khoảng thời gian đủ lâu, răng có thể đáp ứng với kích thích. Đáp ứng này có thể liên quan đến chất lỏng hoặc khí còn lại trong ống tuỷ, chúng giãn nở và tác động vào vùng mô quanh chóp. Như được thảo luận từ trước, chấn thương răng cũng có thể làm răng không đáp ứng với các thử nghiệm tuỷ và bắt chước những triệu chứng của tuỷ hoại tử, do đó, bắt buộc phải khai thác bệnh sử nha khoa kỹ lưỡng.

Tủy hoại tử
Tuỷ răng hoại tử có thể bán phần hoặc toàn bộ, có thể không liên quan đến tất cả các ống tuỷ ở răng nhiều chân. Vì lý do này, răng có thể có những triệu chứng dễ nhầm lẫn chẳng hạn như thử nghiệm tuỷ ở một chân răng có thể không đáp ứng nhưng chân răng khác lại đáp ứng. Răng cũng có thể biểu hiện những triệu chứng của viêm tuỷ không có khả năng hồi phục có triệu chứng. Sau khi tuỷ răng hoại tử, vi khuẩn có thể phát triển bên trong ống tuỷ. Khi quá trình nhiễm khuẩn (hoặc độc tố vi khuẩn từ nhiễm trùng này) lan rộng đến khoảng dây chằng quanh chóp, răng có thể biểu hiện triệu chứng khi ấn/gõ hoặc đau tự phát. Trên X-quang có thể thấy những thay đổi như giãn dây chằng nha chu cho đến thấu quang quanh chóp. Răng có thể nhạy cảm với nhiệt độ nóng và thường giảm đau khi đặt nhiệt lạnh. Như đã được thảo luận trước đây, điều này có thể giúp xác định vị trí răng có tuỷ hoại tử khi cơn đau là lan toả hoặc xuất chiếu.
6. Răng đã được điều trị trước đây
Hiệp hội Nội nha Hoa Kỳ đề nghị phân loại những răng đã có điều trị nội nha không phẫu thuật và hệ thống các ống tuỷ được trám bít bởi vật liệu trám bít ống tuỷ vào nhóm các răng đã được điều trị trước đây. Trong trường hợp này, răng có thể có hoặc không có bất kỳ dấu hiệu, triệu chứng nào nhưng sẽ cần điều trị lại nội nha không phẫu thuật hoặc điều trị nội nha phẫu thuật để giữ được răng. Trong hầu hết các trường hợp, những răng này sẽ không còn phần mô tuỷ sống hoặc hoại tử nữa nên sẽ không đáp ứng với các thử nghiệm tuỷ răng.

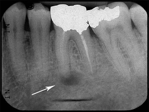
Phim X-quang răng đã được điều trị nội nha trước
7. Răng đã được điều trị sơ khởi
,,Hiệp hội chỉnh nha Hoa Kỳ kiến nghị phân loại những trường hợp răng đã được thực hiện những thủ thuật nội nha một phần vào nhóm răng đã được điều trị sơ khởi. Những trường hợp thuộc nhóm này bao gồm lấy tuỷ thân hoặc lấy tuỷ thân và chân. Trong hầu hết các ca, lấy tuỷ thân hoặc lấy tuỷ thân và chân được thực hiện khẩn cấp ở những răng viêm tuỷ không có khả năng hồi phục có triệu chứng hoặc không có triệu chứng. Trong những tình huống khác, thủ thuật này được thực hiện như một phần của thủ thuật điều trị tuỷ răng sống, răng bị chấn thương, che tuỷ chờ chân răng hoàn thiện hoặc thủ thuật kích thích sự hình thành cầu ngà ở chóp răng. Trong những trường hợp này, không thể chẩn đoán chính xác tình trạng tuỷ răng cho đến khi tất cả mô tuỷ đểu được lấy sạch.,,
Nguồn: Kenneth M. Hargreaves, Stephen Cohen. “Cohen’s Pathways of the pulp”
Xem thêm: ,Bệnh lý tủy răng phần 1
