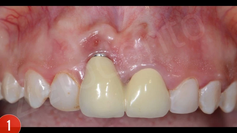
Người phụ nữ trẻ không hút thuốc có toàn thân khỏe mạnh đã được điều trị cấy ghép cho răng 11 và mong muốn che phủ sự thiếu hụt niêm mạc. Bệnh nhân phàn nàn là bị chảy máu và xuất hiện không thẩm mỹ. Bệnh nhân muốn duy trì implant cố định cũ.
Sau khi đánh giá X-quang ban đầu, các thành phần phục hình của cấy ghép implant đã không phù hợp, răng giả được nối liền. Ngoài ra, vị trí cấy ghép quá sâu. Chảy máu khi thăm khám dương tính.
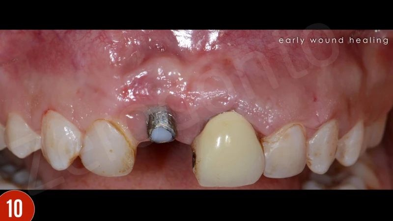
Sau khi gây tê tại chỗ, răng giả đã được cắt và loại bỏ. Sau đó, xương ổ răng vẫn hiện diện quanh implantl. Trong lần điều trị này, điều chỉnh chính xác abutment được thực hiện và xác nhận với X-quang. Khu vực cấy implant được để lành thương mô mềm. Sau 8 tuần lành thương mô mềm, phẫu thuật ghép mô liên kết (CTG) đã được lên kế hoạch với vạt bao, vạt nhú lợi xoay xiên (oblique rotated papilla flap) bằng cách sử dụng các đường rạch dưới lợi viền. Kĩ thuật chia tách tạo khả năng di động thích hợp cho vạt niêm mạc. Các phần lợi viền phía cổ được loại bỏ. CTG được lấy bằng kỹ thuật loại bỏ biểu mô. Để bù đắp thiếu hụt niêm mạc, CTG được gấp đôi và khâu bằng với vật liệu tự tiêu trước khi khâu cố định. CTG đã được cố định mặt môi, ôm lấy bề mặt abutment. Vạt niêm mạc tự do, thụ động, căng được khâu.
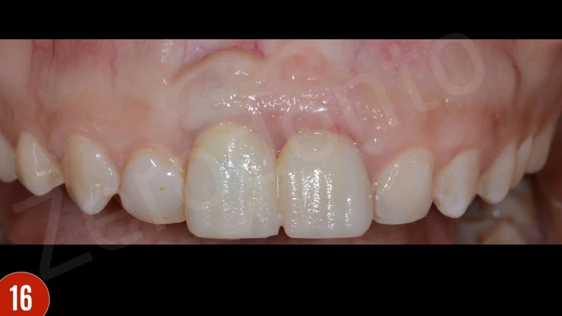
Sự lành thương sớm và tăng độ dày niêm mạc phía môi là thích hợp. Ba tháng sau khi phẫu thuật nha chu, bệnh nhân báo cáo có lỗ rò ở vùng đỉnh răng 21. Đo độ sâu thăm khám là 2-3 mm. Do răng không vừa khít, và lực nhai quá mức, một gãy xương ở vùng chóp đã gặp phải. Bệnh nhân được giải thích cần nhổ răng. Bệnh nhân đã quyết định cấy ghép tức thì.
Sau khi nhổ răng, mô hạt đã được loại bỏ cẩn thận. Khoan xương phía khẩu cái cung cấp sự ổn định chính và đặt phục hình tạm thời. Để bảo vệ các đường cong phía môi, khoảng trống giữa bản xương phía môi và implant được ghép với xương bò khử khoáng. Phục hình tạm thời được gắn vào implant tại lực torque 15 Ncm.
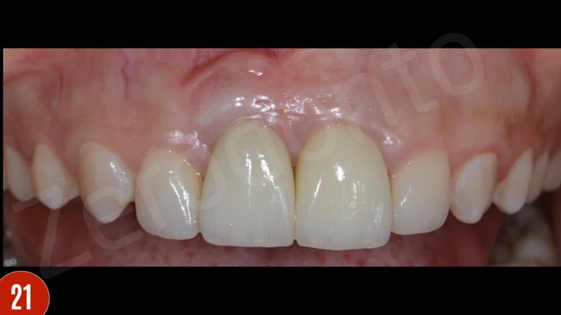
Sau 6 tháng chữa trị, phục hình tạm thời đã được gỡ bỏ và abutment tùy chỉnh được đặt. Trường hợp đã được hoàn thiện với thân răng disilicate lithium cho implant và veneers laminate cho răng cửa bên (Phục hình răng giả: Giáo sư Dr. Erhan Comlekoglu).






















Nguồn : Zerodonto
#maychupxquangnhakhoa #xquang #phụchình #tổnthươngrăng #gãychânrăng #nhakhoa #Xquangghếngồi #chỉnhnha
