Tình trạng ống tủy tiết dịch dai dẳng là một cơn ác mộng thực sự đối với cả bác sĩ và bệnh nhân. Đây là dấu hiệu cho thấy tình trạng viêm hoặc nhiễm khuẩn vẫn còn tồn tại, là một rào cản lớn ngăn cản việc trám bít và hoàn tất điều trị. Bài viết này sẽ đi sâu vào việc phân tích các nguyên nhân cốt lõi và đề xuất hướng tiếp cận có hệ thống để kiểm soát hiệu quả tình trạng ống tủy tiết dịch dai dẳng, giúp các nha sĩ tự tin hơn trong việc xử lý những ca lâm sàng phức tạp.
1. Ống tuỷ tiết dịch dai dẳng là gì?
1.1. Định nghĩa
Ống tủy tiết dịch dai dẳng là một tình trạng lâm sàng được định nghĩa bởi sự hiện diện liên tục của dịch rỉ viêm từ vùng mô quanh chóp chảy vào hệ thống ống tủy đã được sửa soạn cơ học và bơm rửa.
Dịch tiết này ngăn cản việc làm khô hoàn toàn ống tủy bằng cone giấy, cản trở sự bám dính của sealer và là tiền đề cho sự thất bại của vật liệu trám bít.
1.2. Đặc điểm lâm sàng
Đặc điểm lâm sàng:
- Loại dịch tiết: Có thể là dịch huyết thanh (trong, vàng nhạt), dịch mủ (đục) hoặc dịch lẫn máu (hồng).
- Nguồn gốc: Dịch tiết là sản phẩm của phản ứng viêm cấp tính hoặc mãn tính ở vùng quanh chóp, được kích hoạt bởi các yếu tố kích thích từ bên trong ống tủy hoặc các bệnh lý tại chỗ.
- Ý nghĩa: Đây không phải là một bệnh mà là một triệu chứng của một vấn đề chưa được giải quyết. Việc cố gắng trám bít một ống tủy còn tiết dịch sẽ dẫn đến tỷ lệ thất bại cao do vi khuẩn còn sót lại và thiếu một môi trường khô ráo để vật liệu trám bít có thể hàn kín.
2. Nguyên nhân gây ra tình trạng ống tuỷ tiết dịch dai dẳng
Việc xác định chính xác nguyên nhân ống tuỷ tiết dịch dai dẳng là bước quan trọng nhất để đưa ra phác đồ điều trị hiệu quả. Các nguyên nhân có thể được phân loại thành hai nhóm chính:
2.1. Nguyên nhân do vi khuẩn
Đây là nguyên nhân chiếm đa số các trường hợp, xuất phát từ việc hệ thống ống tủy chưa được khử khuẩn hoàn toàn.
- Vi khuẩn tồn tại trong ống tủy:
- Bỏ sót ống tủy: Là nguyên nhân hàng đầu. Các ống tủy thường bị bỏ sót bao gồm ống gần ngoài thứ hai (MB2) ở răng cối lớn hàm trên, ống tủy thứ hai ở các răng cối nhỏ, hoặc ống xa thứ hai ở răng cối lớn hàm dưới.
- Giải phẫu phức tạp: Vi khuẩn ẩn náu trong các vùng giải phẫu mà dụng cụ và chất bơm rửa khó tiếp cận như eo ống tủy, ống tủy bên, ống tủy phụ và delta vùng chóp.
- Loại vi khuẩn kháng thuốc: Các chủng vi khuẩn như Enterococcus faecalis có khả năng xâm nhập sâu vào các ống ngà và hình thành biofilm, chống lại các quy trình khử khuẩn thông thường.
- Nhiễm khuẩn ngoài chóp:
- Vi khuẩn, đặc biệt là Actinomyces israelii và Propionibacterium propionicum, có thể hình thành các quần thể (biofilm) trên bề mặt ngoài của chóp răng, tạo ra một ổ nhiễm khuẩn độc lập mà việc điều trị nội tủy không thể loại bỏ được.

- Vi khuẩn, đặc biệt là Actinomyces israelii và Propionibacterium propionicum, có thể hình thành các quần thể (biofilm) trên bề mặt ngoài của chóp răng, tạo ra một ổ nhiễm khuẩn độc lập mà việc điều trị nội tủy không thể loại bỏ được.
2.2. Nguyên nhân không do vi khuẩn
- Kích thích cơ học:
- Sửa soạn quá chóp: Việc đưa trâm và các dụng cụ khác vượt quá lỗ chóp gây tổn thương dây chằng nha chu và xương ổ răng, dẫn đến chảy máu và tiết dịch viêm phản ứng.
- Kích thích hóa học:
- Bơm đẩy dung dịch bơm rửa ra ngoài chóp: Đặc biệt là Natri Hypoclorit (NaOCl) nồng độ cao, có thể gây hoại tử mô và phản ứng viêm dữ dội.
- Phản ứng của vật chủ và các bệnh lý khác:
- Nang chân răng thực sự: Nang này có một khoang bệnh lý được lót hoàn toàn bởi lớp biểu mô và có khả năng tự duy trì, tiết ra dịch chứa cholesterol ngay cả khi ống tủy đã được vô khuẩn.
- Phản ứng dị vật: Các vật liệu bị đẩy ra ngoài chóp như cone gutta-percha, sealer, hoặc sợi từ cone giấy có thể gây ra phản ứng viêm hạt mạn tính.
- Sự hiện diện của tinh thể Cholesterol: Các tinh thể này kích thích phản ứng đại thực bào và gây viêm kéo dài.
3. Hướng tiếp cận điều trị toàn diện và có hệ thống
Khi đối mặt với ống tủy tiết dịch, cần tuân thủ một quy trình nghiêm ngặt thay vì lặp lại các bước một cách máy móc.
Bước 1: Chẩn đoán lại toàn diện
- Khai thác bệnh sử: Kiểm tra lại các triệu chứng cơ năng và thực thể.
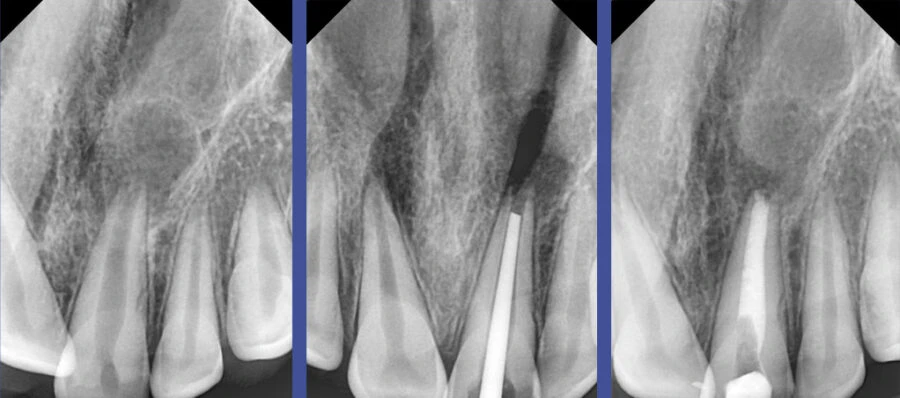
- Đánh giá lại X-quang: Sử dụng phim quanh chóp ở các góc độ khác nhau. Chụp Cone Beam CT (CBCT) là chỉ định cực kỳ giá trị để phát hiện ống tủy bỏ sót, đánh giá giải phẫu phức tạp và các tổn thương quanh chóp.
- Kiểm tra lại chiều dài làm việc: Sử dụng máy định vị chóp và X-quang để xác nhận chiều dài chính xác, tránh làm việc quá chóp hoặc thiếu chiều dài.
Bước 2: Tối ưu hoá quy trình làm sạch và khử khuẩn
- Tạo hình ống tủy đầy đủ: Đảm bảo ống tủy được tạo hình đủ rộng ở vùng chóp (ít nhất size #25-30) để dung dịch bơm rửa có thể đi sâu và hoạt động hiệu quả.
- Bơm rửa tăng cường:
- Sử dụng xen kẽ dung dịch Natri Hypoclorit (NaOCl) nồng độ cao với thể tích lớn để phân hủy mô hữu cơ.
- Sử dụng EDTA (17%) để loại bỏ lớp mùn ngà và các thành phần vô cơ.
- Kích hoạt dung dịch bơm rửa: Đây là bước then chốt. Sử dụng các phương pháp như kích hoạt siêu âm thụ động (Passive Ultrasonic Irrigation – PUI) hoặc các dụng cụ nội nha chuyên dụng để tạo ra dòng chảy rối và hiệu ứng xâm thực (cavitation), giúp dung dịch thâm nhập sâu hơn vào các vùng giải phẫu phức tạp.
Bước 3: Sử dụng thuốc đặt nội tủy tạm thời
- Vật liệu lựa chọn: Calcium Hydroxide [Ca(OH)₂] được xem là “tiêu chuẩn vàng”.
- Cơ chế hoạt động:
- Cơ chế: pH kiềm cao (≈12.5): Làm tổn thương màng tế bào vi khuẩn, tiêu diệt vi khuẩn và phân hủy độc tố.
- Phân ly thành ion Ca²⁺ và OH⁻: Các ion hydroxyl (OH⁻) là gốc tự do có khả năng oxy hóa cao, tiêu diệt vi khuẩn kỵ khí.
- Trung hòa nội độc tố (LPS): Ca(OH)₂ có khả năng thủy phân Lipid A của LPS (nội độc tố từ vi khuẩn Gram âm), làm giảm đáng kể phản ứng viêm ở vùng quanh chóp.
- Kỹ thuật đặt thuốc: Thuốc cần được đưa vào và lèn chặt để lấp đầy toàn bộ không gian ống tủy. Sử dụng dạng paste trộn sẵn trong xi-lanh sẽ giúp kiểm soát và đưa thuốc xuống sâu hiệu quả hơn.
Xem thêm: Vật liệu đặt tạm ống tuỷ Calcipex II – An toàn – Tiện lợi – Hiệu quả
4. Xử lý các trường hợp khó và giải pháp ngoại khoa
Nếu sau 2-3 lần thay thuốc Calcium Hydroxide mà tình trạng tiết dịch vẫn không cải thiện, cần cân nhắc đến các nguyên nhân phức tạp hơn và các giải pháp can thiệp ngoại khoa.
4.1. Khi nào cần can thiệp ngoại khoa?
- Nghi ngờ nhiễm khuẩn ngoài chóp không đáp ứng với điều trị nội tủy.
- Chẩn đoán xác định là nang chân răng thực sự.
- Thất bại trong việc loại bỏ dị vật hoặc dụng cụ gãy ở 1/3 chóp.
- Các sai sót trong quá trình điều trị không thể sửa chữa (ví dụ: thủng chân răng lớn ở vùng chóp).
4.2. Các phương pháp can thiệp ngoại khoa
- Phẫu thuật cắt chóp: Cắt bỏ 3mm chóp chân răng để loại bỏ vùng delta chóp và các vi khuẩn ngoài chóp.
- Trám ngược: Sau khi cắt chóp, một xoang trám được sửa soạn ở đầu chân răng và được trám bít bằng các vật liệu tương hợp sinh học như MTA hoặc Bioceramic.
- Nạo sạch tổn thương: Loại bỏ mô bệnh lý quanh chóp và gửi đi làm giải phẫu bệnh để có chẩn đoán xác định (ví dụ: phân biệt u hạt và nang).

Kết luận
Chìa khóa để kiểm soát ống tủy tiết dịch dai dẳng là tập trung loại bỏ nguyên nhân gốc rễ thay vì chỉ xử lý triệu chứng. Thành công phụ thuộc vào một quy trình toàn diện: từ chẩn đoán chính xác với CBCT, tối ưu hóa khử khuẩn bằng kích hoạt bơm rửa, đến việc sử dụng hiệu quả thuốc đặt nội ống tủy có hoạt tính sinh học cao như Calcium Hydroxide.
Khi các phương pháp bảo tồn không còn hiệu quả, can thiệp ngoại khoa chính là giải pháp sau cùng, đảm bảo kết quả điều trị bền vững cho những ca lâm sàng phức tạp nhất.


