Đây là tình trạng hay gặp nhất trong các u do răng, nhưng nếu tính trong u và nang xương hàm thì chỉ chiếm tỷ lệ nhỏ. U men là một u lành, xâm lấn tại chỗ vì vậy nếu phát hiện sớm thì điều trị rất dễ dàng.
Về mô phôi: là do những tế bào biểu mô tăng sinh dưới dạng nang và đám rối trong một chất đệm sợi. Phần lớn u men có nguồn gốc từ tế bào biểu mô tạo răng như: phần còn lại của lá răng, bao Malassez, hay thậm chí lớp tế bào đáy của tế bào biểu mô miệng hay biểu mô của nang tạo răng.

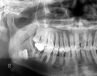
Lâm sàng và X-quang:
U men thường gặp ở nam giới lứa tuổi 40-50 nhưng cũng có thể gặp ở người già và trẻ em.
Xương hàm dưới hay bị hơn xương hàm trên, chiếm tỉ lệ 80%, trong đó vùng góc hàm lan lên cành cao chiếm 70%, vùng tiền hàm 20% và răng cửa 10%. Đối với hàm trên hay gặp ở vùng sàn hố mũi vùng răng hàm.
U men có đặc điểm là phát triển âm thầm, đôi khi chỉ phát hiện tình cờ khi chụp phim. U mang đặc điểm của một u lành xương hàm, khi u phát triển to thì có thể gây sưng vùng cơ cắn, cành lên tăng độ dày theo chiều ngoài trong, bờ trước cành lên có thể bị đẩy về phía trước. Các răng gần u bị xô lệch hoặc mọc không bình thường. Nhưng khít hàm thì ít gặp. Ở giai đoạn sau khi u phát triển lớn thì sẽ làm mỏng vỏ xương, phồng xương, qua niêm mạc có thể thấy màu xanh của dịch khối u, chọc dò thấy dịch.
Xem Thêm: Phim X-quang toàn cảnh trong nha khoa
Xem Thêm: Làm thế nào để việc gây tê cho bệnh nhân nhẹ nhàng hơn
X-quang không cho hình ảnh đặc hiệu, thường là hình đa nang cho phép ta nghĩ tới u men:
+ Có nhiều đám tròn hay Oval, kích thước không bằng nhau, đồng dạng, ít cản quang, bờ mảnh và đều, tựa vào nhau và chồng lên nhau cho ta hình ảnh “bong bóng xà phòng”. Vỏ xương hàm bị mỏng dần, có chỗ bị u đẩy phồng lên.
+ Nhưng hay gặp là hình thấu quang rộng, giới hạn bằng nhiều đường viền ở xung quanh, có các vách xương mảnh ngăn cách ở giữa tạo thành nhiều xoang.
+ Ở giai đoạn muộn, u men cho hình ảnh một buồng thấu quang lớn, bờ nham nhở, u làm vỏ xương mỏng đi dần và phồng lên. Ở hàm dưới nó có thể đẩy phồng hõm Sigma nhưng lồi cầu vẫn giữ được hình dạng.
+ Kiểm tra kỹ trên X-quang có thể thấy:
* U không xâm lấn vào phần mềm.
* Thường gặp hình ảnh tiêu chân răng do u phát triển chậm.
* ống răng dưới có thể bị đẩy về một phía.
* Có thể phát hiện thấy các ổ tổn thương nhỏ khác ở cách xung quanh ổ tổn thương chính, điều này quan trọng trong việc đưa ra phương hướng điều trị.

Giải phẫu bệnh:
Đại thể: Là một tổ chức màu trắng xám, mềm, đôi khi có nhiều nang nhỏ. Đây là nang nhiều nhân, chứa chất dịch trong hoặc nhầy.
Vi thể: Có hai thể chính hay gặp, hai thể này có thể được bắt gặp đơn độc hay kết hợp nhau.
– U men nang: Các tế bào biểu mô xếp cạnh nhau tạo thành những nang nằm trong một tổ chức liên kết giàu mạch máu. Vỏ nang cấu tạo bởi một lớp tế bào kiểu tiền tạo men, có hình trụ hay hình khối. Nhân của các tế bào này hướng về phía trung tâm của nang. Các tế bào biểu mô nằm rải rác hay liên tục với nhau tạo thành một lưới hình sao như trong cơ quan men. Ở chính giữa nang, có thể thấy nhiều nang nhỏ hợp lại với nhau, chất đệm liên kết chứa các sợi collagen. Về phương diện chuyển hóa men thì các nguyên bào sợi có hoạt động Phosphatase kiềm và ATPasique giống với Odontoblaste và Osteoblaste. Điều này chứng tỏ có sự kích ứng nhỏ của biểu mô sinh răng lên tổ chức liên kết. Ngoài cùng có 1 lớp tổ chức Hyaline bao xung quanh nang.
Các thể u men nang: u men nang có nhiều biến thể:
+ U men tế bào hạt: ở trung tâm nang có các tế bào hình tròn hay đa giác với nhân tế bào lệch tâm, tương bào ưa acid, có nhiều hạt, PAS (+). Dưới kính hiển vi điện tử các hạt này có hoạt động như Lysosome (hoạt động Phosphatase acid và những túi Lysosome dạng siêu cấu trúc).
+ Những u men khác có dị sản thượng bì, dẫn đến tình trạng keratin hóa với việc tạo các cầu sừng.
– U men dạng rối (plexiforme): Các dây tế bào biểu mô nối với nhau thành một hệ thống dây. Mỗi dây gồm một lớp tế bào hình trụ hay hình khối dạng tế bào tiền tạo men như trong u men nang, ở bên trong là các tế bào hình sao. Có thể thấy những nang nhỏ nằm ở trung tâm của tổ chức đệm tiếp xúc với các tế bào hình sao.

– Các thể u men khác:
+ U men nang đơn độc (Ameloblastome unikystique): Chỉ dựa vào tế bào học mới chẩn đoán được, thường gặp ở những người trẻ tuổi hơn (20-30 tuổi), người ta phân biệt 3 thể:
* Nang: vỏ được cấu tạo bởi nhiều lớp tế bào biểu mô xếp chồng lên nhau, lớp đáy là các tế bào hình khối, hình trụ, các lớp còn lại là các không bào nằm rời nhau, có một lớp thái hóa kính dưới biểu mô
* Thể thứ hai tương tự như thể trên nhưng có thêm những cục hình đám rối nằm trong lòng nang với một đầu dính vào lớp biểu mô.
* Thể thứ 3 thì vỏ nang bị thâm nhiễm bởi các nang nhỏ làm cho chính lớp vỏ có dạng đám rối hay dạng nang. Hình ảnh này có thể thấy trên mọi lát cắt.
+ U men dây chằng (Ameloblastome desmoplastique): Nó chứa chất đệm phong phú, giàu các sợi Collagene. Ở trung tâm của khối u thì cấu trúc biểu mô teo nhỏ thành các dải mảnh làm cho ta không nghĩ tới chẩn đoán u men.
+ U men sừng hóa (Keratoameloblastome): Chứa nhiều lớp biểu bì đến nỗi đôi khi ta có thể chẩn đoán nhầm với một u răng sừng hóa. Lớp vỏ biểu mô với các tế bào dẹt chiếm đa số so với các tế bào hình trụ.
+ U men tế bào đáy (Ameloblastome à cellule basales): Biệt hóa từ một ung thư hạch nang dạng đáy.
+ U men ngoại vi (Ameloblastome peripherique): nó tương tự với ung thư biểu mô tế bào đáy của lợi, nhưng khả năng xâm lấn thì thấp hơn u men xương và không tái phát nếu được cắt bỏ toàn bộ.
Trước kia u men được phân làm hai thể chính là thể một buồng và thể đa nang (hay thể đặc). Cách phân loại này có ý nghĩa về tiên lượng và điều trị.
Loại một buồng thì ít xâm lấn và ít tái phát, vì vậy điều trị chỉ cần nạo sạch u cùng với toàn bộ vỏ nang (tỷ lệ tái phát sau 5 năm là 10%). Còn dạng đa nang thì khả năng tái phát cao (tái phát sau 5 năm là 90% nếu chỉ nạo u, lấy vỏ nang), vì vậy đối với thể đa nang thì cần phải phẫu thuật cắt bỏ rộng >1 cm kể từ bờ của u.
Chẩn đoán phân biệt:
– U máu trong xương: hình mất vôi không đồng đều, hình khuyết.
– U tế bào khổng lồ
– U sụn: hình cản quang mờ trong nang
– U xơ
– U nhầy do răng: hình cản quang mờ, một hay nhiều buồng
– Nang thân răng
– Nang tiên phát: hình nang điển hình ở lỗ khẩu cái trước
Điều trị: Tùy theo từng trường hợp cụ thể mà có các phương pháp khác nhau.
– Phẫu thuật bảo tồn: là chỉ phẫu thuật lấy u cùng với toàn bộ vỏ u.
– Phẫu thuật triệt để: Cắt rộng cách bờ khối u tối thiểu 1cm, trường hợp khối u lớn thì phải cắt đoạn xương hàm.
Đối với thể đa nang do tỷ lệ tái phát cao (50%-90% đối với phẫu thuật bảo tồn), nên cần phải cắt bỏ rộng.
Đối với thể nang một buồng, nhất là đối với những u nhỏ thì có thể áp dụng phẫu thuật bảo tồn. U men ngoại vi cũng có thể áp dụng phẫu thuật bảo tồn
Tiến triển:
Nếu không được điều trị thì u men phát triển chậm (không có những đợt phát triển mạnh lên) và đạt tới một kích thước to.
Do u men thường có các ổ tổn thương nhỏ lan ra xung quanh ổ tổn thương chính nên tỷ lệ tái phát cao, nhất là đối với thể đa nang, tái phát 5 – 15% sau khi được cắt bỏ rộng.
Xem tiếp: Các loại u lành tính do răng phần 2
Nguồn : Ranghammat .com
#xquang #tổnthươngrăng #điềutrịnộinha #phântíchhàm #chỉnhnha #khámlâmsàng
