Thế nào là một phim X quang toàn cảnh đạt chuẩn
Có hai yếu tố chính để nhanh chóng xác định chất lượng phim X-quang toàn cảnh đạt yêu cầu và phim từ máy kém chất lượng. Đó chính là: Liều tia X vừa đủ và Mức độ hiển thị chính xác các mốc giải phẫu.

-
Liều tia X vừa đủ
Liều tia X vừa đủ sẽ cho hình ảnh với độ tương phản phù hợp, không trắng quá hay đen quá và không làm nhòe đi các mốc giải phẫu trên phim. Ngày nay, do hiệu ứng marketing, một số hãng thường tạo ra cảm giác phim sắc nét giả tạo bằng cách thực hiện đồng thời hai kỹ thuật:
-
-
-
Tăng liều tia X cao bất hợp lý, gây hại đến bệnh nhân.
-
Sử dụng xử lý ảnh kỹ thuật số tạo nên độ sắc nét giả, làm mất khả năng quan sát mốc giải phẫu thực.
-
-
-
Mật độ trên phim:
Mật độ lý tưởng phải đảm bảo cho các cấu trúc không bị che khuất bởi các vùng tối, các vùng “cháy sáng” hoặc các vùng quá sáng (các vùng “trắng xóa” hiển thị trên phim).
Bằng mắt thường có thể đánh giá điều này bằng cách nhìn vào vùng hàm dưới và vùng liên quan đến các chóp của răng ở hàm trên. Ở hàm trên, điều này thể hiện rõ nhất khi lưỡi không được giữ ở vị trí chính xác trong quá trình tiếp xúc toàn cảnh.
Mật độ quá nhiều hoặc không đủ có thể dẫn đến những sai sót trong quá trình chuẩn đoán như không phát hiện được các đặc điểm của răng, thậm chí là bệnh lý. Hình ảnh tối hoặc mật độ cao thường là do đánh giá quá cao kích thước tổng thể, tầm vóc và mật độ xương của bệnh nhân trong khi hình ảnh nhạt hoặc mật độ thấp thường do đánh giá thấp kích thước tổng thể, tầm vóc và mật độ xương của bệnh nhân.



Hình 34a

Hình 34b: Hinh ảnh bị phơi sáng quá mức (Liều bức xạ cao)
thể hiện rõ ràng sự xuất hiện của một vùng bức xạ gây ra sự mở rộng và mỏng đi của phần xương bên dưới của hàm phải – những đặc điểm không thể hiện rõ trên bản gốc.
Hai hình ảnh trên cho thấy việc chụp với liều tia quá cao có thể dẫn đến các thất bại trong việc phát hiện các đặc điểm bệnh lý.
Hình ảnh thể hiện mức độ tiếp xúc quá mức có thể dẫn đến việc không phát hiện được các đặc điểm bệnh lý. Hình 34a là phiên bản nâng cao kỹ thuật số của bức ảnh 34b. Có thể thấy Hình 34b bị phơi sáng quá mức khi chụp, thể hiện rõ ràng sự xuất hiện của một vùng bức xạ gây ra sự mở rộng và mỏng đi của phần xương bên dưới của hàm phải – những đặc điểm không thể hiện rõ trên bản gốc.
Ví dụ về hình ảnh toàn cảnh thiếu sáng


Hình ảnh với liều tia không đủ có thể dẫn đến không phát hiện được các đặc điểm bệnh lý. Hình 35a là một phiên bản nâng cao kỹ thuật số. Chúng ta có thể dễ dàng thấy chiếc răng hàm thứ ba bên phải bị tác động mà bị mờ đi trên bản gốc. Sự tăng cường này cũng chứng tỏ rõ ràng bệnh nhân có một bệnh lý liên quan đến răng hàm dưới thứ hai bên phải.
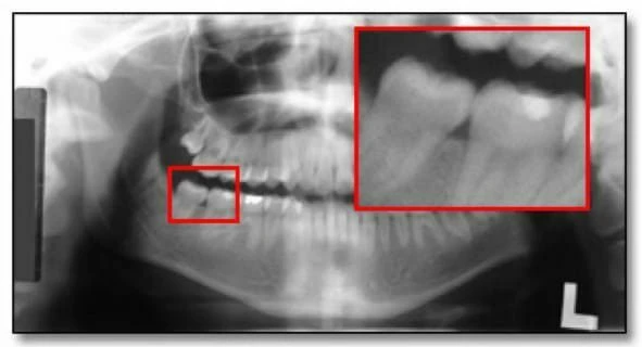
- Tương phản: Yếu tố thứ hai trong đánh giá phơi sáng thích hợp là độ tương phản. Độ tương phản được đánh giá tốt nhất bằng cách xác định xem có thể nhìn thấy mặt phân cách giữa men răng và nhựa thông hay không, thường là ở vùng răng hàm.

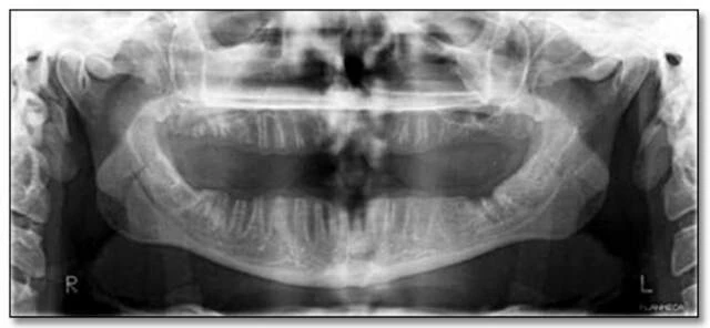
Đại diện về mặt giải phẫu
Hình X quang toàn cảnh hiển thị tốt nhất các cấu trúc răng hàm mặt. Có nghĩa rằng nó có thể hiện thị các cấu trúc của xương với độ chính xác nhất định. Để xác định hình ảnh giải phẫu chính xác, cần thực hiện đánh giá trực quan trên phim chụp X quang toàn cảnh để đảm bảo độ chính xác của cả cấu trúc giải phẫu và răng.
Đánh giá giải phẫu – Một số tính năng có thể được sử dụng để xác định độ chính xác về giải phẫu bao gồm:
- Các ống thần kinh có trên hình ảnh – Ở góc 60° và vùng ngang bằng.
- Hình ảnh vòm miệng và ảnh ma của vòm miệng phải ở trên đỉnh của răng hàm trên, chạy qua phần dưới của xoang hàm trên.
- Chiều rộng hàm phải rất cân xứng với nhau cả hai bên trái và phải.

Giải phẫu toàn cảnh – Một tài liệu tham khảo cho các cấu trúc giải phẫu thường được quan sát trên sơ đồ toàn cảnh xuất hiện bên dưới. Nhiều trong số các cấu trúc này được đề cập trong phần trước và trong phần thảo luận tiếp theo về các lỗi phổ biến.

- Mandibular Condyle
- Cervical Vertebra
- Genial Tubercles
- Coronoid Process
- Zygomatic Process
- Nasal Concha
- Nasopharyngeal Airspace
- Incisive Foramen
- External Oblique Ridge
- Oropharyngeal Airspace
- Mandibular Foramen
- Angle of the Mandible
- Styloid Process
- Mandibular Canal Space
- Zygomatic Bone
- Lateral Pterygoid Plate
- Soft Palate
- Glenoid Fossa
- Zygomatic Arch
- Hyoid Bone
- Inferior Border of the Mandible
- Articular Eminence
- Hard Palate
- Palatoglossal Airspace
- Anterior Nasal Spine
- Nasal Septum
- Pterygomaxillary Fissure
- Mental Foramen
- Maxillary Sinus Floor
- Maxillary Tuberosity
- Infraorbital Canal
- Nasal Fossa
- Zygomaticotemporal Suture
Một số đặc điểm trực quan của răng có thể được sử dụng để đánh giá xem các răng, đặc biệt là các răng cửa có được định vị chính xác trong máng tiêu điểm hay không:
- Không có đường cong hoặc đường cong hướng lên nhẹ của răng
- Không có sự khác biệt về kích thước răng ở bên trái hoặc bên phải
- Tập trung vào răng cửa (nhìn rõ ống tủy)
- Hình dạng răng cửa “bình thường”
- Không quá hẹp hoặc quá rộng
- Răng tiền hàm sẽ luôn chồng lên nhau do sự chiếu chùm tia X cố hữu vào cung răng ở vùng này.

Tiêu chuẩn chất lượng của một phim X quang toàn cảnh
(Trích: Quy định về An toàn Bức xạ 136: Hướng dẫn của Châu Âu về bảo vệ bức xạ trong X quang toàn cảnh nha khoa. Luxembourg, Văn phòng Ấn phẩm Chính thức của Cộng đồng Châu Âu, 2004.)
A: Chuẩn bị tư thế bệnh nhân và hướng dẫn
- các nhóm răng cửa sát mép
- Không có dị vật kim loại có thể tháo rời (ví dụ: hoa tai, kính, răng giả)
- Không dịch chuyển cơ thể trong quá trình chụp
- Lưỡi để chạm lên vòm miệng
- Giảm thiểu bóng của cột sống trên phim
B: Không có lỗi định vị bệnh nhân sai số định vị
- Không có sai lệch trước sau (độ phóng đại dọc và ngang bằng nhau)
- Không sai số định vị mặt phẳng giữa sagittal (độ phóng đại đối xứng)
- Không có sai số định vị mặt phẳng khớp cắn
- Định vị đúng cột sống
C: Độ phủ giải phẫu đúng
Độ phủ phù hợp tùy theo ứng dụng lâm sàng. Giới hạn kích thước trường nên được sử dụng (nếu có) để loại trừ các cấu trúc không liên quan đến nhu cầu lâm sàng (ví dụ, giới hạn trường đối với răng và xương ổ răng để sử dụng trong nha khoa hàng ngày).
D: Mật độ và độ tương phản tốt
Cần phải có mật độ tốt và độ tương phản phù hợp giữa men răng xương và các yếu tố giải phẫu liên quan. Tránh các phim quá tối hoặc độ tương phát quá sắc sẽ làm mất đi khả năng đọc chính xác (tạo nên hình ảnh nét giả tạo do áp dụng sửa ảnh kỹ thuật số)
E: Màn hình hiển thị phim, cường độ sáng phải được điều chỉnh đúng
Chất lượng đọc phim phụ thuộc rất lớn và mức độ hiển thị phim trên các màn hình. Cần có màn hình chất lượng cao, khuyến nghị nên dùng các màn hình chuyên dụng cho y tế (Medical Monitor).
Tổng hợp: Công ty Anh&Em
