“`html
Hàm nong nhanh hỗ trợ minivis: quy trình chế tạo và lắp đặt
Hàm nong nhanh khẩu cái hỗ trợ bởi minivis (MARPE) kết hợp neo chặn từ minivis với khí cụ Hyrax truyền thống. Mục đích là tạo điều kiện nong rộng xương hàm trên, đồng thời giảm thiểu tình trạng nghiêng răng và nong xương ổ răng không mong muốn. Khí cụ này đặc biệt hữu ích trong các trường hợp nong rộng hàm trên bị hẹp do cấu trúc xương ở người trưởng thành. Bài viết này trình bày một phương pháp đơn giản để bác sĩ có thể tự chế tạo khí cụ MARPE, phù hợp cho việc điều trị nong rộng hàm trên trong các ca hẹp xương.
Kỹ thuật
Quy trình chế tạo và lắp đặt MARPE đòi hỏi sự tỉ mỉ và chính xác. Dưới đây là các bước chi tiết:
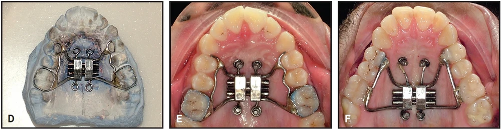
- Chuẩn bị mẫu hàm: Trên mẫu hàm làm việc, gắn khâu MBT Victory Series (hoặc loại tương đương) lên răng hàm lớn thứ nhất hàm trên. Lưu ý chọn size khâu phù hợp, đảm bảo ôm sát răng và không gây vướng víu.
- Đặt ốc nong: Chọn ốc nong có kích thước phù hợp (thường là 11mm, nhưng có thể thay đổi tùy theo độ hẹp của cung hàm). Đặt ốc nong sao cho càng gần tâm cản của xương hàm trên càng tốt. Vị trí lý tưởng thường nằm trên đường giữa, giữa hai răng cối nhỏ.
- Xác định vị trí cắm minivis: Đánh dấu vị trí dự kiến cắm 4 minivis. Mỗi bên cần một minivis phía trước và một phía sau, cách đường khớp giữa khẩu cái khoảng 2mm. Khoảng cách giữa các minivis trước sau nên vào khoảng 8-10mm để đảm bảo lực nong được phân bố đều. Vị trí cắm nên nằm trên vùng keratin hóa của niêm mạc để đảm bảo sự ổn định lâu dài.
- Uốn và hàn dây mở rộng: Cắt hai đoạn dây Leowire 0.040″ (hoặc dây thép không gỉ tương đương) để nối các điểm đánh dấu minivis phía trước và phía sau. Sử dụng kìm uốn dây để tạo các vòng xoắn có đường kính trong khoảng 0.5mm tại mỗi đầu dây. Các vòng xoắn này sẽ là nơi minivis đi qua. Điều chỉnh dây cung sao cho khớp khít với mặt khẩu cái của ốc nong và vòm miệng. Sau khi đã điều chỉnh, hàn cố định dây vào mặt khẩu cái của ốc nong bằng máy hàn laser hoặc hàn điện.

- Hoàn thiện khung dây: Uốn các cánh tay của ốc nong cho phù hợp với độ dốc của vòm miệng. Điều này giúp khí cụ không gây khó chịu cho bệnh nhân. Hàn toàn bộ phức hợp ốc nong vào khâu và khung dây xung quanh răng hàm lớn. Đảm bảo mối hàn chắc chắn và không có cạnh sắc để tránh gây tổn thương mô mềm.
- Kiểm tra và điều chỉnh: Thử khí cụ trên mẫu hàm và trong miệng bệnh nhân để kiểm tra độ khít sát. Điều chỉnh nhẹ nếu cần thiết. Lưu ý kiểm tra xem khí cụ có cản trở đường thở hay gây khó chịu cho lưỡi không.
- Lắp khí cụ và cắm minivis: Gắn khâu vào răng hàm lớn thứ nhất bằng xi măng gắn khâu chỉnh nha. Tại buổi hẹn này, tiến hành cắm bốn minivis vào vòm miệng dưới gây tê tại chỗ. Minivis được cắm xuyên qua các vòng xoắn trên đoạn dây mở rộng. Sử dụng tay vặn minivis chuyên dụng và tuân thủ đúng lực siết khuyến cáo của nhà sản xuất (thường là 8-10 Ncm). Chụp phim kiểm tra vị trí minivis sau khi cắm.
Bàn luận
Ưu điểm của khí cụ MARPE tự chế là tiết kiệm chi phí và dễ dàng điều chỉnh theo từng trường hợp cụ thể. Việc sử dụng hai đoạn dây mở rộng thay vì bốn giúp tăng độ bền cho khí cụ, giảm nguy cơ gãy mối hàn trong quá trình nong hàm. Thiết kế này cũng tạo đủ khoảng trống cho lưỡi và cho phép bệnh nhân duy trì vệ sinh răng miệng tốt hơn so với các thiết kế khác.
Ngoài ra, có thể tích hợp thêm tấm nhựa acrylic phủ vòm miệng, tương tự như hàm nong khẩu cái loại Haas, để tăng cường sự ổn định và phân bố lực nong. Một phiên bản dán của khí cụ MARPE có thể được tạo ra bằng cách hàn đế lưới vào khung dây, tuy nhiên, phiên bản này đòi hỏi kỹ thuật dán composite tỉ mỉ để đảm bảo độ bền.

Theo một nghiên cứu trên tạp chí *American Journal of Orthodontics and Dentofacial Orthopedics*, sử dụng MARPE kết hợp với minivis cho thấy sự gia tăng đáng kể về chiều rộng xương hàm trên (trung bình 4.2mm) so với việc sử dụng khí cụ nong hàm thông thường (trung bình 2.1mm). Nghiên cứu cũng chỉ ra rằng MARPE giúp giảm thiểu tình trạng nghiêng răng và tiêu xương ổ răng.
Lưu ý quan trọng: Việc chế tạo và lắp đặt MARPE đòi hỏi bác sĩ phải có kiến thức chuyên sâu về chỉnh nha và kỹ năng lâm sàng tốt. Cần lựa chọn vật liệu chất lượng cao và tuân thủ đúng quy trình vô trùng để đảm bảo an toàn cho bệnh nhân.
Tại Công ty ANH & EM, chúng tôi cung cấp đầy đủ vật tư và thiết bị cần thiết cho quá trình chế tạo và lắp đặt khí cụ MARPE, bao gồm ốc nong, dây cung, khâu chỉnh nha, và minivis từ các thương hiệu uy tín. Liên hệ với chúng tôi để được tư vấn chi tiết về các sản phẩm phù hợp với nhu cầu của phòng khám.
Nguồn: Nha .si
“`
