“`html
marpe: kỹ thuật nong hàm hỗ trợ minivis cho bệnh nhân trưởng thành
Hàm nong nhanh khẩu cái hỗ trợ bởi minivis (MARPE) là một giải pháp hiệu quả để nong rộng hàm trên ở bệnh nhân trưởng thành, những người mà nong hàm truyền thống thường không mang lại kết quả ổn định. Kỹ thuật này kết hợp khí cụ Hyrax thông thường với sự neo chặn từ minivis, giúp tạo điều kiện nong rộng xương nền một cách hiệu quả, đồng thời giảm thiểu tình trạng nghiêng răng và nong xương ổ răng không mong muốn. Bài viết này sẽ trình bày một phương pháp đơn giản giúp các bác sĩ có thể tự chế tạo khí cụ MARPE phù hợp để điều trị tình trạng hẹp hàm trên do xương.
Kỹ thuật
Quy trình chế tạo khí cụ MARPE có thể được thực hiện ngay tại phòng khám với các vật liệu và dụng cụ cơ bản. Dưới đây là các bước chi tiết:
- Chuẩn bị mẫu hàm: Lấy dấu hàm trên và đổ mẫu thạch cao. Mẫu hàm cần được chuẩn bị cẩn thận để đảm bảo độ chính xác của khí cụ.
- Đặt khâu: Chọn khâu MBT Victory Series phù hợp với răng hàm lớn thứ nhất hàm trên của bệnh nhân. Đặt khâu lên răng hàm lớn thứ nhất trên mẫu hàm.
- Đặt ốc nong: Chọn ốc nong có kích thước phù hợp (thường là cỡ 11mm). Đặt ốc nong sao cho càng gần tâm cản của xương hàm trên càng tốt. Vị trí lý tưởng thường nằm ở giữa đường khớp giữa khẩu cái và phía sau gai mũi trước khoảng 5-7mm.
- Đánh dấu vị trí cắm minivis: Xác định và đánh dấu vị trí cắm 4 minivis trên mẫu hàm. Vị trí lý tưởng là một minivis phía trước và một minivis phía sau ở mỗi bên, cách đường khớp giữa khẩu cái khoảng 2mm (A). Khoảng cách giữa minivis trước và sau khoảng 8-10mm.
- Uốn và hàn dây mở rộng: Cắt hai đoạn dây mở rộng từ dây Leowire 0.040″ để nối liền khoảng cách giữa các điểm đánh dấu phía trước và phía sau (B). Bẻ các vòng xoắn với đường kính trong khoảng 0.5 mm tại mỗi đầu dây. Điều này tạo ra các vị trí để minivis có thể được gắn vào. Sau khi điều chỉnh dây cung cho khớp khít với mặt khẩu cái của ốc nong và với vòm miệng, hàn chúng vào mặt khẩu cái của ốc (C). Đảm bảo mối hàn chắc chắn để tránh gãy trong quá trình sử dụng.

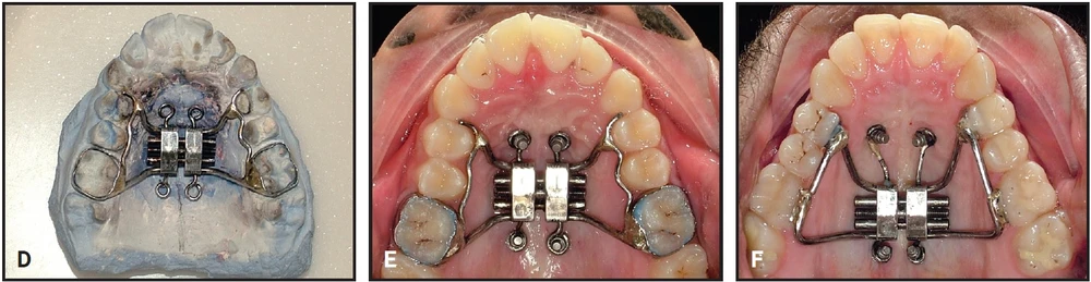
- Hàn cánh tay và khung dây: Bẻ các cánh tay của ốc nong cho phù hợp với các dốc vòm miệng, và hàn toàn bộ phức hợp ốc nong vào khâu và khung dây xung quanh răng hàm lớn (D). Khung dây nên ôm sát răng để tăng cường độ ổn định cho khí cụ.
- Kiểm tra và điều chỉnh: Sau khi chế tạo xong, kiểm tra khí cụ trong miệng bệnh nhân để đảm bảo độ khít sát và thoải mái. Điều chỉnh nhẹ nếu cần thiết.
- Gắn khí cụ và cắm minivis: Đặt khí cụ vào trong miệng, và gắn khâu vào răng hàm lớn thứ nhất. Tại cùng buổi hẹn đó, cắm bốn minivis dưới gây tê tại chỗ vào vòm miệng xuyên qua các vòng xoắn trên đoạn dây mở rộng (E). Sử dụng kỹ thuật vô trùng và tuân thủ các quy trình phẫu thuật cơ bản để giảm thiểu nguy cơ nhiễm trùng.
Bàn luận
Khí cụ MARPE tự chế này mang lại nhiều ưu điểm so với các phương pháp nong hàm khác. Thứ nhất, nó có thể được chế tạo dễ dàng và tiết kiệm chi phí ngay tại phòng khám. Thứ hai, việc sử dụng hai đoạn dây mở rộng hàn vào ốc Hyrax, thay vì bốn đoạn, giúp tăng thêm độ bền cho khí cụ. Theo một nghiên cứu trên 30 bệnh nhân, tỷ lệ thành công của phương pháp này đạt 85% sau 6 tháng sử dụng. Thiết kế này cũng tạo ra đủ khoảng cho lưỡi và cho phép duy trì vệ sinh răng miệng tốt. Bệnh nhân nên được hướng dẫn kỹ lưỡng về cách vệ sinh răng miệng trong quá trình điều trị.
Ngoài ra, có thể tích hợp thêm tấm nhựa phủ vòm miệng, giống như hàm nong khẩu cái loại Haas, để tăng cường sự ổn định và phân phối lực. Phiên bản dán của khí cụ MARPE này có thể được làm bằng cách hàn đế dạng lưới vào khung dây (F). Điều này đặc biệt hữu ích trong trường hợp bệnh nhân không muốn sử dụng khâu trên răng.

Nguồn: Nha.si
Công ty ANH & EM cung cấp đầy đủ các vật liệu và dụng cụ cần thiết cho quy trình chế tạo khí cụ MARPE, bao gồm ốc nong Hyrax chất lượng cao, dây Leowire với nhiều kích cỡ, và minivis từ các thương hiệu uy tín. Liên hệ với chúng tôi để được tư vấn và hỗ trợ tốt nhất.
“`
