Giới thiệu chỉnh nha các mẫu hàm thường gặp

Giới thiệu chỉnh nha Khớp cắn được định nghĩa đúng là “môi trường trung gian mang tất cả những chuyên ngành của nha khoa lại với nhau” – theo Ramford và Ash. Ricketts Dorlands. Từ điển y khoa định nghĩa khớp cắn là “quá trình đóng hàm”. Trong nha khoa, khớp cắn được xem là “tương quan giữa các răng hàm trên và hàm dưới khi chúng tiếp xúc chức năng với nhau trong suốt quá trình hoạt động của hàm dưới”.
Nghiên cứu về Giới thiệu chỉnh nha khớp cắn liên quan đến toàn bộ hệ thống nhai, hiểu được mối liên hệ lẫn nhau giữa răng, mô nha chu, xương, khớp, cơ và hệ thống thần kinh trong khi hàm dưới di chuyển, cũng như là khi thực hiện chức năng bình thường. Nghiên cứu khớp cắn là điều cần thiết để thấu hiểu và đạt được những mục tiêu khi điều trị chỉnh nha.
Trong những bài viết tiếp theo, trang sẽ trình bày về chủ đề “Khớp cắn trong chỉnh nha” với những nội dung chính sau đây:
– Khái niệm về khớp cắn
– Phân loại khớp cắn
– Mối quan hệ giữa tương quan tâm và khớp cắn trung tâm
– Tầm quan trọng của tương quan tâm trong chỉnh nha
– Sáu chìa khoá của một khớp cắn bình thường theo Andrew
Máy điều trị nội nha không dây TRZX2
NHƯNG THUẬT NGỮ THƯỜNG DÙNG
MÔN HÀM HỌC
Đây là ngành khoa học liên quan đến chuyển động của hàm dưới và tiếp xúc khớp cắn.
KHỚP CẮN NHA KHOA
Shaw định nghĩa khớp cắn nha khoa là “tình trạng tĩnh trong đó các răng trên và răng cưới tiếp xúc đóng với nhau”
SAI KHỚP CẮN NHA KHOA
Harvey Stallard định nghĩa sai khớp cắn là “các răng tách biệt với khớp cắn; ngược với tình trạng nằm trong khớp cắn”

MÚI CHỊU
Múi răng khớp vào rãnh của răng đối diện được gọi là múi chịu. Múi trong của răng trên và múi ngoài của răng dưới được gọi là múi chịu.
MÚI CẮT
Múi ngoài của răng trên và múi trong của răng dưới được sử dụng để cắt thức ăn và được gọi là múi cắt.
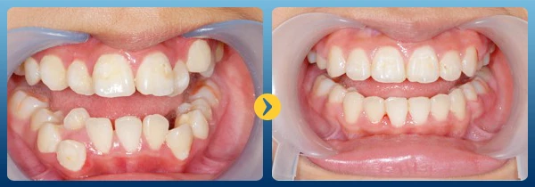
KHỚP CẮN BÌNH THƯỜNG
Thế nào được xem là khớp cắn bình thường trong chỉnh nha, hay là khớp cắn hạng I Angle. Răng chìa khoá trong phân loại này là răng cối lớn vĩnh viễn thứ nhất. Múi ngoài gần của răng cối lớn thứ nhất hàm trên khớp vào rãnh ngoài gần của răng cối lớn vĩnh viễn thứ nhất hàm dưới. Tuy nhiên, thậm chí với tương quan này, khi răng đầy đủ thì vẫn có sự bất hài hoà giữa tương quan hàm dưới hoặc khớp thái dương hàm với hàm trên.
Khớp cắn bình thường thường liên quan đến tiếp xúc mặt nhai, sự sắp xếp của các răng, cắn chìa, cắn phủ, sự sắp xếp và tương quan răng giữa các cung hàm và tương quan giữa răng với cấu trúc xương.
“Bình thường” đơn giãn ngụ ý đến một tình trạng chung khi không có bệnh lý. Nó bao gồm cả những giá trị giải phẫu chấp nhận được cũng như khả năng thích ứng về mặt sinh lý.
KHỚP CẮN LÝ TƯỞNG
Khái niệm này chỉ đến sự lý tưởng về mặt thẩm mỹ lẫn sinh lý. Trong thời gian gần đây, người ta nhấn mạnh những tiêu chuẩn thẩm mỹ và giải phẫu đến mối quan tâm hiện tại về chức năng, sức khoẻ và sự thoải mái. Điều này ban đầu xảy ra do sự phát triển kiến thức về sinh lý chuyển động hàm và khớp thái dương hàm. Do đó, bây giờ khía cạnh quan trọng của khớp cắn lý tưởng bao gồm sự hài hoà về mặt chức năng và sự ổn định của hệ thống nhai và sự hài hoà của cơ thần kinh trong hệ thống nhai.
KHỚP CẮN THĂNG BẰNG
Khớp cắn thăng bằng được cho là tồn tại khi có sự tiếp xúc đồng thời giữa các răng trên và răng dưới ở cả bên phải và bên trái, ở vùng răng trước lẫn răng sau khi hàm ở khớp cắn trung tâm.
KHỚP CẮN SINH LÝ
Khớp cắn ở một cá nhân vốn không có dấu hiệu bệnh lý về khớp cắn, thì được xem là một khớp cắn sinh lý. Khớp cắn sinh lý có thể không phải là khớp cắn lý tưởng nhưng nó không biểu hiện bất kỳ bệnh lý nào trong vùng mô xung quanh do sự sai lệch so với khớp cắn lý tưởng. Tại đây có kiểm soát đáp ứng thích nghi đặc trưng bởi tăng hoạt động cơ tối thiểu, sự căng cơ có giới hạn đối với hệ thống.
CHẤN THƯƠNG KHỚP CẮN
Đây là khớp cắn được đánh giá là nguyên nhân của việc hình thành chấn thương hay rối loạn những cấu trúc nâng đỡ răng, cơ và khớp thái dương hàm. Hầu hết mỗi hàm răng có tiếp xúc sớm đều óc tiềm năng gây chấn thương làm thay đổi tình trạng trương lực cơ và gây răng sự căng cơ. Tuy nhiên, tiêu chuẩn xác định liệu khớp cắn có chấn thương hay không vốn không phải ở chỗ răng ăn khớp như thế nào mà ở chỗ liệu nó có tạo nên bất cứ tổn thương nào hay không.
LIỆU PHÁP CẮN KHỚP
Đó là việc điều trị khớp cắn nhằm chống lại tương quan giữa các cấu trúc có liên quan đến tình trạng chấn thương khớp cắn.
