Dị tật bẩm sinh hàm mặt khá đa dạng với nhiều loại hình khác nhau, nhưng phổ biến nhất là dị tật khe hở môi và hàm ếch. Theo các thống kê trên thế giới, tỉ lệ dị tật khe hở môi và hàm ếch chiếm khoảng 0.02 – 0,2% số trẻ sinh ra. Thống kê trong thời gian 10 năm tại bệnh viện Phụ sản Hùng Vương Tp.HCM (1976 – 1986) cho kết quả tỉ lệ trẻ em dị tật môi hàm ếch là 0,2%. Dị tật khe hở môi hàm ếch ảnh hưởng đến nhiều cấu trúc giải phẫu như cấu trúc môi, mũi, răng, xương hàm và ảnh hưởng đến vần đề thẩm mỹ, chức năng nhai, sự phát triển của xương hàm, chức năng phát âm, chức năng nghe…
Dị tật môi hàm ếch không chỉ để lại cho bệnh nhân một vấn đề thẩm mỹ, chức năng và tâm lý khi lớn lên mà còn là vấn đề lớn của gia đình và xã hội. Điều trị dị tật khe hở môi hàm ếch đòi hỏi thời gian và công sức, với sự tham gia của nhiều chuyên khoa khác nhau mới mang lại một kết quả toàn diện.
I. Phôi thai học vùng hàm mặt
Dị tật môi và hàm ếch hình thành từ trong thời bào thai khoảng tuần thứ 6 – đến thứ 10. Để hiểu rõ được sự hình thành của khe hở môi và hàm ếch, cần phải hiểu được sự hình thành các cấu trúc vùng hàm mặt trong giai đoạn này. Trong phần phôi thai học vùng hàm mặt này, chỉ trình bày một số nết cơ bản có liên quan đến sự hình thành khe hở môi và hàm ếch.
Trong thời gian bào thai ở tuần thứ 6 đến thứ 7, phôi thai vùng hàm mặt cấu trúc bởi hệ thống các cung mang từ cung mang 1 đến cung mang 4, và từ các cung mang này hình thành nên các cấu trúc vùng hàm mặt. Đặc điểm hình thái các cấu trúc hàm mặt trong thời kỳ phôi 6 – 7 tuần được mô tả qua các hình 2.1 (nhìn nghiêng), hình 2.2 (nhìn thẳng), hình 2.3 (nhìn từ dưới) và bảng 2.1 mô tả tóm tắt về các cung mang cùng các cấu trúc hình thành từ cung mang.


Bảng 2.1 Cung mang và các cấu trúc hình thành

Từ các cung mang, xuất hiện các nụ trán mũi, nụ mũi trong, nụ mũi ngoài và nụ hàm trên. Các nụ này phát triển vào nhau và ráp nối hình nối nên các cấu trúc môi và hàm ếch, trong suốt thời gian từ tuần thứ 6 đến tuần thứ 10 (hình 2.4 và hình 2.5). Sau khi ráp nối, sẽ có hiện tượng trung bì hoá tại vùng ráp nối này, đảm bảo tính liên tục của mô. Những tác động vào bào thai trong thời kỳ này góp phần hình thành dị tật khe hở môi và hàm ếch.

Khe hở môi hình thành do các nụ mũi trong và nụ mũi ngoài không ráp được với nhau (hình 2.6). Tuỳ mức độ lan rộng của khe hở, khe hở môi có nhiều dạng từ môi đơn đến môi toàn bộ, tức lan đến lỗ mũi khẩu. Khe hở môi có thể một bên hoặc hai bên. Khe hở hàm ếch xảy ra khi phần khẩu cái thứ phát từ hai nụ hàm trên không ráp nối được với nhau (hình 2.7), với nhiều thể lâm sang từ chẻ lưỡi gà, khe hở hàm ếch mềm, khe hở hàm ếch bộ phận đến khe hở hàm ếch toàn bộ tuỳ mức độ ráp nối của phần khẩu cái thứ phát
của hai nụ hàm trên.

II. Phân loại khe hở môi – Hàm ếch
Từ những phân loại đầu tiên của Davis và Ritchie (1922), đến Veau (1931) cơ sở phân loại chủ yếu là đặc điểm giải phẫu, cho đến Kernahan (1971), dựa trên phôi thai học sự hình thành khe hở môi và hàm ếch để đưa ra phân loại khe hở môi và hàm ếch, được chấp nhận rộng rãi hiện nay. Khe hở phía trước lỗ mũi khẩu thuộc nhóm khe hở tiên phát gồm các khe hở môi một bên, hai bên từ khe hở đơn đến khe hở toàn bộ. Khe hở thứ phát là khe hở hình thành phía sau lổ mũi khẩu gồm các thể lâm sang khe hở hàm ếch. Khe hở từ trước (môi) ra phía sau (hàm ếch thuộc nhóm khe hở toàn bộ). Phân loại khe hở môi – hàm ếch có thể tóm tắt trong bảng 3.1.
Ngoài khe hở môi – hàm ếch còn nhiều loại dị tật khe hở bẩm sinh khác hiếm hơn như khe hở môi dưới, khe hở giữa mặt, khe hở ngang mặt, khe hở mặt chéo…Các loại khe hở hiếm này thường kết hợp với một hội chứng, có thể liên quan hoặc không đến di truyền (hình 3.1).
Bảng 3.1: Phân loạikhe hở môi – hàm ếch


III. Nguyên nhân và các yếu tố liên quan
Dị tật khe hở môi hàm ếch có thể là loại đơn thuần hoặc có liên quan đến hội chứng dị tật bẩm sinh. Nhiều hội chứng như hội chứng có liên quan đến dị tật môi – hàm ếch như hội chứng Down, hội chứng tam nhiễm sắc thể 13, tam nhiễm sắc thể 18…đều có thể kèm theo các dị tật khe hở môi – hàm ếch. Những trường hợp này còn gọi là: Dị tật bẩm sinh trong các hội chứng (Syndromic Congenital malformation).
Những trường hợp dị tật bẩm sinh không liên quan các hội chứng (Non-syndromic Congenital malformation) có nhiều yếu tố được đánh giá là yếu tố nguy cơ như:
− Yếu tố gia đình
− Sử dụng thuốc thời kỳ mang thai: Chống động kinh, thuốc ngủ, corticoid
− Bệnh lý: Tiểu đường, nhiễm siêu vi…
− Thuốc lá, rượu…
− Béo phì, Stress
− Acid folic, Vit A
Trong các yếu tố nêu trên, yếu tố gia đình được xem là yếu tố nguy cơ cao nhất. Nhiều gen đã được xác định liên quan đến dị tật môi – hàm ếch và có tính gia đình. Nhóm nguy cơ thứ hai là sử dụng thuốc trogn thời gian 3 tháng đầu thai kỳ, nhất là trong khoảng 6 – 9 tuần thai kỳ.
Những người mẹ mang thai có bệnh lý như tiểu đường hoặc nhiễm siêu vi cũng được nghiên cứu xác nhận là có tỉ lệ sinh trẻ em dị tật môi – hàm ếch cao gấp 2 đến 7 lần so với người bình thường.
IV. Đặc điểm lâm sàng
Đặc điểm lâm sàng bệnh nhân khe hở môi – hàm ếch bao gồm đặc điểm nguyên phát và đặc điểm thứ phát.
Đặc điểm nguyên phát là đặc điểm lâm sàng ban đầu khi chưa can thiệp phẫu thuật, còn đặc điểm thứ phát là đặc điểm biến dạng sau can thiệp phẫu thuật. Trong các đặc điểm lâm sàng, đặc điểm mô mềm chủ yếu là đặc điểm nguyên phát. Ngược lại đặc điểm về răng và xương hàm chủ yếu là đặc điểm thứ phát.
Các yếu tố còn lại như thuốc lá, rượu, béo phì có tỉ lệ sinh con dị tật môi – hàm ếch cao gấp 1,5 đến 3,5 lần so với người bình thường.
IV.1. Đặc điểm lâm sàng khe hở môi một bên
Gián đoạn và biến dạng môi:
Môi có khe hở gián đoán với nhiều mức độ khác nhau về độ rộng và biến dạng V môi. Trong đó, biến dạng V môi là dấu hiệu quan trọng nhất trong lựa chọn chỉ định phẫu thuật. Chiều dài môi giữa hai bên cũng mất cân xứng. Ở khe hở môi toàn bộ, mức độ biến dạng bao giờ cũng trầm trọng hơn so với khe hở môi đơn (hình 5.1).

Biến dạng mũi:
Mũi vẫn bình thường trong trường hợp khe hở môi đơn, nhưng ở khe hở môi toàn bộ, mũi sẽ biến dạng (hình 5.1) với các đặc điểm:
− Chân mũi lệch sang bên lành
− Xẹp cánh mũi
− Bẹt chân cánh mũi
− Thiểu sản sụn cánh mũi
Gián đoạn và biến dạng cung răng:
Cung răng gián đoạn và biến dạng trong trường hợp khe hở môi toàn bộ phẫu thuật muộn (sau khi mọc răng). Răng vùng khe hở chìa nhiều ra trước.
IV.2. Đặc điểm lâm sàng khe hở môi hai bên
Gián đoạn và biến dạng môi
Môi gián đoạn và biến dạng tuỳ theo khe hở môi hai bên là đơn hay toàn bộ. Với khe hở môi hai bên là toàn bộ, mức độ biến dạng rất trầm trọng. Trong trường hợp này, toàn bộ mấu lồi giữa cùng với xương tiền hàm vểnh ra trước như vòi voi.

Biến dạng mũi:
Ngoài các hình thái biến dạng như xẹp cánh mũi, bẹt chân cánh mũi, thiểu sản sụn cánh mũi, chân cánh mũi ngắn là điểm đặc thù trong khe hở môi toàn bộ hai bên. Chân cánh mũi gần như không có trong nhiều trường hợp khe hở môi toàn bộ hai bên (hình 5.2).
Gián đoạn và biến dạng cung răng:
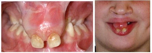
Cung răng gián đoạn và biến dạng với phần xương tiền hàm nhô ra trước, nhất là trong trường hợp khe hở môi toàn bộ hai bên. Ngoài ra, những trường hợp này còn có biến dạng thứ phát do tạo hình môi làm cho phần xương tiền hàm nhô xuống dưới gây mất thẩm mỹ rất nhiều (hình 5.3).

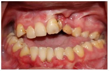
Nếu kết hợp với khe hở hàm ếch toàn bộ, cung răng trên thu hẹp và đổ sập vào trong do phẫu thuật khe hở hàm ếch sớm (hình 5.4). Tình trạng này rất khó điều trị đạt yêu cầu. Việc nong hàm trong trường hợp này luôn là thách thức với bác sĩ chỉnh nha.
Lệch lạc và dị dạng răng:
Răng thường lệch lạc trong khe hở môi toàn bộ hai bên với các đặc điểm:
− Vùng khe hở mọc lệch lạc
− Răng cửa bên dị dạng
− Răng mọc ngầm
− Răng cối nhỏ mọc vào trong khẩu cái

IV.3. Đặc điểm lâm sàng khe hở hàm ếch
Khe hở hàm ếch biểu hiện chủ yếu với tình trạng gián đoạn phần khẩu cái mềm và/hoặc khấu cái cứng tuỳ thuộc khe hở là khe hở hàm ếch mềm, khe hở bộ phận hay khe hở toàn bộ. Trường hợp khe hở một bên, miệng sẽ thong thương với một bên mũi, nhưng nếu là khe hở hàm ếch hai bên, miệng sẽ thông thương với cả hai bên mũi, với xương lá mía có thể nhìn thấy từ trong miệng.
Khe hở hàm ếch ảnh hưởng đến nhiều chức năng như:
− Chức năng bú mút
− Chức năng nuốt
− Chức năng nhai
− Chức năng phát âm: giọng mũi hở
− Chức năng hô hấp
− Chức năng thính giác
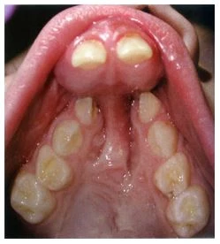
Trong các chức năng bị ảnh hưởng bởi khe hở hàm ếch, chức năng phát âm là trầm trọng nhất. Chức năng bú muốt và chức năng nuốt ảnh hưởng nhiều trong giai đoạn sơ sinh và chủ yếu làm bé sặc khi bú sữa. Chức năng thính giác ảnh hưởng do vòi nhĩ thường bị tắc và bệnh nhân khe hở hàm ếch rất dễ bị viêm tai giữa. Chức năng nhai bị ảnh hưởng thường là thứ phát sau phẫu thuật, gây biến dạng cung răng (hình 5.5).
Rối loạn phát triển xương hàm chủ yếu là rối loạn thứ phát sau phẫu thuật tạo hình hàm ếch, thường gặp dưới dạng hẹp hàm trên và/ hoặc lùi hàm trên. Ngoài ra, còn có thể có tình trạng cắn hở răng trước (hình5.5).

V. Nguyên tắc và lựa chọn thời điểm điều trị
V.1. Nguyên tắc điều trị
Điều trị dị tật khe hở môi – hàm ếch, khi chỉ là đóng kín khe hở môi, đóng kín khe hở hàm ếch mà phải là trả bệnh nhân về cuộc sống bình thường. Để đạt được điều này, cần phải tuân thủ nguyên tắc điều trị toàn diện với sự phối hợp của nhiều chuyên khoa cùng nhau. Sau đây là một số nguyên tắc cần tuân thủ để đạt được kết quả toàn diện.
Nguyên tắc 1:
Mục tiêu của điều trị phải là phục hồi tối đa về phương diện chức năng và thẩm mỹ, bao gồm:
– Thẩm mỹ môi: môi cân xứng, củ môi đầy
– Thẩm mỹ mũi: cánh mũi, cửa mũi, chân mũi cân xứng
– Thẩm mỹ răng: Răng sắp xếp đều đặn
– Chức năng nhai: Khớp cắn chức năng
– Chức năng phát âm: Không rối loạn phát âm
– Chức năng nghe
Nguyên tắc 2:
Điều trị phải đảm bảo toàn diện, chứ không chỉ điều trị phẫu thuật, mặc dù phẫu thuật là điều trị chính trong khe hở môi hàm ếch. Điều trị toàn diện đòi hỏi sự tham gia của nhiều chuyên khoa, bao gồm:
– Chuyên khoa phẫu thuật tạo hình/ phẫu thuật hàm mặt: Điều trị phẫu thuật
– Chuyên khoa chỉnh âm: Điều trị phát âm
– Chuyên khoa chỉnh hình răng mặt: Điều trị chỉnh hình răng mặt
– Chuyên khoa Tai Mũi họng: Điều trị Tai mũi họng
Nguyên tắc 3:
Điều trị phẫu thuật phải triệt để, thực hiện nhiều thì, chứ không phải một lần phẫu thuật la là đạt được yêu cầu. Trong đó:
- Điều trị phẫu thuật môi mũi và khe hở cung răng được tiến hành từ lúc sơ sinh cho đến phẫu thuật lần hai, lần ba… tuỳ theo từng trường hợp:
− Phẫu thuật đính môi được thực hiện với những trường hợp khe hở môi toàn bộ nhằm đơn giản hoá vấn đề điều trị sửa chữa khe hở môi sau này.
− Phẫu thuật sửa chữa môi – mũi thì đầu đảm bảo giải quyết đóng khe hở môi và tạo hình một phần biến dạng mũi. Trong phẫu thuật môi thì đầu ở những trường hợp có keh hở cung răng, phải đảm bảo đóng được nền mũi, tạo điều kiện dễ dàng cho việc ghép xương sau này.
− Phẫu thuật sửa chữa môi – mũi thì hai nhằm giải quyết triệt để những biến dạng môi mũi sau phẫu thuật thì đầu.
− Phẫu thuật ghép xương khe hở cung răng nhằm giải quyết triệt để khe hở cung răng, tạo điều kiện cho răng nanh mọc được vào đúng vị trí. - Điều trị phẫu thuật khe hở hàm ếch bao gồm:
− Phẫu thuật vá hàm ếch
− Phẫu thuật phục hồi chức năng màn hầu
− Phẫu thuật vá lỗ thủng sau mổ
Nguyên tắc 4:
Điều trị chỉnh hình răng và chỉnh hình xương là rất cần thiết để trả bệnh nhân lại cuộc sống bình thường. Trong đó, thực hiện:
− Chỉnh hình mấu lồi giữa trong khe hở môi toàn bộ hai bên sớm, nhằm cải thiện kết quả diều trị phẫu thuật môi hai bên sau này.
− Chỉnh hình nới rộng hàm những trường hợp hàm hẹp do phẫu thuật tạo hình hàm ếch.
− Phẫu thuật chỉnh hình xương nhằm cải thiện tương quan xương
− Chỉnh nha phục hồi khớp cắn chức năng
Nguyên tắc 5:
Phải điều trị phục hồi chức năng phát âm cho bệnh nhân.
V.2. Thời điểm và can thiệp điều trị
Sau đây là phác đồ điều trị toàn diện cùng với thời điểm và các can thiệp điều trị được các chuyên gia về khe hở môi – hàm ếch khuyến nghị thực hiện:
Sơ sinh:
– Hướng dẫn chế độ nuôi dưỡng
– Khâu đính môi trường hợp khe hở môi toàn bộ (một bên hoặc hai bên)
3 tháng tuổi – 6 tháng tuổi:
– Chỉnh hình môi mũi (nếu có chỉ định)
– Phẫu thuật tạo hình môi thì đầu.
18 tháng tuổi:
Phẫu thuật tạo hình hàm ếch
24 tháng tuổi:
– Tập phát âm
– Phẫu thuật sửa chữa môi mũi thì hai, sửa chữa biến chứng thủng hàm ếch (nếu có).
3 tuổi – 5 tuổi:
– Tiếp tục tập phát âm
– Phẫu thuật sửa chữa môi mũi thì hai
– Phẫu thuật sửa chữa biến chứng thủng hàm ếch (nếu có).
6 tuổi – 9 tuổi:
– Chỉnh hình xương hàm nới rộng hàm (nếu cần)
– Chỉnh hình kích thích tăng trưởng xương hàm trên ra trước (nếu cần).
9 tuổi – 12 tuổi:
– Ghép xương ổ răng tạo điều kiện hình thành cầu nối vùng khe hở cung răng và răng mọc vào đúng vị trí trên cung hàm.
– Chỉnh hình răng toàn diện
12 tuổi – 15 tuổi:
– Hoàn tất chỉnh nha toàn diện
– Phẫu thuật hàm ếch vạt thành hầu những trường hợp thiểu năng màn hầu hoặc ngắn màn hầu (nếu có).
– Phục hình chỉnh âm trường hợp không phẫu thuật được.
15 tuổi – 18 tuổi:
– Phẫu thuật chỉnh hình xương
– Hoàn tất chỉnh nha và phục hình răng, tái lập khớp cắn chức năng.
Theo: TS.BS Trần Ngọc Quảng Phi
