Tác giả: Eduardo Anitua DDS, MD, PhD
Nguồn ảnh: BTI Biotechnology Institute
Phục hồi các vùng răng hàm bị tiêu xương dọc nghiêm trọng luôn là một thách thức lớn trong thực hành Implant nha khoa. Bài viết dưới đây trình bày một nghiên cứu theo dõi 8 năm về việc sử dụng Implant ngắn 6.5mm BTI đặt theo cặp và chịu lực tức thì. Đây là một giải pháp xâm lấn tối thiểu nhưng vô cùng hiệu quả, giúp tránh phải thực hiện các thủ thuật ghép xương phức tạp khi bị tiêu xương dọc.
1. Thách thức trong điều trị tiêu xương dọc và giải pháp Implant ngắn 6.5mm BTI
Phục hình vùng răng hàm bị tiêu xương dọc đáng kể vẫn là một thách thức lâm sàng quan trọng. Khi chiều cao xương còn lại hạn chế, các quy trình thường được sử dụng như nâng xoang hàm trên, ghép xương có hướng dẫn (GBR) hoặc ghép xương khối có thể mang lại kết quả tốt. Tuy nhiên, chúng thường đòi hỏi các kỹ thuật xâm lấn hơn, nhiều giai đoạn phẫu thuật, cũng như tăng thời gian và chi phí điều trị Implant nha khoa.

Các dòng Implant ngắn 6.5mm BTI và cực ngắn đã được đề xuất như một giải pháp thay thế cho những ca lâm sàng đặc biệt này, với các nghiên cứu dài hạn báo cáo tỷ lệ sống sót trên 98%. Đồng thời, các quy trình chịu lực tức thì (immediate loading) cũng ngày càng được khẳng định trong trồng răng Implant. Bằng chứng cho thấy, khi đạt được độ ổn định ban đầu (primary stability) đầy đủ, việc chịu lực tức thì có thể mang lại kết quả tương tự như chịu lực trì hoãn, đồng thời mang lại nhiều lợi ích cho trải nghiệm của bệnh nhân. Giá trị lực vặn (torque) 30–45 Ncm thường được trích dẫn làm ngưỡng tối thiểu cho các phục hình đơn lẻ và khoảng 20 Ncm cho các phục hình liên kết trên Implant ngắn 6.5mm BTI.
Nghiên cứu tập trung cụ thể vào các Implant ngắn 6.5mm BTI cung cấp những cái nhìn đáng tin cậy hơn về khả năng xử lý tiêu xương dọc. Các công trình trước đây của tác giả đã báo cáo tỷ lệ sống sót 100% của Implant cực ngắn ở cả vị trí răng hàm trên và hàm dưới, ngay cả trong điều kiện xương kém. Điều này chứng tỏ kết quả có thể dự đoán được nếu việc lập kế hoạch, quy trình khoan và kiểm soát khớp cắn được quản lý cẩn thận.
Nhằm đóng góp thêm bằng chứng, nghiên cứu hồi cứu này phân tích những bệnh nhân được điều trị bằng các Implant ngắn 6.5mm BTI (đặt theo cặp và chịu lực tức thì với phục hình liên kết), đánh giá tỷ lệ sống sót và sự ổn định của xương mào theo thời gian đối với bệnh nhân tiêu xương dọc.
2. Vật liệu và Phương pháp nghiên cứu lâm sàng Implant ngắn 6.5mm BTI
Một đánh giá hồi cứu đã được tiến hành trên các bệnh nhân điều trị tại Tây Ban Nha, sử dụng Implant ngắn 6.5mm BTI phục hình dưới dạng tải lực tức thì. Chỉ các ca có thời gian theo dõi ít nhất 12 tháng sau khi chịu lực mới được đưa vào nghiên cứu.

Trước khi bắt đầu quy trình cấy ghép Implant ngắn 6.5mm BTI, tất cả bệnh nhân tiêu xương dọc đều trải qua quy trình chẩn đoán toàn diện, bao gồm chụp cắt lớp vi tính chóp nón (CBCT), mẫu hàm nghiên cứu và sáp chẩn đoán (diagnostic wax-ups). Phân tích 3D của phần xương còn lại giúp xác định vị trí, góc độ và đường kính Implant một cách chính xác.
Các Implant ngắn 6.5mm BTI được đặt bằng cách sử dụng quy trình khoan định hướng sinh học (biologically guided drilling protocol) độc quyền của BTI, với lực vặn chèn được đo tại thời điểm đặt để xác nhận sự phù hợp cho việc chịu lực tức thì. Các phục hình tạm thời liên kết bắt vít được gắn ngay sau phẫu thuật để ổn định sự phân bố lực trong quá trình tích hợp xương. Từ 3 đến 6 tháng sau, chúng sẽ được thay thế bằng các cầu răng sứ kim loại cố định hoặc phục hình lai kim loại-nhựa, đảm bảo phục hình hoàn hảo cho bệnh nhân tiêu xương dọc.
3. Kết quả đánh giá hiệu suất của Implant ngắn 6.5mm BTI sau 8 năm
Có 18 bệnh nhân đã nhận 36 Implant ngắn 6.5mm BTI phục hình liên kết dưới dạng chịu lực tức thì. Thời gian theo dõi trung bình là 8.02 ± 1.47 năm (dao động từ 6 đến 10 năm).
- Đa số các Implant ngắn 6.5mm BTI (69.4%) được đặt ở vùng răng hàm dưới chịu ảnh hưởng của tình trạng tiêu xương dọc.
- Khảo sát đường kính từ 3.3mm đến 5.5mm; trong đó 3.5mm là độ rộng phổ biến nhất (38.9%).
- Tất cả các trụ Implant đều đạt độ ổn định ban đầu đủ cho quy trình chịu lực tức thì, với lực vặn chèn trung bình là 42.8 ± 12.6 Ncm.


Về phương diện chức năng, không có Implant ngắn 6.5mm BTI nào mất sự ổn định lâm sàng hoặc có dấu hiệu X-quang về các biến chứng cơ sinh học trong thời gian theo dõi 8 năm. Phục hình tạm và phục hình vĩnh viễn trên nền tảng tiêu xương dọc đều duy trì sự ổn định tối ưu. Không ghi nhận bất kỳ các biến chứng cơ học đáng kể hay sự cố viêm quanh Implant.
Mức tiêu xương viền trung bình ở lần theo dõi cuối là 0.52 ± 0.41mm (phía gần) và 0.47 ± 0.38mm (phía xa). Tỷ lệ sống sót tích lũy đạt 100% cho Implant ngắn 6.5mm BTI.
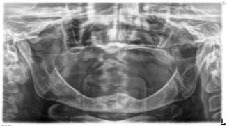
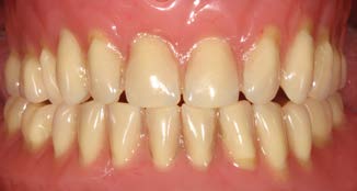
3.1. Phân tích ca lâm sàng giải quyết tiêu xương dọc điển hình
Nghiên cứu cũng ghi nhận sự thay đổi rõ rệt ở bệnh nhân nữ muốn điều trị Implant vùng hàm dưới nhưng gặp hạn chế vì tiêu xương dọc quá lớn và hàm giả lỏng lẻo.





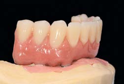
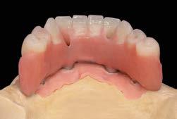
3.2. Lên kế hoạch mô phỏng và ứng dụng Implant ngắn 6.5mm BTI










4. Kết luận về việc sử dụng Implant ngắn 6.5mm BTI trong tiêu xương dọc
Nghiên cứu này báo cáo những kết quả dài hạn tích cực đối với dòng Implant ngắn 6.5mm BTI được áp dụng chịu lực tức thì, duy trì tỷ lệ thành công 100% qua đợt theo dõi trung bình 8 năm.
Thành công vượt trội này đến từ hai yếu tố chính. Đầu tiên là quy trình khoan định hướng sinh học của BTI nhằm bảo tồn tối ưu kết cấu vi mô của phần xương xương ổ răng và đạt được độ ổn định vững chắc ban đầu – điều thiết yếu cho bệnh nhân tiêu xương dọc. Thứ hai, sự tuân thủ nhất quán sử dụng phục hình liên kết (splinted prostheses) đã giúp phân tán lực nhai hiệu quả, giảm stress cục bộ lên từng Implant ngắn 6.5mm BTI riêng lẻ và hạn chế đáng kể các vi dịch chuyển trong chu trình lành thương.
Kết luận:
Trong suốt 8 năm theo dõi, hệ thống Implant ngắn 6.5mm BTI được triển khai với kỹ thuật phẫu thuật sinh học và tải lực tức thì đã đưa ra những báo cáo hiệu suất lâm sàng, quang tuyến cực kì khả quan. Sự vắng bóng hoàn toàn của các ca thất bại, tỷ lệ tiêu xương viền cổ cực thấp, cùng với việc không có biến chứng lớn phục hình là những bảo chứng mạnh mẽ rằng: Implant ngắn 6.5mm BTI là giải pháp ưu việt và hoàn toàn khả thi để vượt qua mọi thách thức của tình trạng tiêu xương dọc mà không cần sử dụng đến các thủ thuật ghép xương phức tạp, kéo dài thời gian điều trị.
Bài viết được trích dẫn và dịch thuật từ tài liệu của BTI Biotechnology Institute. Thuộc tủ giáo trình tài liệu tham khảo cho chuyên ngành nội nha, Implant tại ANH & EM.
