list Nội dung bài viết

    Màng sinh học là một khái niệm chuyên môn chỉ một nhóm các sinh vật có cấu tạo đặc biệt và phức tạp, phát triển trong môi trường tự nhiên. Bài viết sau đây, hãy cùng Anh & Em tìm hiểu màng sinh học (biofilm) là gì và chúng có hại cho răng như thế nào?

    Màng sinh học có hại cho răng (biofilm) là gì?

    Màng sinh học biofilm là bao gồm bất kỳ một tập hợp vi sinh vật nào đó trong các tế bào, chúng thường dính vào nhau và xuất hiện trên các bề mặt. Màng sinh học có khả năng bảo vệ vi sinh vật bên trong khỏi sự tác động của yếu tố môi trường. Nó cũng cung cấp một môi trường thuận lợi để vi sinh vật phát triển và tương tác với nhau.

    Màng sinh học
    Tìm hiểu màng biofilm là gì

    Trong răng miệng, màng sinh học hình thành nên các mảng bám trên răng, để tình trạng này lâu dài có thể gây sâu răng hoặc viêm nướu răng. Sự tích tụ của nhiều vi sinh vật phát triển kết hợp cùng nồng độ cao các chất chuyển hoá của vi khuẩn là nguyên nhân dẫn đến các bệnh lý về răng miệng. 

    Các vấn đề răng miệng từ màng sinh học biofilm

    Sâu răng

    Màng sinh học cung cấp môi trường cho vi khuẩn phát triển gây sâu răng. Vi khuẩn tiêu hóa các loại thức ăn như đường và tạo ra axit. Axit này gây xói mòn men răng và dẫn đến hình thành các lỗ sâu trên bề mặt răng.

    Xem thêm: Tìm hiểu các vấn đề về sâu răng

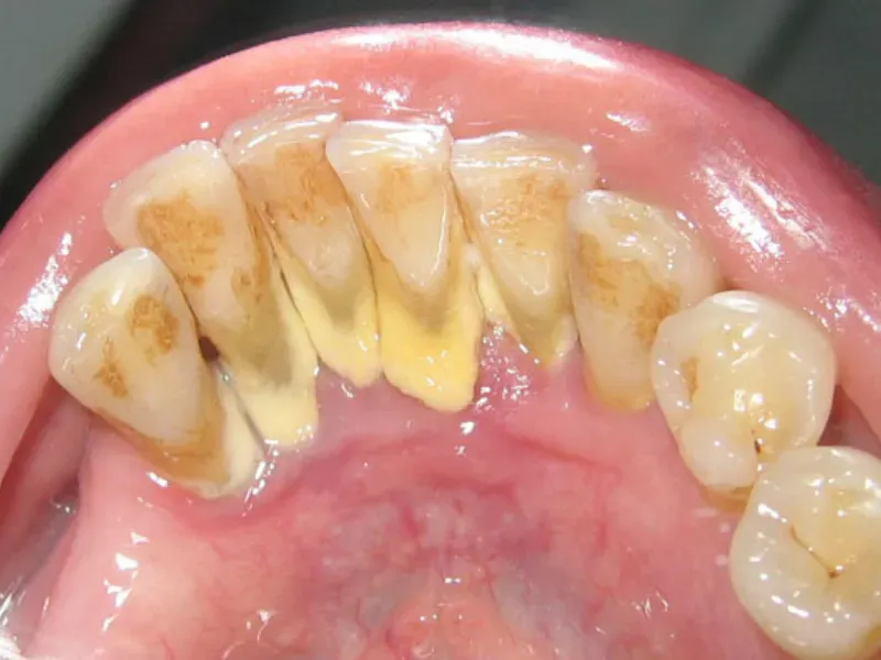
    Hình thành cao răng

    Sự hình thành của màng sinh học là nguyên nhân chính của việc hình thành các mảng bám trên. Khi mảng bám tích tụ trên răng và không được loại bỏ đúng cách, nó có thể dẫn đến sự hình thành sâu răng và viêm nha chu.

    Màng sinh học biofilm
    Màng biofilm phát triển vi khuẩn và hình thành mảng bám trong miệng

    Viêm nha chu

    Màng sinh học gắn kết chặt vào nướu và các cấu trúc xung quanh răng. Vi khuẩn trong màng sinh học tạo ra các chất độc và kích thích một phản ứng viêm nha chu. Nếu không được điều trị, viêm nha chu có thể gây tổn thương mô mềm xung quanh răng và dẫn đến mất răng.

    Cách phòng ngừa nhiễm khuẩn do màng sinh học

    Những thói quen xấu trong ăn uống hoặc vệ sinh răng miệng không đúng cách sẽ dẫn đến tình trạng tích tụ các mảng bám, lâu ngày sẽ gây nhiễm khuẩn và các bệnh lý khác. Một số lưu ý để phòng ngừa nhiễm khuẩn do màng sinh học gây ra:

    • Có chế độ ăn uống phù hợp, lành mạnh
    • Sau bữa ăn 30 phút nên đánh răng để loại bỏ toàn bộ thức ăn thừa trong miệng. Hằng tuần, bạn cũng nên vệ sinh lưỡi bằng dụng cụ chuyên biệt để giữ sạch khoang miệng và tránh mùi hôi.
    • Sử dụng thêm nước súc miệng, chỉ nha khoa, tăm nước để loại bỏ các mảng bám ở những vị trí bàn chải đánh răng không tới.
    • Đi lấy cao răng định kỳ theo chỉ định của nha sĩ.

    Phương pháp xử lý răng miệng khi nhiễm khuẩn do màng sinh học

    Khi gặp tình trạng nhiễm khuẩn do màng sinh học gây ra, chúng ta thường sử dụng các phương pháp như: bào láng chân răng, cạo vôi răng, vệ sinh răng miệng tại nha khoa. Các thủ thuật nha khoa sẽ giúp loại bỏ vi khuẩn một cách nhanh chóng bên trong màng sinh học. 

    Mảng bám trên răng
    Xử lý màng biofilm bằng cách lấy cao răng định kỳ

    Ngoài ra, bạn cũng có thể sử dụng một số loại kháng sinh có phổ và nồng độ thích hợp để loại bỏ vi khuẩn. Các loại thuốc cần được cung cấp từ nha sĩ chuyên môn để kết hợp với quá trình điều trị để đạt hiệu quả cao nhất.

    Bài viết trên, chúng tôi đã cung cấp những thông tin về màng biofilm có hại cho răng miệng như thế nào. Hy vọng, bạn có thể tự bảo vệ răng miệng của mình tránh khỏi các loại vi khuẩn có hại để luôn sở hữu nụ cười tự tin nhé.

    🩺
    Biên soạn bởi đội ngũ chuyên môn Đội ngũ Tư vấn ANH & EM Dental – Chuyên gia Thiết bị Nha khoa
    Tổng hợp từ tài liệu chuyên ngành và kinh nghiệm phân phối thiết bị nha khoa
    Bài viết này cung cấp thông tin kỹ thuật và tham khảo về thiết bị nha khoa. Không thay thế cho tư vấn y tế chuyên nghiệp. Hãy tham khảo bác sĩ trước khi đưa ra quyết định điều trị.
    Tác giả

    Trần Anh Tuyết

    Chuyên gia tư vấn giải pháp nha khoa tại Công ty ANH & EM.