list Nội dung bài viết

    Sâu răng là một bệnh lý răng miệng phổ biến, có thể gây ra nhiều biến chứng nguy hiểm nếu không được điều trị kịp thời. Trong bài viết này, chúng tôi sẽ cung cấp cho bạn những thông tin cần thiết về các biến chứng sâu răng, từ đó giúp bạn có thể nhận biết và phòng ngừa hiệu quả.

    Khi nào biến chứng sâu răng xuất hiện

    Biến chứng sâu răng có thể xuất hiện khi sâu răng tiến triển đến giai đoạn tủy răng bị viêm nhiễm. Lúc này, vi khuẩn đã xâm nhập vào tủy răng và gây ra tình trạng viêm tủy. Nếu không được điều trị kịp thời, viêm tủy có thể lan rộng ra các tổ chức xung quanh và gây ra các biến chứng nguy hiểm.

    Xem ngay cách phương pháp xác định sâu răng tại đây

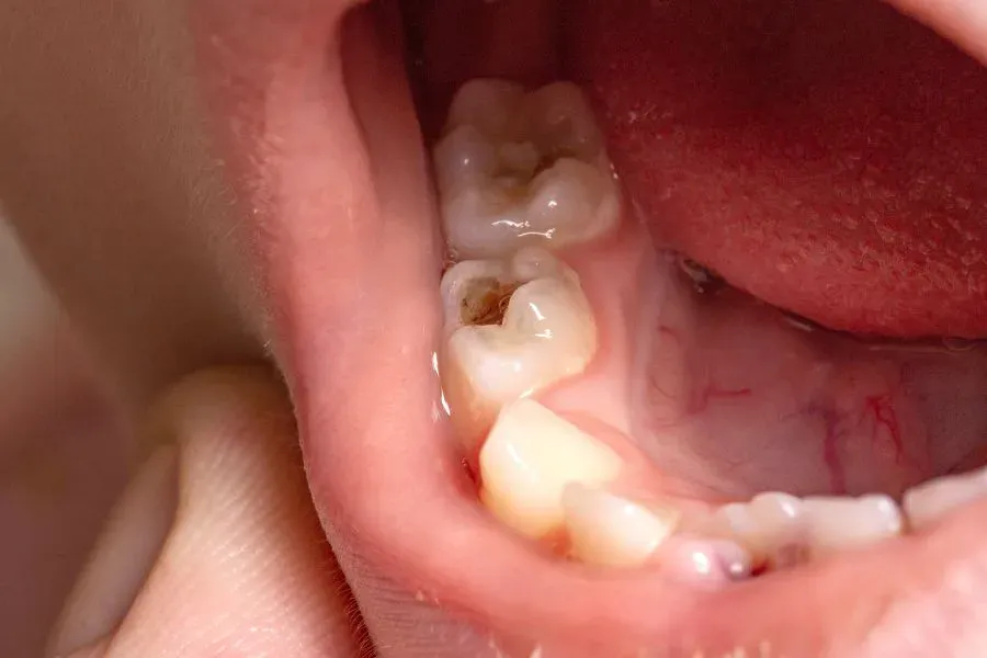
    Biểu hiện của biến chứng sâu răng

    biến chứng sâu răng
    Đau nhức răng là biểu hiện phổ biến nhất của biến chứng sâu răng

    Các biểu hiện cho thấy đã có biến chứng sâu răng:

    • Đau nhức răng: Đây là biểu hiện phổ biến nhất của biến chứng sâu răng. Đau nhức răng có thể xuất hiện một cách đột ngột hoặc âm ỉ, có thể tăng lên khi ăn uống, thay đổi nhiệt độ hoặc áp suất.
    • Sưng nướu: Sưng nướu là một biểu hiện của viêm tủy răng. Sưng nướu có thể xuất hiện ở vùng xung quanh răng bị sâu, có thể kèm theo mủ.
    • Sốt: Sốt là một biểu hiện của viêm tủy răng hoặc áp xe răng. Sốt có thể từ nhẹ đến cao, kèm theo ớn lạnh.
    • Thay đổi màu sắc răng: Răng bị sâu có thể chuyển sang màu nâu, đen hoặc xám.
    • Răng lung lay: Răng bị sâu có thể bị lung lay, thậm chí rụng đi.

    Ngoài ra, biến chứng sâu răng cũng có thể gây ra các vấn đề sức khỏe khác, chẳng hạn như:

    • Viêm mô tế bào: Là tình trạng viêm nhiễm ở mô tế bào xung quanh răng. Viêm mô tế bào có thể gây ra sưng mặt, sốt và thậm chí là nhiễm trùng huyết.
    • Viêm xương hàm: Là tình trạng viêm nhiễm ở xương hàm. Viêm xương hàm có thể gây ra sưng mặt, sốt và đau nhức dữ dội.
    • Viêm ổ răng: Là tình trạng tắc mạch máu ở ổ răng. Viêm tắc mạch ổ răng có thể gây ra đau nhức dữ dội, sưng mặt và thậm chí là tử vong.

    Các biến chứng của sâu răng

    Viêm tủy răng
    Viêm tủy răng là tình trạng viêm nhiễm ở tủy răng, là một phần quan trọng, chứa các dây thần kinh và mạch máu.

    Các biến chứng của sâu răng bao gồm:

    • Viêm tủy răng: Viêm tủy răng là tình trạng viêm nhiễm ở tủy răng, là một phần quan trọng của răng, chứa các dây thần kinh và mạch máu. Viêm tủy răng có thể gây ra các triệu chứng như đau nhức răng, sưng nướu, sốt,…
    • Áp xe răng: Áp xe răng là tình trạng mủ tích tụ ở xung quanh răng. Áp xe răng có thể gây ra các triệu chứng như đau nhức răng dữ dội, sưng nướu, sốt,… Áp xe răng có thể gây ra các biến chứng nguy hiểm như nhiễm trùng huyết, viêm màng não, viêm nội tâm mạc,…
    • Mất răng: Mất răng là tình trạng răng bị lung lay và rụng đi. Mất răng có thể gây ra các vấn đề về ăn nhai, phát âm, thẩm mỹ,…

    Các biến chứng của sâu răng có thể xảy ra khi sâu răng tiến triển đến giai đoạn tủy răng bị viêm nhiễm. Lúc này, vi khuẩn đã xâm nhập vào tủy răng và gây ra tình trạng viêm tủy. Nếu không được điều trị kịp thời, viêm tủy có thể lan rộng ra các tổ chức xung quanh và gây ra các biến chứng nguy hiểm nhất là tử vong.

    Kết luận

    Sâu răng là một bệnh lý răng miệng phổ biến, có thể gây ra nhiều biến chứng nguy hiểm nếu không được điều trị kịp thời. Các biến chứng sâu răng có thể bao gồm viêm tủy răng, áp xe răng, nhiễm trùng huyết, viêm màng não, viêm nội tâm mạc,…

    Để phòng ngừa các biến chứng của sâu răng, cần thực hiện các biện pháp sau:

    • Thực hiện vệ sinh răng miệng đúng cách: Đánh răng ít nhất 2 lần/ngày, sử dụng chỉ nha khoa và nước súc miệng.
    • Khám răng định kỳ 6 tháng/lần: Khám răng định kỳ để phát hiện và điều trị sâu răng sớm.
    • Kiểm soát các bệnh lý toàn thân: Kiểm soát các bệnh lý toàn thân như tiểu đường, suy giảm miễn dịch,… có thể làm tăng nguy cơ sâu răng.

    Tham khảo ngay: Nanoseal thay thế SDF ngừa sâu răng phát triển mà không làm đen răng

    Các chuyên gia, bác sĩ cần thường xuyên nhắc nhở bệnh nhân về các biến chứng của sâu răng để bệnh nhân có thể nhận biết và phòng ngừa hiệu quả.

    🩺
    Biên soạn bởi đội ngũ chuyên môn Đội ngũ Tư vấn ANH & EM Dental – Chuyên gia Thiết bị Nha khoa
    Tổng hợp từ tài liệu chuyên ngành và kinh nghiệm phân phối thiết bị nha khoa
    Bài viết này cung cấp thông tin kỹ thuật và tham khảo về thiết bị nha khoa. Không thay thế cho tư vấn y tế chuyên nghiệp. Hãy tham khảo bác sĩ trước khi đưa ra quyết định điều trị.
    Tác giả

    Thu Trang Trần

    Chuyên gia tư vấn giải pháp nha khoa tại Công ty ANH & EM.