list Nội dung bài viết
    Điều trị tủy lại luôn là một vấn để khó và phức tạp. Để thực hiên được case này nha sĩ phải có kiến thức và chuyên môn cao. Trong bài viết ngày hôm nay chúng ta sẽ cùng đến với 1 case điêu trị lại tủy răng số 47, các bác sĩ hãy cùng tham khảo nhé!

    Trường hợp điều trị – Điều trị tủy lại răng 47

    Điều trị tủy lại

    1. Bệnh nhân nam 39 tuổi tới khám vì lý do cắn vỡ một phần răng 47 có nhu cầu làm chụp răng. Bệnh nhân có tiền sử nhổ răng 48 mọc lệch gây sâu phía xa răng 47. Răng 47 đã được điều trị tủy cách đây gần 1 năm ở phòng khám khác.

    Khám thấy răng 47 vỡ lớn phía xa, còn một phần chất hàn cũ mặt nhai. Lợi xung quanh bình thường. Phía xa có túi lợi sâu (không đo). Gõ dọc gõ ngang không đau.

    Điều trị tủy lại

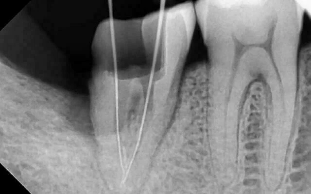
    2. Thực hiện chụp phim cận chóp trước điều trị. Trên phim thấy hình ảnh trám bít ống tủy chưa kín khít (mũi tên vàng) và thiếu ống tủy phía gần (mũi tên đỏ).

    Hướng điều trị: Điều trị tủy lại và làm chụp răng 47.

    Điều trị tủy lại

    3. Gỡ mối hàn cũ và làm sạch ngà mủn. Sử dụng gel che lợi (Denu Dam) cô lập bảo vệ lợi xung quanh và tái tạo thành phía xa (xem thêm hình 5). LUÔN đặt ống hút phẫu thuật ở miệng ống tủy khi bơm rửa. Dung dịch bơm rửa chính NaOCl 5% 50 độ C kết hợp NaCl 0,9% sau mỗi lần đi dụng cụ vào ống tủy. Sử dụng kim bơm rửa nội nha (30G_Ck endo)

    Làm sạch côn gutta cũ theo thứ tự:

    – Mở rộng 1/3 trên bằng gates glidden (Mani-size #3,#4)

    – Làm sạch 1/3 trên bằng file NiTi Sx (protaper universal)

    – Kết hợp với file tay K #10, #15. (MANI-Files) làm sạch 2/3 dưới.

    Điều trị tủy lại

    4. Phát hiện có 3 ống tủy (2 gần, 1 xa). Xác định chiều dài làm việc 17mm, sửa soạn tới file kết thúc Niti 30.04. Bôi trơn file mỗi lần đi file bằng Glyde (Densply)

    Điều trị tủy lại

    5. Bơm rửa sau cùng theo thứ tự:

    – NaOCl 5% ấm mỗi ống 2-3 phút 5ml, kết hợp siêu âm nội nha (Mani _size#25) trong 120s

    – EDTA 17% trong ? phút, kết hợp siêu âm nội nha (Mani_size #25) trong 120s

    – Trung hòa bằng NaOCl.

    – Kết thúc bằng betadine.

    Phần màu xanh là tái tạo bằng gel che lợi (Denu Dam).

     

    Xem thêm: Sỏi tủy và sơ hóa tủy răng

    hình ảnh x-quang

    6. Hàn tủy bằng côn gutta percha F3 và cortisomol bằng phương pháp lèn ngang nguội. Kiểm tra lại độ khít sát bằng phim âm bản.

    Điều trị tủy lại

    7. Ảnh trong miệng sau hàn. 2 ống gần (mũi tên xanh), 1 ống xa (mũi tên đỏ).

    (Nguồn: nha.si)

    Tổng hợp: Công ty Anh & Em

    🩺
    Biên soạn bởi đội ngũ chuyên môn Đội ngũ Tư vấn ANH & EM Dental – Chuyên gia Thiết bị Nha khoa
    Tổng hợp từ tài liệu chuyên ngành và kinh nghiệm phân phối thiết bị nha khoa
    Bài viết này cung cấp thông tin kỹ thuật và tham khảo về thiết bị nha khoa. Không thay thế cho tư vấn y tế chuyên nghiệp. Hãy tham khảo bác sĩ trước khi đưa ra quyết định điều trị.
    Tác giả

    Việt Trần

    Chuyên gia trang thiết bị Nha khoa J. Morita với hơn 10 năm kinh nghiệm trong lĩnh vực tư vấn giải pháp thiết bị lâm sàng toàn diện.