Vì có nhiều kiểu nứt răng khác nhau nên có vô số các biểu hiện và triệu chứng của nó, do đó chẩn đoán nứt răng có thể gặp khó khăn. Mức độ của một vết nứt có thể ảnh hưởng trực tiếp tới tiên lượng của răng. Vì vậy, cần kiểm tra vết nứt trước khi tiến hành điều trị nha khoa. Có những vết nứt nhỏ trên bề mặt men nhưng cũng có những vết nứt làm gãy múi răng. Vết nứt có thể tiến triển vào hệ thống chân răng và ảnh hưởng đến tuỷ răng, đôi khi nó có thể chia đôi răng thành hai mảnh riêng biệt. Vết nứt có thể nằm xiên, kéo dài về phía cổ răng, một khi mảnh thân răng bị vỡ ra thì phần răng còn lại đôi lúc có thể phục hồi lại được nhưng đôi lúc thì không phục hồi lại được. Triệu chứng biểu hiện có thể nhẹ, trung bình, rầm rộ hoặc đôi lúc có thể không có triệu chứng gì cả.
PHÂN LOẠI NỨT RĂNG
Trong nhiều tài liệu, người ta đã cố gắng phân loại nứt răng nhằm phân ra các mức độ nứt, xem vết nứt tiến triển vào cấu trúc răng như thế nào. Dựa vào loại nứt răng, chúng ta có thể đưa ra kế hoạch điều trị và tiên lượng. Tuy nhiên có một điều không may là thông thường người ta không biết được mức độ lan rộng của vết nứt cho đến khi răng được nhổ ra. Do đó, xác định nứt răng thường dựa vào dự đoán chứ không phải là chẩn đoán xác định.
Nứt răng thường được phân làm 3 loại cơ bản:
– Đường rạn
– Gãy (hoặc nứt)
– Chia chân răng
Đường rạn đơn thuần là các vết nứt trong men răng và không mở rộng vào ngà răng, xảy ra một cách tự nhiên hoặc sau chấn thương. Đường rạn phổ biến hơn ở răng người lớn và thường xảy ra ở các răng sau. Nếu chiếu đèn xuyên qua thân răng chúng ta sẽ thấy những đường nhỏ trong men răng và ánh sáng có thể chiếu xuyên qua chúng cho thấy vết nứt chỉ nằm trên phần bề mặt. Đường rạn thông thường không biểu hiện triệu chứng gì. Nếu không ảnh hưởng gì đến vấn đề thẩm mỹ thì không cần điều trị gì.
Vết nứt/gãy đi sâu hơn vào ngà răng chứ không còn nằm trên bề mặt như đường rạn và vết nứt chủ yếu lan về phía gần hoặc xa, liên quan đến gờ bên. Phương pháp nhuộm màu và chiếu đèn rất hữu ích trong việc quan sát đường nứt chân răng. Triệu chứng của nứt răng có thể là không biểu hiện gì cho đến biểu hiện đau rầm rộ. Vết nứt/gãy răng không có nghĩa là răng bị chia làm hai phần, nó vẫn là một khối nguyên vẹn, nhưng nó có thể tiến triển thành chia đôi chân răng thông qua hoạt động ăn nhai. Một răng nứt có thể được điều trị đơn giản bằng trám răng, điều trị nội nha hoặc đôi khi phải nhổ răng, tuỳ thuộc vào hướng của đường nứt, mức độ triệu chứng và khả năng loại bỏ triệu chứng. Điều này làm cho việc điều trị lâm sàng nứt răng khó khăn, đôi lúc là không thể tiên lượng được.
Kết hợp nhiều yếu tố, dấu hiệu và triệu chứng, tổng hợp chúng lại sẽ giúp nhà lâm sàng kết luận được mức độ lan rộng của tình trạng bệnh lý hiện tại và đưa ra được một hội chứng. Tuy nhiên, nứt răng có thể biểu hiện dưới dạng vô số các dấu hiệu và triệu chứng nên khách quan mà nói, việc chẩn đoán xác định thường gặp nhiều khó khăn. Vì lý do này nên tránh thuật ngữ “hội chứng nứt răng”. Các nhân tố chủ quan và khách quan thấy được trong trường hợp nứt răng nhìn chung khá đa dạng; do đó chẩn đoán nứt răng thiên về việc dự đoán là nhiều hơn. Một khi đã đưa ra dự đoán, cần thông báo cho bệnh nhân về những khả năng điều trị thành công sẽ bị giảm so với tiên lượng ban đầu. Vì những phương án điều trị răng nứt có mức độ thành công không cao nên cần phát hiện sớm và có biện pháp phòng ngừa, đồng thời cần cho bệnh nhân ký vào bản cam kết khi điều trị.
Chia chân răng xảy ra khi vết nứt lan rộng từ mặt răng này đến một mặt răng khác, và răng bị chia làm hai phần. Nếu đường chia nằm xiên thì có thể loại bỏ mảnh răng nhỏ đi và răng có thể được phục hồi lại, chẳng hạn như vỡ múi. Tuy nhiên, nếu đường chia mở rộng xuống dưới bờ xương ổ, việc phục hồi răng và điều trị nội nha có thể không có tiên lượng tốt.
Bắt buộc phải tiên lượng chính xác trước khi tiến hành điều trị, tuy nhiên sẽ khó trong những trường hợp nứt răng như vậy. Tiên lượng lâu dài đối với những tình trạng nứt răng vẫn là một vấn đề khó, nhà lâm sàng nên thận trọng khi quyết định điều trị hay không điều trị trong những trường hợp chia chân răng.
NỨT DỌC CHÂN RĂNG
Trong ba loại được phân ra ở trên, chắc chắn rằng nứt răng là phổ biến nhất, trong đó mức độ mở rộng của đường nứt thường khó xác định. Một trong những lý do phổ biến của bệnh lý nội nha tái phát là nứt dọc chân răng, một đường nứt lớn mở rộng theo chiều dọc của trục chân răng. Thường nó đi xuyên qua tuỷ răng và mô nha chu. Thường đường nứt sẽ nằm chính giữa răng chứ không nằm xiên (đường nứt xiên sẽ đi chéo qua gờ bên của răng). Những đường nứt này có thể hiện diện trước khi điều trị nội nha, thứ phát sau điều trị nội nha hoặc phát triển sau khi hoàn thành điều trị nội nha. Vì khó để chẩn đoán nứt dọc chân răng nên thường bác sĩ không nhận ra chúng. Thông thường, đường nứt sẽ gây lên chia đôi chân răng, tiên lượng giữ được răng kém. Vì vậy, đánh giá răng trước điều trị là điều bắt buộc.
NGUYÊN NHÂN
Nứt dọc chân răng có thể từ chấn thương vật lý, chấn thương khớp cắn, thói quen cận chức năng nhai mạnh, hoặc bệnh lý gây tiêu chân răng dẫn đến nứt. Tuy nhiên, nguyên nhân phổ biến nhất của nứt dọc chân răng có thể là do điều trị nha khoa. Các thủ thuật nha khoa chẳng hạn như đặt chốt và pin, hoặc khoan vào vị trí chốt hoặc miếng trám quá chặt cũng có thể dẫn đến nứt dọc chân răng. Thủ thuật nha khoa phổ biến nhất góp phần gây nứt dọc chân răng là điều trị nội nha.Trước khi điều trị, răng sắp trải qua thủ thuật điều trị nội nha có thể đã có nguy cơ nứt dọc chân răng do thường răng đã bị sâu răng, mang một miếng trám lớn, nội tiêu, hoặc chấn thương. Những răng này sẽ dễ bị nứt dọc chân răng sau điều trị nội nha hơn do đã bị mất nước. Tuy nhiên, những nghiên cứu sau này nhận thấy không có sự khác biệt về đặc điểm ngà răng sau điều trị nội nha. Mặc dù các đặc tính vật lý của ngà răng không bị ảnh hưởng của điều trị nội nha nhưng việc mở xoang tuỷ rộng và tạo hình ống tuỷ quá mức sẽ dẫn đến loại nhỏ nhiều ngà răng. Do đó, chân răng có thể yếu hơn và dễ bị nứt dọc hơn. Lực nội ống tuỷ do việc nén quá mức trong lúc trám bít ống tuỷ cũng có thể làm tăng tỉ lệ nứt dọc chân răng.

Hình 1. Phục hồi trong thân răng không khít sát có thể tạo áp lực lên răng và gây nứt dọc chân răng.
XÁC ĐỊNH NỨT DỌC CHÂN RĂNG
Đánh giá nứt dọc chân răng có thể mang tính chủ quan hơn là khách quan, chẩn đoán dựa vào sự tinh ý hơn là khoa học, nhưng việc phát hiện sớm rất quan trọng. Nhiều dấu hiệu nếu chú ý bác sĩ sẽ nghi ngờ có nứt dọc chân răng. Cần hỏi về tiền sử y khoa và tiền sử nha khoa của bệnh nhân. Kiểm tra lâm sàng, nha chu và chụp X quang. Răng thông thường sẽ đau với triệu chứng từ nhẹ đến rầm rộ. Khi răng đau, bệnh nhân thường than phiền rằng đau xuất hiện ở răng khi nhai theo một hướng cụ thể nào đó. Cũng cần lưu ý đến vị trí giải phẫu của răng. Răng cối lớn thứ hai hàm dưới có tỉ lệ nứt dọc chân răng cao hơn, tiếp theo đó là răng cối lớn thứ nhất hàm trên và răng cối nhỏ hàm trên. Múi răng lớn, lực nhai không cân bằng và chấn thương khớp cắn là những yếu tố làm dễ cho việc nứt răng.
BỆNH SỬ Y KHOA
Bệnh sử có thể dường như không liên quan gì đến nứt dọc chân răng. Nhưng nếu bệnh nhân có chấn thương vùng mặt thì có thể giúp cho việc chẩn đoán phân biệt. Chẳng hạn như bệnh nhân bị rối loạn co giật có thể dễ bị chấn thương răng, hoặc tật nghiếng răng mạnh hoặc những tổn thương thể chất thứ phát (hình 1-34). Thêm vào đó, bệnh nhân đột quỵ, đau tim hoặc mắc một số bệnh lý khác dẫn đến không kiểm soát được ý thức cũng có thể dẫn đến chấn thương răng.

Hình 2. Chấn thương vật lý do chơi thể thao có thể gây nên nứt dọc chân răng. Đường nứt ở hình trên ở răng một trẻ 7 tuổi bị chấn thương do động kinh.
BỆNH SỬ NHA KHOA
Sẽ có nhiều bệnh sử nha khoa khác nhau liên quan đến nứt dọc chân răng khi hỏi bệnh nhân. Bệnh nhân có thể mô tả việc cắn đá lạnh hoặc thói quen cận chức năng hoặc bảo rằng triệu chứng bắt đầu là “răng thấy đau khi cắn theo một cách nhất định”. Những mô tả dạng như “nó chỉ đau khi tôi vô tình cắn vào một rãnh nào đó” cũng c
thể gợi ý nứt dọc chân răng. Những mô tả khác liên quan đến điều trị nha khoa gần đây cũng rất quan trọng. Đau khu trú ở răng sau khi đặt chốt hoặc trám răng cũng gợi ý nứt dọc chân răng. Việc miếng trám bị sút lặp đi lặp lại cũng gợi ý nứt giữa thành trục của xoang trám; vì vùng nứt di chuyển nên miếng trám bị lỏng và rơi ra. Tương tự, miếng trám ngược bị rơi ra cũng có thể thứ phát sau nứt dọc chân răng. Do vùng nứt phía chóp răng, miếng trám ngược ống tuỷ sẽ sút ra. Điều trị nội nha tốt nhưng tổn thương không được chữa lành cũng có thể gợi ý nứt dọc chân răng, đặc biệt nếu răng vẫn không lành khi điều trị lại hoặc phẫu thuật cắt chóp.

Hình 3. Nhiễm trùng tuỷ răng tái phát sau điều trị nội nha có thể là do nứt dọc chân răng
ĐẶC ĐIỂM LÂM SÀNG CỦA NỨT DỌC CHÂN RĂNG
Tìm vết nứt
Nứt dọc chân răng đôi lúc có thể quan sát được trên lâm sàng. Sử dụng kính hiển vi phẫu thuật là rất hiệu quả khi thăm dò vết nứt, gãy trên bề mặt thân – chân răng. Dò tìm vết nứt có thể gây đau, thậm chí là làm mảnh răng lung lay, điều này gợi ý chia chân răng. Để xác định độ lan rộng của vết nứt, đặt áp lực lên các múi răng gần bất kỳ vết nứt nào.

Hình 4. Thường khó chẩn đoán nứt dọc chân răng trừ khi là phải tháo bỏ miếng trám cũ
Thử nghiệm gõ/cắn
Răng bị nứt dọc chân răng có thể biểu hiện nhạy cảm khi gõ theo một hướng nhất định. Dùng cán của gương nha khoa để gõ vào từng múi răng. Các nhà sản xuất cũng thiết kế đặc biệt “cây cắn” để bệnh nhân cắn vào từng phần của răng.
Đánh giá miếng trám/phục hình trên răng
Răng mang miếng trám nhỏ hoặc không mang miếng trám, không có sâu răng nhưng tuỷ răng chết thì khả năng nghi ngờ cao rằng bị nứt dọc chân răng. Ngoại trừ những trường hợp chấn thương khớp cắn, bệnh lý hệ thống (như nhiễm Herpes Zoster trong miệng), hoặc phẫu thuật vô tình làm chết tuỷ răng (như phẫu thuật xoang, phẫu thuật chỉnh hình, nhổ răng và cấy chuyển răng), nứt dọc chân răng cũng là một trong những lý do khiến răng chết tuỷ. Một răng có bệnh lý nội nha tái phát, răng này trước đây đã được đóng chốt và là răng trụ của một cầu răng vói thì cũng có thể nghi ngờ do nứt dọc chân răng. Lực xoắn trong quá trình ăn nhai tác động lên cầu vói và lực nhún có thể tạo áp lực lên chân răng dẫn đến nứt dọc. Các triệu chứng diễn ra dai dẳng ở một răng mang miếng trám trong thân răng cũng gợi ý trường hợp nứt dọc chân răng. Nhìn chung thông thường sẽ có lý do khiến răng chết tuỷ hoặc đau. Bác sĩ cần đánh giá điều trị phục hồi răng đang có, tìm lý do răng chết tuỷ hoặc các triệu chứng khác, và trong các chẩn đoán phân biệt cần bao gồm cả trường hợp nứt dọc chân răng.

Hình 5. Răng không mang miếng trám hoặc mang miếng trám nhỏ, răng không sâu răng hoặc sâu nhỏ nhưng tuỷ răng bị hoại tử.

Hình 6. Răng đã điều trị nội nha là một phần của phục hình cầu răng vói
Nhiều lỗ dò
Hình ảnh nhiều lỗ dò ở răng nghi ngờ cũng gợi ý một trường hợp nứt dọc chân răng. Do vết nứt có thể hiện diện trên ít nhất hai mặt của răng nên vùng nhiễm trùng dò mủ ra nhiều vị trí khác nhau, tạo nên hình ảnh nhiều lỗ dò.
Kính hiển vi nha khoa
Kính hiển vi được dùng trong lĩnh vực y học trong nhiều năm qua, kính hiển vi nha khoa là một công cụ vô giá trong quá trình điều trị nội nha. Với khả năng phóng đại lên đến 25 lần, ánh sáng tuyệt vời, bác sĩ có thể quan sát những chi tiết trong thân răng và ngoài thân răng với độ chính xác cao. Đôi lúc một vết nứt có thể được nhìn thấy bên ngoài răng trước khi điều trị nội nha, sau khi mở xoang tuỷ độ sâu của nó cũng có thể quan sát được trong thân răng bằng kính hiển vi nha khoa.

Thông thường cách duy nhất để xác định xem liệu có nứt dọc chân răng không là phẫu thuật bộc lộ trực tiếp. Để quan sát tốt vùng nghi ngờ có nứt răng, bác sĩ cần lật vạt đủ độ dày đến màng xương, bắt đầu từ rãnh nướu đi về phía chóp. Thông thường, chỉ cần một vạt nhỏ là đủ, một khi đã lật vạt, nếu có nứt dọc chân răng thì có thể thấy được vết nứt sau khi loại bỏ mô hạt nằm bên trên. Nhiều khi có một vùng nứt xương liên quan đến vết nứt dọc chân răng. Sử dụng kính hiển vi điện tử nha khoa để chiếu sáng và giúp quan sát tổn thương tốt hơn.

Hình 8. Khi nghi ngờ nứt dọc chân răng, đôi lúc phải lật vạt để quan sát tốt hơn.
Phương pháp chiếu sáng và dùng thuốc nhuộm
Đôi khi cần phải tháo miếng trám trên răng để có thể quan sát vết nứt rõ hơn. Nhuộm bằng Xanh Methylene bằng cách bôi thuốc lên bề mặt răng bằng đầu tăm bông, thuốc nhuộm sẽ quyên qua vùng nứt và xác định vị trí đường nứt. Chiếu sáng cũng có thể hữu ích hơn bằng cách chiếu trực tiếp ánh sáng có cường độ cao vào bề mặt răng tại đường nối men – xi măng để xem mức độ lan rộng của vết nứt. Phần răng gần với nguồn sáng sẽ hấp thu ánh sáng và phát sáng, trong khi phần răng phía bên kia của vết nứt không được sánh sáng truyền qua sẽ có màu xám hơn. Mặc dù có thể phát hiện được vết nứt bằng thuốc nhuộm hoặc ánh sáng nhưng độ sâu của vết nứt không thể lúc nào cũng xác định được.

Hình 9. Đôi khi không có dấu hiệu rõ ràng cho thấy lý do răng có triệu chứng. (A) Hình ảnh X quang cho thấy răng cối lớn thứ hai hàm dưới có miếng trám sâu mức độ trung bình. (B) Thử tuỷ cho thấy răng chết tuỷ. Không chiếu sáng nên không thấy có đường nứt nào cả. (C) Chiếu ánh sáng có cường độ cao lên bề mặt răng, quan sát thấy vết nứt ở mặt ngoài. (D) Chiếu sáng vào mặt xa – trong của răng.
ĐÁNH GIÁ X QUANG CỦA NỨT DỌC CHÂN RĂNG
Đôi lúc nứt dọc chân răng hoặc chia chân răng có thể chẩn đoán rõ ràng bằng X quang. Tuy nhiên, hầu hết trường hợp đường nứt nằm trên một mặt phẳng và không nhận ra được trên X quang. Trong một nghiên cứu ở những răng đã được nhổ, các nhà nghiên cứu cho rằng sẽ thấy được vết nứt khi tia X được chiếu trong vòng 4 độ đối với mặt phẳng nứt. Nếu nằm ngoài góc này thì không thấy rõ được đường nứt. Họ cũng nhận thấy rằng nếu có nứt dọc thì chúng chỉ thấy được trên X quang trong 35.7% trường hợp.
Một cách khác để xác định nứt dọc hoặc chia chân răng là quét CAT hoặc dùng phim CBCT. Kỹ thuật này tốt hơn X quang thông thường nhưng ít khi có sẵn trong phòng nha.

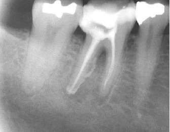
Hình 10. Nứt dọc chân răng dẫn đến chia đôi chân răng, điều này có thể phát hiện dược trên X quang

Hình 11. Mặc dù nứt dọc chân răng không phải lúc nào cũng thấy được trên X quang nhưng với một góc chụp đúng thì có thể quan sát rõ đường nứt.
Đường xi măng
Nứt dọc chân răng hoặc chia chân răng có thể mở rộng thừ mặt gần đến mặt xa của răng, thường đường nứt này xảy ra sau khi thực hiện điều trị nội nha. Đôi lúc sẽ thấy một hình ảnh “đường xi măng” dọc hoặc băng ngang qua chân răng. Phần xi măng bị đẩy qua đường nứt, sau đó có thể thấy được trên X quang. Nha sĩ có thể nhầm với hình ảnh phần xi măng bị đẩy qua ống tuỷ phụ, nhưng trong trường hợp nứt răng thì phần xi măng sẽ bị đẩy ra khuêch tán hơn và không có hình ảnh ống tuỷ bên đổ ra từ ống tuỷ chính.

Hình 12. Hình ảnh “đường xi măng”
Hình ảnh mất xương như “vòng sáng”
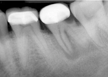
Thông thường khi một răng chết tuỷ thì hình ảnh X quang của nó sẽ thay đổi, mất xương xảy ra ở vùng chóp. Tuy nhiên, khi một răng bị nứt dọc hoặc chia chân răng, vùng mất xương có khuynh hướng cho hình ảnh “vòng sáng”, thấu quang xung quanh chân răng. Vùng thấu quang cũng có thể đi dọc toàn bộ một bên chân răng và thường được gọi là tổn thương “dạng chữ J”.

Hình 13. Hình ảnh tiêu xương “dạng chữ J”
Vùng mất xương khu trú
Bác sĩ cần chú ý đến những thay đổi bất thường trên X quang như mất xương rộng nhưng chỉ khu trú ở một răng và không có bệnh lý nha chu tiến triển. Điều này có thể gợi ý nứt dọc chân răng hoặc chia chân răng. Khi nghi ngờ có nứt dọc chân răng, bác sĩ cần chú ý tìm những dấu hiệu sau:
- Ống tuỷ rộng hơn bình thường so với ống tuỷ của chân răng cạnh đó
- Vùng thấu quang xuất hiện giữa trục chính của vật liệu trám bít ống tuỷ (hoặc chốt) và thành ống tuỷ.
- Vùng mất xương ở phía gần và xa chân răng. Khi nứt dọc chân răng hoặc chia chân răng mở rộng từ phía gần đến phía xa của răng thì thường toàn bộ dây chằng nha chu quanh răng sẽ giãn rộng không điển hình

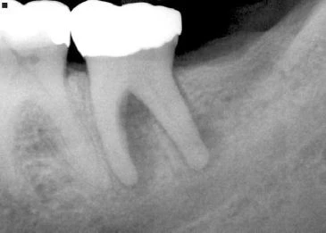
Hình 14. Tiêu xương rộng khu trú quanh một răng, những răng cạnh đó bình thường, gợi ý một trường hợp nứt dọc chân răng

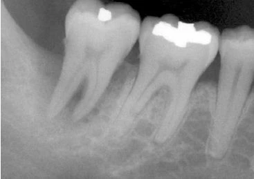
Hình 15. Khi răng có ống tuỷ rộng hơn so với răng cùng loại hoặc so với răng cạnh nó thì nên nghi ngờ có nứt dọc chân răng

Hình 16. Khi có khoảng trống giữa chất trám bít ống tuỷ và thành ống tuỷ thì nghi ngờ cao có chia chân răng.
ĐÁNH GIÁ TÌNH TRẠNG NHA CHU CỦA NỨT DỌC CHÂN RĂNG
Thông thường, nứt dọc chân răng hoặc chia chân răng liên quan đến việc tiêu xương tiếp giáp với vùng gãy. Nếu không được phát hiện sẽ tạo nên một vùng khiếm khuyết trong xương dạng chữ V mở rộng về phía chóp. Túi nha chu liên quan đến quá trình mất xương này thường có giới hạn hẹp và sâu; thường sẽ có thêm một khiếm khuyết tương tự như vậy ở phía mặt răng đối diện 180 độ (chẳng hạn như mặt phía bên kia của đường nứt). Khi đặt cây thăm dò nha chu vào túi, nó sẽ nằm chặt trong túi, giới hạn việc di chuyển cây từ bên này qua bên kia. Tổn tương nha chu này là điểm đặc trưng trên lâm sàng của nứt dọc chân răng hoặc chia chân răng.

Hình 17. Khám tình trạng nha chu
TIÊN LƯỢNG CỦA NỨT DỌC CHÂN RĂNG
Một bệnh nhân đồng ý điều trị nội nha cần phải được thông báo về tiên lượng cuộc điều trị. Bác sĩ cần giải thích những phát hiện mang tính chủ quan và khách quan dẫn đến nghi ngờ răng bị nứt dọc hoặc chia chân răng, sau đó tiên lượng khả năng chữa lành. Tiên lượng có thể như sau:
– Tiên lượng tốt: nếu nứt thân răng và mảnh thân răng không di chuyển, bệnh nhân không có triệu chứng gì.
– Tiên lượng trung bình: nếu răng nhạy cảm khi thăm dò đường nứt mặt nhai, mảnh răng không di động, việc tiên lượng trở nên khó khăn hơn. Bệnh nhân cần hiểu được rằng điều trị nội nha có thể không giải quyết được các triệu chứng và tiên lượng cuộc điều trị chỉ ở mức khá thôi. Nếu thực hiện điều trị nội nha, cần kiểm tra các thành bên trong xoang tuỷ cẩn thận, tốt nhất là nên dùng kính hiển vi nội nha (DOM) có chiếu sáng để xác định xem đường nứt có lan rộng vào vùng buồng tuỷ và ống tuỷ không. Nếu quan sát thấy điều này, cần thông báo với bệnh nhân một lần nữa về tiên lượng của cuộc điều trị. Răng cần được trám kín và tránh dùng chốt trong trường hợp này, sau đó làm một phục hồi toàn phần gia cố tại vị trí các múi răng.
– Tiên lượng xấu: nếu mảnh răng di động. Thông thường khó nhận biết được điều này, do đó cần phóng đại tổn thương để quan sát. Nếu tuỷ răng hoại tử mà răng sâu nhỏ hoặc có mang miếng trám nhỏ, có túi nha chu sâu, hẹp và khu trú trong khi mô nha chu xung quanh bình thường, lúc này khả năng lớn răng bị nứt dọc và có thể phải cân nhắc đến việc nhổ răng.
—-
Nguồn: Kenneth M. Hargreaves, Stephen Cohen. 2011. “Cohen’s Pathways of the pulp” .10th edition. Mosby, Inc.
Biên dịch: Lương Thị Quỳnh Tâm
