Thăm khám ( phần 1): khám ngoài mặt
Theo nguyên tắc chẩn đoán căn bản thì bác sĩ cần quan sát bệnh nhân như khi người ta chuẩn…
Đọc tiếpClinical excellence: Implant, Piezosurgery, Chẩn đoán hình ảnh, Nội nha sinh học
Theo nguyên tắc chẩn đoán căn bản thì bác sĩ cần quan sát bệnh nhân như khi người ta chuẩn…
Đọc tiếpSự đổi mới về nha khoa kỹ thuật số đang định hình lại các quy trình quản lý và thực…
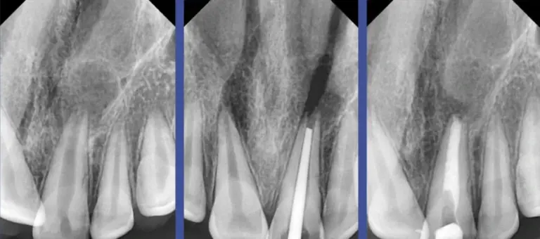
Đọc tiếpPhân tích các hình ảnh X quang của bệnh lý nội nha là một phần không thể thiếu trong chẩn…
Đọc tiếpKhái niệm Các khái niệm truyền thống về giải phẫu chóp răng dựa trên ba mốc giải phẫu và mô…
Đọc tiếpWebinar Nội Nha: Giảm thiểu thất bại nội nha - tự tin vươn tới chóp cùng Dr. Amr ! Bạn…
Đọc tiếp