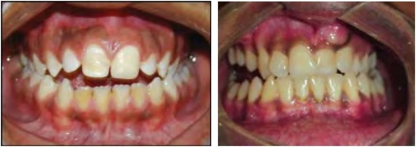
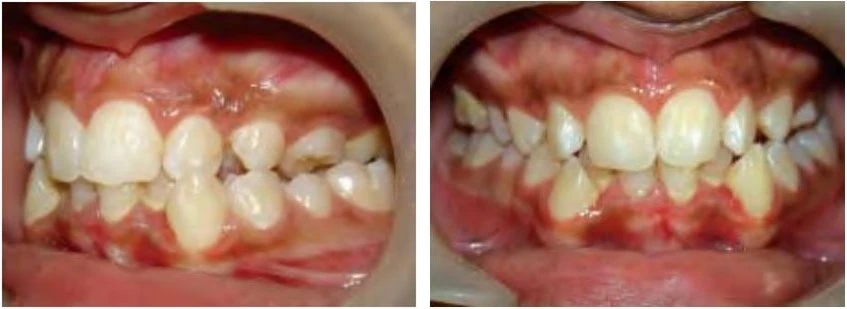
Phân loại sai khớp cắn là mô tả những nét sai biệt của răng mặt dựa trên những nét đặc trưng phổ biến hoặc thông thường. Có nhiều phân loại được kiến nghị bởi nhiều nhà nghiên cứu khác nhau tùy vào kinh nghiệm và những điều họ thấy được trên lâm sàng. Các bác sĩ học chỉnh nha đều phải hiểu được những phân loại này vì chúng thường được dùng trong giao tiếp, và đôi khi những đặc điểm trong một phân nhóm sẽ có một phương thức điều trị tương tự nhau.
Tùy thuộc vào cấu tạo của miệng và hàm mặt, sai khớp cắn có thể được chia thành ba loại:
- Răng nằm sai vị trí
- Không có tương xứng giữa các cung răng hoặc các phần của răng – xương ổ răng.
- Mất cân xứng về xương
Ba loại này có thể tồn tại riêng biệt trên mỗi bệnh nhân hoặc kết hợp và liên quan lẫn nhau, tùy thuộc vào vấn đề nằm ở đâu – trên từng cung răng riêng biệt hay các phân đoạn răng – xương ổ răng hay cấu trúc xương bên dưới.
1) RĂNG NẰM SAI VỊ TRÍ
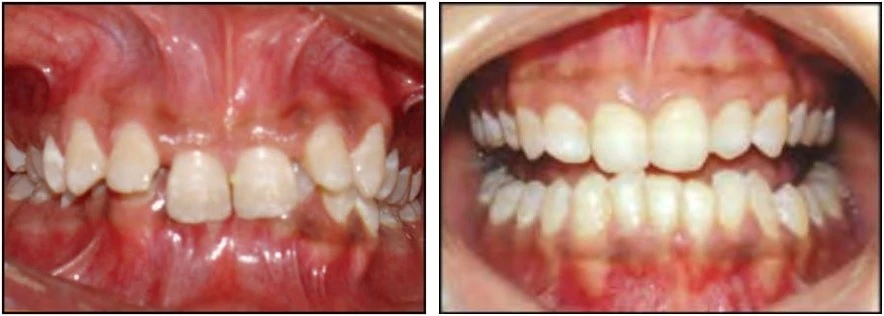
Đây là tình trạng sai vị trí của từng răng so với răng cạnh nó trên cùng một cung hàm. Trường hợp này còn được gọi là sai khớp cắn bên trong cung răng.
Loại này có thể chia thành các phân loại sau:
1.1) RĂNG NGHIÊNG GẦN
Răng bị nghiêng về phía gần là tình trạng thân răng nằm về phía gần so với chân răng.

1.2) RĂNG NGHIÊNG XA
Răng bị nghiêng về phía xa, đây là tình trạng thân răng nằm về phía xa so với chân răng

1.3) RĂNG NGHIÊNG TRONG
Răng nghiêng bất thường về phía trong (phía lưỡi ở cung hàm dưới hoặc phía khẩu cái ở cung hàm trên)

1.4) RĂNG NGHIÊNG NGOÀI
Răng gặp tình trạng nghiêng bất thường về phía môi hoặc má

1.5) KHỚP CẮN THẤP
Răng nằm dưới mặt phẳng nhai và thấp hơn so với những răng khác trên cung hàm

1.6) KHỚP CẮN CAO
Răng nằm cao hơn mặt phẳng nhai so với những răng khác trên cung hàm

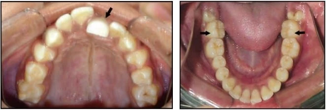
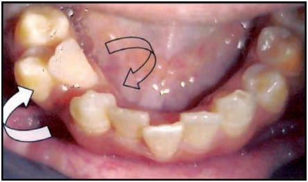
1.7 RĂNG XOAY
Đây là tình trạng những răng di chuyển xung quanh trục dọc của nó. Có hai kiểu xoay răng:
Gần trong hoặc xa ngoài
Mặt gần của răng nghiêng vào trong, hay nói cách khác mặt xa của thân răng nằm về phía ngoài so với mặt gần.

Xa trong hoặc gần ngoài
Mặt xa của răng nghiêng vào trong, hay nói cách khác mặt gần của thân răng nằm về phía ngoài so với mặt xa của nó.

Xem thêm: ,Các kỹ thuật tăng độ chính xác khi gắn mắc cài
Xem thêm: ,Sửa chữa vẩu hai hàm và đóng khoảng nhổ răng hàm nhỏ
Thuật ngữ này dùng để chỉ những trường hợp hai răng bị đổi chỗ cho nhau, chẳng hạn răng nanh đổi vị trí cho răng cửa bên.

2) KHÔNG CÂN XỨNG GIỮA CÁC CUNG HÀM
Kiểu sai khớp cắn này đặc trưng bởi sự tương quan bất thường giữa các răng và các nhóm răng của một cung hàm với cung hàm còn lại. Tình trạng không cân xứng giữa các cung răng có thể xảy ra theo ba mặt phẳng trong không gian – mặt phẳng đứng dọc, mặt phẳng đứng ngang hoặc mặt phẳng ngang
2.1 SAI KHỚP CẮN THEO MẶT PHẲNG ĐỨNG DỌC
Trường hợp này có thể được chia thành hai phân loại:
Khớp cắn nằm về phía trước so với bình thường
Với loại này, khi các răng gặp nhau tại khớp cắn trung tâm thì cung răng hàm dưới nằm về phía trước hơn.

Khớp cắn nằm về phía sau so với bình thường
Ở đây, khi các răng gặp nhau tại khớp cắn trung tâm thì cung răng hàm dưới nằm về phía sau hơn.

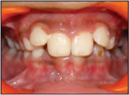
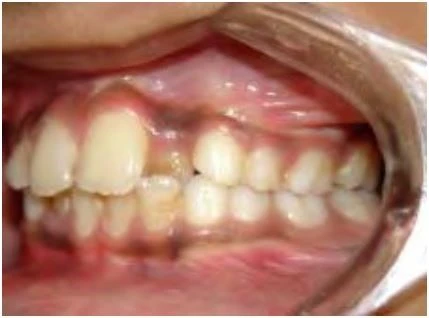
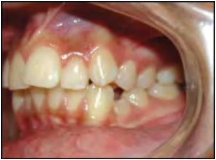
2.2 SAI KHỚP CẮN THEO MẶT PHẲNG ĐỨNG NGANG
Trường hợp này có thể chia làm hai phân loại tùy thuộc vào độ phủ theo chiều dọc của các răng giữa hai hàm.
Cắn sâu
Với loại này, độ cắn phủ theo chiều dọc giữa răng hàm trên và răng hàm dưới lớn hơn so với bình thường.

Cắn hở
Với loại này thì không có độ phủ hoặc chỉ có một khoảng trống giữa các răng hàm trên và hàm dưới khi bệnh nhân cắn lại ở khớp cắn trung tâm. Một trường hợp cắn hở có thể gặp ở răng trước hoặc răng sau.

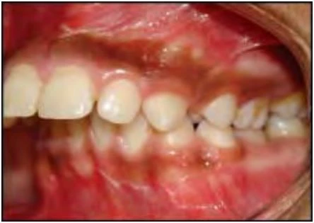
2.3 SAI KHỚP CẮN THEO MẶT PHẲNG NGANG
Trường hợp này bao gồm nhiều kiểu cắn chéo khác nhau. Thông thường các răng hàm trên nằm về phía ngoài so với các răng hàm dưới, nhưng đôi khi do cung răng hẹp hoặc vì một số lý do khác mà tương quan này bị xáo trộn. Chẳng hạn một hoặc nhiều răng hàm trên nằm về phía trong so với các răng hàm dưới, tình trạng này khác nhau về mức độ, vị trí và số lượng răng liên quan.


3) SAI KHỚP CẮN DO XƯƠNG
Loại sai khớp cắn này do những khiếm khuyết của xương nền bên dưới. Khiếm khuyết có thể là về kích thước, vị trí hoặc tương quan xương giữa hai hàm.
Xem tiếp: ,Phân loại sai khớp cắn (Phần 2): Phân loại sai khớp cắn của Angle
Biên dịch: B.s Lương Thị Quỳnh Tâm
