Năm 1899, Edward Angle đưa ra quan điểm phân loại sai khớp cắn dựa trên tương quan gần – xa của răng, các cung răng và hàm. Ông xem răng cối lớn vĩnh viễn thứ nhất hàm trên như một điểm giải phẩu cố định trên hàm và là chìa khóa của khớp cắn. Phân loại của ông căn cứ vào tương quan giữa răng này với các răng khác ở hàm dưới. Đã hơn 100 năm qua kể từ khi Angle đưa ra hệ thống phân loại của mình, nhưng đến giờ nó vẫn là hệ thống phân loại thường được sử dụng nhất. Nó đơn giản, dễ sử dụng và truyền tải chính xác những gì thu nhận được.
Angle phân loại sai khớp cắn thành 3 dạng, và vào thời điểm hiện tại, nó được trình bày dưới hình thức dễ chấp nhận nhất. Ba dạng này được gọi là “Hạng” và được thể hiện dưới dàng số La Mã I, II, III.
SAI KHỚP CẮN HẠNG I
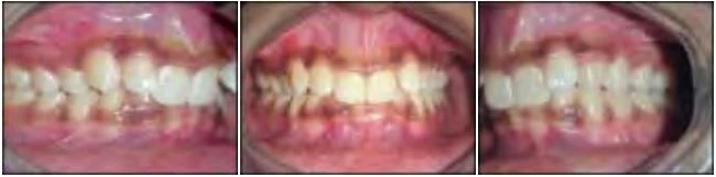
Cung răng hàm dưới trong mối tương quan gần – xa bình thường với cung răng hàm trên, với múi ngoài gần của răng cối lớn thứ nhất hàm trên ăn khớp, với rãnh ngoài của răng cối lớn thứ nhất vĩnh viễn hàm dưới, và múi trong gần của răng cối lớn vĩnh viễn thứ nhất hàm trên khớp với rãnh mặt nhai của răng cối lớn vĩnh viễn thứ nhất hàm dưới khi các hàm ở tư thế nghĩ và các răng nằm xấp xỉ vị trí khớp cắn trung tâm.

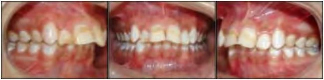
SAI KHỚP CẮN HẠNG II
Cung răng hàm dưới nằm về phía xa so với cung răng hàm trên. Múi ngoài gần của răng cối lớn vĩnh viễn thứ nhất hàm trên ăn khớp trong khoảng giữa múi ngoài gần răng cối lớn vĩnh viễn thứ nhất hàm dưới và mặt xa của răng cối nhỏ thứ hai hàm dưới.
Ngoài ra, mũi trong gần của răng cối lớn vĩnh viễn thứ nhất hàm trên khớp về phía gần so với múi trong gần của răng cối lớn vĩnh viễn thứ nhất hàm dưới.
Angle chia sai khớp cắn hạng II thành hai chi dựa vào góc ngoài trong của các răng cửa hàm trên, như sau:
Hạng II chi 1
Cùng với tương quan răng cối lớn điển hình của sai khớp cắn hạng II, răng cửa hàm trên chìa ra ngoài.

Hạng II chi 2
Cùng với tương quan răng cối điển hình của sai khớp cắn hạng II, các răng cửa hàm trên, các răng cửa giữa hàm trên có vị trí theo chiều trước sau gần như bình thường hoặc hơi nghiêng nhẹ vào trong, trong khi đó các răng cửa bên hàm trên nghiêng về phía ngoài hoặc về phía gần.

Hạng II một bên
Khi tương quan răng cối hạng II chỉ ở một bên cung răng

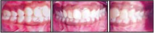
SAI KHỚP CẮN HẠNG III
Cung răng hàm dưới có tương quan về phía gần so với cung răng hàm trên; với múi ngoài gần của răng cối lớn thứ nhất hàm trên khớp với khoảng giữa mặt xa của múi xa răng cối lớn thứ nhất hàm dưới và mặt gần của múi gần răng cối lớn thứ hai hàm dưới.
Xem thêm: ,Chỉnh nha(Phần 1): Giới thiệu.
Xem thêm: ,Thăm Khám ( Phần 1): Khám ngoài mặt.
Hạng III giả
Đây không phải là một trường hợp hạng III thật sự nhưng lại có biểu hiện tương tự như hạng III. Ở đây xương hàm dưới trượt về phía trước trong hõm khớp do tiếp xúc sớm của răng hoặc một vài lý do khác khi hai hàm khớp lại ở cắn khớp trung tâm.
Hạng III một bên
Thuật ngữ này dùng để chỉ sai khớp cắn một bên.
Phân loại của Angle là phân loại sai khớp cắn toàn diện đầu tiên. Nó vẫn còn được chấp nhận và sử dụng thường qui cho đến ngày hôm nay, và là cơ sở cho việc giao tiếp giữa các nhà lâm sàng với nhau. Mặc dù vậy nó vẫn có một số khiếm khuyết sau:
Bảng 13.1. Nhược điểm của phân loại Angle
1. Angle giả định rằng, răng cối lớn thứ nhất là điểm cố định trên cung hàm nhưng điều này chắc chắn là không phải như vậy.
2. Angle phụ thuộc hoàn toàn vào các răng cối lớn thứ nhất để tiến hành phân loại. Do đó, phân loại không thể thực hiện được nếu mất răng cối lớn thứ nhất hoặc áp dụng có bộ răng sữa.
3. Vấn đề sai khớp cắn chỉ được xem xét trên mặt phẳng theo 2 chiều trước và sau. Nhưng trên mặt phẳng ngang hoặc mặt phẳng đứng ngang không được xem xét.
4. Vấn đề trên từng răng riêng biệt không được cân nhắc
5. Không có sự phân biệt rõ ràng giữa sai khớp cắn do răng và xương
6. Nguyên nhân của vấn đề sai khớp cắn không được đề cập chi tiết.
Biên dịch: B.s Lương Thị Quỳnh Tâm
Xem tiếp: Phân loại sai khớp cắn (phần 3): Các thay đổi phân loại sai khớp cắn Angle
