Hôm nay, ,Blog nha khoa xin hướng dẫn cụ thể các bước phục hình trực tiếp và gián tiếp đồng thời trên 3 răng kèm theo chú thích.

1. Khám ban đầu: Bệnh nhân phàn nàn về cơn đau xảy ra ở nhiều răng trên cùng một bán cung hàm.

2. Phim cánh cắn cho thấy các răng nguyên nhân.

3. Dung dịch phát hiện sâu răng hỗ trợ loại bỏ các mô bệnh.

4. Xoang hàn đã được làm sạch. Đây là thời điểm tốt nhất để lựa chọn kế hoạch điều trị.

5. Sau khi gỡ đê cao su, thực hiện phẫu thuật làm dài thân răng lâm sàng răng 4.5 để tạo khoảng sinh học đúng.

6. Đặt đê cao su và thực hiện điều trị tủy răng 4.5. Bắt đầu phục hình sơ bộ cho các răng.

7. Phục hình răng 4.5 với chốt: thử chốt.

8. Phục hình răng 4.5 với chốt: gắn chốt bằng dual cement.

9. Phục hình răng 4.5 với chốt: tái tạo bằng phục hồi quang trùng hợp.

10. Lấy dấu chi tiết chính xác bằng vật liệu polyether.

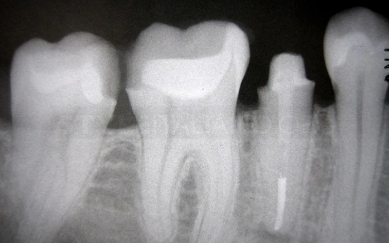
11. Chụp phim X-quang sau khi tái tạo để đánh giá khoảng sinh học và độ dày của phục hình inlay.

12. Hình ảnh lâm sàng phục hình sau cùng.

13. Mẫu làm việc.

14. Phục hình inlay sẵn sàng để gắn.

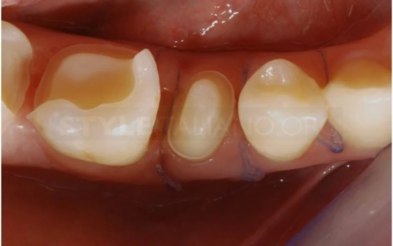
15. Hình ảnh ở buổi hẹn thứ hai. Tháo phục hình tạm (Telio Ivoclar Vivadent), cắt chỉ và đặt đê. Chú ý khả năng mô lành thương chỉ sau 1 tuần.

16. Thử inlay.

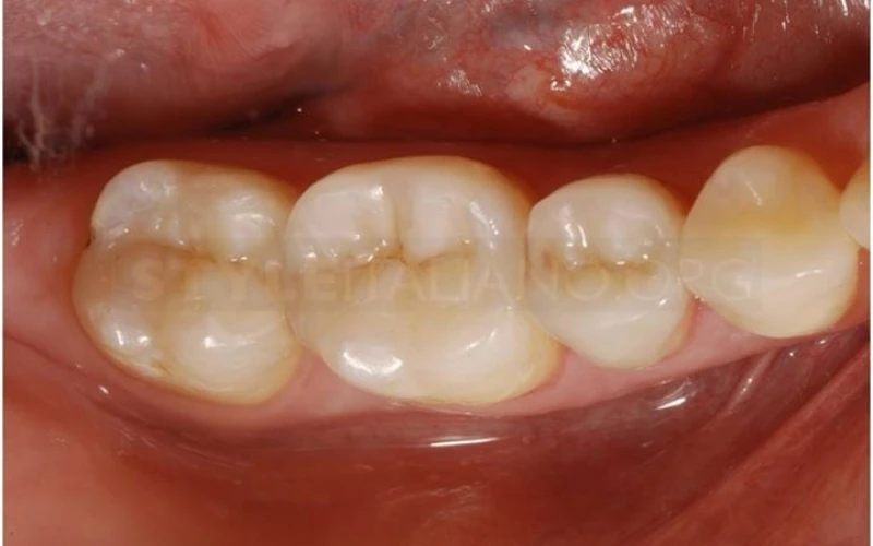
17. Hình ảnh sau điều trị.

18. Phim cánh cắn sau điều trị. Tất cả các phục hình đều là composite, trực tiếp hoặc gián tiếp.
(Nguồn: Hoàng Thái)
#xquang #xquangnhakhoa #phụchình #phụchìnhnhakhoa
