Điều trị những trường hợp bị xâm phạm khoảng sinh học chỉ ở mặt ngoài
Khi bờ phục hình quá gần mào xương ổ, viêm nướu xảy ra, và cách để giải quyết tình trạng này là dời bờ phục hình ra xa xương hoặc là dời xương xuống xa bờ phục hình, nhằm tạo khoảng cách 2.5-3mm giữa bờ phục hình và xương.

Có 2 cách để dời bờ phục hình ra xa xương, một là chỉnh hình làm trồi răng (phương pháp này được trình bày ở phần tiếp theo), hay là mài bờ phục hình cũ sao cho liền mạch với bề mặt chân răng, đồng thời tạo ra bờ phục hình mới ở khoảng cách so với xương 2.5-3mm. Phương pháp thứ hai thích hợp với những đường hoàn tất bờ xuôi, còn đối với đường hoàn tất bờ vai hoặc bờ cong thì rất khó thực hiện.
Hầu hết để giải quyết tình trạng xâm phạm khoảng sinh học, người ta dời xương xuống xa bờ phục hình, nhưng kéo theo đó là khả năng có thể tụt nướu trong tương lai. Nếu như một phục hình đơn lẻ ở răng cửa bị xâm phạm khoảng sinh học ở mặt ngoài, phẫu thuật cắt xương nên là lựa chọn đầu tiên của chúng ta: lật vạt, cắt xương, khâu vạt lại đúng vị trí ban đầu. Nếu như nướu dày thì khả năng tụt nướu về sau khó xảy ra, ngược lại nướu mỏng thì nguy cơ tụt nướu cao hơn, song chúng ta có thể can thiệp bằng cách ghép mô liên kết.
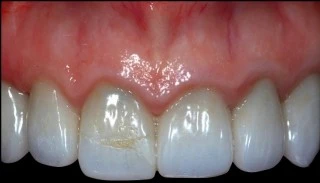
Một case bị phạm khoảng sinh học ở mặt ngoài răng 21

– Xương cách viền nướu 3.5-4mm (đường màu vàng)
– Độ sâu khe nướu mặt ngoài R21 = 1.5mm (đường màu xanh)
– Bờ phục hình R21 cách mào xương 1.5-2.5mm (đường màu đen)

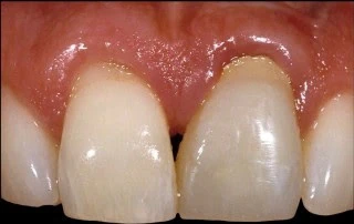
Phẫu thuật cắt xương mặt ngoài nhằm tạo khoảng cách 3mm với bờ phục hình

3 tháng sau phẫu thuật

Phục hình sau cùng

Vấn đề đặt ra ở đây là nếu như khoảng sinh học không chỉ bị xâm phạm ở mặt ngoài mà còn ở mặt bên nữa thì sao? Nếu thực hiện loại bỏ xương như trên cho mặt bên, chúng ta sẽ đối diện với nguy cơ làm mất gai nướu, tạo lổ hổng ở kẻ răng. Vậy phương pháp điều trị cho các trường hợp này phải như thế nào: xin phép được trình bày ở phần tiếp theo
Điều trị xâm phạm khoảng sinh học ở mặt bên một răng trước đơn lẻ
Trong phần trước chúng ta đã tìm hiểu về phương pháp cắt xương để điều trị xâm phạm khoảng sinh học ở mặt ngoài răng trước đơn lẻ. Phần này trình bày phương pháp điều trị đối với trường hợp bị xâm phạm khoảng sinh học ở mặt bên của một răng trước.
Bệnh nhân vối R11 có mô răng mặt bên gãy dưới xương, được phục hồi chốt và cùi giả và mang phục hình tạm, ở đây khoảng sinh học bị xâm phạm ở mặt bên

Nếu như sử dụng phương pháp cắt xương như ở phần trước nhằm bộc lộ 4mm răng ra khỏi xương (2,5mm từ bờ phục hình đến xương, 1.5mm vòng đệm cần thiết để nâng đỡ phục hình) chúng ta sẽ làm mất gai nướu và tạo lỗ hổng ở kẻ răng, điều này rõ ràng rất mất thẫm mỹ.

Thay vào đó chúng ta sẽ thực hiện chỉnh hình làm trồi răng để bộc lộ mô răng ra khỏi xương 4mm (2,5mm từ bờ phục hình đến xương, 1.5mm vòng đệm cần thiết để nâng đỡ phục hình)

Có 2 cách để làm trồi răng:
1. Làm trồi chậm khoảng 0.5-1mm hằng tháng, tiên lượng tốt, thường được sử dụng đặc biệt là khi các răng khác cũng cần được chỉnh hình
2. Làm tồi răng nhanh trong vòng 4 tuần, áp dụng khi điều trị một răng đơn lẻ, các răng khác không cần chỉnh hình, cần phải điều trị duy trì ít nhất 12 tuần đề phòng lún răng trở lại
Sau đây là các bước điều trị cho case trên:
Tháo răng tạm

Chỉnh hình làm trồi răng

Sau điều trị


Kết luận: trong tất cả các cases làm trồi răng để điều trị phạm khoảng sinh học, kích thước phần chân răng nằm trong xương sẽ bị giảm đi trong. Tỷ lệ thân chân 1/1 là tối thiểu để thực hiện phục hình, do đó cần xem xét cẩn thận vấn đề này trước khi tiến hành điều trị.
Trong phần tiếp theo và cũng là phần cuối của loạt bài về ,khoảng sinh học, chúng ta sẽ thảo luận phương pháp điều trị xâm phạm khoảng sinh học trên các cases phức tạp hơn: ở mặt ngoài và mặt bên của tất cả các răng trước.
Xem thêm: ,Khoảng sinh học
Xem thêm: ,Những tiêu chí khi tiến hành cách mài cùi răng
Điều trị xâm phạm khoảng sinh học trên những case phức tạp
Case lâm sàng sau đây trình bày một trường hợp bị xâm phạm khoảng sinh học ở các răng trước tại cả mặt bên và mặt ngoài. Bờ phục hình chỉ cách mào xương 1-1.5mm, bệnh nhân có trình trạng viêm nướu rõ, đường viền màu xám đen ở vùng cổ răng cho thấy sự phát triển của vi khuẩn dưới bờ phục hình.

Hướng phẫu thuật cắt xương được đưa ra nhằm tại lập lại khoảng cách đúng của bờ phục hình và mào xương. Nhưng kèm theo đó là nguy cơ tụt nướu, đặt biệt khi cắt xương ở cả mặt ngoài và mặt bên nguy cơ này càng cao hơn
Trước hết cần tháo các mão răng, nhằm quan sát rõ hơn tình trạng các răng, loại đường hoàn tất (nếu bờ xuôi, có thể mài mịn nhằm dời bờ phục hình ra xa xương)

Đặt phục hình tạm (có thể thấy rõ bờ phục hình cách xương 1-1.5mm)

Tiến hành cắt xương, tạo khoảng cách 3mm với bờ phục hình

Khâu lại vạt theo đúng vị trí ban đầu, tránh dời về phía chóp

Sau điều trị


Nguồn: Nhaisaigon
#khoảngsinhhọcrăng #khoảngsinhhọc #khoảngsinhhọclàgì #xâmphamkhoảngsinhhọc #cáchđiềutrịxâmphạmkhoảngsinhhọc #khoảngsinhhọccủarăng #khoảngsinhhọctrongnhakhoa
