Nội dung bài viết
Ống dinh dưỡng
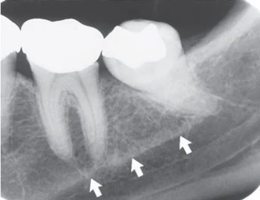
Ống dinh dưỡng chứa một bó thần kinh mạch máu và có hình ảnh dạng đường thấu quang với chiều rộng khá đồng đều. Chúng thường được thấy nhất ở phim quanh chóp ở hàm dưới chạy dọc từ phía dưới ống thần kinh xương ổ răng dưới đến một chóp răng hoặc vào khoảng giữa các răng cửa hàm dưới. Thấy được chúng trong khoảng 5% trường hợp trên tất cả bệnh nhân và thường ở người nam, da đen, người lớn tuổi và những người có huyết áp cao hoặc bệnh lý nha chu tiến triển. Chúng cũng cho thấy gờ xương mỏng, hữu ích khi đánh giá implant. Vì chúng có giải phẫu là khoảng trống bao quanh bởi thành là xương vỏ nên hình ảnh thường cho thấy biên giới xương dày. Đôi khi ống dinh dưỡng vuông góc với xương vỏ cho hình ảnh một vòng tròn thấu quang giống như hình ảnh thấu quang của bệnh lý.
Gờ móng
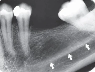
Gờ móng là một mào xương không đều nằm nên bề mặt trong của thân xương hàm dưới. Kéo dài từ vùng răng cối lớn thứ ba đến bờ dưới xương hàm dưới vùng cằm, nó đóng vai trò là chỗ bám của cơ hàm móng. Hình ảnh X quang chạy theo chiều nghiêng xuống và ra trước từ vùng răng cối lớn thứ ba đến vùng răng cối nhỏ, ở xấp xỉ mức chóp các răng sau.

Đôi khi hình ảnh chồng lên hình ảnh của các chân răng cối lớn. Bờ viền của hình ảnh gờ móng thường không rõ nhưng khá rộng với kích thước khác nhau. Tuy nhiên, cũng có thể thấy điều ngược lại, tại vị trí gờ tương đối đậm đặc và biên giới sắc nét.

Hõm tuyến dưới hàm
🩺
Đã được kiểm duyệt chuyên môn
Bác sĩ Nha khoa Chuyên nghiệp
– Chuyên gia Thiết bị Nha khoa, ANH & EM Dental
Thạc sĩ Y khoa, Hội đồng Nha khoa Việt Nam
Bài viết này cung cấp thông tin kỹ thuật và tham khảo về thiết bị nha khoa.
Không thay thế cho tư vấn y tế chuyên nghiệp. Hãy tham khảo bác sĩ trước khi đưa ra quyết định điều trị.
