Scan Cruxell Hàn Quốc là dòng máy quét phim kỹ thuật số đang chiếm được lòng tin của nhiều bác sĩ trên thế giới cũng như Việt Nam. Nhắc đến Scan CRX-1000 là nhắc đến những tính năng vượt trội cùng hình ảnh chân thực, sắc nét và dịch vụ hậu bán hàng độc đáo.

Vì sao hãng Cruxell quyết định tăng giá 10% máy Scan CRX-1000?
Nhằm mang đến thế hệ máy quét phim chất lượng cũng như dịch vụ đi kèm uy tín, từ tháng 3/2022, hãng Cruxell sẽ có một chút thay đổi nhỏ trong chiến lược giá của sản phẩm. Cụ thể, hãng sẽ tăng giá bán máy Scan CRX-1000 lên 10%, nhưng đi kèm theo đó là tăng thêm 03 năm bảo hành cho mỗi máy.
Chúng tôi tin rằng, quyết định này cũng chính là động lực và lời khẳng định chắc chắn mà hãng Cruxell tự tin sẽ mang đến một sản phẩm chất lượng hơn và uy tín hơn đến với các quý Nha sĩ!

Bác sĩ nhận được những giá trị gì khi máy quét phim Scan Cruxell tăng giá 10%?
Hoàn toàn yên tâm với 36 tháng bảo hành từ Trung tâm bảo hành tiêu chuẩn Nhật Bản
Thay vì 24 tháng bảo hành như trước đây, bác sĩ sẽ càng yên tâm hơn nữa với 36 tháng bảo hành. Đặc biệt, không ngắt đoạn doanh thu bởi chế độ bảo hành độc nhất. Duy nhất tại Anh & Em, gửi máy dự phòng tới nha khoa trong quá trình bảo dưỡng máy quý bác sĩ đang dùng. Chính vì thế, Bác sĩ sẽ không lo lắng bị ảnh hưởng đến quá trình điều trị của mình.
Chi phí khấu hao rất nhỏ bởi Scan có độ bền thách thức thời gian
Với tấm phim mỏng, mềm, dễ dàng uốn cong, cùng thiết kế gọn nhé bác sĩ có thể hoàn nói không với: đứt dây, hỏng, rơi, vỡ hay chuột cắn…
Đọc thêm: Nâng tầm chất lượng phòng khám với máy quét phim Scan CRX-1000
Chẩn đoán nhanh hơn nhờ tính tiện lợi của Scan
Với thiết kế nhỏ gọn, màn hình phim hiển thị luôn trên máy (không cần kết nối với máy tính) bác sĩ hoàn toàn có thể di chuyển dễ dàng và chẩn đoán bệnh ngay tại chỗ đặc biệt là đối với các phòng khám nhiều ghế và nhiều tầng.

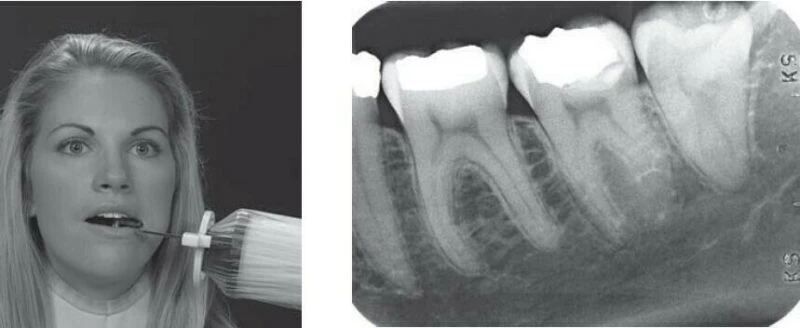
Thân thiện với bệnh nhân với những tấm phim tinh tế
Điều này thể hiện rõ nhất là Cruxell có nhiều kích thước phim từ nhỏ đến lớn, phù hợp với mọi khuôn miệng và độ tuổi của bệnh nhân. Chất liệu phim “thân thiện” với người dùng, hoàn toàn không gây kích ứng cho bệnh nhân và chỉ mất vài giây để hiển thị sau khi bác sĩ hay kỹ thuật viên đưa phim vào.
Sang trọng và chuyên nghiệp, tăng 20% doanh thu cho phòng khám
Thay vì nhét cả miếng sensor cùng dây dợ lằng nhằng gây mất mỹ quan, scan CRX-1000 với thiết kế tinh tế giúp quy trình làm việc của bác sĩ chuyên nghiệp hơn. Hình ảnh chân thực hiện ngay trên máy giúp bác sĩ có thể dễ dàng đưa ra chẩn đoán ngay với bệnh nhân. Việc sử dụng thiết bị sang trọng, chuyên nghiệp cũng là một cách tạo lòng tin nơi khách hàng cũng như marketing hiệu quả.
Tóm lại
Điều quan trọng khi đầu tư một thiết bị không chỉ nằm ở giá cả mà còn là những giá trị nhận về. Đối với Scan CRX-1000, bác sĩ chắc chắn sẽ nhận được nhiều hơn thế. Tại sao ư? Hãy tự mình kiểm chứng nhé ạ!
