list Nội dung bài viết

    Răng cối lớn một hàm dưới

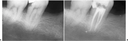
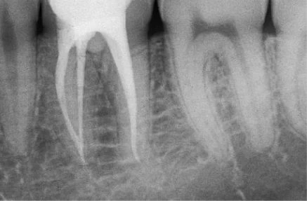
    Mở xoang tủy nhìn chung răng cối lớn một hàm dưới có 2 chân phân biệt hình tròn hay thường là elip, ống tủy ở chân xa (hình 11.106) và 2 ống tủy ở chân răng gần. Trong 90% trường hợp chúng đổ ra 2 lỗ chóp khác nhau (hình 11.107) và 10% chúng hợp lại và đổ ra 1 lỗ chóp (hình 11.108).

    Hình 11.106. Xoang tủy ở 1 R36: miệng củanhững ống tủy gần khá tròn còn ở ống tủy xa thì thường có hình elip.

    Hình 11.107. Các ống gần của răng cối lớn một dưới có những lỗ chóp phân biệt. Chú ý rằng có nhiều ống tủy phụ ở 1/3 chóp (Courtsey of Dr. M. Scianamblo).

    Hình 11.108. Các ống gần của răng cối lớn dưới hợp chung lại rồi đổ ra ở cùng một lỗ chóp. Có thể thấy nhiều ống tủy phụ ở chân xa.

    Những biến thể:

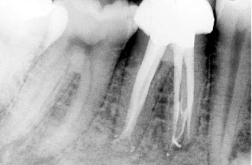
    –  Trong 35% trường hợp có sự hiện diện của 4 ống tủy. Chân xa có 2 ống tủy, 1 ở phía ngoài và 1 ở phía trong (hình 11.109).

    –  Ống tủy xa thứ 2 thỉnh thoảng được thấy ở 1 chân riêng biệt ở phía xa trong. Nó hơinhỏ hơn và nằm ở phía gần chân răng xa ngoài (hình 11.110).

    –  Ống tủy xa thứ 2 thỉnh thoảng được thấy ở 1 chân riêng biệt ở phía xa trong. Nó hơinhỏ hơn và nằm ở phía gần chân răng xa ngoài (hình 11.110).

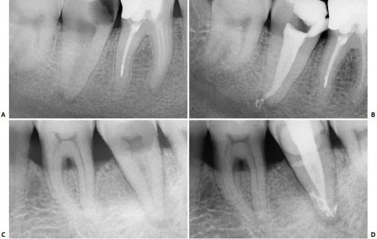
    Hình 11.109. A. Phim sau điều trị của  RCL 1 dưới. B. Nhìn theo chiều gần xa trên cùng răng đó có thể thấy có 2 ống tủy ở chân xa, các ống tủy chân gần mặc dù gặp nhau ở 1/3 giữa nhưng vẫn có 2 lỗ chóp. C. Xoang tủy ở R36 với 2 ống tủy ở chân gần và 2 ống tủy ở chân xa. D.Trong trường hợp răng cối lớn dưới khác cũng có 4 ống tủy, mỗi ống tủy có 1 lỗ chóp riêng.

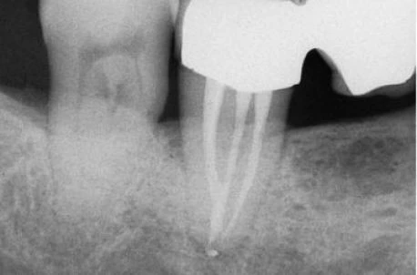
    Hình 11.110. A. Một vùng hơi cản quang trong vùng chẽ R36 vì chân xa ngoài. Dễ dàng nhận ra phần laminadura bao quanh chân răng này và hình ảnh ống tủy. B. Hình ảnh răng cối lớn một dưới sau khinhổ ra. C. Phim sau điều trị R46 với 2 chân xa và 2 ống tủy xa.

    Hình 11.111. A.  R46 với 1 ống tủy xa và 3 ống tủy gần  B.  Phim sau điều trị, 3 ống tủy gần chồng lên nhau trên X Quang.

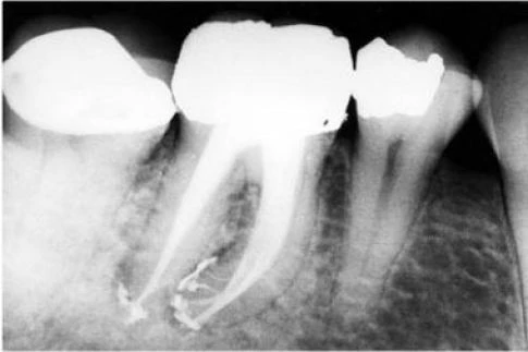
    Hình 11.112. Trong một số trường hợp khác, ống tủy gần giữa được thấy ở 1/3 chóp của chân gần.

    Hình 11.113. Điều trị lại R46 vì điều trị sót 2 ống tủy: ống xa ngoài và ống gần giữa. A. Phim trước điều trị. B. Xoang tủy sau khi bộc lộ 4 ống tủy. Chú ý sự hiện diện của 1 chỗ lõm ở vùng eo giữa 2 chân gần. C. Một file số 10 đi vào chỗ lõm và  rất dễ dàng đi vào ống tủy gần giữa, ống này có một lỗ chóp riêng. D. Xoang tủy sau khi sửa soạn 5 ống tủy E. Ba file chỉ ra rằng có 3 ống tủy riêng biệt ở chân gần  F. Phim sau điều trị. G. Một góc chụp khác cho thấy hình ảnh 5 ống tủy. H. 7 năm sau điều trị, tổn thương lành hoàn toàn.

    Thương tổn trước đây không phải do vật liệu trám ra ngoài mà vì vi khuẩn còn lại trong ống tủy bị bỏ sót.

    Cũng có những trường hợp 2 ống tủy chân gần và 3 ống tủy chân xa. Rồi những trường hợp với 2 ống tủy ở chân gần và 3 ống tủy ở 3 chân xa. Một biến thể thường thấy nhất là răng cối lớn dưới thường có 2 ống tủy ở chân xa. Nếu chỉ có 1 ống tủy thì nó thường có hình dải băng hẹp, elip hoặc hình quả thận, dài ra theo chiều ngoài trong.

    Cần lưu ý rằng khi tạo xoang tủy thì không nên tạo hình tam giác (theo một số tác giả có mô tả) mà nên tạo hình tứ giác hoặc hình như hình ¼ vòng tròn với các góc được làm tròn. Hình dạng tam giác cổ điển có thể cản trở việc nhận biết sự hiện diện của ống tủy thứ 2 ở chân xa (Ví dụ ống tủy xa trong) và cũng cản trở việc làm sạch và tạo hình  những ống tủy đã được bộc lộ (hình 11.114).

    Hình 11.114. A. Lối vào tủy hình tam giác. B. Mặc dù độ hẹp của  nó, dụng cụ cũng có thể vào ống tủy; tuy nhiên hoạt động của dụng cụ bị cản trở ở phần gần miệng vào lỗ ống tủy. C. Xoang tủy được mở rộng, loại bỏ hoàn toàn trần buồng tủy. D. Dụng cụ đi thẳng đến 1/3 chóp mà không gặp phải trở ngại ở phần miệng ống tủy. Chú ý rằng không liên quan đến đỉnh múi.

    Một điều nữa, rằng là nha sĩ không được khuyên nên chú trọng vào hình dáng của xoang tủy mà nên chú trọng đến giải phẫu của sàn tủy. Xoang tủy vì vậy mà không có một hình dạng nào được định trước.

    Bắt đầu mở xoang tủy bằng mũi kim cương tròn với tay khoan siêu tốc. Đặt mũi khoan ngang mức rãnh trung tâm (hình 11.115). Chuyển động mũi khoan tròn, xoắn ốc để tạo một xoang tủy dạng hình phễu. Một phim X-quang cho phép định hướng mũi khoan về phía sừng tủy rộng nhất  (hình 11.116 A-C). Với một mũi khoan tròn dài và tay khoan chậm để lấy đi phần ngà bên dưới (hình 11.116 D,E); Sau đó, dùng mũi khoan tự hướng dẫn với tay khoan siêu tốc để hoàn thành và làm loe (hình 11.116 F-I).

    Hình 11.115. Xoang tủy có hình dạng tương ứng với sự phản ánh của sàn buồng tủy lên mặt nhai. Điểm đến của mũi khoan được xác định ở rãnh trung tâm.

    Hình 11.116. A. Cắt buồng tủy theo chiều gần xa. B. Mũi kim cương tròn hướng về buồng tủy rộng nhất. C. X-quang hiển thị ở giai đoạn xuyên qua. D. Dùng mũi khoan tròn và tay khoan chậm để lấy hết những phần còn lại của trần buồng tủy. E. X-quang trong giai đoạn mở rộng.

    Hình 11.116.  (tiếp theo) F.  Mũi kim cương đầu trơn trong giai đoạn hoàn thành và làm loe.  G.  X-quang của giai đoạn này. H. Xoang tủy đã hoàn thành. I. X-quang xoang tủy.

    Chỉ khi chỉ có một ống xa khá tròn thì mới nên tạo xoang tủy có hình tam giác (hình 11.114 C). Trong tất cả những trường hợp khác, hình dạng xoang tủy nên là hình tứ giác với cạnh nhỏ hơn tương ứng thành xa.

    Một khi xoang tủy đã được chuẩn bị, ống tủy xa là ống tủy dễ dàng định vị nhất. Vì vậy, nếu gặp khó khăn trong việc tìm những ống tủy khác, khuyên nên bắt đầu điều trị ống xa trước. Những dung dịch rửa sẽ giúp xác định những miệng ống tủy khác. Nếu cho rằng ống tủy gần ngoài nằm dưới múi tương ứng của nó thì cần phải loại bỏ phần múi để tìm thấy miệng ống tủy và hoàn tất quá trình điều trị. Rõ ràng rằng việc khôi phục lại một múi răng sau khi đã điều trị nội nha thành công tốt hơn là có một múi răng nguyên vẹn nhưng điều trị nội nha thất bại. Tuy nhiên, vì trong tất cả những răng sau, việc bảo tồn múi là rất cần thiết nên cần bảo tồn nó nếu như không cần thiết.

    Ống xa thường có hướng khá thẳng, ngoại trừ hầu hết phần chóp thì thường nghiêng xa (hình 11.117). Lý do vì sao cong về phía xa cũng dễ hiểu, nếu như biết rằng hàm dưới vẫn còn phát triển về phía gần khi răng đã hoàn thành việc đóng chóp. Chóp chân răng hình thành xung quanh một cuống mạch máu, vào một thời điểm nào đó cũng sẽ nghiêng theo chiều gần xa.

    Điều quan trọng là phải biết ống tủy có cong và dùng dụng cụ nhỏ, uốn cong trước. Một dụng cụ thẳng với kích thước không phù hợp sẽ bị cản trở bởi thành ngoài của chỗ cong, tạo cảm giác như dụng cụ đã đến tiếp xúc với chỗ thắt ở phía chóp hoặc chỗ nối cement ngà. Một dụng cụ nhỏ, uốn cong trước thì lại có thể dễ dàng vượt qua được đoạn cong ở phía chóp.

    Hình 11.117. A. Phim trươc điều trị: ống tủy được điều trị bởi bột nhão iodoformic  B. Làm cong file 8: dễ dàng qua chỗ cong của ống tủy  C. Phim sau điều trị. D. Phim 2 năm sau. Chỗ cuối của vị trí trám bít ống tủy cách đỉnh chóp ít nhất 3mm.

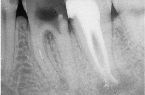
    Các ống tủy của chân gần cong hơn, nó cong về phía gần ngay bên dưới miệng ống tủy và rồi phần còn lại cong về phía xa. Thỉnh thoảng, ống tủy gần ngoài có miệng đối diện phía má, có thể thấy được điều này khi thấy cán dụng cụ đưa vào đối diện về phía lưỡi, trong trường hợp này buộc phải khoan tới múi để dụng cụ có một đường vào thẳng tới 1/3 chóp (hình 11.14).

    Khi có sự hiện diện của ống gần cong – và vì vậy chân răng chứa ống tủy congnày – sử dụng phương pháp dùng file “chống đoạn cong” là điều bắt buộc khi chuẩn bị ống tủy những chân này. Ống gần của răng cối lớn một dưới cùng với ống gần ngoài của răng cối lớn một trên là 2 vị trí thường xảy ra mài mòn, xuyên thủng nhất (hình 11.118).

    Hình 11.118. Bỏ qua việc áp dụng phương pháp “chống đoạn cong” dẫn đến kết quả mài mỏng quá mức thành chân răng và gây xuyên thủng A. Phim trước điều trị. Chú ý độ mỏng của chân gần và độ cong nhẹ của nó. B. Phim sau điều trị: thành xa của chân gần bị mài thủng.

    Trong 10% trường hợp, 2 ống tủy có giao nhau tại chóp với 1 lỗ chóp (hình 11.119). Sự giao nhau này, theo quan điểm của tác giả, dễ dàng nhận thấy sau khi làm sạch và tạo hình ít nhất một ống tủy hơn là so với tại thời điểm bắt đầu điều trị. Quả thật, 2 cây file nhỏ có thể đồng thời đi vào 2 ống tủy khác nhau xuống chóp, thậm chí nếu 2 ống tủy giao nhau tại cùng 1 lỗ chóp, nếu nó đủ rộng thì có thể để 2 file đi qua. Đưa 1 dụng cụ lớn hơn vào 1 ống tủy và 1 cái nhỏ hơn vào ống tủy kia có thể dẫn đến cây nhỏ bị gãy.

    Hình 11.119. Phim sau điều trị cho thấy các ống gần gặp nhau tại cùng một lỗ chóp.

    Theo quan điểm của tác giả, sử dụng côngutta-percha trong 1 ống tủy vừa được chuẩn bị và 1 dụng cụ nhỏ ở ống chưa chuẩn bị thì an toàn hơn. Nếu 2 ống tủy giao nhau, sẽ có dấu in lại của dụng cụ trên côn gutta-percha (hình 11.120). Vì việc mài hết thành ống tủy thường gặp ở ống gần ngoài hơn là ống gần trong của răng cối lớn một dưới. Khuyên nên luôn luôn bắt đầu làm sạch và tạo hình 2 ống của chân gần, đầu tiên là ống gần trong sau đó dùng 1 cây côn gutta-percha và 1 dụng cụ nhỏ tìm xem có giao nhau giữa ống gần ngoài và ống gần trong tại cùng một lỗ chóp không.

    Cần tiết kiệm phần ngà của ống gần ngoài bằng cách mở rộng ống tủy ít, làm giảm nguy cơ mài hết thành chân răng gây thủng.

    Hình 11.120. A, B. Đặt gutta-percha vào trong ống tủy gần trong đã được làm sạch và tạo hình, còn file 8 được đặt vào trong ống gần ngoài chưa được sửa soạn. Tại chỗ giao nhau, trâm đâm xuyên qua côn gutta percha.

    Răng cối lớn thứ hai hàm dưới

    Các biến thể giải phẫu của răng cối lớn thứ hai hàm dưới thậm chí còn nhiều hơn răng cối lớn thứ nhất. Nhìn chung, đặc điểm giải phẫu của nó tương tự răng cối lớn thứ nhất hàm dưới; chỉ có sự khác biệt là nhiều khi nó nhỏ hơn, đối xứng hơn và khoảng cách giữa các chân răng gần nhau hơn.

    Tuy nhiên, nhiều lúc hình dáng của nó có thể kì quái, khác với hình thái bình thường vì nó có thể có những sự kết hợp khác nhau:

    * Một ống tủy ở trong một chân xa, trong khi ở chân gần có hai ống tủy riêng biệt (hình 11.121) hoặc hai ống tủy gặp nhau tại một lỗ chóp (hình 11.122).

    Hình 11.121. Răng cối lớn thứ hai hàm dưới với một ống tủy xa và hai ống tủy gần. A. Phim trước điều trị. B. Phim sau điều trị hai năm.

    Hình 11.122. Một răng cối lớn thứ hai hàm dưới với một ống tủy xa và hai ống tủy gần giao nhau tại cùng một lỗ chóp. A. Phim trước điều trị. B. Phim sau điều trị.

    * Những trường hợp khác, chân gần có thể có một ống tủy ở chính giữa, vì vậy răng có một ống tủy ở phía xa và một ống tủy ở phía gần (hình 11.123). Để chắc chắn rằng chân gần có một ống tủy đơn, cần phải kiểm tra vị trí miệng ống tủy ở sàn buồng tủy và chụp X-quang theo nhiều hướng khác nhau. Đôi lúc có thể tìm thấy dấu hiệu thủng sàn ở phía trong xoang tủy do nha sĩ trước đã cố gắng tìm ống tủy gần trong trong khi chân gần chỉ có một ống tủy.

    Hình 11.123. Răng cối lớn thứ hai hàm dưới với một ống tủy ở chân xa và một ống tủy ở chân gần. A. Xoang tủy: Hai ống tủy tại đáy của rãnh nằm giữa sàn tủy. Bên phải có dấu của mũi khoan (hướng về mặt lưỡi). Nha sĩ trước đó đã cố tìm ống tủy gần trong vốn không tồn tại. B. Phim sau điều trị: hai ống tủy nằm ở hai chân răng riêng biệt, thông nhau rõ ràng ở vị trí lỗ chóp của hai chân.

    * Răng có thể có ba ống tủy theo kiểu cổ điển nhưng chúng có thể có hướng bất thường. Chẳng hạn, miệng của ống tủy gần trong có thể được tìm thấy gần phía xa hơn ống tủy ngoài gần (hình 11.124). Có thể có một chân răng gần với một ống tủy, trong khi chân răng xa có hai ống tủy gặp nhau ở chóp răng (hình 11.125). Trong trường hợp này, răng sẽ có ba ống tủy nhưng sẽ có hình ảnh như nó được xoay 1800.

    Hình 11.124. Răng cối lớn thứ hai hàm dưới với ba ống tủy theo kiểu cổ điển có hướng hơi bất thường: ống gần trong gần với ống xa. A. Phim trước điều trị. B. Xoang tủy: miệng của ống gần trong rất gần với ống tủy xa, đến nỗi nó dường như là ống tủy xa trong. D, distal canal; ML, mesiolingual canal; MB, mesiobuccal canal. C. Phim trong lúc điều trị cho thấy hướng của ống tủy gần trong. D. Xoang tủy cho thấy các ống tủy sạch và được tạo hình. E. Phim sau điều trị.

    Hình 11.125. Một răng cối lớn thứ hai hàm dưới với một ống tủy gần và hai ống tủy xa đổ chung ra cùng một lỗ chóp. A. Xoang tủy: hình ảnh ba miệng ống tủy nhưng dường như răng đã được xoay 1800. B. Phim sau hai năm.

    *Răng có thể có một chân răng với hai ống tủy, một ống tủy gần và một ống tủy xa, hai ống tủy này riêng biệt (hình 11.126) hoặc gặp nhau tại chóp răng (hình 11.127).

    Hình 11.126. Phim sau điều trị của răng cối lớn thứ hai hàm dưới với hai ống tủy riêng biệt trong một chân răng.

    Hình 11.128. Răng cối lớn thứ hai hàm dưới với một chân răng và một ống tủy. A. Phim trước điều trị. B. Phim sau điều trị. C. Trong trường hợp khác này, từ phim trước điều trị của răng cối lớn thứ hai dường như thấy rằng hai chân răng chụm lại với ba ống tủy theo kiểu cổ điển. D. Sau khi làm sạch và tạo hình, răng bộc lộ một chân răng với một ống tủy. Lưu ý rằng đây là một trường hợp giải phẫu nội nha lạ.

    Khá hiếm là trường hợp răng cối lớn thứ hai hàm dưới có thể có ba chân răng với ba ống tủy riêng biệt, một ống tủy xa và hai ống tủy gần, (hình 11.129) hoặc ba chân răng với bốn ống tủy, một ống xa ngoài, một ống xa trong và hai ống tủy gần (hình 11.130).

    Hình 11.129. Hai ống tủy gần của răng cối lớn thứ hai được nhổ ra thuộc về hai chân răng riêng biệt. A. Nhìn từ phía trong. B. Nhìn từ phía ngoài.

    Hình 11.130. Răng cối lớn thứ hai hàm dưới với hai ống tủy nằm trong hai chân răng riêng biệt. A. Phim trước điều trị bộc lộ sự hiện diện của một chân răng, chân răng xa trong nằm trong vùng chẽ đôi. B. Dụng cụ cảm giác như đi thủng sàn tủy nhưng thật ra nằm trong ống tủy xa trong. C. Phim sau hai năm.

    * Trong một vài trường hợp, các răng cối lớn có thể có hình ảnh lâm sang và X-quang hoàn toàn bình thường nhưng thật sự các ống tủy thông nối nhau bất thường, dẫn đến có thể tìm ra những giai đoạn khác nhau của việc điều trị tủy:
    1. Giai đoạn mở xoang tủy

    Đây là trường hợp được gọi là ống tủy hình chữ C mà Weine et al. đã báo cáo rằng chiếm 2.7% các trường hợp.

    Nó được mô tả lần đầu tiên bởi Cook và Cox ở răng cối lớn thứ hai dưới, nhưng đôi lúc cũng có thể được tìm thấy ở răng cối lớn thứ nhất hàm dưới. Đặc điểm giải phẫu này khá phổ biến ở những bệnh nhân người phương Đông.

    Thay vì có ba miệng ống tủy riêng biệt, ba ống tủy có hình dạng một chữ C, phần cong đối diện với phía ngoài (hình 11.131).

    Đưa dụng cụ vào phần ngoài gần cho một hình ảnh X-quang không bình thường, dẫn đến nghi rằng đã bị thủng sàn, thật vậy, thật vậy, nó là ống tủy ngoài gần và ống này có thể thông nối với ống tủy xa (hình 11.132) hoặc ống tủy gần trong (hình 11.133). Ống tủy hình C do miệng các ống tủy khác nhau nối lại với nhau và sự nối thông này có thể mở rộng về phía chóp đến những độ sâu khác nhau, và điều này có thể quan sát được chỉ bằng việc trám ống tủy chân răng (hình 11.134 – 11.136).

    Hình 11.131. Một răng cối lớn thứ hai hàm dưới với ống tủy hình chữ C. A. Phim trước điều trị. B. Xoang tủy. Lưu ý rằng hình ảnh chữ C điển hình là do sự nối nhau giữa ba miệng ống tủy. C. Trám bít theo ba chiều không gian bằng côn gutta percha. D. Phim sau điều trị. Sự thông nhau hình chữ C kéo dài đến vị trí 1/3 chóp.

    Hình 11.132. Răng cối lớn thứ hai hàm dưới với ống tủy hình chữ C, trong đó ống tủy gần ngoài chạy vào ống tủy xa. A. Phim trước điều trị. B. Một dụng cụ được đưa vào chỗ lồi của chữ “C” giống như hình ảnh thủng sàn; thật vậy, ống tủy gần ngoài trong trường hợp này được dự đoán chạy vào trong ống tủy xa. C. Phim sau điều trị. D. Sau ba năm.

    Hình 11.133. Răng cối lớn thứ hai hàm dưới bên trái với một ống tủy hình chữ C, trong đó ống tủy gần ngoài chạy vào trong ống tủy gần trong. A. Phim trước điều trị không phát hiện được sự hiện diện của một ống tủy hình chữ C. B. Phim trong lúc điều trị: một dụng cụ đưa vào chỗ lồi của chữ C giống như hình ảnh thủng sàn; thực ra, ống tủy gần ngoài trong trường hợp này chạy vào trong ống tủy gần trong. C. Phim trong lúc điều trị khi lèn ở vùng chóp: chỉ bằng kỹ thuật lèn với gutta percha nóng chảy mới có thể trám kín được ống tủy hình chữ C theo ba chiều không gian. D. Sau ba năm.

    Hình 11.134. Răng cối lớn thứ hai hàm dưới với một ống tủy hình chữ C. Sự giao nhau giữa ba ống tủy tạo nên hình dải băng kéo dài về phía chóp đến 1/3 giữa. A. Phim trước điều trị. B. Xoang tủy với miệng ống tủy hình dải băng điển hình. C. Phim sau điều trị. D. Phim sau 18 tháng.

    Hình 11.135. Răng cối lớn thứ hai hàm dưới với một ống tủy hình chữ C không hoàn toàn. A. Phim trước điều trị. B. Xoang tủy: hình ảnh ba ống tủy nối nhau bởi một rãnh với góc lồi về phía ngoài. Một ống tủy hình chữ C được chẩn đoán. C. Sau khi hoàn thành việc làm sạch và tạo hình, hình ảnh chữ C không hoàn toàn, vì nó chỉ liên quan đến ống tủy xa và ống gần ngoài. D. Một dụng cụ được đưa vào ống tủy gần ngoài cho thấy sự giao nhau giữa ống tủy này với ống tủy gần trong. E. Phim sau điều trị.

    Hình 11.136. Răng cối lớn thứ hai hàm dưới với ống tủy hình chữ C không hoàn toàn. A. Phim trước điều trị. B. Xoang tủy. Hình ảnh ống tủy xa và ống tủy gần ngoài giao nhau bởi một rãnh với góc lồi về phía ngoài. C. Xoang tủy khi sửa soạn ống tủy. D. Một dụng cụ được đưa vào ống tủy ngoài gần, nghi ngờ có sự giao nhau giữa ống này với ống tủy xa. E. Phim trong miệng khi thử côn. F. Xoang tủy sau khi quá trình trám bít ống tủy hoàn thành. Ống tủy có dạng hình chữ C không hoàn toàn. G. Phim sau điều trị. Lưu ý rằng ống tủy ngoài gần giao với ống tủy xa nhưng không nhập vào ống tủy xa mà lại có một lỗ chóp riêng biệt.

    Những kiểu giải phẫu nội nha kì lạ dễ dàng được quan sát thấy bằng cách kiểm tra ở một răng đã được nhổ (hình 11.137). Nhìn từ phía ngoài (hình 11.137E), răng có vẻ có một chân răng, trong khi nhìn từ phía trong (hình 11.137F) răng biểu lộ hình ảnh giải phẫu bình thường của một răng cối lớn một dưới: hai chân răng, một ở phía gần và một cái khác ở phía xa được ngăn cách bởi một vách xương. Răng cối lớn với ống tủy hình chữ C thì răng là một chân với chân răng hình bầu dục. Phần chứa bên trong ống tủy cũng có dạng hình bầu dục có thể được duy trì không đổi theo chiều dài thân răng – chóp răng hoặc có thể phân thành những ống tủy riêng biệt ở những mức độ khác nhau.

    Hình 11.137. A. Phim X-quang cho thấy răng cối lớn thứ hai hàm dưới dường như có hình ảnh giải phẫu nội nha cổ điển. B. Kiểm tra cẩn thận sàn buồng tủy nhận thấy có một ống tủy hình chữ C. C. Đưa dụng cụ vào từng ống tủy để xác nhận lại chẩn đoán. Lưu ý rằng dụng cụ ở trong ống tủy ngoài gần dường như là thủng sàn. D. Răng có một đường nứt dọc ở phía xa và vì vậy được nhổ bỏ.

    Hình 11.137. E. Nhìn từ mặt ngoài: răng thật sự là răng một chân, với chân răng có hình dạng quả thận. F. Nhìn từ phía trong: hai chân răng cách nhau bởi một vách xương. G. Nhìn từ phía xa cho thấy nứt dọc chân răng với sự hiện diện của mô hạt. H-N. Các lát cắt mô học trên cùng một răng. Mỗi lát cắt cách nhau 1-2mm.

    2. Tại thời điểm trám bít ống tủy

    Đây là trường hợp giao nhau giữa ống tủy ngoài gần và ống tủy xa (hình 11.138) hoặc giữa ống tủy ngoài gần và ống tủy ngoài xa ở răng có hai ống tủy xa (hình 11.139), mặc dù hiếm gặp. Tại thời điểm thực hiện trám bít từng ống tủy riêng biệt, việc nén vật liệu ở ống tủy xa có thể đẩy chất trám ống tủy và gutta percha sang ống tủy gần ngoài qua chỗ thông vốn trước đó không được phát hiện. Điều này, bên cạnh những điều khác, xác nhận rằng với kỹ thuật phù hợp có thể sửa soạn hai ống tủy riêng biệt giao nhau mà không dẫn đến nguy cơ làm tắc bất kỳ ống tủy nào.

    Sự thông nối giữa các ống tủy gần ngoài và ống tủy xa có thể được chẩn đoán từ giai đoạn sớm, đấy là trong quá trình làm sạch và tạo hình một trong hai ống tủy. Một khi một ống tủy được sửa soạn, một côn gutta percha được đặt vào và một dụng cụ nhỏ (ví dụ một trâm số 8) được đưa vào ống tủy khác mà chưa được sửa soạn trước đó. Nếu hai ống tủy thông nối với nhau, kiểm tra cẩn thận bề mặt của côn gutta percha sẽ thấy bộc lộ dấu vết để lại do trâm dùng trong ống tủy khác (hình 11.140).

    Hình 11.138. Phim sau điều trị cho thấy ống tủy gần ngoài nhập vào ống tủy xa.

    Hình 11.139. Răng cối lớn thứ hai hàm dưới với hai ống tủy xa và hai ống tủy gần. Ống xa ngoài đổ vào trong ống tủy gần ngoài. A. Phim trước điều trị. B. Xoang tủy. Lưu ý rằng hai miệng ống tủy ngoài, gần và xa rất gần nhau. C. Một dụng cụ được đưa vào ống tủy xa ngoài cho thấy có sự giao nhau với ống tủy gần ngoài. D. Hai dụng cụ nhỏ được đặt vào hai ống tủy nhằm xác nhận lại sự giao nhau này. E. Dấu bên trái của côn gutta percha, côn này vốn được đặt vào ống tủy xa ngoài, và trâm số #8 được đặt vào ống tủy gần ngoài. F. Thử côn. G. Phim sau điều trị. H. Hai năm sau.

    Hình 11.140. Răng cối lớn thứ hai hàm dưới với sự giao nhau giữa ống tủy ngoài gần với ống tủy xa.

    A. Phim trước điều trị. B. Xoang tủy: ống tủy ngoài gần có dạng hình elip, đối diện với ống tủy xa. C. Phim trong lúc điều trị: một dụng cụ được đưa vào ống tủy ngoài gần cho hình ảnh tương tự như thủng sàn tủy; thật ra, nó là dấu hiệu cho thấy có sự giao nhau giữa ống tủy này với ống tủy xa. D. Côn gutta percha được đặt vào ống tủy xa vốn đã được sửa soạn trước đó, một cây trâm nhỏ được đưa vào ống tủy gần ngoài chưa được sửa soạn. E. Dấu phía bên trái cây côn được gây ra bởi dụng cụ: đo chiều dài từ vị trí này đến đầu côn, ta có thể suy ra được khoảng cách giữa chỗ giao nhau và lỗ chóp. F.Phim sau điều trị.

    Xoang tủy của răng này được bắt đầu từ trũng giữa và được tạo tương tự như những nguyên tắc được dùng ở răng cối lớn một. Vì chân răng của nó hơi nghiêng xa nhẹ, tuy nhiên xoang tủy có thể ít mở rộng trong trường hợp này.

    Hình dạng của xoang tủy tùy thuộc vào việc một, hai, ba hoặc bốn ống tủy; nó có thể có dạng tròn đến bầu dục, tam giác hoặc tứ giác.

    Đối với răng này việc bảo tồn múi răng được đề nghị..

    Răng cối lớn thứ ba hàm dưới

    RCL 3 dưới đôi khi phải điều trị nội nha vì những lý do như đối với RCL 3 trên. Nó đặc biệt quan trọng khi đóng vai trò là răng trụ cuối cùng ở phía xa. Răng này có thể có hình dạng thân răng hoàn toàn bình thường nhưng hình thái chân răng lại khác hoàn toàn và dị dạng (hình 11.141, 11.142) Dù sao đi nữa, răng này cũng có thể được điều trị nội nha thành công (hình 11.143, 11.144). Ta mở xoang tủy tương tự như những răng khác.

    Vì chân răng nghiêng xa, việc điều trị nó thường dễ hơn so với những gì ta nghĩ khi quan sát trên X-quang.

    Hình 11.141. A-E. Ví dụ về hình ảnh giải phẫu RCL 3 dưới

    Hình  11.142.  RCL 3 dưới với 2 ống tủy xa và 1 ống gần.  A.  Phim trước điều trị. B.  Xoang mở tủy. C. Trong khi điều trị. D. Phim sau điều trị.

    Hình 11.143. R48 với 5 ống tủy. A. Phim trước điều trị. B.Trong lúc điều trị: 2 ống xa và 3 ống gần. C. Đặt côn. D. Phim sau điều trị

    Hình 11.144. RCL 3 có nhiều ống tủy phụ, nó là nguyên nhân của thương tổn  ở phía chân gần. A. Phim trước điều trị. B. Phim sau điều trị. C. Sau 2 năm chỗ giao nhau của 2 ống tủy, file tạo một đường hầm xuyên qua côn gutta-percha.

    —-

    Nguồn: Arnaldo Castellucci (2004). “Endodontics Vol 1″. Il Tridente Publisher

    Biên dịch: Lương Thị Quỳnh Tâm

    Công ty Anh & Em.

    🩺
    Biên soạn bởi đội ngũ chuyên môn Đội ngũ Tư vấn ANH & EM Dental – Chuyên gia Thiết bị Nha khoa
    Tổng hợp từ tài liệu chuyên ngành và kinh nghiệm phân phối thiết bị nha khoa
    Bài viết này cung cấp thông tin kỹ thuật và tham khảo về thiết bị nha khoa. Không thay thế cho tư vấn y tế chuyên nghiệp. Hãy tham khảo bác sĩ trước khi đưa ra quyết định điều trị.
    Tác giả

    Việt Trần

    Chuyên gia tư vấn giải pháp nha khoa tại Công ty ANH & EM.