Phim cánh cắn luôn là công cụ đắc lực giúp chẩn đoán sâu răng mặt bên, và còn gì nữa?
Bệnh nhân nam được chuyển tới phòng khám của tôi kèm theo 1 phim cận chóp (Hình 1). Thông tin từ bác sĩ trước đó cung cấp bao gồm cơn đau thể hiện dấu hiệu của viêm tủy không hồi phục kèm theo vấn đề ở cuống răng. Có thể thấy dây chằng nha chu ở chân gần dày lên, nhưng chụp răng trông khá tốt.Thêm một vấn đề là tôi thấy phim tham khảo này có hình ảnh có vẻ hơi ngắn.

Hình 1: Phim cận chóp ban đầu.
Bệnh nhân tới phòng khám của tôi và được thực hiện thủ thuật điều trị tiêu chuẩn bao gồm các răng đã được làm chụp phải có phim cánh cắn để đánh giá tình trạng và chất lượng đường viền phục hình mặt bên.
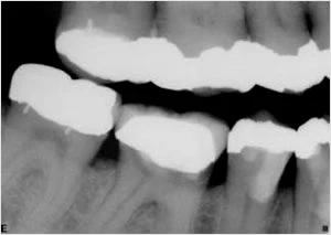
Phim cận chóp ban đầu cho thấy đường viền phía gần của răng không đồng đều. Vì tấm phim được chụp không sử dụng cây định hướng tia nên tôi nói với trợ lý của mình tôi cảm thấy hình ảnh trên tấm phim này vẫn hơi ngắn.Sau khi sử dụng phim cánh cắn (Hình 2) những nghi vấn của tôi đã được giải đáp. Bên dưới chụp răng có sâu lớn, xác định được bằng thăm khám trên miệng.

Hình 2: Phim cánh cắn của tôi.
Khi đó, tôi giải thích cho bệnh nhân điều tôi vừa phát hiện ra. Khi bệnh nhân vẫn ấn tượng rằng điều trị nội nha là điều trị thực hiện định kì và có thể thực hiện qua chụp đơn thuần, hiện tại chúng tôi lại có một tình huống hoàn toàn khác. Trường hợp này cần phải cắt chụp răng và tôi đã thông báo với bệnh nhân tôi nghi ngại răng này không thể phục hình được.
Xem thêm: Phim x-quang toàn cảnh trong nha khoa
Xem thêm: Điều trị tủy – Làm sạch và tạo hình ống tủy (Phần 1)
Sau khi cắt chụp răng và làm sạch lỗ sâu tới phần ngà cứng, lỗ sâu không chỉ nằm dưới lợi mà còn lan tới mào xương (Hình 3: mũi tên vàng chỉ vào lỗ sâu phía gần).

Hình 3: Lỗ sâu lớn không thể phục hình.
Tôi tham khảo ý kiến của bác sĩ nha chu đánh giá khả năng phục hình của răng này. Ông ấy khuyên để đạt được đường viền tốt cho phục hình, cần thực hiện tạo hình xương ổ và có thể cả xương vùng chẽ. Tiên lượng cho răng này giảm đáng kể. Cũng cần lưu ý bệnh nhân này có tiền sử sâu lớn ở mặt nhẵn phía ngoài trên răng hàm nhỏ bên cạnh đã được phục hồi.
Tôi liên lạc lại với bác sĩ ban đầu hỏi về tiền sử vệ sinh răng miệng của bệnh nhân, thông báo bệnh nhân cần thêm điều trị nha chu, xương, nội nha và làm một chụp răng mới – có lẽ nhổ răng là phương án tốt hơn. Bệnh nhân được chuyển lại cho bác sĩ ban đầu để thảo luận về khả năng phục hồi răng này.
Buổi hẹn khám này thực sự không cần thiết. Nếu bác sĩ ban đầu chụp thêm một tấm phim cánh cắn, ông ấy đã có thể thấy lỗ sâu, cắt chụp răng và đưa ra quyết định răng không thể phục hình được và chắc chắn bệnh nhân tiết kiệm được những chi phí không đáng có khi tới phòng khám của tôi.
Bàn luận
Phim X-quang tại chỗ luôn là người bạn thân của nha sĩ. Tuy nhiên trong một số trường hợp, nếu chỉ dựa vào một phim thì chưa chắc bạn đã chẩn đoán được điều gì đang xảy ra. Hãy luôn ghi nhớ chúng ta hoàn toàn có thể chụp theo nhiều góc độ với công cụ trợ giúp đa dạng (ví dụ như dụng cụ hướng tia vuông góc). Mọi bằng chứng rõ ràng trên lâm sàng và X-quang sẽ giúp bạn đưa ra phương án điều trị chính xác, tiên lượng được đúng cho bệnh nhân.
Trước khi nhận chỉ định điều trị nội nha cho bất cứ răng nào, hãy xem xét kĩ lưỡng khả năng giữ được của răng đó. Cũng giống như tất cả các điều trị răng miệng khác, điều trị nội nha với mục đích: giữ được răng có khả năng phục hình. Đối với các răng mà khả năng phục hình còn là dấu chấm hỏi lớn đối với trình độ hiểu biết của bạn, hãy tham khảo thêm ý kiến của các đồng nghiệp giàu kinh nghiệm.
Có thể đối với bạn, quan điểm điều trị bảo tồn luôn đặt lên hàng đầu, nhưng hãy nhìn bao quát toàn bộ vấn đề: liệu cố gắng bảo tồn với một loạt các điều trị kèm theo và tiên lượng kém có thực sự tốt hơn nhổ răng và thực hiện các phục hình khác? Trên hết, bệnh nhân là người có quyền quyết định răng của họ sẽ được thực hiện theo hướng nào, dưới sự tư vấn sáng suốt công minh của bạn.
Nguồn : Nha .si
#xquangnhakhoa #máyxquangnhakhoa #phụchình #tổnthươngrăng #sâurăng #khámlâmsàng #phụchìnhnhakhoa #xquang #điểmvàmốc #chỉnhnha #VeraviewIX #Morita #taykhoanMorita
