Các Biến Chứng Implant Nha Khoa: Phần 1 – Tổng Quan Thành Công Và Thất Bại
← Quay lại trang chính: Báo Cáo Chuyên Sâu: Các Biến Chứng Trong Cấy Ghép Implant Nha Khoa...
Tài liệu kỹ thuật chuyên sâu về thiết bị nha khoa cao cấp: Mectron, J. Morita, Vista Apex, BTI Implants, Dürr Dental
← Quay lại trang chính: Báo Cáo Chuyên Sâu: Các Biến Chứng Trong Cấy Ghép Implant Nha Khoa...
← Quay lại trang chính: Học “Đọc” Giải Phẫu Trên Phim X Quang Quanh Chóp HÌNH 1-32 Xác...
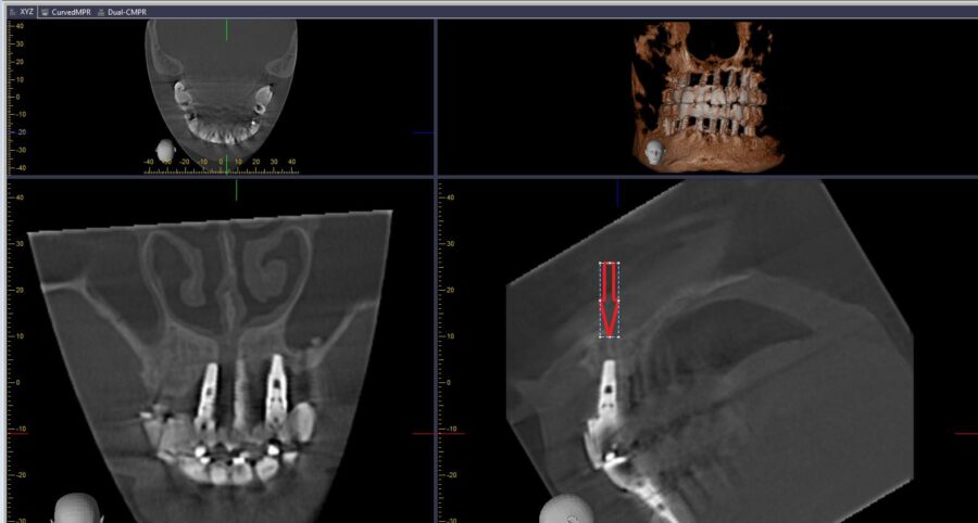
Tổng hợp đầy đủ về hệ thống Implant MegaGen (Hàn Quốc): dòng AnyRidge với ren dao cắt độc...
phan-tich
Bioceramic trong nội nha: từ MTA đến vật liệu thế hệ mới Vật liệu bioceramic trong nội nha...
phan-tich
Chelation trong nội nha: khái niệm và tầm quan trọng Cơ chế chelation loại bỏ mùn ngà là...