Việc bảo vệ trẻ em tránh phóng xạ là điều quan trọng nhất vì trẻ nhạy cảm với tia xạ hơn. Cách tốt nhất để giảm việc phơi nhiễm cho trẻ là nha sĩ dùng số lượng receptor ít nhất có thể. Việc thăm khám x-quang răng trẻ sẽ dựa trên kiểm tra lâm sàng, xem xét tuổi của bệnh nhân, bệnh sử, sự tăng trưởng và sức khoẻ răng miệng chung của trẻ.
Chụp phim cánh cắn
Để kiểm tra sâu răng sau khi vùng tiếp xúc giữa các răng đã được đóng. Việc đánh giá thường xuyên sẽ giúp xác định tỉ lệ sâu răng của trẻ. Khảo sát quanh chóp thường được chỉ định sớm ở những trẻ có bộ răng hỗn hợp. Có thể trang bị những thiết bị để giảm phơi nhiễm với tia X như receptor nhanh, chụp phim x-quang răng trẻ một cách chính xác, thiết bị hạn chế tia, áo chì và tấm chắn tuyến giáp.
Chụp phim cho trẻ em là một vấn đề khó. Mặc dù nguyên tắc chụp phim quanh chóp cho trẻ và người lớn là như nhau nhưng trẻ lại có cấu trúc giải phẫu nhỏ và khó kiểm soát được hành vi của trẻ. Cung hàm nhỏ hơn đòi hỏi receptor quanh chóp nhỏ hơn. Khẩu cái và sàn miệng cạn đòi hỏi thay đổi việc đặt receptor.

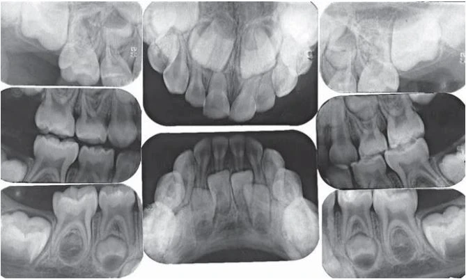
Phim X quang răng sữa bao gồm hai phim mặt phai răng trước, bốn phim quanh chóp răng sau và hai phim cánh cắn

Phim X quang răng sữa gồm hai phim vùng răng cửa, bốn phim răng nanh và bốn phim vùng răng sau và hai phim cánh cắn


Máy X-quang ghế ngồi Morita
Nguồn: STUART C. WHITE, MICHAEL J. PHAROAH. “Oral Radiology: Principles and Interpretation”
Biên dịch: Lương Thị Quỳnh Tâm
#maychupxquangnhakhoa #xquangnhakhoa #máyxquangnhakhoa #Xquangnhakhoa #Xquangghếngồi #phântíchhàm #chụpXquang
