Bệnh lý nha sĩ thường xuyên gặp
Sâu răng là vấn đề bệnh lý nha sĩ thường xuyên điều trị do tính phổ biến của nó, sâu răng rất đặc trưng bởi mất cấu trúc men răng hoặc ngà răng do đó sẽ gây ra những vết thấu quang trên phim X-quang. Tuy vậy, không phải bất cứ hình ảnh thấu quang nào cũng là sâu răng. Nếu bạn hơn 1 lần dựa vào hình ảnh thấu quang trên phim để đưa ra chỉ định điều trị sai và đau lòng nhận thấy mình đã lấy bỏ phần mô men/ngà lành mạnh của răng hay thay mối hàn vô ích thì đây là bài viết cho bạn.
Bài viết này cũng thực sự hữu ích cho các bạn sinh viên mới ra trường đang tập tiếp xúc chẩn đoán các case đơn giản và hình thành tư duy điều trị. Dưới đây là một số hình ảnh thấu quang thông thường hay gây nhầm lẫn là sâu răng trên phim cánh cắn và cận chóp do yếu tố ngoài cấu trúc của răng: chụp phim và vật liệu phục hình, không xét tới yếu tố triệu chứng. Mọi chẩn đoán để đạt được chính xác cần kết hợp giữa triệu chứng lâm sàng và X-quang, thiếu một trong hai yếu tố sẽ dẫn tới những sai lầm trong điều trị.
Thấu quang cổ răng (cervical burnout)
Khái niệm
Thấu quang vùng cổ răng là một ảo giác thấu quang của một cấu trúc cản quang. Nó thường xuất hiện như một vùng hoặc một vòng thấu quang giữa 2 vùng có độ cản quang cao. Ví dụ, vùng nằm giữa thân răng và chân răng được bao phủ bởi xương ổ răng hấp thụ ít photon khi chụp X-quang hơn các cấu trúc gần kề. Hình ảnh này xuất hiện phụ thuộc một phần vào sự có mặt của xương ổ răng để cung cấp độ tương phản cần thiết.
Nguyên nhân
– Hình thể chân răng.
– Hình dạng đường viền men-ngà.
– Các yếu tố phơi nhiễm (phơi nhiễm quá mức hay còn được gọi là già tia) được gọi chung là peripheral burnout, nếu hiện tượng xảy ra ở cổ răng được gọi là cervical burnout.
Chẩn đoán phân biệt
– Sâu chân răng: có một điều may mắn là phần chân răng được lợi bao phủ rất khó bị sâu. Khi có hình ảnh thấu quang đi kèm với tụt lợi tự do thì có thể nghi ngờ với sâu chân răng, khi đó có thể khám lại bằng thám châm hoặc sonde để xác nhận sâu hay không. Một số vị trí có khả năng xảy ra sâu chân răng cao hơn như vùng tiếp xúc giữa răng khôn mọc lệch và răng 7 kế cận.
– Sâu dưới phục hình cho lỗ hàn loại II: trường hợp này trên phim đường viền của sâu tái phát thường nham nhở, thấu quang không đồng đều và lâm sàng có kèm triệu chứng ê buốt/đau khi ăn nhai, dắt thức ăn khó làm sạch.
Khắc phục
– Cần xác nhận sau cùng bằng cách kiểm tra trên lâm sàng bằng thám trâm/sonde.
– Chụp thêm tấm phim X-quang thứ hai, thay đổi góc độ ống tia X-quang + điều chỉnh các yếu tố phơi nhiễm sẽ giúp phân biệt có tổn thương thực sự hay không.

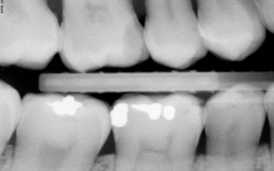
Hình 1: Chu vi chân răng có những điểm lồi lõm nên khi hướng tia X-quang đi qua sẽ tạo hình ảnh thấu quang ở vị trí ranh giới thân – chân.


Hình 2: Các vùng thấu quang cổ răng trên nhiều răng cùng một góc độ chụp và cường độ tia. Chú ý vùng thấu quang ở vị trí nghi vấn dưới mối hàn xoang II Black (hình trái). Chẩn đoán phân biệt bằng triệu chứng và đánh giá độ tụt lợi.
Hiệu ứng Mach bands
Khái niệm
Hiệu ứng Mach band là một ảo ảnh thị giác khiến cho vùng có màu tối trông tối hơn dọc theo ranh giới với vùng màu sáng khi đặt cạnh nhau và ngược lại (3)


Hình 3: Nếu bạn nhìn kĩ dải màu xám (hình bên trái) có thể thấy mỗi tấm màu không có màu đồng nhất. Phía bên trái của mỗi tấm màu trông tối hơn một chút so với bên phải. Thực tế khi tách biệt các tấm màu bằng một tấm màu trắng (hình bên phải), bạn lại thấy mỗi tấm màu có màu đồng nhất.

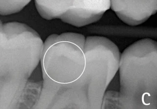
Hình 4: Vị trí tiếp giáp men-ngà (khoanh tròn) có sâu hay không sâu? Rất khó để nhận định trường hợp sâu mặt nhai mới đi qua lớp men răng chớm vào lớp ngà so với trường hợp không sâu răng nếu đánh giá trên phim X-quang tại chỗ.
Hiệu ứng mach band trong X-quang
nha khoa là ảo ảnh thị giác gây ra một vùng thấu quang giả nằm giữa hai cấu trúc có mật độ quang học khác nhau (gây ra mức độ cản quang khác nhau), ví dụ như men răng và ngà răng. Một đường mỏng nhìn thấy được ở bề mặt ngà răng và sâu răng có thể nhầm lẫn với nhau. Hiện tượng Mach band thông thường chỉ giới hạn là một đường mảnh 0.5mm dưới đường nối men-ngà (4).
Có thể thấy điều này rõ ràng hơn ở ranh giới giữa vật liệu phục hình (đặc biệt có chứa kim loại) nằm giữa men và ngà răng. Hiệu ứng này thường gây chẩn đoán sai thành sâu răng thứ phát hoặc làm nha sĩ đánh giá sai về độ lớn của tổn thương sâu răng. Nó cũng gây chẩn đoán thiếu trong trường hợp gãy chân răng theo chiều ngang do sự khác biệt về cường độ tia (radiographic intensities) của răng và xương. (5)
Xem thêm: Giải phẫu ống tủy phần 1
Xem thêm: Nứt và gãy chân răng phần 1
Cách khắc phục (theo ý kiến cá nhân của tôi)
– Kết hợp với triệu chứng lâm sàng khác. Mach band có thể gây nhầm lẫn là một sâu răng mặt nhai tới lớp ngà. Trên lâm sàng cần làm sạch các hố rãnh nghi ngờ đối với xoang I. Trên X-quang tìm các đường thấu quang hình tam giác ở phần men răng mặt bên là đường vào cho các sâu xoang II có thể lan ra làm sâu ngà tiếp giáp men răng gây nhầm lẫn.
– Với các chẩn đoán gãy chân răng, phối hợp với lâm sàng đánh giá độ lung lay và tiền sử chấn thương/đau. Có thể kết hợp với các phim 3D khác.
– Kết hợp với các chẩn đoán hiện đại khác: ví dụ Diagnodent có thể cho biết mức độ lan của sâu răng bên dưới khi bên trên còn lớp men phủ mà đường vào rất nhỏ, đặc biệt với những trường hợp sâu lan từ rãnh mặt ngoài hoặc mặt trong trên phim X-quang không thể thấy được.

Hình 5: Một lỗ sâu nhỏ trên mặt nhai (A) có thể bị bỏ qua không xử lý nếu chỉ khám bằng mắt thường hoặc với phim X-quang (C). Với sự trợ giúp của Diagnodent có thể thấy sâu răng bên dưới phần men hơi đổi màu (B). Sau khi mở lỗ sâu (D).
Hiệu ứng hào quang composite (radiographic composite halo effect)
Khái niệm
Hình ảnh thấu quang nhìn thấy trên phim X-quang xung quanh phục hình composite có sẵn có thể do hiệu ứng halo (hiệu ứng hào quang) của chất dán (bond) thấu quang bị dầy ở vùng rìa và dưới phục hình. Chúng ta có thể mắc lỗi khi thay thế phục hình cũ bởi vì thấy có hình ảnh thấu quang giống hệt rìa mối hàn bị hở hay sâu thứ phát trong khi thực tế các đường rìa còn nguyên vẹn.
Nguyên nhân
Chất dán (adhesive) thấu quang được dùng trước khi đặt vật liệu hàn cần được thổi tạo một lớp mảnh (air-thinner). Trong một số trường hợp thổi không kĩ do lỗi của nha sĩ hoặc do vị trí các răng khó tiếp cận gây nên hình ảnh thấu quang tại vị trí chất dán dày hơn.
Cách khắc phục
– Sử dụng chất dán có các hạt cản quang để tránh đánh giá sai việc phục hình có cần thay thế hay không. Cách đơn giản để kiểm tra vật liệu bạn đang dùng có cản quang hay không chính là đọc tờ hướng dẫn sử dụng đi kèm trong mỗi bao bì sản phẩm.
– Kết hợp với thăm khám lâm sàng bằng triệu chứng, thăm dò bằng thám trâm tìm điểm khấc dưới mối hàn và các phương tiện chẩn đoán sâu răng hiện đại khác.
Composite thấu quang
Khái niệm
Vật liệu phục hình là composite nhưng có tính thấu quang.
Nguyên nhân
Composite xuất hiện như thế nào trên phim X-quang phụ thuộc vào bản chất của nó
– Bản chất nhựa polyacid (Variglass, Dyract, Compoglass) sẽ cho hình ảnh cản quang nhiều nhất. – Bản chất nhựa glass-ionomer cement (Fuji II LC, Vitremer) sẽ ít cản quang hơn nhóm trên.
– Bản chất glass-ionomer cement thông thường xé thấu quang trên phim X-quang.


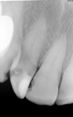
Hình 6: Chú ý mối hàn composite phía xa răng 11 hoàn toàn thấy được trên lâm sàng nhưng trên X-quang lại là một vùng thấu quang. Một mối hàn khác trên răng 12 kế cận mới hơn mối hàn trên răng 11, và nó cản quang.
Tôi không bàn sâu về cấu tạo của composite ở đây vì bạn sẽ phải để tâm nhiều vào để nhớ composite của hãng nào thì cản quang hay thấu quang trong khi hàng năm các nhà sản xuất không ngừng đưa ra các sản phẩm mới, và nghiên cứu đưa ra chỉ khái quát trên một vài sản phẩm quen thuộc với nhà nghiên cứu chứ chưa chắc thân thương với bạn. Cách nhanh nhất và tốt nhất là…đọc kĩ hướng dẫn sử dụng trước khi dùng, tức là tờ giấy đính kèm với composite mà bạn mua, hoặc làm một vài tra cứu để biết nó có cản quang hay không.
Dù sao để quản lý thông tin điều trị và kiểm tra chính tay nghề của bạn, với mỗi mối hàn bạn nên kiểm tra bằng phim cánh cắn trước và sau điều trị. Và câu chuyện composite của bạn có cản quang hay không, hãy để phim X-quang trả lời dùm.
Cách khắc phục Kết hợp khám lâm sàng
– Thông thường trước khi hàn nha sĩ phải tạo đường viền mịn không có gai góc, các đường viền nham nhở thấy ở trên phim có thể do sâu thứ phát hoặc tạo hình mối hàn không bằng phẳng hay hiệu ứng halo như nói ở bên trên.
– Sử dụng composite loại cản quang.
– Yếu tố thời gian tồn tại của mối hàn, nơi thực hiện mối hàn cũng đóng vai trò gợi ý nhưng không đặc trưng. Bạn không thể nắm rõ được tất cả các sản phẩm bán ra trên thế giới được sử dụng trong thời gian mối hàn được tạo.
– Sử dụng các chất hàn cản quang để dễ dàng kiểm soát độ khít sát của mối hàn ngay sau khi thực hiện & đánh giá lại khi kiểm tra định kì cũng như nhìn rõ được biểu hiện sâu thứ phát (nếu xảy ra).
PS: Bạn chọn phim nào để chẩn đoán sâu răng?
Phim nào là phim tốt nhất cho chẩn đoán sâu răng
– Phim cánh cắn cho thấy hình ảnh sâu mặt bên và sâu mặt nhai ở các răng sau.
– Phim cận chóp thích hợp cho sâu mặt bên răng trước. Kỹ thuật chụp song song tăng khả năng nhìn thấy tổn thương.
– Sâu mặt nhai có thể thường dễ nhìn thấy trên phim x-quang panorama hơn.
Nguồn: Nha .si
#sâurăng #Xquang #xquangnhakhoa #VeraviewIX
