Quyết định chiều dài làm việc và cách xác định điểm chóp cuối cùng (phần 1)
Việc xác định chiều dài làm việc Một trong những điều cốt yếu quyết định sự thành công của điều…
Đọc tiếpVietnam Morita Owner Group — Review thiết bị, so sánh thương hiệu, cộng đồng chuyên gia
Việc xác định chiều dài làm việc Một trong những điều cốt yếu quyết định sự thành công của điều…
Đọc tiếpTạo khoảng trong chỉnh nha: Dựng trục răng sau nghiêng Tạo khoảng trong chỉnh nha, các răng sau bị nghiêng…
Đọc tiếpNếu nha sĩ còn băn khoăn nên chọn máy nội nha Morita hay không, những lý do dưới đây sẽ…
Đọc tiếpTrong cấy ghép phẫu thuật Implant, để đạt được sự tích hợp xương thành công thì kỹ thuật phẫu thuật…
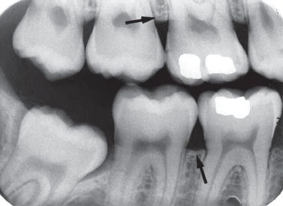
Đọc tiếpPhim cánh cắn luôn là công cụ đắc lực giúp chẩn đoán sâu răng mặt bên, và còn gì nữa?…
Đọc tiếp