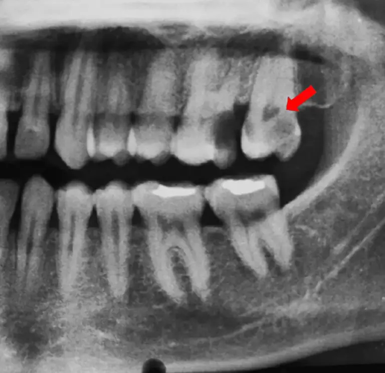
Phim X-quang toàn cảnh nha khoa
Phim X-quang toàn cảnh (còn được gọi là pantomography) là một kỹ thuật tạo một hình ảnh một lớp của…
Đọc tiếpVietnam Morita Owner Group — Review thiết bị, so sánh thương hiệu, cộng đồng chuyên gia
Phim X-quang toàn cảnh (còn được gọi là pantomography) là một kỹ thuật tạo một hình ảnh một lớp của…
Đọc tiếpTrong nha khoa hiện đại, nội nha được ví như một "trận chiến trong bóng tối". Bạn đã bao giờ…
Đọc tiếpKhi quan sát phim x-quang toàn cảnh, bạn nên che đi phần ánh sáng bên ngoài xung quanh ảnh, làm…
Đọc tiếpNguồn: Radiation Cone beam CT for dental and maxillofacial radiology (Evidence-based guidelines) (Trang: 36 -37) <div d...
Đọc tiếpTrong nội nha hiện đại, ống tủy hình chữ C (C-shaped root canal) luôn là thách thức lớn đối với…
Đọc tiếp