ĐƯỜNG KHỚP NỐI GIỮA HAI XƯƠNG HÀM DƯỚI
Hình ảnh X quang vùng khớp nối giữa hai bên xương hàm dưới ở trẻ sơ sinh là một đường thấu quang đi qua đường giữa, hai bên là hình ảnh răng cửa giữa đang được hình thành. Đường khớp này thường được cốt hóa vào cuối năm đầu tiên của đời sống, sau đó hình ảnh trên X quang không còn rõ ràng nữa. Thường không thấy hình ảnh này trên X quang răng vì rất ít bệnh nhân nhỏ tuổi cần phải kiểm tra bằng X quang. Nếu hình ảnh thấu quang này thấy được ở những người lớn tuổi hơn thì có thể là một hình ảnh bất thường của gãy xương hoặc khe hở.
CỦ CẰM
Củ cằm (còn gọi là gai cằm) nằm ở mặt trong xương hàm dưới, nằm ở bờ dưới và ở đường giữa. Chúng là chỗ xương lồi lên, thường được chia thành phần nhô bên phải và trái và phần nhô phía trên và dưới. Chúng là nơi bám của cơ cằm lưỡi (lồi trên) và cơ cằm móng (lồi dưới) vào xương hàm dưới. Chúng dược quan sát thấy rõ ở phim mặt nhai. Hình ảnh của chúng trên phim quanh chóp răng cửa hàm dưới khác nhau: thường là một khối thấu quang (đường kính lên tới 3 – 4 mm) ở đường giữa bên dưới chân các răng cửa. Chúng cũng có thể không rõ ràng.
Lỗ lưỡi
Thường có 1 lỗ ở mặt lưỡi vùng đường giữa xương hàm dưới tại cũ cằm, lỗ này được gọi là lỗ lưỡi. Thường có hai hoặc thậm chí nhiều lỗ lưỡi. Lỗ phía trên chứa túi mạch máu thần kinh từ động mạch và thần kinh lưỡi, trong khi lỗ phía dưới được cung cấp bởi động mạch dưới cằm hoặc dưới lưỡi và thần kinh hàm móng. Lỗ lưỡi thường thấy được như một ống thấu quang tròn đơn độc với bờ viền cản quang rõ nét nằm trong đường giữa bên dưới chóp các răng cửa.
Lồi cằm
Trên phim quanh chóp răng cửa giữa hàm dưới, lồi cằm (chỗ lồi lên) đôi khi có thể thấy có hình dạng hai đường cản quang theo hai chiều hướng về phía trước và lên trên đường giữa (xem hình minh họa bên dưới). Chúng có thể có độ rộng và mật độ khác nhau và có thể mở rộng từ vùng răng cối nhỏ ở mỗi bên đến đường giữa, tại đây chúng chỉ nằm bên dưới hoặc chồng lên chân các răng cửa giữa hàm dưới. Hình ảnh lồi cằm rõ nhất khi tia được chiếu song song với bề mặt lồi cằm (như khi sử dụng kỹ thuật phân giác)

Hõm cằm
Hõm cằm là thuật ngữ mô tả chỗ lõm mặt ngoài xương hàm dưới bên cạnh đường giữa nằm trên gờ cằm. Vì xương hàm mỏng ở vùng này nên hình ảnh X quang tại chỗ lõm xuống này tương tự như hình ảnh hõm dưới hàm, và có thể nhầm lẫn rằng đây là tổn thương quanh chóp liên quan đến các răng cửa hàm dưới. (xem hình minh họa bên dưới)
Lỗ cằm
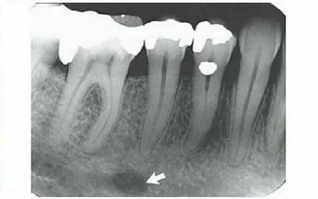
Lỗ cằm thường là giới hạn phía trước của ống thần kinh răng dưới xuất hiện trên phim quanh chóp. Hình ảnh của nó khá khác nhau, và có thể chỉ được xác định thấy trong một nửa trường hợp vì miệng của lỗ cằm hướng về phía trên và ra sau. Do đó hình ảnh nhìn thấy ở vùng răng cối nhỏ không phải là hình chụp xuyên qua trục dọc của miệng ống. Cấu trúc giải phẫu này khiến cho hình ảnh lỗ cằm khác nhau. Mặc dù thành lỗ được cấu tạo từ xương vỏ nhưng mật độ hình ảnh lỗ cằm khá khác nhau về hình dạng lẫn bờ viền. Nó có thể hình tròn, hình thuôn, hình khe hoặc không đều và cấu tạo một phần hoặc phủ toàn bộ bởi xương vỏ. Lỗ cằm được thấy ở ½ khoảng giữa từ bờ dưới xương hàm dưới đến mào xương ổ răng, thường ở vùng chóp răng cối nhỏ thứ hai. Ngoài ra, vì nằm trên bề mặt của xương hàm dưới, mối liên hệ giữa ví trí hình ảnh của nó với các chân răng phụ thuộc vào góc chụp. Nó có thể nằm bất cứ vị trí nào từ phía gần chân răng cối lớn thứ nhất hàm dưới đến xa nhất ở phía trước là mặt gần chân răng cối nhỏ thứ nhất . Đôi khi có thể quan sát thấy hình ảnh hai lỗ cằm, một lỗ nằm phía trên lỗ kia.


Khi lỗ cằm nằm trên chóp răng cối nhỏ, nó có thể bắt chước hình ảnh tổn thương của bệnh lý quanh chóp. Trong những trường hợp này, bằng chứng cho thấy ống thần kinh răng dưới kéo dài đến vùng thấu quang nghi ngờ hoặc nhìn thấy có lamina dura ở răng, những điều này gợi ý bản chất thật của vùng thấu quang là gì. Tuy nhiên, cần chỉ rõ ra rằng đường lamina dura mảnh chồng lên lỗ thấu quang có thể làm giảm đáng kể hình ảnh lamina dura, nên sẽ khó xác định sự hiện diện của nó hơn. Mặc dù vậy, một phim X quang thứ hai chụp từ một góc độ khác sẽ cho thấy rõ hình ảnh lamina dura, cũng như sự thay đổi vị trí lỗ thấu quang so với chóp răng.
Ống hàm dưới
Hình ảnh X quang của ống hàm dưới là một đường đen với đường biên giới phía trên và dưới cản quang do được tạo nên bởi các phiến xương mỏng bao quanh ống. Đôi khi biên giới chỉ thấy một phần hoặc thấy toàn bộ. Độ rộng của ống khác nhau giữa các bệnh nhân nhưng thường giống nhau ở phần phía trước đến vùng răng cối lớn thứ ba. Đường đi của ống giữa lỗ hàm dưới và lỗ cằm khá rõ. Chỉ có là hiếm khi hình ảnh liên tục phía trước hướng về phía đường giữa có thể thấy rõ trên X quang.

Mối quan hệ giữa ống thần kinh răng dưới với các chân răng dưới có thể khác nhau, có thể tiếp xúc gần với các chân răng cối và chân răng cối nhỏ thứ hai đến việc không có liên quan gì đến các răng sau. Tuy nhiên, ở hình ảnh bình thường thì ống hàm dưới tiếp xúc với chóp răng cối lớn thứ ba, và khoảng cách giữa nó với các chân răng tăng lên khi nó chạy về phía trước. Khi chóp các răng cối có hình chụp chồng lên ống này thì lamina dura có thể bị chiếu tia nhiều, tạo ấn tượng rằng thiếu lamina dura hoặc khoảng dây chẳng nha chu dày lên, tức thấu quang hơn so với mức độ bình thường của bệnh nhân. Để chắc chắn về sự toàn vẹn của răng, cần thực hiện các thử nghiệm lâm sàng khác (chẳng hạn thử độ sống tủy). Vì ống này thường nằm ngay dưới chóp các chân răng sau, thay đổi góc chụp theo chiều dọc ở một phim thứ hai sẽ không giúp tách được hình ảnh của ống và chóp răng.

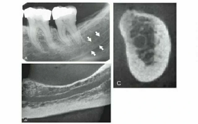
Nghiên cứu mô học cho thấy rằng thần kinh xương ổ răng dưới thường dạy xuyên qua xương hàm dưới như một thân cây lớn với các nhanh mở rộng về phía chóp răng. Tuy nhiên, có nhiều nhánh nhỏ hơn của thần kinh xương ổ răng dưới chạy song song với thân thần kinh chính. Ống chẻ đôi dạng này thấy được phổ biến nhất trên phim panorex và cone-beam. Bệnh nhân có ống chẻ đôi có nguy cơ gây tê không hiệu quả cao hơn và khó khăn trong việc phẫu thuật ở xương hàm, bao gồm khi cắm implant hoặc do chấn thương.

Ống dinh dưỡng
Ống dinh dưỡng chứa một bó thần kinh mạch máu và có hình ảnh dạng đường thấu quang với chiều rộng khá đồng đều. Chúng thường được thấy nhất ở phim quanh chóp ở hàm dưới chạy dọc từ phía dưới ống thần kinh xương ổ răng dưới đến một chóp răng hoặc vào khoảng giữa các răng cửa hàm dưới. Thấy được chúng trong khoảng 5% trường hợp trên tất cả bệnh nhân và thường ở người nam, da đen, người lớn tuổi và những người có huyết áp cao hoặc bệnh lý nha chu tiến triển. Chúng cũng cho thấy gờ xương mỏng, hữu ích khi đánh giá implant. Vì chúng có giải phẫu là khoảng trống bao quanh bởi thành là xương vỏ nên hình ảnh thường cho thấy biên giới xương dày. Đôi khi ống dinh dưỡng vuông góc với xương vỏ cho hình ảnh một vòng tròn thấu quang giống như hình ảnh thấu quang của bệnh lý. Gờ móng Gờ móng là một mào xương không đều nằm nên bề mặt trong của thân xương hàm dưới. Kéo dài từ vùng răng cối lớn thứ ba đến bờ dưới xương hàm dưới vùng cằm, nó đóng vai trò là chỗ bám của cơ hàm móng. Hình ảnh X quang chạy theo chiều nghiêng xuống và ra trước từ vùng răng cối lớn thứ ba đến vùng răng cối nhỏ, ở xấp xỉ mức chóp các răng sau.
Đôi khi hình ảnh chồng lên hình ảnh của các chân răng cối lớn. Bờ viền của hình ảnh gờ móng thường không rõ nhưng khá rộng với kích thước khác nhau. Tuy nhiên, cũng có thể thấy điều ngược lại, tại vị trí gờ tương đối đậm đặc và biên giới sắc nét.

Biên dịch: BS Lương Thị Quỳnh Tâm
Tổng hợp: Công ty Anh & Em


