Bệnh nhân nữ trẻ, 24 tuổi được gia đình chuyển đến nha sĩ để tham khảo ý kiến (Hình 1) với lý do bị vẩu, các răng trước và rìa cắn các răng cửa dưới không đều (Hình 2-3). Bệnh nhân mong muốn giải quyết mà không phẫu thuật chỉnh hàm hoặc sử dụng minivis. Không có bệnh lý y khoa kèm theo nhưng bệnh nhân có tiền sử mất răng hàm nhỏ thứ hai ở hàm dưới bên trái và điều trị tuỷ không tốt ở cả hai răng hàm lớn thứ nhất bên trái. Khám lâm sàng ghi được tương quan răng hàm loại I bên phải, nhưng bên trái là loại III. Đường giữa răng hàm dưới lệch sang trái 2mm so với đường giữa mặt và hàm trên. Các răng cửa bên hàm trên bị lệch về phía khẩu cái cả hai bên.

Hình 1 Ảnh chụp mặt trước điều trị
Bệnh nhân có thói quen mút ngón tay đến 10 tuổi, điều này dường như góp phần làm cho cả hai cung hàm tương đối hẹp. Một phần của môi dưới nằm ở phía lưỡi so với các răng cửa trên (do thói quen) góp phần làm cho răng cửa trên càng chìa ra. Nguyên nhân của sai khớp cắn có vẻ do các yếu tố môi trường chiếm ưu thế do có tiền sử mút ngón tay và tư thế lưỡi bất thường.

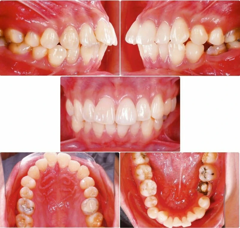
Hình 2 Ảnh chụp trong miệng trước điều trị

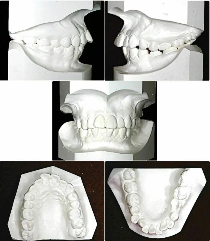
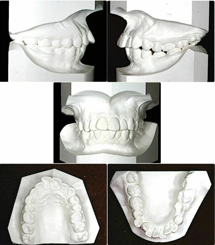
Hình 3 Mẫu nghiên cứu trước điều trị
Mặc dù các vấn đề nội nha và mong muốn không sử dụng minivis đã đặt ra một thách thức lớn, nhưng quá trình điều trị vẫn hoàn thành và đạt được sự hài lòng của bệnh nhân (Hình 4-8). Báo cáo này sẽ phân tích chẩn đoán, kế hoạch điều trị và cơ chế đặc biệt để đạt được kết quả điều trị tốt với các vấn đề khó khăn của bệnh nhân.

Hình 4 Ảnh chụp mặt sau điều trị

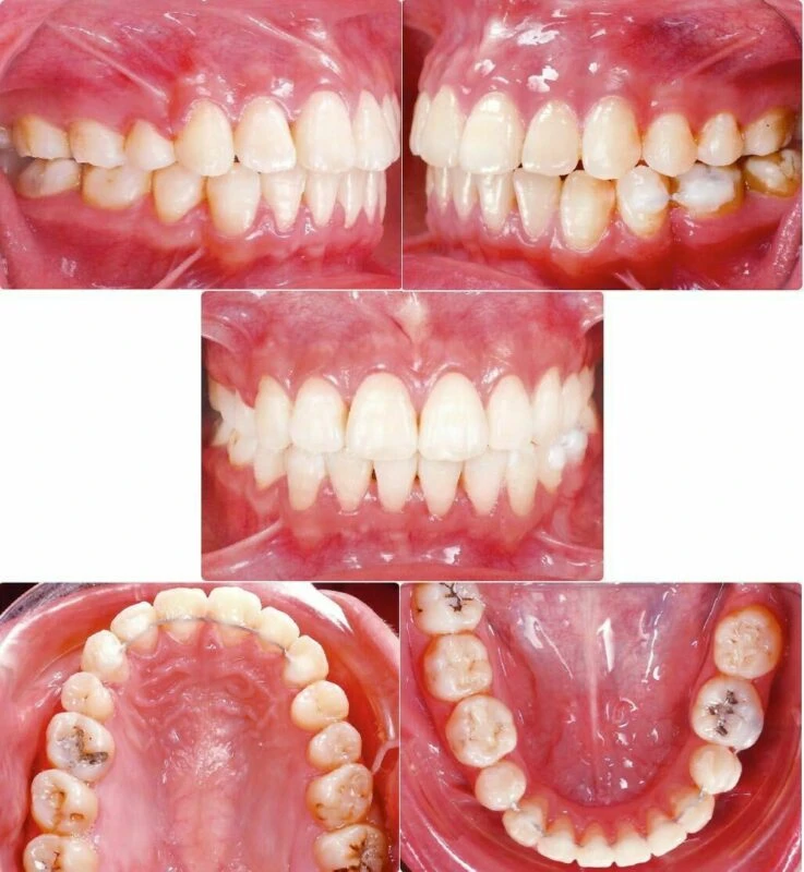
Hình 5 Ảnh chụp trong miệng sau điều trị

Hình 6 Mẫu nghiên cứu sau điều trị
Chẩn Đoán
– Xương: Tương quan xương loại I (SNA 85°, SNB 80°, ANB 5°), góc mặt phẳng hàm dưới lớn (SN-MP 41°)
– Mặt: Vẩu hai hàm, môi căng
– Răng: Tương quan răng hàm loại I bên phải và loại III bên trái. Đường giữa răng dưới lệch sang trái 2mm so với đường giữa mặt, góc răng cửa dưới so với mặt phẳng hàm dưới 91°, chen chúc răng dưới nặng (thiếu khoảng hơn 7mm), độ cắn chìa răng cửa là 7mm. Mất răng 35, răng 36 điều trị tuỷ không tốt. Các giá trị trên phim đo sọ được tổng hợp ở Bảng. Chỉ số lệch lạc DI của ABO là 25.

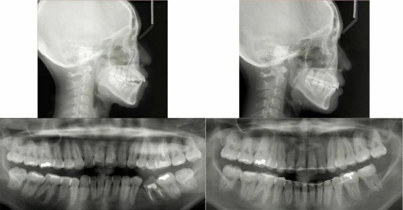
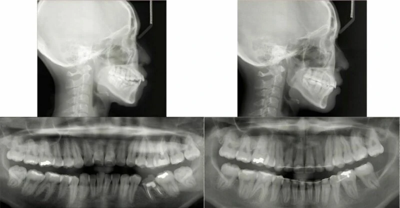
Hình 7 Phim toàn cảnh và phim đo sọ trước điều trị cho thấy môi căng, mất răng 35 và răng 36 điều trị tuỷ không tốt
Hình 8 Phim toàn cảnh và phim đo sọ sau điều trị cho thấy môi cân bằng, độ nghiêng gần-xa chân răng 34 và 47 chưa hợp lý
Các mục tiêu điều trị
Mục tiêu chính của điều trị đó là thiết lập được tương quan loại I răng nanh, và tương quan răng hàm loại I/III bất đối xứng hai bên, trong khi đạt được độ cắn chìa và độ cắn trùm lý tưởng, cùng với kéo lùi hai môi. Các mục tiêu cụ thể bao gồm:
1. Duy trì vị trí xương hàm trên và xương hàm dưới
2. Tránh trồi các răng hàm và xoay xương hàm dưới cùng chiều kim đồng hồ
3. Đánh lún các răng cửa dưới và kéo lùi các răng cửa trên
4. Đạt được độ cắn chìa & độ cắn trùm hợp lý, liên quan mật thiết với tương quan loại I răng nanh.
5. Kéo lùi môi trên và môi dưới để cải thiện thẩm mỹ mặt và đóng kín môi trên.

Các lựa chọn điều trị
Các vấn đề chính ảnh hưởng đến kế hoạch điều trị đó là mất răng 35 và răng 36 đã điều trị tuỷ, khi nhổ sẽ để lại khoảng trống lớn phía sau cần phải đóng. Do đó ba kế hoạch điều trị được đưa ra cho bệnh nhân
Lựa chọn 1
Nhổ cả hai răng hàm nhỏ thứ nhất hàm trên và cả hai răng hàm lớn thứ nhất hàm dưới. Kéo lùi tối đa sáu răng trước hàm trên, làm thẳng các răng trước hàm dưới, kéo răng hàm lớn thứ hai và thứ ba hàm dưới bên trái ra trước.
Có thể cần phải cắm OrthoBoneScrew™ làm neo giữ để kéo lùi nhóm răng trước hàm trên và di gần các răng 7, 8 hàm dưới bên trái.
Lựa chọn 2
Nhổ cả hai răng hàm nhỏ thứ nhất hàm trên, răng hàm lớn thứ nhất hàm dưới bên trái và răng hàm nhỏ thứ nhất hàm dưới bên phải. Phục hồi khoảng trống của răng hàm lớn thứ nhất hàm dưới bên trái bằng phục hình trên implant.
Lựa chọn 3
Do cân nhắc chi phí phục hình để thay thế răng hàm lớn thứ nhất hàm dưới bên trái và sự khó khăn nếu điều trị nội nha lại răng hàm lớn thứ nhất hàm trên bên trái, lựa chọn 3 bao gồm nhổ răng hàm lớn thứ nhất bên trái của cả hàm trên và hàm dưới, cũng như răng hàm nhỏ thứ nhất bên phải của cả hàm trên và hàm dưới. Kéo lùi tối đa tất cả các răng trước hàm trên để giảm vẩu môi. Sửa chữa chen chúc răng trước hàm dưới và kéo các răng 7, 8 hàm dưới bên trái ra trước mà không cắm minivis. Bệnh nhân được giải thích là lựa chọn này rất khó khăn về mặt kỹ thuật, sẽ dẫn đến tương quan răng hàm lớn Loại III ở bên trái, và chắc chắn sẽ tăng thời gian điều trị. Bất chấp những hạn chế này, bệnh nhân vẫn lựa chọn kế hoạch 3.
Khí cụ và quá trình điều trị
Nhổ răng 14, 26, 36, 44 được tiến hành trước khi bắt đầu điều trị chỉnh nha. Để đạt được tương quan răng hàm lớn Loại I bên trái, nhổ thêm răng 24 được đề nghị nhưng bệnh nhân từ chối. Mắc cài Damon D3MX .022″ (Ormco) được sử dụng. Nâng khớp bằng Fuji II ở răng 37 và 47 tại buổi hẹn đầu tiên. Núm lưỡi được dán vào răng 37, 38. Sau ba tháng điều trị, nâng khớp răng sau được loại bỏ. Trình tự dây cung là: .014 CuNiTi, .014x.025 CuNiTi, .017x.025 TMA, .019x.025 SS và cuối cùng trở lại .017x.025 TMA để tinh chỉnh. Chun Loại II được tăng dần lên từ 3,5 oz tới 4,5 oz. Sau 22 tháng điều trị, lấy dấu và chụp panorama để hỗ trợ điều chỉnh lệnh thứ 2 nhằm đạt được sự song song của các chân răng. Sau 24 tháng điều trị tích cực, tiến hành tháo mắc cài và lắp hàm duy trì chỉ 1 tuần trước khi bệnh nhân sang Úc.

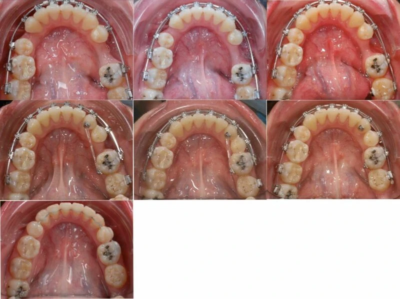
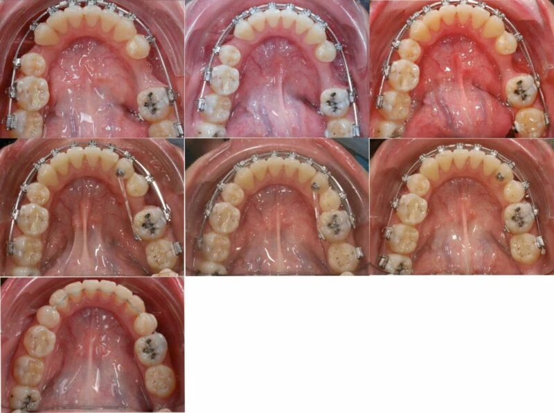
Hình 9 Ảnh chụp cung răng dưới vào các thời điểm 4, 8, 11, 16, 19, 21, 24 tháng
Kết quả điều trị
Thẩm mỹ khuôn mặt đã được cải thiện đáng kể. Vẩu xương ổ răng đã giảm nhiều dẫn đến cơ cằm bớt căng khi khép môi. Các thay đổi này đã cải thiện hình chiếu của cằm và mũi, dẫn tới cải thiện nét mặt nghiêng của bệnh nhân. Nếu sử dụng minivis thì đã kéo lùi được nhiều hơn nữa và việc đóng 13 mm khoảng nhổ răng hàm dưới không đối xứng đã dễ hơn rất nhiều. Tuy nhiên, đã đạt được mục tiêu điều trị với sự hài lòng của bệnh nhân mà không cần sử dụng bất kỳ hình thức neo giữ xương nào, nhưng quá trình tinh chỉnh cuối cùng chưa thực sự kỹ lưỡng do bệnh nhân phải đi Úc. Các ảnh chụp trong miệng và mẫu nghiên cứu sau điều trị cho thấy tương quan răng nanh và răng hàm lớn Loại I ở bên phải, và tương quan răng hàm lớn Loại III và răng nanh Loại I ở bên trái. Đường giữa cung răng dưới lệch 1 mm sang trái so với đường giữa cung răng trên.
Duy trì
Sau khi điều trị tích cực, một hàm duy trì tháo lắp hàm trên trong suốt được đưa cho bệnh nhân và khí cụ cố định răng trước được gắn vào hàm dưới. Stepovich kết luận rằng có thể đóng khoảng 10 mm hoặc hơn ở người lớn, nhưng việc duy trì là rất khó. Vì lý do này, một khí cụ duy trì cố định mặt má được gắn từ răng hàm lớn đến răng hàm nhỏ ở bên trái (37 đến 35) hàm dưới để tránh mở lại khoảng trong quá trình duy trì.
Nguồn: Nha.si
