Tên của kỹ thuật này là kỹ thuật ghép ngầm 3D mô mềm (3D soft tissue tunneling plasty procedure – 3D STP), các bức ảnh trong quá trình phẫu thuật đã được cắt bỏ, bởi vì kỹ thuật này vẫn chưa được công bố.
Tôi sử dụng kĩ thuật này trong các loại tụt lợi quanh răng và quanh implant không chỉ cho hàm dưới, nhưng chắc chắn kĩ thuật sẽ tốt hơn trong trường hợp răng dưới, do sự di động của các mô phía lưỡi.
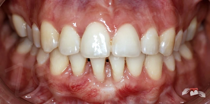
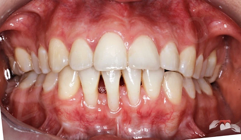
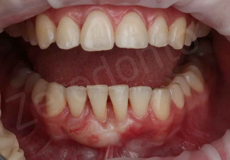
Tình trạng ban đầu – phim CT và hình ảnh (1,2,3) cho thấy mức độ xương và phần mềm sau thời gian điều trị chỉnh nha của bệnh nhân nữ trẻ, không có túi quanh răng, nhưng bệnh nhân không thể làm sạch răng hoàn toàn vì hình thái tụt lợi và chân răng nhạy cảm. Bệnh nhân có cố định mặt lưỡi sau chỉnh nha, và răng vẫn còn sống, điều đó rất tốt và tôi chỉ bắt đầu che phủ chân răng với phần mềm.
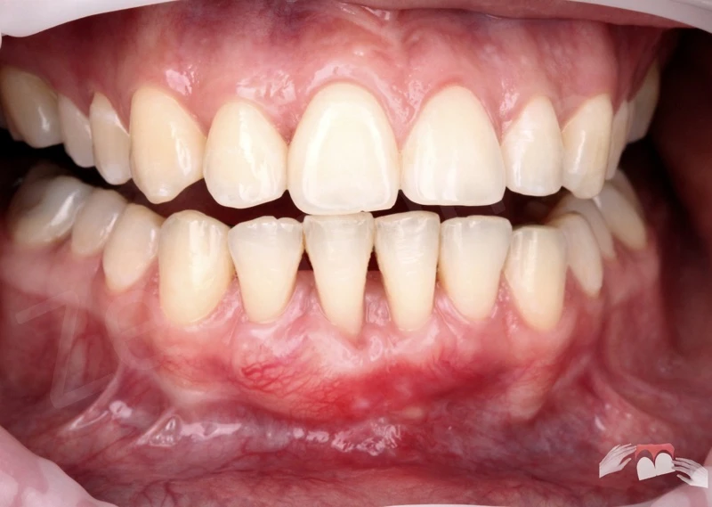
Tình trạng sau khi phẫu thuật 2 lần là tốt (5), mô bắt đầu phát triển, nhưng chỉ phần dưới, do đó sự thiếu hụt là rõ ràng vì chúng ta thấy sự căng của phanh môi (6), bây giờ là thời gian cho phẫu thuật cắt bỏ phanh môi – phẫu thuật trong 5 phút, và ảnh cuối cùng là kết quả sau 2 tuần (7).
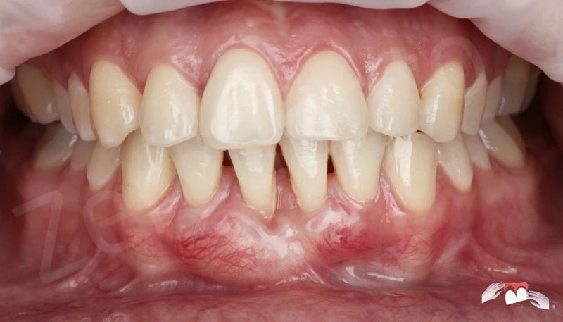
Vì vậy, chúng tôi có khối lượng lợi dính và điều quan trọng là không có túi quanh răng, không có xương ổ răng nhưng che phủ được tụt lợi loại 3 hoặc loại 4 chỉ với mô mềm.
Bệnh nhân là một người sạch sẽ, không hút thuốc, răng sống, ổn định, và có rất nhiều collagen phát triển và bây giờ chúng ta cũng không có phanh môi bị kéo căng.

Hình 1

Hình 2

Hình 3

Hình 4

Hình 5

Hình 6a

Hình 6b

Hình 6c

Hình 6d

Hình 7
Nguồn: Zerodonto
#Kỹthuậtghépngầm3Dmômềm #Điềutrịtụtlợi #khámlâmsàng #hìnhtháitụtlợi #chỉnhnha
