Mòn cổ răng có nguy hiểm không? Đây là thắc mắc của rất nhiều người khi gặp tình trạng đau nhức, ê buốt do mòn cổ răng gây ra. Hãy cùng Anh & Em tìm hiểu bệnh mòn cổ răng không qua bài viết sau.
Mòn cổ răng là gì?
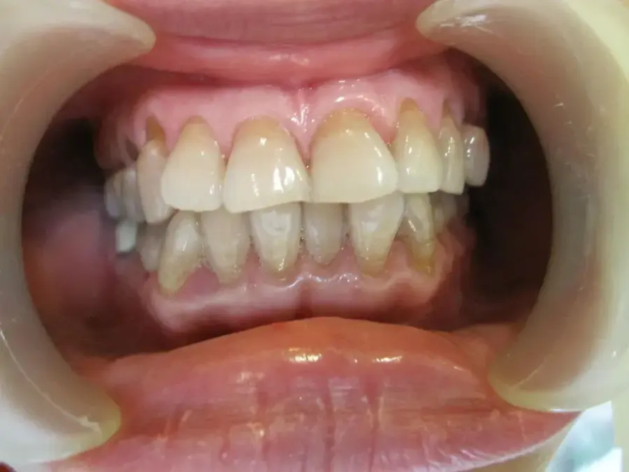
Mòn cổ răng không phải là một hiện tượng của sâu răng mà là do răng đang có những tổn thương về phần cứng. Đây là hiện tượng lớp cổ răng mất đi lớp men răng, dẫn đến tình trạng xuất hiện các rãnh sâu, lõm vào tạo hình chữ V ở mặt ngoài răng, sát viền lợi. Tình trạng này thường xuyên xảy ra tại các răng hàm nhỏ số 4, 5, 6 và răng cửa.
Những người bị mòn cổ chân răng thường gặp tình trạng đau nhức và ê buốt kéo dài. Khi tình trạng nhẹ, bạn có thể chỉ gặp khó khăn trong giao tiếp hoặc sinh hoạt ăn uống hằng ngày. Tuy nhiên khi bệnh trở nặng hơn, chúng ta có thể bị viêm tủy, phải điều trị chuyên sâu tránh tình trạng lung lay hoặc dẫn đến mất răng.

Xem thêm: Tìm hiểu mòn cổ răng là gì?
Nguyên nhân gây mòn cổ răng
Vệ sinh răng miệng không đúng cách
Nếu bạn không chải răng đúng kỹ thuật hoặc không chải răng đủ lâu, vi khuẩn trong miệng có thể tạo ra axit gây mòn men răng. Đặc biệt, nếu bạn không đánh răng trước khi đi ngủ có thể tạo điều kiện cho vi khuẩn phát triển trong miệng.
Thói quen nghiến răng
Khi có thói quen nghiến răng nghĩa là bạn đang trực tiếp tác động hai mặt răng vào nhau với tần suất liên tục. Điều này dẫn đến việc men răng dần bị bào mòn và gây hiện tượng ê buốt ở cả cổ răng và vùng mặt nhai.

Tích tụ nhiều cao răng
Cao răng là một lớp màng cứng được hình thành từ vi khuẩn và muối khoáng trong nước bọt miệng. Nếu không được loại bỏ đúng cách, cao răng có thể tích tụ dưới nướu và gần các khe răng. Đây là một môi trường lý tưởng cho vi khuẩn phát triển, tạo ra axit gây mòn men răng.
Thiếu sản men răng
Thiếu sản xuất men răng (enamel hypoplasia) là một tình trạng khi lớp men răng không được hình thành đầy đủ hoặc bị suy yếu. Đây là nguyên nhân gây nên sự tích tụ của vi khuẩn dẫn đến mòn cổ chân răng.
Tác động của axit
Việc uống nước có ga, nước chanh, nước trái cây có chứa axit hoặc uống nhiều nước ngọt chứa đường có thể tạo ra axit trong miệng, gây mòn men răng.
Mòn cổ răng có nguy hiểm không?
Ảnh hưởng của mòn cổ răng có thể gây ra nhiều vấn đề và tiềm ẩn nguy hiểm cho sức khỏe răng miệng của bạn. Khi cổ răng bị mòn, lớp men bảo vệ răng giảm đi, làm cho răng trở nên nhạy cảm hơn và dễ bị tổn thương. Đồng thời, việc mất men cũng tạo điều kiện cho vi khuẩn xâm nhập và gây viêm nhiễm nhanh chóng.

Mòn cổ chân răng cũng có thể là dấu hiệu của các vấn đề khác ví dụ như vi khuẩn gây sâu răng hoặc viêm nhiễm nướu. Nếu không được điều trị kịp thời, mòn cổ răng có thể dẫn đến những vấn đề nghiêm trọng hơn bao gồm viêm nhiễm mô mềm, viêm nướu sâu và thậm chí mất răng.
Nanoseal – sản phẩm hạn chế ảnh hưởng của mòn cổ chân răng
Nanoseal là một sản phẩm được nhiều nha sĩ tin dùng để giảm các triệu chứng đau nhức ê buốt do mòn cổ răng ở bệnh nhân. Sản phẩm này sử dụng công nghệ hạt nano để tạo ra một lớp phủ bảo vệ trên bề mặt răng, giúp phòng ngừa tác động của axit, bảo vệ khỏi sự ăn mòn của các chất trong nước bọt đến men răng.

Mọi người đều có thể sử dụng sản phẩm dễ dàng tại nhà, chỉ cần trộn 2 dung dịch với nhau và xoa đều lên bề mặt răng sau đó rửa sạch là chúng ta sẽ thấy được hiệu quả tức thì. Sản phẩm hiện được phân phối tại công ty Anh & Em, khách hàng và nha sĩ có thể liên hệ trực tiếp để biết thêm thông tin chi tiết.
Bài viết trên, chúng tôi đã giúp bạn giải đáp thắc mắc cho câu hỏi mòn cổ răng có nguy hiểm không? Hy vọng đây là những thông tin hữu ích dành cho bạn.
