Từ năm 1899, khi Kells lần đầu báo cáo về việc xác định chiều dài chân răng dựa vào hình ảnh của một dụng cụ trong ống tủy trên phim tia X, X quang đã trở thành một phương tiện cần thiết trong thực hành nội nha. Gần một thế kỉ sau đó, dựa trên các hiệu quả khởi đầu của những ứng dụng phim cắt lớp cổ điển (Computed Tomography/CT) và vi CT, từ năm 1981 Cone Beam Computed Tomography (CBCT) được sử dụng trong nha khoa; đến năm 1996 được giới thiệu và ứng dụng trong nội nha.
NHỮNG ƯU ĐIỂM CỦA CBCT TRONG NỘI NHA:
Ưu điểm quan trọng nhất của CBCT trong nội nha là mô tả các đặc điểm giải phẫu theo 3 chiều không gian mà các kỹ thuật chụp x quang trong miệng, toàn cảnh và sọ không thể đạt được. Các loại CBCT tái cấu trúc các dữ liệu hình chiếu để cung cấp mối tương quan các hình ảnh theo ba mặt phẳng giao nhau (đứng ngang, đứng dọc và ngang).
Thêm vào đó, vì sự tái cấu trúc của các dữ liệu CBCT được tạo một cách tự nhiên bằng máy tính cá nhân nên dữ liệu có thể tái định hướng mối quan hệ về không gian thật của chúng.CBCT cung cấp cho nhà lâm sàng hình ảnh về mối quan hệ thường phức tạp giữa răng với các đặc điểm bệnh học và giải phẫu trong xương ổ và hàm như xoang hàm, lỗ và ống răng dưới.
Tóm tắt ưu điểm của CBCT:
– Hình ảnh 3 chiều trong không gian.
– Hình ảnh chính xác.
– Tăng độ nhạy và độ chuyên biệt đối với sâu răng, các tổn thương nha chu và quanh chóp.
– Bệnh nhân dễ chịu
– không phải đặt thêm phim hay sensor trong miệng.
– Thấy được mô mềm.
Xem thêm: Điểm và Mốc trên phim X-quang nha khoa Cephalo mặt bên
ỨNG DỤNG CỦA CBCT TRONG ĐIỀU TRỊ NỘI NHA:
Ứng dụng của CBCT trong điểu trị nội nha được thể hiện qua các trường hợp lâm sàng sau đây:
Trường hợp nội nha 1
Bệnh nhân được trình bày dưới đây bị viêm tủy không hồi phục ở răng số #2, được xác nhận bởi phản ứng đau kéo dài khi thử nhiệt bằng lạnh và nóng. Chụp X quang thông thường cho thấy cấu trúc chân răng dính nhau với rất ít hoặc không có thông tin gì về giải phẫu ống tuỷ (Hình 5A).
Hình ảnh chụp CTCB bằng Accuitomo cho thấy răng cối lớn này chỉ có ba ống tuỷ (xác nhận lại một lần nữa) và hai ống tuỷ ngoài nối nhau ở một phần ba chóp và sau đó phân nhánh một lần nữa (Hình 5B & C). Chụp X quang thông thường sau điều trị cho thấy đặc điểm giải phẫu này đã được xử lý, với thông tin giải phẫu đã được thông báo trước (không tìm ống tuỷ thứ tư, biết rằng hai ống tuỷ ngoài nối với nhau ở một phần ba chóp – rất bất thường – và với thời gian thích hợp cho quá trình bơm rửa, cho phép trám bít ống tuỷ ở phần phân nhánh tại chóp sau khi nối nhau (Hình 5D).
Trường hợp nội nha 2
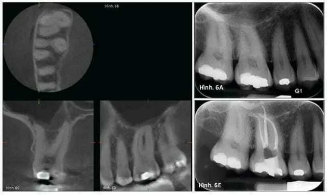
Bệnh nhân xuất hiện viêm tuỷ không hồi phục ở răng số #3, được xác nhận bằng thử nghiệm lạnh và nhiệt (phản ứng đau kéo dài). Chụp X quang thông thường cho thấy giải phẫu ống tuỷ gần – ngoài rất cong, với giải phẫu ống tuỷ xa ngoài và ống trong tương đối thẳng (Hình 6A).
Hình ảnh CT Accuitomo đã tiết lộ một tình tiết khác, nhắc nhở nhà lâm sàng cẩn thận trong quá trình điều trị (Hình 6B.). Thông tin quan trọng đầu tiên là chiếc răng này chỉ có ba ống tuỷ (Hình 6C).
Phần thông tin quan trọng thứ hai là độ cong của ống tuỷ gần ngoài thực sự ấn tượng (Hình 6D). Thông tin thứ ba đã cứu tôi và chiếc răng bệnh nhân khỏi bị gãy trâm quay khi sửa soạn đó là nó tiết lộ một ống tuỷ có độ cong nghiêm trọng – mà khi nhìn theo hướng phía ngoài sẽ bị che khuất đi (Hình 6E). Nhờ vậy việc điều trị được tiến hành nhanh chóng và chắc chắn với kết quả đặc biệt (xin lỗi, nhưng sự thật là như vậy) (Hình 6E).
Trường hợp nứt răng
Bệnh nhân biểu hiện đổi màu răng cửa giữa hàm trên. Cách đó một vài năm, anh bị một cú đấm vào các răng trước hàm trên nhưng không điều trị gì. Thiếu các triệu chứng và kiến thức nha khoa khiến anh quên đi chiếc răng của mình cho đến khi một nha sĩ ở quê nhà nhận thấy sự đổi màu của răng cửa hàm trên. Trong một cuộc hẹn gần đây với nha sĩ, anh mô tả đôi lúc bị đau âm ỉ ở vùng răng cửa giữa hàm trên.
Chụp kiểm tra bằng Accuitomo vùng răng hàm trên phía trước cho thấy răng cửa giữa hàm trên bên phải có một ống tuỷ rất rộng. Điều này có thể thấy ở răng bị chết tuỷ từ khi tuổi còn nhỏ. Tại chóp răng này, thấy có một nang lớn. Bờ của nó không rõ và xương xung quanh đặc hơn bình thường. Tổn thương vì vậy có hình ảnh của một nang nhiễm trùng quanh chóp. Kiểm tra còn cho thấy một đường nứt ở phần chóp của răng cửa giữa bên phải.
Ở răng cửa giữa bên trái, thấy một đường gãy hầu như nằm ngang qua chân răng. Mảnh gãy phía chóp và phía thân răng, tuỷ răng hầu như bị hoại tử sạch.
Trường hợp nội tiêu
Ở một bệnh nhân không có triệu chứng, được biết có một chấn thương ở răng cửa giữa hàm trên bên trái cách đây vài năm, kiểm tra bằng Accuitomo cho thấy răng bị tiêu nghiêm trọng. Lưu ý rằng thành tuỷ vẫn còn và thiếu xương mặt ngoài tại đường giữa chân răng. Trong tất cả các khả năng, nguồn gốc bị tiêu răng là ngoại tiêu hơn là nội tiêu.





