Vì sao tôi yêu CBCT – Hay chia sẻ việc ứng dụng CBCT trong thực hành nha khoa, có nội tiêu và ngoại tiêu.
Trợ thủ của tôi đùa rằng ngày nào tôi cũng nói câu “Tôi yêu thích máy cone beam của mình”, thế nhưng sự thật là như vậy. Đương nhiên, không phải tất cả trường hợp đều yêu cầu phải chụp phim CBCT, và chỉ định chụp những phim nào có liên quan tới tia xạ đều phải hết sức cẩn thận – đôi khi tôi chỉ chụp 2 hoặc 3 phim khi cần thiết, nhưng cũng có những ngày tôi chỉ định chụp tới 8 cái. Những trường hợp cần hỗ trợ từ CBCT ngày càng tăng: những ca khó chẩn đoán, điều trị lại, chấn thương, giải phẫu bất thường/khó khăn, liên quan với xoang, phát hiện ống tủy phụ, đánh giá file gãy, và tiêu xương.
CBCT đã được chứng minh là công cụ hữu ích trong chẩn đoán và điều trị rất nhiều các vấn đề của nội nha, trong đó vấn đề tiêu xương/tiêu chân răng là ví dụ cụ thể. Khám lâm sàng ban đầu hay phim XQ 2D có thể làm ta nghĩ đến tiêu xương.
Chẩn đoán xác định nội tiêu hay ngoại tiêu
Tuy nhiên, chẩn đoán xác định nội tiêu hay ngoại tiêu cũng như độ rộng của tổn thương vẫn còn chưa biết. Nếu nghi ngờ ngoại tiêu, nha sĩ có thể lật vạt với hy vọng tìm thấy tổn thương, tuy nhiên không có sự bảo đảm rằng khi đã phẫu thuật có thể đánh giá một cách thích hợp phạm vi, kích thước và mức độ sát tủy.
Trên phim hai chiều chỉ có thể gợi ý có tổn thương theo chiều gần – xa nhưng không cho một cái nhìn rõ ràng về sự hiện diện cũng như phạm vi của tổn thương theo chiều ngoài – trong. Tuy vậy, với CBCT thì có thể dễ dàng xác định vị trí, phạm vi và khoảng cách tới các mốc giải phẫu, đặc biệt tủy răng và mào xương. Ngoài ra nó có thể giúp nha sĩ lên kế hoạch điều trị.
Những trường hợp dưới dây là một vài ví dụ về cách mà CBCT có thể hỗ trợ bác sĩ nội nha trong các ca nội tiêu/ngoại tiêu, từ đơn giản là xác nhận chẩn đoán cho tới những ca phức tạp hơn.
Trường hợp 1: nội tiêu.
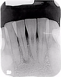
Một phụ nữ 54 tuổi với tiền sử chấn thương tới phòng khám với lý do răng 41 đau và áp xe gây khó khăn khi ăn nhai. Trên XQ 2 chiều thấy tổn thương tiêu ở răng 41 và áp xe ở răng 42 (Hình 1 và 2), rất khó để biết phạm vi nội tiêu theo hướng ngoài – trong. Tổn thương trông có vẻ rộng, nhưng có phá ra phía ngoài hay trong không? May mắn thay, phim chụp từ máy CS 8100 cho thấy nội tiêu chỉ nằm trong phạm vi ống tủy (hình 3 – 5), do đó tôi tự tin rằng điều trị tủy có thể giải quyết vấn đề của bệnh nhân, hai răng này sau đó được đặt Ca(OH)2 rồi trám bít (hình 6 và 7)

Hình 1: Phim XQ 2 chiều trước điều trị

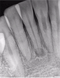
Hình 2: XQ 2 chiều trước điều trị (ảnh chụp ở phòng khám khác

Hình 3: Lát cắt ngang trên CBCT

Hình 4: Lát cắt đứng dọc trên CBCT

Hình 5: Lát cắt đứng ngang trên CBCT

Hình 6: Đặt thuốc Ca(OH)2
Trường hợp 2: Ngoại tiêu
Bệnh nhân nữ 68 tuổi chuyển tới phòng khám của tôi sau khi bác sĩ tổng quát thấy tổn thương “nghi ngờ” nhưng không xác định được. Bệnh nhân không có triệu chứng và cũng không rõ vì sao mình được chuyển tới đây. Sau khi khám lâm sàng, tôi nghi ngờ có tổn thương ngoại tiêu. Tuy nhiên, bệnh nhân vẫn còn nghi ngờ về phim 2 chiều (Hình 8), thông tin trên phim chưa đáng để lo lắng, do đó cô ngần ngại chấp nhận điều trị.

Hình 8: XQ trước điều trị


Hình 10: Lát cắt ngang trên CBCT
Tuy nhiên, phim 3D cho thấy rõ ràng có tổn thương ngoại tiêu (Hình 9 và 10). Trên phim cũng đồng thời cho thấy tổn thương là ngoại tiêu cổ răng xâm nhập ở mặt trong. Trong buổi hẹn tư vấn, tôi đã cho bệnh nhân quan sát rõ tổn thương và đưa ra đề xuất điều trị.
Trường hợp này bắt đầu từ chẩn đoán không chắc chắn của bác sĩ tổng quát, sau đó là điều trị kết hợp nội nha và nha chu. Bệnh nhân được chuyển tới bác sĩ nha chu để lật vạt mặt trong và nạo bỏ tổn thương, hàn bằng Geristore® (Hình 11). Nhận thấy tổn thương vào tủy do đó bác sĩ nha chu chuyển về và điều trị tủy tại phòng khám của tôi (Hình 12).

Hình 11: Ảnh trước điều trị tủy, sau khi đã xử lý tổn ngoại tiêu
Bên cạnh chứng minh tính hữu dụng của CBCT trong chẩn đoán ngoại tiêu, đây là ví dụ tuyệt vời về cách mà định dạng kĩ thuật số của CBCT có thể hỗ trợ quá trình làm việc giữa bác sĩ thuộc các chuyên ngành khác nhau.
Trường hợp 3: khó khăn khi chẩn đoán
Bệnh nhân nữ 50 tuổi đến vì cơn đau ở vùng hàm trên bên phải. Cô khá chắc chắn rằng đó là một trong hai răng hàm lớn, và mặc dù bệnh nhân có túi lợi sâu ở gần phía sau xương hàm, cả vùng này đều đau khi gõ và sờ. Thăm dò nhưng không đủ thông tin để chẩn đoán. Bác sĩ ban đầu của bệnh nhân đang nghi ngờ bỏ sót ống tủy gần ngoài thứ hai của răng 16 (vì chúng ta luôn coi rằng răng này có 4 ống tủy) hoặc bỏ sốt ống tủy thứ 3/thứ 4 của răng 17 (hiện chỉ có 2 ống tủy đã được trám bít) (hình 13 và 14).

Hình 13: Phim cận chóp ca số 3

Kết quả trên phim cho thấy tổn thương tiêu lớn và mất xương nhiều ở răng 17 (Hình 15 và 16). Trường hợp này, ban đầu dự định là điều trị lại, sau đó phải chuyển sang kế hoạch nhổ răng, ghép xương và cấy implant. CBCT đã giúp bác sĩ nội nha lựa chọn điều trị tốt nhất cho bệnh nhân, kể cả điều trị đó không phải là điều trị tủy.

Hình 15: Lát cắt ngang CBCT

Hình 16: Lát cắt đứng dọc trên CBCT
Trường hợp 4: “Nếu là răng của chính mẹ mình, bạn sẽ làm gì?”
Khi đề cập tới việc chấp nhận điều trị, hầu hết các bác sĩ đều đã được bệnh nhân hỏi, “Nếu đây là răng của chính mình/mẹ mình, bác sẽ làm gì?” Bệnh nhân sẽ thấy thoải mái hơn khi biết điều trị được đề xuất cũng là điều trị mà bác sĩ sẽ tư vấn cho người thân của mình. Câu hỏi giả định trên lại trở thành sự thật khi mẹ tôi tới khám vào tháng 6 năm 2016.
Mẹ tôi có tiền sử chấn thương khi đang chơi tennis với bố vài năm trước đây. Trước đó khi khám ở bác sĩ tổng quát, phim cận chóp hàm dưới gợi ý phải điều trị tủy, bà đến chỗ tôi ngay lập tức. Chất lượng phim cận chóp của chỗ bác sĩ trước không giống của mình, do đó tôi chụp lại một phim khác (Hình 17). Không chỉ thấy tổn thương nội tiêu nhỏ ở răng 46 mà còn tổn thương tiêu mở rộng răng 31 và 41 ban đầu khiến tôi nghĩ răng này không còn hy vọng gì và phải nhổ đi làm implant.

Hình 17: Ảnh XQ trước điều trị
Tuy nhiên sau khi chụp 3D, tôi đã có thể thấy mức độ tiêu xương ở lát cắt ngang, đứng dọc, đứng ngang; điều may mắn là nó không vượt ra khỏi phạm vi răng (hình 18 và 19).

Hình 18: Lát cắt ngang răng 31 trên CBCT

Hình 19: Lát cắt ngang răng 41 trên CBC
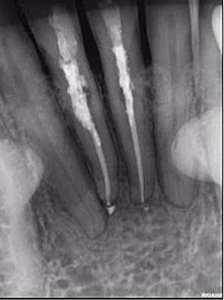
Tôi quyết định theo dõi răng 46 và tiến hành điều trị răng 31, 41 bằng Ca(OH)2 (hình 20). 3 tuần sau hẹn bà tới trám bít ống tủy (hình 21). Bà quay lại để tái khám sau 1 năm vào mùa hè 2017. Kết quả điều trị coi như đã thành công, không thấy tiêu xương thêm (Hình 22). Hơn thế, răng 46 không thay đổi tình trạng tiêu. Có phim CBCT giúp theo dõi sự thay đổi về kích thước và mức độ tiêu xương trên răng bệnh nhân qua thời gian. Ngoài ra, CBCT cũng cho biết khi nào không nên điều trị, tôi đã tự tin chỉ cần theo dõi răng 46 từ đó hạn chế điều trị không cần thiết cho chính mẹ mình.

Hình 20: Hai răng được đặt Ca(OH)2

Hình 21: Ảnh ngay sau điều trị

Lúc mới mở phòng khám, tôi chưa thấy tầm quan trọng của việc đầu tư cho máy CBCT. Tuy nhiên không phải mất quá lâu để thay đổi suy nghĩ đó; cũng giống như việc chuyển từ chụp bằng phim sang cảm biến kĩ thuật số, sau khi đã dùng CBCT thì không còn muốn quay về lúc trước nữa. Không chỉ thay đổi suy nghĩ trên lâm sàng và cho cơ hội để bảo tồn hơn, nó cũng thay đổi tích cực kết quả của kế hoạch điều trị. Tôi tin tưởng sử dụng hệ thống CBCT trong việc chăm sóc răng cho mẹ mình, và cũng như tôi nói hàng ngày, “Tôi yêu thích máy cone beam của mình.”
_Nguồn: Nhóm tìm báo răng hàm mặt.
Sponsored by: Công ty Anh & Em
#xquang #noinha #endodontic #cbct
