30. X quang ở trẻ em
Việc bảo vệ trẻ em tránh phóng xạ là điều quan trọng nhất vì trẻ nhạy cảm với tia xạ hơn. Cách tốt nhất để giảm việc phơi nhiễm cho trẻ là nha sĩ dùng số lượng receptor ít nhất có thể. Việc thăm khám sẽ dựa trên kiểm tra lâm sàng, xem xét tuổi của bệnh nhân, bệnh sử, sự tăng trưởng và sức khoẻ răng miệng chung của trẻ. Chụp phim cánh cắn để kiểm tra sâu răng sau khi vùng tiếp xúc giữa các răng đã được đóng. Việc đánh giá thường xuyên sẽ giúp xác định tỉ lệ sâu răng của trẻ. Khảo sát quanh chóp thường được chỉ định sớm ở những trẻ có bộ răng hỗn hợp. Có thể trang bị những thiết bị để giảm phơi nhiễm với tia X như receptor nhanh, chụp phim chính xác, thiết bị hạn chế tia, áo chì và tấm chắn tuyến giáp.

Chụp phim cho trẻ em là một vấn đề khó. Mặc dù nguyên tắc chụp phim quanh chóp cho trẻ và người lớn là như nhau nhưng trẻ lại có cấu trúc giải phẫu nhỏ và khó kiểm soát được hành vi của trẻ. Cung hàm nhỏ hơn đòi hỏi receptor quanh chóp nhỏ hơn. Khẩu cái và sàn miệng cạn đòi hỏi thay đổi việc đặt receptor.
28-29. PHIM MẶT NHAI
Phim mặt nhai hiển thị một vùng tương đối lớn của cung răng. Nó có thể bao gồm khẩu cái hoặc sàn miệng và một phần cấu trúc vùng tiếp giáp. Phim mặt nhai cũng hữu ích khi bệnh nhân không thể há miệng đủ rộng để chụp phim gốc răng hoặc những lý do nào đó mà không đặt receptor vùng chóp răng được. Phim mặt nhai có thể sử dụng cùng với phim quanh chóp để xác định xem vị trí của cấu trúc hoặc tổn thương theo ba chiều không gian. Thông thường, phim mặt nhai đặc biệt hữu ích trong những trường hợp sau:
– Để xác định chính xác vị trí chân răng và thành phần phụ, răng chưa mọc hoặc răng ngầm (kỹ thuật này đặc biệt hữu ích với răng cối lớn hoặc răng nanh mọc ngầm)
– Để xác định các vật thể lạ trong xương hàm và sỏi trong ống tuyến nước bọt dưới hàm và dưới lưỡi.
– Để xác định và đánh giá sự toàn vẹn của bờ trước, bờ giữa và bờ bên của xoang hàm trên.
– Để hỗ trợ việc kiểm tra trên bệnh nhân bị bệnh cứng khớp, chỉ có thể há miệng một vài milimet nên không thể chụp phim trong miệng được hoặc có thể chụp nhưng gây đau đớn cho bệnh nhân.
– Nhằm có được những thông tin về vị trí, tính chất, mức độ và sự thay đổi vị trí của đường gãy xương hàm trên và hàm dưới.
– Nhằm xác định xem mức độ lan rộng của các bệnh lý như nang, viêm tuỷ xương, bệnh lý ác tính… và phát hiện bệnh lý ở vùng khẩu cái hoặc sàn miệng.
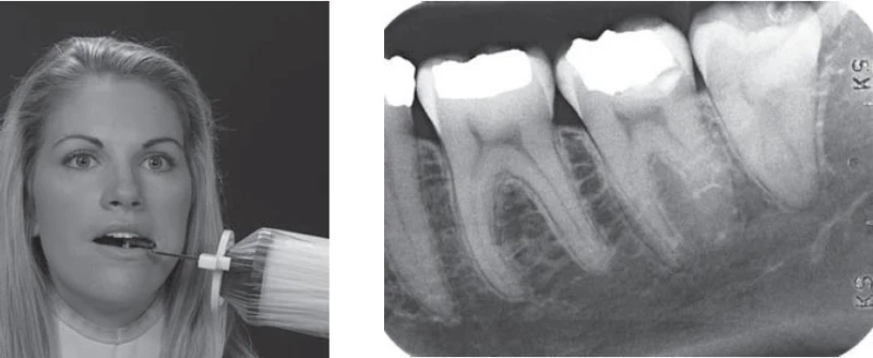
27. PHIM CÁNH CẮN
Phim cánh cắn bao gồm thân răng của các răng hàm trên, hàm dưới và mào xương ổ răng. Phim đặc biệt có giá trị khi muốn kiểm tra sâu răng mặt bên ở các giai đoạn phát triển sớm trước khi có biểu hiện trên lâm sàng rõ rệt. Nhờ góc chiếu tia nằm ngang, phim cũng có thể biểu thị sâu răng thứ phát dưới miếng trám mà đôi khi không phát hiện được trên phim gốc răng. Phim cánh cắn cũng hữu ích khi đánh giá tình trạng nha chu. Nó cung cấp hình ảnh về mào xương ổ răng và sự thay đổi chiều cao xương ổ khi so sánh với các răng kế cận. Thêm vào đó, do góc chiếu tia xuyên qua khoảng tiếp xúc giữa các răng nên phim cũng có thể phát hiện được cao răng ở vùng tiếp xúc. Trục chính của receptor phim cánh cắn thường nằm ngang nhưng đôi khi cũng có thể nằm dọc.
26.
Hình 1. PHẠM VI ẢNH
Phim gồm có nửa xa của răng cối nhỏ thứ hai và ba răng cối lớn vĩnh viễn. Trong trường hợp răng cối lớn thứ ba mọc ngầm hoặc có tình trạng bệnh lý ở phía xa răng cối lớn thứ ba thì cần chụp thêm một phim vùng răng này hoặc phim ngoài miệng (phim panorex hoặc phim mặt nghiêng) để khảo sát đầy đủ hơn.
Hình 2. ĐẶT RECEPTOR
Đặt receptor số 2 vào miệng sao cho mặt phẳng của nó gần như nằm ngang. Xoay cạnh dưới của nó xuống dưới bờ lưỡi rồi dịch chuyển sao cho nó nằm vị trí ở giữa lưỡi và răng. Cạnh trước của receptor ngang với vị trí giữa răng cối nhỏ thứ hai. Trong hầu hết trường hợp, lưỡi sẽ đẩy receptor về phía xương ổ răng và răng, điều chỉnh để nó song song với trục chính của răng và mặt nhai răng.
Hình 3. TIA TRUNG TÂM
Điều chỉnh góc ngang sao cho tia đi qua các vùng tiếp xúc giữa các răng. Do răng cối hơi nghiêng trong, tia trung tâm có thể có giá trị dương nhẹ (khoảng +8 độ).
Hình 4. ĐIỂM CHIẾU TIA
Điểm chiếu tia bên dưới khoé mắt ngoài khoảng 3cm trên bờ dưới xương hàm dưới.




