Việc sử dụng tấm cao su cách ly trong điều trị nội nha và các trường hợp phục hồi dán dính là điều bắt buộc. Tuy nhiên trường hợp dưới đây là một ca gãy chân răng buộc các bác sĩ phải thay đổi chiến lược đó nếu muốn cách ly vùng làm việc.
Những chấn thương ở răng vĩnh viễn có tỉ lệ khoảng 26-76%: Nguyên nhân chủ yếu là do té ngã, tai nạn trong thể thao hay hậu quả của vấn đề bạo lực.
Trong những tình huống này răng cửa hàm trên thường bị ảnh hưởng nhất, ngay cả khi chấn thương nằm ở vùng cằm,như một phản ứng bật và có thể gây ra nứt gãy ở vùng răng hàm.
Điều trị gãy chân răng phụ thuộc rất nhiều vào vị trí của đường gãy, đồng thời phương pháp điều trị cũng rất linh hoạt: Có thể cố định lại răng hoặc nhổ chân răng và cấy ghép Implant thay thế.
Ở trường hợp này các bác sĩ đã đưa ra một phương pháp tiếp cận bảo tồn mới là điều trị tủy răng sau đó cố định lại vùng răng gãy bằng chốt.

Mặc dù chấn thương răng vĩnh viễn (TDIs) thường xảy ra ở trẻ em và thanh thiếu niên, nhưng trường hợp này lại là một bệnh nhân 80 tuổi có răng cửa bị nứt gãy.
Quan xát rãnh nướu răng có hiện tượng chảy máu, xét nghiệm nhạy cảm âm tính và răng có tình trạng lung lay.

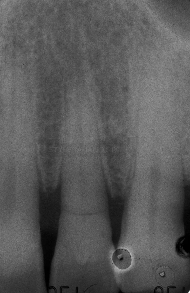
Thông qua phim X-Quang có thể thấy chân răng đã bị gãy và vị trí gãy cao hơn mào xương ổ răng, đồng thời vết gãy đã xâm nhập vào buồng bột của răng cửa bên cạnh.

Sau khi tiến hành chuẩn đoán và tiến hành gây tê tại chỗ, các bác sĩ tiến hành nhổ mảnh răng bị gãy.

Lúc này có thể thấy được đường răng bị gãy, đây là trường hợp gãy chân răng theo phân loại mới nhất.(5)

Quan sát vết gãy: có thể thấy máu chảy nhiều hơn ở phía ngoài bởi tổn thương kéo dài hơn về chóp răng khía bên ngoài.
Chú ý quan sát có thể thấy điểm hở tủy.

Phần răng bị gãy phải được ngâm trong nước muối sinh lý (0.9% NACl) tương tự như khi xử lý một chiếc răng gãy chân khác, chúng ta không được đánh bóng vết nứt hay răng để tạo điều kiện dán dính tốt hơn(6). Quan sát mảnh răng gãy có thể thấy bề mặt vết gãy bị vát ít nhất là 3mm về phía chóp so với mặt trong.

Hình dạng vết gãy thế này làm cho việc cách ly để điều trị tủy và gắn răng trở lên rất phức tạp.

Nhìn từ mặt bên

Vì những khó khăn do vết gãy gây ra các bác sĩ quyết định tạo một đường rạch trong rãnh lợi bằng dao phẫu thuật 5c
Cắt nhú lợi ngoài về phía cuống răng để bảo tồn đám rối mạch máu vùng lợi kẽ răng.

Sau khi lật vạt, thực hiện phẫu thuật tạo hình xương phía ngoài nhưng phải để chân răng có chiều cao tối thiểu 2mm so với mào xương ổ răng. 2mm này rất quan trọng để tạo khoảng trống đủ cho bám dính sinh học.
Đây là thời điểm để đặt tấm cao su cách ly.
Trước khi gắn răng vào đúng vị trí cần phải điều trị để giảm số lượng vi khuẩn đặc biệt trong trường hợp này vì vị trí gắn sẽ được phủ bởi vạt: kết quả là răng đã được cách ly, không cần khâu dưới vạt, với tấm cao su cách ly đã được rửa sạch bằng 0,2% Chlorexidine (Curaden – Curasept 0,20% + Ialuronic Acid).

Sau khi đặt tấm cao su cách ly với kẹp, tiến hành điều trị tủy và tạo khoảng đặt chốt.
Điều trị bằng file Niti có độ thuôn và hình dạng như sau:
Bắt đầu nong với file 10 (đường kính)/ độ thuôn 4% và 15/05. Sau khi đánh giá chiều dài làm việc, sửa soạn lại bằng 2 file đã dùng trước đó, tiếp tục tạo hình bằng 20/06 và tăng lên 25/06 (MTWO series).
Kết thúc sử dụng 2 cây F2 28/08, F3 30/09 (Maillefer Pro Taper)

Để làm sạch sử dụng dung dịch NaOCl 5,25% và hoạt hóa bằng đầu siêu âm nội nha Irri (AcetonSatelec 20-25)

2/3 ống tủy được để trống và làm sạch bằng đầu siêu âm ET18D cùng chổi chuyên dụng

Việc quan trọng nhất ở đây là ước tính kích thước của cây chốt dựa trên độ sâu của ống tủy và khoảng trống ở thân răng. Ở trường hợp này cây chốt 085/ độ thuôn 06 là tốt nhất, nó được cắt ngắn lại bằng với đĩa kim cương ở ngoài miệng.
Sau đó thân răng được sửa soạn, loại bỏ phần còn lại của buồng tủy bằng 2 phương pháp cơ học (mũi khoan FG D18 Cb- siêu tốc) và hóa học (NaOCl 5,25%) để gắn phần thân của chốt nối và tránh hiện tượng đổi màu trong tương lai.
Cần phải kiểm tra vị trí tiếp xúc giữa thân răng với chốt trước khi gắn chất nối, đảm bảo không được có bất cứ cản trở nào khi gắn cây chốt.

Chốt cần được xử lý qua với cồn và dán dính theo hướng dẫn của nhà sản xuất. Trong trường hợp này các bác sĩ đã sử dụng hệ thống chốt của Dentsply. Tiến hành làm sạch chốt bằng cồn, sau đó quét hỗn hợp Prime và Bond XP/SCA lên toàn bộ chốt trong ít nhất 5s, tiếp theo loại bỏ dung môi này bằng cách thổi hơi nhẹ nhàng và cẩn thận để bảo vệ chốt khỏi ánh sáng.
Trong lúc chờ đợi ống tủy thân răng và chân răng được etch bằng 37% ortho-phosphoric acid trong 15s nhẹ nhàng làm sạch bằng cách rửa nước, thổi hơi và thấm giấy: điều này rất quan trọng để làm khô ống tủy.
Sau đó dùng Prime&Bond XP/SCA đưa vào trong ống và khoang tủy buồng ở thân răng rồi giữ yên trong 20s. Tiếp theo loại bỏ Prime và Bond thừa bằng giấy và thổi hơi nhẹ nhàng.
Ở đây các bác sĩ đưa Core-xow trực tiếp vào ống tủy và đặt chốt vào vị trí cuối cùng rồi cố định chúng.

Đặt chốt đồng thời (thời gian làm việc tối đa là 40s) với core-x ow ở thân răng và điều chỉnh thân răng về vị trí tự nhiên của nó.
Sau đó loại bỏ chất gắn dư, chất gắn phải quang trùng hợp như gắn inlay composite
Cuối cùng tiến hành chiếu đèn lên mỗi bên của thân răng ít nhất 20s hoặc chờ 3p30s.

Ngay sau khi bỏ tấm cao su cách ly có thể thấy răng đã được đưa về đúng vị trí. Lúc này chưa cần quan tâm về sự khác biệt màu sắc, nó sẽ được điều chỉnh sau khi răng ngấm nước.

Tiếp theo đánh bóng răng bằng Brownie Shofu và Greenie SHOFU (CA 0404).

Cẩn thận không để thừa chất gắn ở vị trí đường gãy. Nhìn ngoài vị trí đường gãy liên tục rất tốt trong việc loại bỏ chất gắn dư. Có thể thấy rõ sự liên tục là rất hoàn hảo.

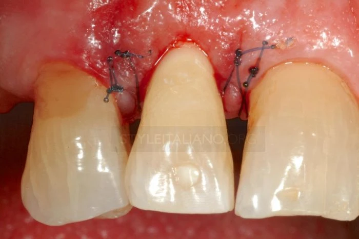
Khâu vết mổ bằng chỉ không tiêu polyaminde monolament 5/00 để tránh mảng bám tích tụ trong vài ngày sau điều trị. Khâu 2 mũi rời ở vị trí nhú lợi gần và 2 mũi ở phía xa. Cắt chỉ sau 2 tuần

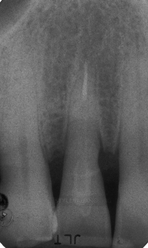
Trên phim x-quang sau điều trị có thể thấy sự chắc chắn giữa gutta percha ở ống tủy, chốt sợi và đường gãy.

Khám sau khi mô mềm lành thương cho thấy lợi phục hồi tốt. Đo túi lợi không thấy bất cứ sự mất bám dính nào ở vị trí kẽ răng. Thẩm mỹ răng hoàn hảo, hài hoà trên cung răng.
Nguồn : https://styleitaliano.org/horizontal-fracture-management/
#xquangnhakhoa #máyxquangnhakhoa #maychupxquangnhakhoa #xquang
